Комплексная чистка зубов в Санкт-Петербурге
Регулярный и правильный уход за зубами — это гарантия того, что ваши зубы будут служить вам дольше и останутся красивыми и здоровыми. Для этого важно регулярно посещать стоматолога и проводить комплексную чистку зубов Спб. В клинике Super Smile есть все для того, чтобы провести spa-процедуру для ваших зубов.
- Super Smile — это максимум заботы о вашей улыбке.
- Комплексная чистка зубов в 4 этапа!
Вы получите детализированный расчёт стоимости без ненужных накруток со стороны стоматолога!
Узнайте, пора ли вам показаться стоматологу!
Ответьте на несколько вопросов, чтобы самостоятельно оценить своё здоровье и получите сертификат от нашей клиники (для новых пациентов)!

Почему так важно проводить комплексную чистку зубов?
Сложно переоценить важность регулярной профессиональной гигиены полости рта. После еды на наших зубах остаются микро частички пищи, которые служат питательной средой для микроорганизмов полости рта. Так образуется мягкий зубной налет. В тех местах, где мы постоянно недостаточно очищаем поверхность зубов, налет под действием слюны или десневой жидкости минерализуется и образуется зубной камень. Именно он и служит причиной воспаления десен и появления начального кариеса.
В чем плюсы комплексной чистки зубов?
- Профилактика. Предотвращает появление кариеса, кровоточивости и других заболеваний десен.
- Всесторонний уход за полостью рта. Комплексная чистка нормализует состояние зубов и десен.
- Устранение неприятного запаха. И удаляются патогенные бактерии и зубной налет.
- Восстановление природного цвета зубов, благодаря удалению пигментированного налета.
С такими зубными отложениями важно работать комплексно, поэтому в нашей клинике есть профессиональная гигиена, которая проводится в 4 этапа. Таким образом, убираются все зубные отложения и биопленка полностью удаляется с поверхности зуба.
Когда и зачем делать чистку зубов?
О стоматологической клинике Super Smile

Что важно найти в стоматологии? Комплексность! И у нас всегда и во всем вы можете найти комплексный подход к лечению. Мы не устраняем симптом, мы лечим заболевание полностью. Качество наших услуг подтверждено экспертами, и поэтому наша клиника входит в число 100 лучших стоматологических клиник России согласно рейтингам «Коммерсант-Здоровье» и «Start Smile». Все филиалы клиники имеют максимальный рейтинг 5* на Яндекс картах.
В Санкт-Петербурге только 2 сетевые клиники с таким же рейтингом. В 2021 и 2022 годах мы вошли в ТОП-10 клиник по версии порталов НаПоправку, ПроДокторов и 32top. В 2022 году мы также были удостоены нескольких виртуальных наград и медалей от портала ПроДокторов. Приходите к нам и почувствуйте высочайший уровень заботы о себе!
В клинике Super Smile наши опытные специалисты проведут вам высокоэффективную комплексную чистку зубов Спб. Ждем вас на прием, скорее записывайтесь на первую бесплатную консультацию!
Преимущества клиники Super Smile для проведения комплексной чистки зубов
-
Современный подход в комплексной чистке зубов Спб.
-
Уникальные гарантии на профессиональную гигиену.
-
Новейший аппарат EMS Prophylaxis master.
-
Программа лояльности UDS для выгодного лечения.
-
Собственный компьютерный томограф для вашего комфорта и точной диагностики.
Гарантия лучшего сочетания цена/качество
Оставьте Ваш телефон и в течение 5 минут мы перезвоним Вам, чтобы подобрать лучшее для Вас время посещения центра имплантации Super Smile.
Преимущества комплексной чистки зубов
-
Полное удаление биопленки с поверхности зуба
Благодаря комплексному очищению всех поверхностей зубов.
-
Улучшение эстетики улыбки
Так как удаляется пигментированный зубной налет и возвращается блеск эмали.
-
Безболезненность
Каждый этап комплексной чистки зубов проводится максимально мягко и бережно.
-
Польза для всего организма
Так как удаляются патогенные микроорганизмы из полости рта.
-
Нормализует состояние десен
И предотвращает появление кровоточивости.
Этапы комплексной чистки зубов
-
Первичный осмотр и консультация.
Для начала проведения комплексной чистки зубов доктору важно собрать ваши жалобы и анамнез в ходе доверительной беседы. Затем он проводит осмотр полости рта, оценивает состояние зубов и десен, выявляет показания и противопоказания. При необходимости направляет вас на дополнительную диагностику.
-
Дополнительная диагностика.
Перед началом лечения вам может понадобиться дополнительное рентгенологическое обследование или КТ-диагностика, чтобы выявить особенности течения заболевания.
-
Проведение анестезии по показаниям.
Если у вас чувствительные зубы, то доктор может провести вам аппликационную анестезию гелем или инфильтрационную анестезию местно в области некоторых зубов.
-
Чистка зубов ультразвуком.
Обработка зубов ультразвуковым скайлером по схеме: очищение видимой части вдоль десен, затем под деснами.
-
Очищение с помощью Air Flow.
С помощью стандартного аппарата Air Flow или ультрасовременного AirFlow Prophylaxis Master и мягкого порошка AirFlow Plus доктор убирает мягкие зубные отложения и полностью удаляет биопленку с поверхности эмали.
-
Шлифовка и полировка.
С помощью специальных полировочных резиночек и щеточек с пастой доктор завершает профессиональную гигиену и полирует поверхность зубов.
-
Пародонтологическое лечение.
Доктор проводит орошение (ирригацию) зубодесневых карманов раствором антисептика, а также аппликации лекарственных веществ в виде повязок.
-
Фторирование.
Важный и завершающий этап комплексной чистки зубов является покрытие зубов фторирующим гелем. Он позволяет предотвратить развитие кариеса и укрепить эмаль.
Посмотрите, как проходит процедура у нас
Гарантия лучшего сочетания цена/качество
Оставьте Ваш телефон и в течение 5 минут мы перезвоним Вам, чтобы подобрать лучшее для Вас время посещения стоматологии Super Smile.
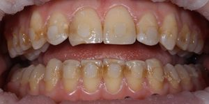
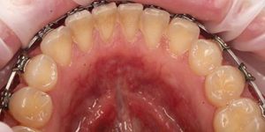
Работы наших специалистов по комплексной чистке зубов
А теперь — самое главное:
Заботливый системный подход Super Smile

