Чистка карманов зубов в Санкт-Петербурге
Основной причиной развития заболеваний десен является зубной налет и зубной камень. Для качественного лечения необходимо удаление этих отложений с поверхности зубов и чистка карманов зубов от зубного камня. В клинике Super Smile вам окажут специализированную помощь по передовым технологиям.
- Современная чистка карманов зубов без боли!
- Швейцарское качество лечения на новейшем оборудовании!
Вы получите детализированный расчёт стоимости без ненужных накруток со стороны стоматолога!
Узнайте, пора ли вам показаться стоматологу!
Ответьте на несколько вопросов, чтобы самостоятельно оценить своё здоровье и получите сертификат от нашей клиники (для новых пациентов)!

Зачем проводить чистку корней зубов и пародонтальных карманов?
В здоровом состоянии десна плотно прикреплена к зубу и «обхватывает» его со всех сторон, пародонтальные связки держат зуб и равномерно распределяют жевательное давление. При некачественной гигиене полости рта или в тех участках, где хронически зубной налет не вычищается, происходит образование зубного камня, который провоцирует «отслоение» десны и образование пародонтальных карманов.
Какие есть плюсы в чистке зубов под десной?
- Качественное очищение зубов, благодаря применению различных техник и современного оборудования.
- Быстрая реабилитация, буквально за несколько дней после чистки карманов зубов десна восстанавливается.
- Уменьшение подвижности зубов, благодаря снятию воспаления со связочного аппарата зубов.
- Ликвидация кровоточивости, так как удаляется причина — зубной камень под десной.
Промежуток между десной и зубом при пародонтите может достигать 5-10 мм, и тогда важно качественно очистить поверхность корня зуба. Это делают с помощью специальных ультразвуковых насадок — скейлеров, и механических инструментов — кюрет. Техника кюретажа (это глубокая чистка зубодесневых карманов) может быть закрытой и открытой. При открытом кюретаже производится надрез десны, при закрытом — чистка происходит без хирургического вмешательства.
Когда и зачем делать чистку зубов?
О стоматологической клинике Super Smile

Для того, чтобы эффективно и быстро вылечить пародонтит, важно найти квалифицированного специалиста, который владеет техниками закрытого и открытого кюретажа. В нашей клинике есть такие специалисты. И качество лечения в Super Smile подтверждено многочисленными экспертами. Так, наша клиника входит в число 100 лучших стоматологических клиник России согласно рейтингам «Коммерсант-Здоровье» и «Start Smile». Мы признаны лучшим центром имплантации Санкт — Петербурга по результатам престижной «Европейской Премии в области красоты и здоровья «Аврора».
В 2021 и 2022 годах мы вошли в ТОП-10 клиник по версии порталов НаПоправку, ПроДокторов и 32top. В 2022 году наши доктора были удостоены нескольких виртуальных наград и медалей от портала ПроДокторов. Нам доверяют известные блогеры и артисты театра и кино. Будем рады видеть и вас!
В клинике Super Smile наши опытные специалисты проведут вам качественную чистку зубов под десной. Ждем вас на прием, скорее записывайтесь на первую бесплатную консультацию!
Преимущества клиники Super Smile для проведения чистки корней зубов и пародонтальных карманов
-
Наши доктора владеют различными современными техниками лечения.
-
Уникальные гарантии на профессиональную гигиену.
-
Применение передового оборудования, такого как EMS Prophylaxis master.
-
Беспроцентная рассрочка на все наши услуги.
-
Собственный компьютерный томограф для точной диагностики.
Гарантия лучшего сочетания цена/качество
Оставьте Ваш телефон и в течение 5 минут мы перезвоним Вам, чтобы подобрать лучшее для Вас время посещения центра имплантации Super Smile.
Преимущества чистки корней зубов и пародонтальных карманов
-
Избавление от неприятного запаха
Очищение зубов от налета и камня над и под десной способствует устранению причины неприятного запаха.
-
Альтернативные варианты лечения
На ранних стадиях заболеваний десен можно провести консервативное лечение и закрытый кюретаж десен.
-
Эффективность
Чистка корней зубов и пародонтальных карманов эффективно помогает в лечении пародонтита.
-
Стабилизация заболевания
Качественная чистка карманов зубов вводит заболевание десны в ремиссию.
-
Остановка убыли костной ткани
Если удается стабилизировать пародонтит, то и атрофия (убыль) костной ткани останавливается.
Этапы чистки корней зубов и пародонтальных карманов
-
Первичный осмотр и консультация
Ваш визит в нашу клинику начинается со сбора жалоб и анамнеза заболевания. Доктор собирает все необходимые данные во время доверительной беседы с вами. Далее врач-стоматолог проводит осмотр полости рта, оценивает состояние зубов и десен, выявляет показания и противопоказания к чистке карманов зубов. При необходимости направляет вас на дополнительную диагностику.
-
Дополнительная диагностика
Перед началом лечения важно оценить состояние всех зубов, а также уровень атрофии (убыли) костной ткани, поэтому вам может понадобиться дополнительное рентгенологическое обследование или КТ-диагностика.
-
Проведение анестезии по показаниям
Если у вас чувствительные зубы или тяжелая форма заболевания, то доктор может провести вам аппликационную анестезию гелем или инфильтрационную анестезию местно в области некоторых зубов.
-
Чистка ультразвуком и проведение кюретажа
Доктор поэтапно с помощью ультразвукового пародонтологического скайлера очищает поверхность зубов: над десной, под десной и в промежутке между зубами. Далее чаще всего проводится закрытый кюретаж, во время которого доктор специальными кюретами («крючками») очищает поверхность корня зуба. При тяжелых состояниях десен проводится микрооперация по технике открытого кюретажа.
-
Очищение с помощью Air Flow
В это же или следующее посещение, доктор с помощью стандартного аппарата Air Flow или ультрасовременного AirFlow Prophylaxis Master полирует поверхность зубов специальным порошком и полностью удаляет биопленку с поверхности эмали и придесневой области.
-
Шлифовка и полировка
С помощью специальных полировочных резиночек и щеточек доктор полирует поверхность зубов со всех сторон.
-
Пародонтологическое лечение
Доктор проводит орошение (ирригацию) зубодесневых карманов раствором антисептика, а также аппликации лекарственных веществ в виде повязок.
-
Фторирование
Проводится на заключительном приеме у пародонтолога, если обнаружены очаги деминерализации эмали. Эта процедура позволяет укрепить ослабленную эмаль, которая была под зубным камнем и предотвратить развитие кариеса.
-
Обучение гигиене полости рта и назначение домашнего лечения
При заболеваниях пародонта важно научить правильному домашнему уходу, а также назначить дополнительное домашнее лечение, которое поддержит полученный результат.
Гарантия лучшего сочетания цена/качество
Оставьте Ваш телефон и в течение 5 минут мы перезвоним Вам, чтобы подобрать лучшее для Вас время посещения стоматологии Super Smile.
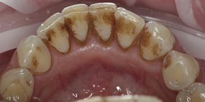
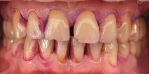
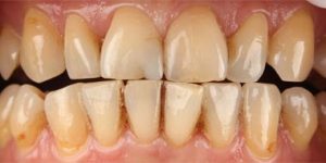
Работы наших специалистов по чистке карманов зубов
А теперь — самое главное:
Заботливый системный подход Super Smile

