Временное шинирование зубов в Санкт-Петербурге
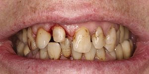
У многих людей с возрастом начинает развиваться такая болезнь десен, как пародонтит. Как сохранить зубы, если идет убыль десны? В таком случае вам поможет временное шинирование. Клиника Super Smile располагает всем необходимым для проведения таких манипуляций.
- Современные технологии на страже вашего здоровья в клинике Super Smile!
- Беспроцентная рассрочка для полноценного лечения полости рта.
Вы получите детализированный расчёт стоимости без ненужных накруток со стороны стоматолога!
Узнайте, пора ли вам показаться стоматологу!
Ответьте на несколько вопросов, чтобы самостоятельно оценить своё здоровье и получите сертификат от нашей клиники (для новых пациентов)!

В чем заключается временное шинирование зубов?
Шинирование подразделяется на временное и постоянное шинирование.
Временное шинирование проводится на срок до 6 месяцев, а постоянное более 6 месяцев.
По способу фиксации временное шинирование бывает:
- назубным (внекоронковая) — связующие конструкции крепят к поверхности зуба с помощью композитных материалов.
- внутризубным (внутрикоронковая) — нуждается в дополнительном препарировании зубов для установки связующей конструкции, поэтому применяется только при тяжелых формах подвижности.
Для временного шинирования зубов применяются современные волоконные арматурные материалы: стекловолокно, полиэтиленовые нити ( Ribbond), арамидная нить, светоотверждаемые полимеры и обладающие высокой силой сцепления с тканями зуба адгезивные системы.
Какие требования предъявляются к временному шинированию при заболеваниях пародонта?
- Прочная фиксация подвижных зубов или всего зубного ряда.
- Равномерное распределение жевательного давления.
- Временная шина не должна повышать или изменять прикус.
- Шина не должна травмировать слизистую оболочку полости рта и мешать ежедневной гигиене.
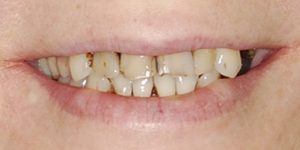
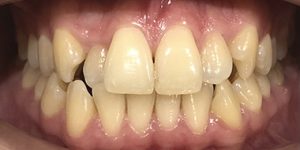
Временное шинирование зубов — это процедура стабилизации подвижных зубов путем их соединения в единую систему. Как работает шинирование при заболеваниях пародонта? В основе механизма лежат законы биомеханики, при которых происходит ограничение движения зубов, они могут перемещаться только вместе с шиной, что практически невозможно. Кроме того, шина нивелирует амплитуду естественных колебаний зубов, поскольку ее собственная амплитуда колебаний ничтожно мала. Так, подвижные зубы меньше нагружаются, всю нагрузку на себя берут здоровые зубы, ткани вокруг подвижных зубов постепенно восстанавливаются, и наступает ремиссия заболевания.
О стоматологической клинике Super Smile