В Super Smile всё начинается с заботы.
Мы не просто лечим зубы — мы сохраняем ваше здоровье и уверенность на долгие годы. Перед лечением мы внимательно обследуем, объясняем каждый шаг и вместе составляем индивидуальный план лечения, где всё продумано — от диагностики до результата. Так вы точно знаете, что происходит, и чувствуете заботу на каждом этапе
Что включает комплексный план лечения?
- Осмотр и консультация специалиста
- Подробный фотопротокол
- Заполнение “зубной формулы” – вашей карты улыбки
- Медицинский план лечения
- Выгодный финансовый план лечения
Почему заботливый и системный подход работает лучше
В Super Smile мы верим, что стоматология должна быть не спешной, а осознанной и внимательной.
Такой подход сохраняет здоровье, экономит средства и помогает сохранить результат на годы вперёд.
| Обычное лечение | Заботливый системный подход Super Smile |
|---|---|
| Посадить пациента в кресло и сразу начать лечение | Сначала выслушать, обследовать, всё объяснить и только потом вместе выбрать лучший путь |
| Начать с самых дорогих процедур, не думая о логике | Продумать план шаг за шагом, чтобы не пришлось что-то переделывать через полгода |
| Предложить один «удобный» вариант и настаивать на нём | Разработать несколько вариантов лечения — по срокам, бюджету и комфорту |
| Передать пациента любому свободному врачу | Собрать команду специалистов, где каждый отвечает за свой этап, а результат — общий |
| Говорить, что бюджет невозможно рассчитать заранее | Составить прозрачный финансовый план и помочь спокойно спланировать расходы |
| Не давать гарантий на работу | Предоставить реальные гарантии на лечение — чтобы вы были уверены в результате и спокойны за свою улыбку |
С заботой — с первого шага
Стоимость индивидуального Плана лечения — всего 0 рублей.
В него входит полное обследование, консультация специалиста и составление медицинского и финансового планов. Отдельно оплачивается 3D снимок для точной диагностики.
-
Сколько стоит профессиональная чистка зубов у стоматолога?
Стоимость профессиональной чистки зубов у стоматолога рассчитывается индивидуально. Цена на комплексную чистку зубов зависит от состояния ваших зубов и десен, от степени загрязнения зубов, и от процедур, которые могут дополнять эту чистку, если у вас уже есть заболевание в виде пародонтита или пародонтоза.
-
Как на чистку зубов записаться онлайн?
На чистку зубов запись ведется по телефону +7 (812) 425-36-78 или по ссылке.
-
Как часто нужно проводить комплексную чистку зубов?
Комплексную чистку зубов рекомендуется проводить дважды в год. Именно за это время накапливается достаточное количество зубного налета или зубного камня, которые нужно удалить, а также могут появиться первые признаки деминерализации эмали, то есть начального кариеса.
Получите каталог услуг Super Smile: цены, этапы лечения и все преимущества в удобном формате

Наши врачи-терапевты
Цены Super Smile
-
Профессиональная гигиена и отбеливание
- Интеллектуальная комфортная гигиена по Швейцарскому протоколу GBT(AIRFLOW,PERIOFLOW иили PIEZON)
- 7 900 ₽
- Профессиональная гигиена полости рта и зубов. (SPA для зубов, 4 этапа, включая реминерализацию или зубную щетку в подарок)
- 6 500 ₽





