В Super Smile всё начинается с заботы.
Мы не просто лечим зубы — мы сохраняем ваше здоровье и уверенность на долгие годы. Перед лечением мы внимательно обследуем, объясняем каждый шаг и вместе составляем индивидуальный план лечения, где всё продумано — от диагностики до результата. Так вы точно знаете, что происходит, и чувствуете заботу на каждом этапе
Что включает комплексный план лечения?
- Осмотр и консультация специалиста
- Подробный фотопротокол
- Заполнение “зубной формулы” – вашей карты улыбки
- Медицинский план лечения
- Выгодный финансовый план лечения
Почему заботливый и системный подход работает лучше
В Super Smile мы верим, что стоматология должна быть не спешной, а осознанной и внимательной.
Такой подход сохраняет здоровье, экономит средства и помогает сохранить результат на годы вперёд.
| Обычное лечение | Заботливый системный подход Super Smile |
|---|---|
| Посадить пациента в кресло и сразу начать лечение | Сначала выслушать, обследовать, всё объяснить и только потом вместе выбрать лучший путь |
| Начать с самых дорогих процедур, не думая о логике | Продумать план шаг за шагом, чтобы не пришлось что-то переделывать через полгода |
| Предложить один «удобный» вариант и настаивать на нём | Разработать несколько вариантов лечения — по срокам, бюджету и комфорту |
| Передать пациента любому свободному врачу | Собрать команду специалистов, где каждый отвечает за свой этап, а результат — общий |
| Говорить, что бюджет невозможно рассчитать заранее | Составить прозрачный финансовый план и помочь спокойно спланировать расходы |
| Не давать гарантий на работу | Предоставить реальные гарантии на лечение — чтобы вы были уверены в результате и спокойны за свою улыбку |
С заботой — с первого шага
Стоимость индивидуального Плана лечения — всего 0 рублей.
В него входит полное обследование, консультация специалиста и составление медицинского и финансового планов. Отдельно оплачивается 3D снимок для точной диагностики.
-
Как проводится чистка зубов кюретажем?
Чистка зубов кюретажем проводится двумя методами: закрытым и открытым. Закрытый кюретаж — это обработка зубодесневого (пародонтального) кармана глубиной не более 5-7 мм специальными кюретами без надреза десны. Кюреты представляют собой инструменты из стали или сплавов металлов, которые применяются в стоматологии. Они напоминают по форме крючки, которые «соскабливают» зубной камень с поверхности корня зуба. Открытый кюретаж — это хирургическая процедура, при которой десна надрезается и отслаивается для полноценного очищения корня зуба от зубного камня. Такая методика эффективна при лечении пародонтита средней и тяжелой степени.
-
Зачем нужна чистка корней зубов и пародонтальных карманов?
Чистка корней зубов и пародонтальных карманов проводится с целью удаления минерализованных зубных отложений (зубного камня) с поверхности корня зуба. При развитии воспаления в десне и святочном аппарате зуба остатки пищи попадают все глубже под десну, и под действием слюны и десневой жидкости минерализуется. При обычной гигиенической чистке такой камень уже не удалить, поэтому проводится пародонтологическая чистка карманов зубов. Это позволяет снять воспаление и стабилизировать заболевание.
Получите каталог услуг Super Smile: цены, этапы лечения и все преимущества в удобном формате

Наши врачи-терапевты
Цены Super Smile
-
Профессиональная гигиена и отбеливание
- Интеллектуальная комфортная гигиена по Швейцарскому протоколу GBT(AIRFLOW,PERIOFLOW иили PIEZON)
- 7 900 ₽
- Профессиональная гигиена полости рта и зубов. (SPA для зубов, 4 этапа, включая реминерализацию или зубную щетку в подарок)
- 6 500 ₽


















