Феоктистова (Фокина) Вероника Николаевна

Ровная и здоровая улыбка от эксперта
Фокина Вероника Николаевна – ортодонт, который сочетает профессионализм, внимание к деталям и искреннюю заботу о каждом пациенте.
Владеет всеми современными методиками ортодонтического лечения, занимается диагностикой аномалий роста зубов и исправлением прикуса. В своей работе стремится к идеальному результату, тщательно продумывая каждый этап лечения.
🔹 Забота и комфорт – подробно объясняет процесс, помогает пациентам адаптироваться.
🔹 Перфекционизм в работе – уделяет внимание каждой детали для безупречного результата.
🔹 Современный подход – регулярно повышает квалификацию и внедряет новейшие технологии.
Пациенты ценят Веронику Николаевну за внимательность, точность и стремление к совершенству. Она помогает не просто выровнять зубы, а обрести красивую, здоровую и уверенную улыбку! 😊
-
Образование
Первый Санкт-Петербургский Государственный Медицинский Университет имени академика И. П. Павлова
Врач — стоматолог общей практики
СПБИНСТОМ
Владеет всеми современными методиками ортодонтического лечения. Постоянно обучается и проходит курсы повышения квалификации.
-
Сертификаты и дипломы











-
Эксперт по исправлению прикуса
-
Внимательна к деталям и каждому этапу лечения
-
Входит в ТОП-10 лучших ортодонтов Санкт-Петербурга
Работы специалиста

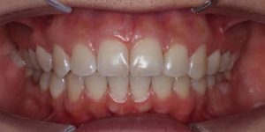
Проблема неровных зубов волнует много кого. Но мало кто знает, какой вред здоровью приносит неправильный прикус. Стираемость, потеря зубов, проблемы с ЖКТ, преждевременное старение… И это ещё далеко не полный список «щедрых» подарков коварного неправильного прикуса. Чтобы не допустить последствий, обратитесь к стоматологу-ортодонту. Именно это и сделала наша пациентка
Что было ?
Неровное положение зубов
Сужение верхней и нижней челюсти
Лечились на современной брекет-системе Damon Q Срок лечения 1 год и 4 месяца.
Что стало ?
Идеальная улыбка! Зубы ровные, прикус правильный.
Стоматолог-ортодонт Фокина Вероника Николаевна

Дистопия зубов. Что это? Как выглядит?
Сегодня речь пойдет как раз о том, что делать, если зуб вылез совсем не там, где было нужно.
Наша пациентка обратилась с жалобами на аномальное расположение 23 зуба. На фото «до» вы видите, что зуб располагается значительно выше в десне. Его трудно чистить, он мешает комфортно говорить и улыбаться. Возможно ли такое исправить?
Для наших докторов нет ничего невозможного! Фокина Вероника Николаевна установила современные металлические безлигатурные брекеты. И без удаления здоровых зубов для 23 зуба нашлось место, и улыбка выровнилась.
Почему доктор выбрала безлигатурный вариант брекетов? Они современные и лёгкие в использовании для пациента и врача, не нужно приходить каждый месяц, чтобы подтягивать резиночки или проволочки.
И, несмотря на простоту использования, они дают потрясающие результаты. Вы их сами можете оценить на фото «после».
А если и у вас есть такая же проблема, но вы думаете, что ортодонтическое лечение — это дорого, то специально для вас у нас есть беспроцентная рассрочка до 24 месяцев. Вы будете платить за ровную и красивую улыбку всего от 6 тысяч в месяц. Это всего 200 рублей в день) Согласитесь, ваша улыбка стоит того?)