Клиника Super Smile — это комплексный и индивидуальный подход в лечении каждого пациента. Для качественного оказания стоматологических услуг у нас есть слаженная команда врачей, новейшее оборудование и современные методики лечения. Именно благодаря такому подходу стоматологическая клиника Super Smile среди 100 лучших стоматологических клиник России согласно рейтингам «Коммерсант-Здоровье» и «Start Smile».
В 2021 мы вошли в ТОП-10 клиник по версии порталов НаПоправку и ПроДокторов. В 2022 году мы также были удостоены нескольких виртуальных наград и медалей от портала ПроДокторов. За здоровыми зубами и счастливыми улыбками обращайтесь в клинику Super Smile.Доктора клиники Super Smile имеют большой опыт во временном шинировании зубов. Если вы мечтаете о здоровой и красивой улыбке – скорее записывайтесь на первую бесплатную консультацию!
Доктора клиники Super Smile имеют большой опыт во временном шинировании зубов. Если вы мечтаете о здоровой и красивой улыбке – скорее записывайтесь на первую бесплатную консультацию!
Почему временное шинирование зубов стоит провести в клинике Super Smile?
-
Наши доктора владеют различными методиками временного шинирования при заболеваниях пародонта.
-
У нас есть самые современные материалы для проведения временного шинирования.
-
Беспроцентная рассрочка на любые виды стоматологических услуг!
-
Аппарат EMS Prophylaxis Master для безболезненного проведения профессиональной гигиены.
-
Собственный компьютерный томограф для проведения грамотной диагностики!
Гарантия лучшего сочетания цена/качество
Оставьте Ваш телефон и в течение 5 минут мы перезвоним Вам, чтобы подобрать лучшее для Вас время посещения центра имплантации Super Smile.
Какие плюсы есть у временного шинирования зубов?
-
Сохранение зубов.
Временное шинирование позволяет стабилизировать процесс атрофии (убыли) костной ткани, что препятствует потере зубов.
-
Уменьшение подвижности зубов.
Благодаря фиксации зубов шиной, их подвижность уменьшается.
-
Гипоаллергенность.
Для временного шинирования при заболеваниях пародонта используют полимерные материалы, которые полностью биологически совместимы с тканями полости рта.
-
Комфорт.
Временные шины легко полируются, занимают небольшой объем, не мешают чистке зубов и эстетичны.
-
Сохранение бюджета.
Временное шинирование не требует больших материальных затрат.
Как проводится временное шинирование зубов?
Рассмотрим пример временного шинирования зубов стекловолокном или арамидной нитью.
-
Первичный осмотр и консультация.
Лечение начинается со сбора анамнеза и жалоб. Доктор проводит визуальный осмотр полости рта, оценку состояния всех зубов и десен.
-
Диагностические мероприятия.
Для определения степени тяжести заболевания десен или для проведения дифференциальной диагностики назначается рентгенологическое обследование, ОПТГ или КТ. В некоторых случаях проводят осмотр с помощью 3D сканера, и затем доктор составляет комплексный план лечения.
-
Проведение профессиональной гигиены полости рта.
Поверхность всех зубов очищается на современном аппарате EMS Profylaxis Master или аппарате Air Flow.
-
Проведение местной анестезии.
Исходя из показаний доктор подбирает анестетик, если требуется, и проводит местную анестезию.
-
Препарирование зубов.
Доктор создает бором горизонтальную бороздку вдоль зубов, которые подлежат шинированию. Ширина и высота выемки около 2 мм, глубина не более 0,5 мм.
-
Укладывание стекловолоконной ленты или арамидной нити.
-
Внесение светоотверждаемого материала.
Сверху стекловолокно или арамидная нить заливается жидким светоотверждаемым композитом и засвечивается.
-
Шлифовка, полировка.
-
Регулярные визиты к стоматологу.
Раз в 6 месяцев вам нужно посещать доктора для коррекции положения шины и проведения профессиональной гигиены полости рта. Если стекловолоконная шина поломалась, следует обратиться к специалисту, не дожидаясь расхождения шинированных зубов.
Гарантия лучшего сочетания цена/качество
Оставьте Ваш телефон и в течение 5 минут мы перезвоним Вам, чтобы подобрать лучшее для Вас время посещения стоматологии Super Smile.
А теперь — самое главное:
Заботливый системный подход Super Smile

В Super Smile всё начинается с заботы.
Мы не просто лечим зубы — мы сохраняем ваше здоровье и уверенность на долгие годы. Перед лечением мы внимательно обследуем, объясняем каждый шаг и вместе составляем индивидуальный план лечения, где всё продумано — от диагностики до результата. Так вы точно знаете, что происходит, и чувствуете заботу на каждом этапе
Что включает комплексный план лечения?
- Осмотр и консультация специалиста
- Подробный фотопротокол
- Заполнение “зубной формулы” – вашей карты улыбки
- Медицинский план лечения
- Выгодный финансовый план лечения
Почему заботливый и системный подход работает лучше
В Super Smile мы верим, что стоматология должна быть не спешной, а осознанной и внимательной.
Такой подход сохраняет здоровье, экономит средства и помогает сохранить результат на годы вперёд.
| Обычное лечение | Заботливый системный подход Super Smile |
|---|---|
| Посадить пациента в кресло и сразу начать лечение | Сначала выслушать, обследовать, всё объяснить и только потом вместе выбрать лучший путь |
| Начать с самых дорогих процедур, не думая о логике | Продумать план шаг за шагом, чтобы не пришлось что-то переделывать через полгода |
| Предложить один «удобный» вариант и настаивать на нём | Разработать несколько вариантов лечения — по срокам, бюджету и комфорту |
| Передать пациента любому свободному врачу | Собрать команду специалистов, где каждый отвечает за свой этап, а результат — общий |
| Говорить, что бюджет невозможно рассчитать заранее | Составить прозрачный финансовый план и помочь спокойно спланировать расходы |
| Не давать гарантий на работу | Предоставить реальные гарантии на лечение — чтобы вы были уверены в результате и спокойны за свою улыбку |
С заботой — с первого шага
Стоимость индивидуального Плана лечения — всего 0 рублей.
В него входит полное обследование, консультация специалиста и составление медицинского и финансового планов. Отдельно оплачивается 3D снимок для точной диагностики.
Получите каталог услуг Super Smile: цены, этапы лечения и все преимущества в удобном формате

















