Шинирование зубов в Санкт-Петербурге
Как сохранить зубы, если они стали подвижны? Существуют ли незаметные для окружающих методы лечения? Да, в клинике Super Smile вам могут предложить услугу шинирования, которое поможет сохранить ваши зубы.
- Современный и грамотный подход к шинированию зубов в клинике Super Smile!
- Забота о полости рта теперь доступнее с беспроцентной рассрочкой!
Узнайте, пора ли вам показаться стоматологу!
Ответьте на несколько вопросов, чтобы самостоятельно оценить своё здоровье и получите сертификат от нашей клиники (для новых пациентов)!

Какие методы шинирования подвижных зубов существуют?
Какие виды шинирования зубов могут быть?
По сроку службы шинирование разделяется на временное (срок до 6 месяцев) и постоянное (сроком более 6 месяцев).
По способу фиксации шинирование подвижных зубов бывает:
- назубным — связующие конструкции крепят к поверхности зуба с помощью композитных материалов.
- внутризубным — нуждается в дополнительном препарировании зубов для установки связующей конструкции, поэтому применяется только при тяжелых формах подвижности.
Постоянное шинирование зубов может быть съемным и несъемным. Съемное — это ортопедические протезы, а несъемное — ленты, композитные материалы, проволока и нить.
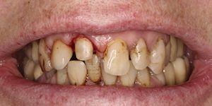
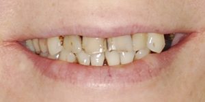
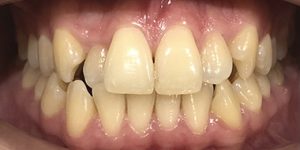
Шинирование зубов — это процедура укрепления подвижных зубов путем их соединения в единую конструкцию. Шинирование позволяет консервативным путем сохранить функциональность и эстетику зубов. Как работает лечение шинирование? Объединяя зубы шиной, мы тем самым распределяем жевательное давление между подвижными и неподвижными зубами. Так, подвижные зубы «отдыхают», ткани вокруг них постепенно восстанавливаются, и мы приходим к ремиссия заболевания. Наиболее эффективно шинирование передних зубов.
Методы шинирования подвижных зубов:
О стоматологической клинике Super Smile

Клиника Super Smile — это комплексный и индивидуальный подход в лечении каждого пациента. Для качественного оказания стоматологических услуг у нас есть слаженная команда врачей, новейшее оборудование и современные методики лечения. Именно благодаря такому подходу стоматологическая клиника Super Smile среди 100 лучших стоматологических клиник России согласно рейтингам «Коммерсант-Здоровье» и «Start Smile».
В 2021 мы вошли в ТОП-10 клиник по версии порталов НаПоправку и ПроДокторов. В 2022 году мы также были удостоены нескольких виртуальных наград и медалей от портала ПроДокторов. Мы подарим вам счастливую улыбку и здоровые зубы!
Доктора клиники Super Smile имеют большой опыт в шинировании подвижных зубов. Если вы мечтаете о здоровой и красивой улыбке – скорее записывайтесь на первую бесплатную консультацию!
Почему стоит доверить шинирование зубов нашей клинике?
-
Наши доктора владеют различными методиками шинирования подвижных зубов.
-
У нас есть самые современные материалы для проведения шинирования.
-
Беспроцентная рассрочка на любые виды лечения!
-
3D сканер Medit i500 для вашего удобства и высокого качества лечения!
-
Собственный компьютерный томограф для проведения грамотной диагностики!
Реши свою проблему
Какие плюсы есть у шинирования зубов?