Работа ортодонта Вероники Фокиной.
Пациенту 10 лет, сменный прикус (есть и молочные и постоянные зубы), сужение верхней и нижней челюсти, нижняя челюсть отстает в развитии (вывод после анализа боковой ТРГ черепа). Недоразвитие нижней челюсти заметно не только по зубам, но и по профилю.
⠀
- Был изготовлен аппарат Кларка (Твин-Блок) с винтами для расширения.
- За 12 месяцев удалось простимулировать рост нижней челюсти, далее для удержания этого эффекта и дальнейшего выравнивания зубов назначен трейнер. ⠀
⠀
Мы обошлись без брекетов, так как родители вовремя занялись прикусом. В детстве, когда мы растем, мы можем влиять на развитие челюстей (ускорять, либо сдерживать рост), что нельзя сделать уже во взрослом возрасте.
⠀
Если бы пациент с таким несоответствием челюстей пришел взрослым, то просто брекеты не смогли бы помочь. В данном случае с таким сильным несоответствием и недоразвитием нижней челюсти была бы необходима операция с ее увеличением. ИНОГДА (если несоответствие не такое большое), удаляются 2 зуба на верхней челюсти, либо дополнительно используют минивинты. В общем во взрослом возрасте однозначно брекеты + хирургия.
⠀
*Результат может отличаться в зависимости от индивидуальных характеристик организма

Скученность зубов — как распознать и как исправить?
Одной из самых распространенных патологий прикуса является скученность зубов. Зубы стоят очень плотно друг к другу, некоторые из них развернуты.
Важно вовремя исправлять такую ситуацию в полости рта. Ведь из-за тесного расположения зубов нарушена гигиена полости рта, что может привести к развитию кариеса и заболеваний десен.
В данном кейсе Фокина Вероника Николаевна провела лечение на брекет-системе. Металлические самолигирующие брекеты исправляют скученное положение зубов.
Как итог, вы получаете ровные и красивые зубы, широкую и привлекательную улыбку!
Ждем вас за идеальной улыбкой!

Нас часто спрашивают о цветных брекетах. Сегодня как раз расскажем про них на примере клинического случая.
Почему брекеты цветные ?
На фото вы видите лигатурные брекеты. Цветные не брекеты, а резиночки. Вы можете выбрать любой цвет, что особенно нравится детям.
При лечении на лигатурных системах дуга крепится в пазах брекетов посредством специальных резинок — лигатур, которые надежно удерживают ее. Лигатуры необходимо постоянно менять, так как нужно корректировать силу дуги, которую они удерживают, поэтому посещение ортодонта при ношении таких конструкций станет более частым (по сравнению с безлигатурными).
Современные брекет-системы безлигатурные (без резиночек). Резиночки и правда красивые, но лечение на таких брекетах занимает более длительное время.
На фото работа нашего прекрасного ортодонта Фокиной Вероники Николаевны.
Лечились на брекет-системе Mini Diamond.
Срок лечения: 1.5 года.
Не хотите носить брекеты? Тогда обратите внимание на элайнеры!
Они совершенно незаметны, их можно снимать при приёме пищи, они не доставляют никакого дискомфорта.

Как сохранить эстетику при проведении ортодонтического лечения на брекетах?
А как решить вопрос с веерообразным расхождением зубов в переднем отделе?
Фокина Вероника Николаевна способна решить любой ваш запрос.
К нам обратилась пациентка именно с таким запросом, и Вероника Николаевна решила его.
Для сохранения эстетики, доктор использовала брекеты Damon Clear в центральном отделе, а Damon Q в жевательном. Это делает лечение на брекетах более экономным.
А главное, что сочетание разных брекетов очень удобно, ведь лечение на них проходит одинаково:
- Активация брекет-системы
- Коррекция
- Наблюдение
Для этого пациентка посещала клинику всего раз в 2 месяца, и вы сами можете оценить результат.
Если вы задумывались об ортодонтическом лечении, но ещё не начали его, то для вас у нас есть специальное предложение беспроцентной рассрочки на срок до 24 месяцев.

Мечтаете о красивой и ровной улыбке?
В кейсе вы видите преображение улыбки от нашего ортодонта Фокиной Вероники Николаевны.
Пациентка обратилась в нашу клинику с такими проблемами: неправильный прикус, наклон и скученное положение зубов, старые и плоские пломбы с дефектом краевого прилегания на жевательных зубах.
Какая работа была проделана?
- Ортодонтическое лечение с использованием современной безлигатурной системы Damon Q + Damon Clear.Вероника Николаевна сочетала два вида брекетов (металлические на жевательных зубах и керамические на передних зубах) для сохранения эстетики улыбки и усиления эффективности лечения.
- Терапевтическое лечение по замене старых пломб и лечению кариеса.Новые пломбы не только восстановили естественный рельеф жевательных зубов, но и высоту зубов для улучшения функции пережевывания пищи и сохранения правильного прикуса.
Так, личный куратор помог пациентке грамотно составить поэтапность лечения, синхронизировать визиты к докторам. А врачи составили прекрасный тандем по комплексному решению проблем с зубами.

