Ключ к вашей уверенности — ваша улыбка!
А на что мы обращаем внимание, когда нам улыбаются? Правильно! На передние зубы, их цвет, форму, наличие пломб..
А что делать, если не все передние зубы на месте?
Тут и хотим разобрать клинический случай. В нашу клинику обратился пациент с жалобами на полностью разрушенные передние зубы: от 13, 22, 23 зубов остались лишь корни.
Конечно же, пациент стеснялся улыбаться, говорить, ведь была частично нарушена дикция. Ему было неудобно откусывать пищу, так как передние зубы отвечают именно за откусывание, а не только за эстетику улыбки.
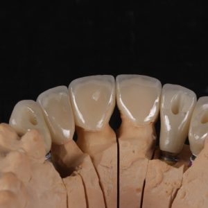
Сулаев Роберт Эрнестович, наш хирург-имплантолог, установил имплантаты в области разрушенных зубов. Таким образом, при дальнейшем восстановлении улыбки не нужно было обтачивать жевательные зубы.
Казакова Мария Павловна подобрала такое сочетание коронок, чтобы искусственные зубы не отличались от собственных. Поэтому ортопедическая конструкция состояла из циркониевых и керамических коронок Emax.
Наши доктора всегда нацелены на наилучший результат для пациентов, учитывают ваши пожелания и предпочтения. Поэтому ваши новые улыбки, как и в случае нашего пациента, получаются естественными и красивыми!
Теперь пациент может чувствовать себя более уверенно и расслабленно, ведь у него красивая улыбка, естественная форма и цвет зубов
А если и вы хотите обрести уверенность, просто исправив свою улыбку, то мы ждем вас https://vk.cc/ckyUsq


