Виниры на неправильный прикус в Санкт-Петербурге
Виниры — это тонкие накладки на переднюю поверхность центральных зубов. Если у вас неправильный прикус, то лучше сначала провести ортодонтическое лечение, а потом устанавливать виниры.
- Виниры на неправильный прикус — пройдите бесплатную консультацию в Super Smile!
- Позвольте себе идеальную улыбку с нашей рассрочкой под 0%!
Вы получите детализированный расчёт стоимости без ненужных накруток со стороны стоматолога!
Какие брекеты подойдут Вам? Пройдите тест и получите купон на 7 бонусов!
Ответьте на несколько вопросов, чтобы самостоятельно оценить своё здоровье и получите сертификат от нашей клиники (для новых пациентов)!

Как исправить прикус винирами?
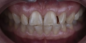
Что же такое неправильный прикус? Это любое неправильное смыкание передних и жевательных зубов. Неправильный прикус может быть:
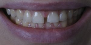
- открытый прикус — во фронтальном отделе полностью отсутствует контакт между зубами.
- дистальный прикус — верхняя челюсть выдвинута относительно нижней, нижняя челюсть может быть недоразвита (микрогнатия).
- перекрестный прикус — смещение нижней челюсти в сторону, зубы нижней челюсти частично перекрывают зубы верхней челюсти.
- мезиальный прикус. Сильное выдвижение нижней челюсти относительно верхней.
- глубокий прикус – значительное перекрытие нижних резцов верхними.
Какие плюсы вы получите, если сначала исправите прикус, виниры поставите потом?
- Эстетика вашей улыбки. Виниры сделают вашу улыбку ровной и красивой.
- Экономия. Исправляя сначала прикус, вы не выкидываете «на ветер» деньги для установки виниров.
- Долговечность. Виниры, установленные после ортодонтического лечения, сделанные из керамики, прослужат вам более 20-30 лет при должном уходе.
- Сохранение собственных тканей зуба. При установке виниров снимается всего несколько мм тканей, в отличие, например, от коронок.
Из этого списка видно, что тонкие накладки в виде виниров не могут исправить такие сильные патологии. Ставить виниры на неправильный прикус не имеет смысла, так как они быстро придут в негодность, может произойти трещина и скол винира. Поэтому сначала исправляют прикус брекетами или элайнерами, а лишь потом ставят виниры.
Виниры в СПб - как сделать улыбку идеальной?
О стоматологической клинике Super Smile

Клиника Super Smile — это центр эстетической стоматологии. Наша цель — создание красивых улыбок, повышение вашей самооценки и улучшение вашего уровня жизни. Для этого мы используем в своей работе передовые технологии и лучшие материалы, а также честно говорим о том, какое лечение вам провести будет выгоднее и благоприятнее. Благодаря такому подходу клиника Super Smile вот уже несколько лет входит в число лучших стоматологических клиник России, а рейтинги 2022 года только подтверждают это.
Мы вошли в 10 лучших клиник Санкт-Петербурга согласно рейтингам «Коммерсант-Здоровье» и «Start Smile». Последние два года мы получили также награды, как топовые клиники Санкт-Петербурга по версии порталов НаПоправку, ПроДокторов и 32top. Поэтому если вы мечтаете о комфорте и индивидуальном подходе, то вам в клинику Super Smile!
Доктора клиники Super Smile на постоянной основе занимаются исправлением прикуса и винирами. Если вы мечтаете о ровной и здоровой улыбке, не ждите – скорее записывайтесь на первую бесплатную консультацию!
Преимущества клиники Super Smile для исправления прикуса и установки виниров.
-
Наши специалисты имеют большой опыт в работе с винирами после исправления прикуса.
-
Персональный куратор поможет оформить рассрочку под 0% на лечение.
-
Уникальные гарантии на исправление прикуса.
-
Интраоральный сканер Itero для высокого качества нашей работы.
-
Все виды диагностики у нас в клинике с собственным компьютерным томографом.
Цифровое 3D-сканирование зубов в Super Smile.
Хотели бы вы знать, как будет выглядеть ваша улыбка после ортодонтического лечения?
В нашей клинике вы можете увидеть результат лечения, еще даже не начав его. Для этого мы используем сканер Itero. Это уникальное оборудование позволяет доктору смоделировать будущий результат, а пациенту увидеть все со стороны.
После уже первого приёма у ортодонта, будете знать, стоит ли вам начинать ортодонтическое лечение и какого результата вам ждать!
- Увидите будущую ровную улыбку еще до начала лечения
- Сможете поучаствовать в создании вашей улыбки вместе с доктором
- Получите консультацию опытного ортодонта. Каждый врач установил более 2000 брекет-систем/элайнеров

Гарантия лучшего сочетания цена/качество
Оставьте Ваш телефон и в течение 5 минут мы перезвоним Вам, чтобы подобрать лучшее для Вас время посещения центра имплантации Super Smile.
Почему вам стоит исправить прикус, а виниры ставить потом?
-
Деньги. Чтобы не платить за виниры дважды, исправьте сначала прикус.
-
Осуществите свою мечту. Займитесь и исправлением прикуса, и эстетикой своей улыбки!
-
Срок службы виниров будет гораздо дольше, если вы сначала исправите прикус.
-
Рассрочка. Оформите беспроцентную рассрочку в клинике Super Smile, и проведите любое лечение, которое хотите!
-
Ваше здоровье. Исправляя прикус, вы занимаетесь профилактикой головных болей, болей в спине и проблем с ЖКТ.
Этапы исправления прикуса и установки виниров
-
Первичная консультация и осмотр.
На первой консультации наши специалисты проинформируют вас о будущей процедуре, проведут осмотр полости рта, оценят состояние зубов и десен.
-
Диагностика.
Для проведения дифференциальной диагностики, выявления кариеса или других патологий назначается рентгенологическое обследование, ОПТГ или КТ.
-
Санация полости рта.
Проводится при необходимости, если у вас есть кариес и другие очаги хронической инфекции.
-
Установка брекетов.
Доктор снимает цифровые оттиски (слепки), изготавливает гипсовые модели ваших зубов, где размещает брекеты, а потом переносит их в полость рта.
-
Выравнивание зубов и исправление прикуса.
Это самый долгий этап лечения, который занимает различное время у каждого пациента. Именно на этом этапе вы будете видеть, как ваши зубы встают на свое место. Вам нужно будет периодически посещать нашу клинику для коррекции брекет-системы.
-
Установка ретейнеров.
Для того, чтобы закрепить результат ортодонтического лечения, с внутренней поверхности зубного ряда устанавливают ретейнер (специальную тонкую проволочку). Именно она не будет давать вашим зубам вернуться на старое «неправильное» положение.
-
Изготовление виниров.
Начинается с подбора цвета будущей конструкции и препарирования зубов (обточки) под виниры специальным бором. Далее доктор снимает цифровые оттиски (слепки) и отправляет их в лабораторию. Там виниры изготавливается из керамического блока.
-
Фиксация виниров.
Перед фиксацией поверхность обточенных зубов обрабатывается ортофосфорной кислотой, которая затем смывается. Далее поверхность покрывается специальным бондом. Далее виниры фиксируются на специальный стоматологический цемент. Даются рекомендации по уходу за готовой конструкцией.
Гарантия лучшего сочетания цена/качество
Оставьте Ваш телефон и в течение 5 минут мы перезвоним Вам, чтобы подобрать лучшее для Вас время посещения стоматологии Super Smile.
А теперь — самое главное:
Заботливый системный подход Super Smile

В Super Smile всё начинается с заботы.
Мы не просто лечим зубы — мы сохраняем ваше здоровье и уверенность на долгие годы. Перед лечением мы внимательно обследуем, объясняем каждый шаг и вместе составляем индивидуальный план лечения, где всё продумано — от диагностики до результата. Так вы точно знаете, что происходит, и чувствуете заботу на каждом этапе
Что включает комплексный план лечения?
- Осмотр и консультация специалиста
- Подробный фотопротокол
- Заполнение “зубной формулы” – вашей карты улыбки
- Медицинский план лечения
- Выгодный финансовый план лечения
Почему заботливый и системный подход работает лучше
В Super Smile мы верим, что стоматология должна быть не спешной, а осознанной и внимательной.
Такой подход сохраняет здоровье, экономит средства и помогает сохранить результат на годы вперёд.
| Обычное лечение | Заботливый системный подход Super Smile |
|---|---|
| Посадить пациента в кресло и сразу начать лечение | Сначала выслушать, обследовать, всё объяснить и только потом вместе выбрать лучший путь |
| Начать с самых дорогих процедур, не думая о логике | Продумать план шаг за шагом, чтобы не пришлось что-то переделывать через полгода |
| Предложить один «удобный» вариант и настаивать на нём | Разработать несколько вариантов лечения — по срокам, бюджету и комфорту |
| Передать пациента любому свободному врачу | Собрать команду специалистов, где каждый отвечает за свой этап, а результат — общий |
| Говорить, что бюджет невозможно рассчитать заранее | Составить прозрачный финансовый план и помочь спокойно спланировать расходы |
| Не давать гарантий на работу | Предоставить реальные гарантии на лечение — чтобы вы были уверены в результате и спокойны за свою улыбку |
С заботой — с первого шага
Стоимость индивидуального Плана лечения — всего 0 рублей.
В него входит полное обследование, консультация специалиста и составление медицинского и финансового планов. Отдельно оплачивается 3D снимок для точной диагностики.
-
Как исправить прикус без установки брекетов?
Есть вариант лечения с помощью съемных прозрачных кап. Они почти незаметны и постепенно исправляют положение зубов так же, как и брекеты. Но в сложных случаях нарушения прикуса капы не всегда могут помочь. -
Как убрать щели между зубами?
С помощью брекетов: чтобы стянуть щели между зубами, на брекеты надевают эластичные цепочки. Единичные небольшие щели (например, диастему) можно скрыть, установив виниры. -
Есть ли у вас рассрочка оплаты?
Да. Вы можете заключить договор и начать лечение, а оплачивать его в рассрочку. Мы не начисляем проценты: стоимость лечения будет просто разделена на несколько частей. Согласовать график вы сможете непосредственно в клинике после составления плана лечения. -
Как исправить диастему во взрослом возрасте?
Исправить диастему, как и другие дефекты расположения зубов, можно в любом возрасте. Самый лучший способ для этого – брекеты или прозрачные капы. Тогда лечение будет направлено на устранение не только внешнего дефекта, но и всех сопутствующих ему проблем. -
Помогут ли виниры выровнять зубы?
Если нужно исправить небольшую неровность (например, один зуб немного выступает вперед), то при установке виниров, варьируя толщину пластин, можно скрыть этот дефект, не прибегая к установке брекетов. Но при значительных нарушениях прикуса и положения зубов виниры не устанавливают.
Получите каталог услуг Super Smile: цены, этапы лечения и все преимущества в удобном формате

Наши врачи-ортопеды
Цены на исправление прикуса
-
Поможем вернуть 13% НДФЛ
-
Уникальные гарантии на исправление прикуса
-
Лучшая цена среди клиник с рейтингом 5*
Предложение не является публичной офертой.
*Цены уточняйте по телефону +7 (812) 575-56-01

