Улыбка много для вас значит?
Для того, чтобы чувствовать себя комфортно и уверенно нужно много составляющих, но в первую очередь, это состояние ваших зубов.
Если вы недовольны цветом, формой или положением зубов, то это всегда можно исправить. Так, хотим вам показать работу Фокиной Вероники Николаевны.
У пациентки было нарушение прикуса, а также небольшой разворот передних нижних и верхних резцов. В тех случаях, когда наши передние зубы стоят неправильно, это мешает нам комфортно говорить и улыбаться. В некоторых случаях даже влияет на дикцию.
Вероника Николаевна провела ортодонтическое лечение с помощью брекетов Damon Q. Это безлигатурные брекеты, которые не нужно постоянно подтягивать резиночками или проволочками, внутри них уже есть замок, который держит дугу.
Результат вы можете оценить сами.

Как быть, если нужно ортодонтическое лечение, хочется, чтобы брекеты были незаметны, но ограничен бюджет?
Фокина Вероника Николаевна знает решение, и в кейсе вы можете сами увидеть пример ее работы.
Какой же выход она нашла для нашего пациента?
Самолигирующие брекеты Damon! Они имеют много плюсов, среди которых возможность комбинировать брекеты между собой!
Таким образом, для достижения максимальной эстетики Вероника Николаевна использовала на фронтальной группе зубов керамические брекеты Damon Clear. А в жевательном отделе, где эстетика не так важна, были установлены металлические брекеты Damon Q.
Что было сделано? У пациента был глубокий прикус и, как следствие, появилась патологическая стираемость зубов. Зуб 16 не подлежал лечению и его удалили.
Поставили брекеты DamonClear + Damon Q, подключили ортодонтический минивинт, исправили глубокий прикус. Также закрыли промежуток от удаленного зуба 16 путем перемещения на его место зуба 17, и далее 18. Представляете, без установки импланта только одним ортодонтическим лечением Вероника Николаевна исправила дефект от отсутствующего зуба.
Стираемость эмали (неровный режущий край) пациент путем реставраций делать не захотел, сказал и так всё нравится.
Кстати, вы можете лечиться в рассрочку под 0%! Многие пациенты сейчас выбирают именно такой способ оплаты, ведь не нужно копить и откладывать деньги. Платеж 6000 рублей в месяц, это всего 200 рублей в день! Цена стакана кофе!

3 шага, как стать более уверенным в себе:
- Сделать зубы ровными с помощью ортодонтического лечения на брекетах/элайнерах.
- Восстановить отсутствующие зубы с помощью имплантации.
- Установить виниры для идеальной улыбки.
Объясним, как это работает на примере совместной работы наших докторов Фокиной Вероники Николаевны и Лавринович Екатерины Александровны.
Пациентка обратилась с жалобами на эстетику улыбки, дискомфорт при жевании из-за отсутствия зубов. Наши доктора определили снижение высоты прикуса и патологический глубокий прикус.
Поэтому было принято решение начинать именно с исправления прикуса. Фокина Вероника Николаевна установила брекеты. Улыбка уже начала становиться другой, более правильной и эстетичной.
После снятия брекетов был период имплантации. Ведь без восстановления жевательных зубов вся работа над прикусом может сойти на «нет».
И ключевым штрихом красивой улыбки стало тотальное протезирование. И посмотрите, как изменилась улыбка пациентки!
Она стала поистине «голливудской». У пациентки совсем ушло стеснение при разговоре, появилось желание постоянно улыбаться!
А какие ваши способы, как стать более уверенным в себе? Делитесь в комментариях.
А если вы хотите улыбаться без стеснения, то мы ждем вас на консультацию https://vk.cc/ckyUsq
Мы предоставляем своим клиентам стоматологические услуги высокого качества. Чтобы убедиться в этом — изучите независимое мнение о нас от пациентов и авторитетных изданий:



