Срочное лечение зубов в Санкт-Петербурге
Верните красивую и здоровую улыбку!
Диагностику и лечение зубов важно проводить незамедлительно!
По статистике Кариес – самое распространенное в мире заболевание
-
70%
обращающихся в стоматологию людей не подозревают о наличии у себя кариеса
-
50%
из них имеют кариес в ранней стадии, когда лечение безболезненное и не требует больших затрат
-
25%
случаев перерастания кариеса в пульпит, лечение которого сложное и затратное
-
7%
обращений происходит, когда зуб с кариесом не поддается лечению и имеет показания к удалению
Решите свою проблему
В нашей клинике Вы сможете быстро пройти диагностику и получить рекомендации по дальнейшему лечению от высококвалифицированных специалистов.
Основные правила качественного и безболезненного лечения зубов
Воспаление зубных тканей лечится в несколько этапов и требует хорошей подготовки стоматолога. В нашей клинике все этапы лечения проходят быстро. Врачи делают все зависящее от них, чтобы нерв зуба сохранился, а лечение прошло максимально безболезненно.

Стадии кариеса
-
Кариозное пятно

-
Поверхностный кариес

-
Средний кариес

-
Глубокий кариес

Решите свою проблему
Легче всего воспаление десенных тканей лечить на начальных этапах. Врачи нашей клиники составят индивидуальный план лечения, направленный как на купирование симптомов, так и на устранение причины заболевания.

Стадии гингивита
-
Гингивит
-
Начальтая стадия пародонтита
-
Тяжелая стадия парадонтита
Какие виды лечения мы проводим
-
Диагностика
В клинике проводится обширная высокоточная диагностика. Совмещение визуальных и аппаратных методов позволяет получить всестороннюю информацию о состоянии полости рта и происходящих в ней процессах. Клиника обладает всем необходимым оборудованием, чтобы можно было сделать все снимки на месте.

-
Лечение кариеса
Для лечения кариеса используются современные материалы и оптимальные методы. Опытные специалисты проведут работу тщательно и профессионально. Лечение производится безболезненно, места, в которых проходило лечение, визуально незаметны. На лечение вы получите гарантию.

-
Лечение пульпита
Воспаление зубных тканей лечится в несколько этапов и требует хорошей подготовки стоматолога. В нашей клинике все этапы лечения проходят быстро. Врачи делают все зависящее от них, чтобы нерв зуба сохранился, а лечение прошло максимально безболезненно.

-
Лечение гингивита
Легче всего воспаление десенных тканей лечить на начальных этапах. Врачи нашей клиники составят индивидуальный план лечения, направленный как на купирование симптомов, так и на устранение причины заболевания.

-
Лечение стоматита
Существует множество причин, приводящих к поражению мягких тканей и слизистой. Лечение в нашей клинике направлено в первую очередь на диагностику причины стоматита и ее устранение.

-
Лечение каналов зуба
Диагностика воспаления каналов зуба проводится с помощью томографа. Лечение – с помощью микроскопа, обеспечивающего ювелирную точность работы. Это позволяет максимально быстро удалить очаги воспаления и очистить канал, таким образом сохраняя зуб. Лечение каналов зуба производится профессиональными эндодонтистами, которые до последнего борются за каждый зуб.

-
Лечение периостита
Флюс – самое дискомфортное стоматологическое заболевание. Мы индивидуально подберем тактику лечения периостита, исходя из степени тяжести, формы заболевания, возраста пациента. С нашей помощью вы избавитесь от боли и дискомфорта.

-
Лечение зубов под микроскопом
Максимальную точность работы обеспечивает методика лечения зубов под микроскопом. Использование высокоточной аппаратуры позволяет лечить даже небольшие, визуально незаметные болезни зубов. Лечение под микроскопом позволяет сохранять зубы, которые еще лет десять назад считались неподдающимися лечению и просто удалялись.

Решите свою проблему
Узнайте, пора ли вам показаться стоматологу!
Ответьте на несколько вопросов, чтобы самостоятельно оценить своё здоровье и получите сертификат от нашей клиники (для новых пациентов)!

