Вы только посмотрите на результат!
Представляете как изменится жизнь пациента ? Мы да, ведь после восстановления зубов наши пациенты получают повышение на работе, находят вторых половинок, достигают заветных желаний. Появляется уверенность в себе.
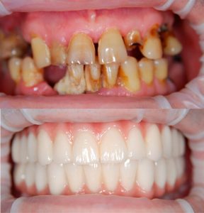
Пациент обратился к нам с жалобами на неудовлетворительный внешний вид зубов, стираемость зубов и на боль во время приёма пищи.
По результатам диагностики было принято решение об удалении всех зубов и установке имплантатов на верхнюю и нижнюю челюсти.
После удаления зубов и установки имплантатов, пациенту были изготовлены временные несъёмные протезы. То есть в такой ситуации пациенты не ходят без зубов, а получают красивую улыбку сразу.
Зубные протезы были изготовлены по современной технологии, на основе диоксида циркония. Это самый прочный и эстетичный материал.