В этих случаях вопрос о лечении решается в индивидуальном порядке.
-
Возраст для проведения шинирования:
рекомендовано с 10-15 лет после появления всех постоянных зубов.
-
Показания для шинирования:
Выраженная степень пародонтита или пародонтоза, подвижность зубов различной степени, травма зубов или зубного ряда, сахарный диабет, остеопороз или другие заболевания, ослабляющие костную ткань и нарушающие гормональный фон, сильный авитаминоз, ретенционный период после ортодонтического лечения, неправильное расположение одного или нескольких зубов и их перегрузка.
-
Абсолютные противопоказания к шинированию зубов:
Злокачественные новообразования в полости рта, герпетическая инфекция в обострении, ОРВИ, иммунодефицитные состояния, которые сильно ослабляют организм, обострение сердечно-сосудистых заболеваний.
-
Относительные противопоказания:
Неудовлетворительная гигиена полости рта, беременность и период лактации.
Как проводится шинирование подвижных зубов?
Рассмотрим пример шинирования зубов стекловолокном.
-
Первичный осмотр и консультация.
Обращение в нашу клинику начинается со сбора анамнеза, жалоб. Доктор проводит визуальный осмотр полости рта, оценку состояния всех зубов и десен.
-
Диагностические мероприятия.
Для определения степени тяжести заболевания десен или для проведения дифференциальной диагностики назначается рентгенологическое обследование, ОПТГ или КТ. В некоторых случаях проводят осмотр с помощью 3D сканера, и затем доктор составляет комплексный план лечения.
-
Проведение профессиональной гигиены полости рта.
Поверхность всех зубов очищается на современном аппарате EMS Prophylaxis Master или аппарате Air Flow.
-
Проведение местной анестезии.
Исходя из показаний и вашего состояния, доктор подбирает анестетик и проводит местную анестезию.
-
Препарирование зубов.
Доктор создает бором горизонтальную бороздку вдоль зубов, которые подлежат шинированию. Ширина и высота выемки около 2 мм.
-
Укладывание стекловолоконной ленты.
-
Внесение светоотверждаемого материала.
Сверху стекловолокно заливается жидким светоотверждаемым композитом и засвечивается.
-
Шлифовка, полировка.
Решите свою проблему
А теперь — самое главное:
Заботливый системный подход Super Smile

В Super Smile всё начинается с заботы.
Мы не просто лечим зубы — мы сохраняем ваше здоровье и уверенность на долгие годы. Перед лечением мы внимательно обследуем, объясняем каждый шаг и вместе составляем индивидуальный план лечения, где всё продумано — от диагностики до результата. Так вы точно знаете, что происходит, и чувствуете заботу на каждом этапе
Что включает комплексный план лечения?
- Осмотр и консультация специалиста
- Подробный фотопротокол
- Заполнение “зубной формулы” – вашей карты улыбки
- Медицинский план лечения
- Выгодный финансовый план лечения
Почему заботливый и системный подход работает лучше
В Super Smile мы верим, что стоматология должна быть не спешной, а осознанной и внимательной.
Такой подход сохраняет здоровье, экономит средства и помогает сохранить результат на годы вперёд.
| Обычное лечение | Заботливый системный подход Super Smile |
|---|---|
| Посадить пациента в кресло и сразу начать лечение | Сначала выслушать, обследовать, всё объяснить и только потом вместе выбрать лучший путь |
| Начать с самых дорогих процедур, не думая о логике | Продумать план шаг за шагом, чтобы не пришлось что-то переделывать через полгода |
| Предложить один «удобный» вариант и настаивать на нём | Разработать несколько вариантов лечения — по срокам, бюджету и комфорту |
| Передать пациента любому свободному врачу | Собрать команду специалистов, где каждый отвечает за свой этап, а результат — общий |
| Говорить, что бюджет невозможно рассчитать заранее | Составить прозрачный финансовый план и помочь спокойно спланировать расходы |
| Не давать гарантий на работу | Предоставить реальные гарантии на лечение — чтобы вы были уверены в результате и спокойны за свою улыбку |
С заботой — с первого шага
Стоимость индивидуального Плана лечения — всего 0 рублей.
В него входит полное обследование, консультация специалиста и составление медицинского и финансового планов. Отдельно оплачивается 3D снимок для точной диагностики.
Ответы на самые распространенные вопросы
-
В чем особенности адгезивного протезирования зубов?
Адгезивное протезирование зубов — это вид протезирования, который восстанавливает отсутствие одного или двух зубов. Его главным достоинством является то, что не нужно обтачивать соседние от дефекта зубы. Адгезивный протез крепится к соседним зубам с помощью балочной проволочной конструкции или стекловолокна. При этом проволока или стекловолокно крепится на искусственной коронке и соседних зубах при помощи специального материала. Такой протез является недостаточно прочным, поэтому применяется как временный протез перед имплантацией, либо лишь во фронтальном отделе челюсти.
-
Сколько стоит адгезивный зубной протез?
Адгезивный зубной протез изготавливается из различных материалов: пластмассы, прессованной керамики, диоксида циркония и металлокерамики. Поэтому цена на адгезивный зубной протез может сильно отличаться в зависимости от выбранного материала. Точную стоимость и вид крепления вы сможете определить с нашими докторами на индивидуальной консультации.
-
С помощью чего держится адгезивный зубной протез?
Адгезивный зубной протез крепится к соседним зубам с помощью балки (проволоки) или стекловолокна и специального адгезивного клея. Этот клей разбухает во влажной среде полости рта и надежно фиксирует протез даже при жевательной нагрузке.
Получите каталог услуг Super Smile: цены, этапы лечения и все преимущества в удобном формате