Этапы лечения
-
Диагностика
-
Составление плана лечения
-
Выполнение работ по плану
-
Красивая улыбка
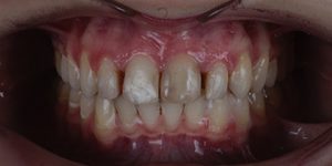
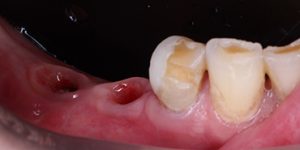
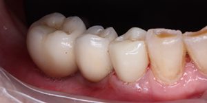
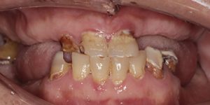
Работы наших врачей
Преимущества лечения у нас
Калькулятор рассрочки на лечение зубов
Ваш расчёт:
1. Стоимость лечения: ₽
2. Срок рассрочки:
3. Первый взнос: ₽
4. Ежемесячный платеж: ₽
5. Итого общая сумма платежей: ₽
6. Переплата: 0%
А теперь — самое главное:
Заботливый системный подход Super Smile

В Super Smile всё начинается с заботы.
Мы не просто лечим зубы — мы сохраняем ваше здоровье и уверенность на долгие годы. Перед лечением мы внимательно обследуем, объясняем каждый шаг и вместе составляем индивидуальный план лечения, где всё продумано — от диагностики до результата. Так вы точно знаете, что происходит, и чувствуете заботу на каждом этапе
Что включает комплексный план лечения?
- Осмотр и консультация специалиста
- Подробный фотопротокол
- Заполнение “зубной формулы” – вашей карты улыбки
- Медицинский план лечения
- Выгодный финансовый план лечения
Почему заботливый и системный подход работает лучше
В Super Smile мы верим, что стоматология должна быть не спешной, а осознанной и внимательной.
Такой подход сохраняет здоровье, экономит средства и помогает сохранить результат на годы вперёд.
| Обычное лечение | Заботливый системный подход Super Smile |
|---|---|
| Посадить пациента в кресло и сразу начать лечение | Сначала выслушать, обследовать, всё объяснить и только потом вместе выбрать лучший путь |
| Начать с самых дорогих процедур, не думая о логике | Продумать план шаг за шагом, чтобы не пришлось что-то переделывать через полгода |
| Предложить один «удобный» вариант и настаивать на нём | Разработать несколько вариантов лечения — по срокам, бюджету и комфорту |
| Передать пациента любому свободному врачу | Собрать команду специалистов, где каждый отвечает за свой этап, а результат — общий |
| Говорить, что бюджет невозможно рассчитать заранее | Составить прозрачный финансовый план и помочь спокойно спланировать расходы |
| Не давать гарантий на работу | Предоставить реальные гарантии на лечение — чтобы вы были уверены в результате и спокойны за свою улыбку |
С заботой — с первого шага
Стоимость индивидуального Плана лечения — всего 0 рублей.
В него входит полное обследование, консультация специалиста и составление медицинского и финансового планов. Отдельно оплачивается 3D снимок для точной диагностики.
-
Как отбелить зубы при флюорозе?
Все зависит от степени выраженности дефекта. При небольшом флюорозе врач может посоветовать сочетание отбеливания и реминерализации. Радикальный способ решить проблему – установка виниров. -
Удалила зуб, через некоторое время заболел рядом стоящий, что делать?
Причину зубной боли может определить только врач на приеме. -
Можно ли на этапе планирования беременности удалить зуб мудрости?
Все стоматологические процедуры (удаление зубов, лечение кариеса, чистку) нужно проводить до наступления беременности, на этапе планирования. -
Можно ли чистить зубы с брекетами электрической зубной щеткой?
Да, но не любой. Ультразвуковые щетки противопоказаны при ношении брекетов, так как их воздействие может сделать крепление брекетов к зубам менее прочным. Уточните у врача, какая щетка вам подойдет. -
Возможно ли отбелить депульпированный зуб?
Чаще всего депульпируют зубы от 5-го до 7-го (или 8-го), так как именно они обычно бывают поражены глубоким кариесом. Эти зубы почти не видно при улыбке, поэтому их не затрагивают во время отбеливания. Если же у вас депульпирован видимый зуб, при заметном изменении его цвета нужно провести обследование, чтобы понять: не пора ли заменить пломбу? Депульпированные зубы сохраняются достаточно долго, если запломбированы качественно. Если же с зубом (его корнем и коронковой частью) и пломбой все в порядке, то отбеливание проводить можно. -
Нормально ли, что после удаления нерва зуба ощущается боль?
Боль может ощущаться примерно неделю, пока не заживут окружающие травмированные ткани. Можно принимать любые обезболивающие или, в случае сильной боли, прийти на прием к врачу. -
Сколько стоит процедура восстановления эмали зубов?
Реминерализация эмали, или, иначе говоря, ее восстановление и укрепление, проводится часто после профессиональной чистки или отбеливания. Полная стоимость процедуры зависит от исходного состояния зубов, сопутствующих проблем. Точно узнать стоимость вы можете на приеме, после того как врач проведет осмотр. -
Возможно ли снять реставрационный материал, отбелить зубы и опять провести реставрацию?
Если видимая поверхность зубов была отреставрирована, а затем материал потемнел, можно частично или полностью заменить его. Сам по себе пломбировочный материал отбелить невозможно. -
При брекетах можно лечить кариес зубов?
Перед установкой брекетов требуется вылечить все очаги кариеса. При достаточной гигиене во время ношения брекетов кариес, как правило, не образуется. Но если так случилось, вылечить его можно, сняв на время только дугу – придется в один день посетить и врача – стоматолога-терапевта, и ортодонта. Оставлять кариес без лечения на долгий срок не рекомендуется. -
Как восстановить зуб, если сломалась задняя стенка?
Нужно осмотреть зуб и определить, сохранен ли его корень. Если корень здоров и зуб не шатается, коронковую часть можно восстановить с помощью эстетической пломбы.
Получите каталог услуг Super Smile: цены, этапы лечения и все преимущества в удобном формате

