Как распознать, что у вас скученность зубов?
- Зубы немного развернуты по оси.
- Зубы накладываются друг на друга.
- Между зубами практически нет промежутков, очень тесное положение зубов. В некоторых случаях даже невозможно прочистить зубной нитью.
Что же делать?
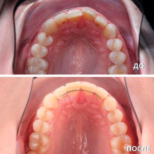
Покажем вам работу специалистов клиники, где использовалась брекет-система.
Брекеты воздействуют с небольшой силой на зубы, но в определенном направлении. Поэтому постепенно они меняют свой угол наклона, разворот, и улыбка становится идеально ровной.
Благодаря исправлению такой патологии брекетами, вы получаете не только красивую и эстетичную улыбку, но и проводите отличную профилактику кариеса между скученными зубами. Вы сможете лучше прочищать контактную поверхность, там не будет образовываться зубной камень, и не появится воспаление десен.
Поэтому занимайтесь исправлением прикуса, а дальше и остальные показатели здоровья полости рта улучшатся автоматически.