Наши врачи
Цены Super Smile
-
Терапия
- Восстановление зуба пломбой, вторичный кариес.
- 10 400 ₽
- Восстановление зуба пломбой, глубокий кариес.
- 10 100 ₽
- Восстановление зуба пломбой, клиновидный дефект.
- 8 800 ₽
- Восстановление зуба пломбой, поверхностный кариес.
- 7 900 ₽
- Восстановление зуба пломбой, реставрация эстетикофункциональная жевательные зубы.
- 12 000 ₽
- Восстановление зуба пломбой, реставрация эстетическая передние зубы.
- 13 500 ₽
- Восстановление зуба пломбой, средний кариес.
- 8 700 ₽
- Восстановление зуба пломбой, без препарирования, ICON.
- 9 200 ₽
-
Рентген
- Компьютерная томография челюстно-лицевой области
- 4 200 ₽
- Ортопантомография
- 1 800 ₽
- Ортопантомография (в первый визит)
- 1 300 ₽
- Радиовизиография (1 снимок)
- 700 ₽
- Радиовизиография (2-5 снимков за 1 визит)
- 1 200 ₽
- Радиовизиография (промежуточный, контрольный)
- 600 ₽
- Телерентгенография челюстей
- 1 800 ₽
- Телерентгенография челюстей (в первый визит)
- 1 400 ₽
-
Консультации и общие услуги
- Прием (осмотр, консультация) врача-стоматолога первичный
- 0 ₽
- Прием (осмотр, консультация) врача-стоматолога(терапевта, хирурга, ортопеда, ортодонта) повторный
- 0 ₽
- Прием (осмотр, консультация) ведущего врача-стоматолога(терапевта, хирурга, ортопеда, ортодонта) повторный
- 0 ₽




























