Исправление прикуса брекетами в Санкт-Петербурге
Исправление прикуса брекетами — это оптимальный вариант ортодонтического лечения, после которого вы получите правильный ортогнатический прикус и ровную линию улыбки. Существует множество вариантов- выберите свой!
- Надежный результат после исправления прикуса брекетами!
- Гарантия качества и другие уникальные гарантии в клинике Super Smile!
Вы получите детализированный расчёт стоимости без ненужных накруток со стороны стоматолога!
Узнайте, пора ли вам показаться стоматологу!
Ответьте на несколько вопросов, чтобы самостоятельно оценить своё здоровье и получите сертификат от нашей клиники (для новых пациентов)!

В чем особенности брекетов при неправильном прикусе?
Каким может быть неправильный прикус? Неправильный прикус может быть:
- открытый прикус — во фронтальном отделе полностью отсутствует контакт между зубами.
- дистальный прикус — верхняя челюсть выдвинута относительно нижней, нижняя челюсть может быть недоразвита (микрогнатия).
- перекрестный прикус — смещение нижней челюсти в сторону, зубы нижней челюсти частично перекрывают зубы верхней челюсти.
- мезиальный прикус. Сильное выдвижение нижней челюсти относительно верхней.
- глубокий прикус – значительное перекрытие нижних резцов верхними.
В чем плюсы установки брекетов при неправильном прикусе?
- Эргономичность. Брекеты эргономично исправляют любые патологии, чтобы улыбка получилась идеальной.
- Экономия. Вы можете выбрать тот вариант брекетов, который финансово будет вам наиболее подходящим.
- Физиологичность. Брекеты при неправильном прикусе комплексно и мягко исправляют ваш прикус.
- Сохранение правильной работы сустава. Патологический прикус со временем изнашивает сустав, появляются боли и щелчки.
Брекетами можно исправить прикус любой. Брекеты при неправильном прикусе изготавливают из различных материалов: металла, керамики или сапфира, а также сплавов золота. По положению брекеты разделяются на вестибулярные, расположенные на внешней поверхности зубного ряда, и лингвальные (с внутренней). Также различия есть и в способе установки ортодонтической дуги: с помощью лигатур или без них (самолигирующие брекеты). Фирмы могут быть самыми разными. Наиболее известными являются безлигатурные брекет системы Damon, которые изготавливаются как из металла, так и из керамики, и их можно совмещать между собой.
Как долго нужно носить брекеты?
О стоматологической клинике Super Smile

Клиника Super Smile — это доступность и индивидуальный подход. Мы предлагаем вам любые направления в стоматологии, комфорт, высокое качество услуг и сервиса. У нас вы найдете уникальные методики, гарантии на лечение, а также оцените все преимущества комплексного подхода к лечению проблем в полости рта. Каждый из наших специалистов настоящий профессионал в своей области, у многих из докторов стаж более 10-15 лет.
Мы входим в число 100 лучших стоматологических клиник России согласно рейтингам «Коммерсант-Здоровье» и «Start Smile», а последние два года мы входим в ТОП-10 клиник по версии порталов НаПоправку и ПроДокторов и 32top. Если вы цените комплексный и индивидуальный подход, то вам в клинику Super Smile!
Доктора клиники Super Smile настоящие профессионалы в подборе и установке брекетов при неправильном прикусе. Если вы мечтаете об эффективном лечении, то скорее записывайтесь на первую бесплатную консультацию!
Преимущества брекетов при неправильном прикусе в клинике Super Smile.
-
Наши специалисты имеют большой стаж работы с различными брекет-системами и подберут оптимальный вариант для вас.
-
Комплексный подход и уникальные гарантии на лечение!
-
Брекеты по цене чашки кофе с нашей беспроцентной рассрочкой!
-
Новейшие оборудование, в том числе 3D сканер Itero!
-
Теперь не нужно искать, где сделать КТ или ТРГ перед установкой брекетов, сделайте все у нас! С собственным компьютерным томографом!
Цифровое 3D-сканирование зубов в Super Smile.
Хотели бы вы знать, как будет выглядеть ваша улыбка после ортодонтического лечения?
В нашей клинике вы можете увидеть результат лечения, еще даже не начав его. Для этого мы используем сканер Itero. Это уникальное оборудование позволяет доктору смоделировать будущий результат, а пациенту увидеть все со стороны.
После уже первого приёма у ортодонта, будете знать, стоит ли вам начинать ортодонтическое лечение и какого результата вам ждать!
- Увидите будущую ровную улыбку еще до начала лечения
- Сможете поучаствовать в создании вашей улыбки вместе с доктором
- Получите консультацию опытного ортодонта. Каждый врач установил более 2000 брекет-систем/элайнеров

Гарантия лучшего сочетания цена/качество
Оставьте Ваш телефон и в течение 5 минут мы перезвоним Вам, чтобы подобрать лучшее для Вас время посещения центра имплантации Super Smile.
Почему стоит выбрать брекеты при неправильном прикусе?
-
Эффективность. Уже через 2-3 месяца после установки брекетов вы увидите положительную динамику.
-
Решение самых сложных задач. Брекеты при неправильном прикусе комплексно решают даже самые сложные ортодонтические проблемы.
-
Снижение болезненности. Современные брекеты максимально мягко воздействуют на зубочелюстную систему, что практически не вызывает болезненных ощущений.
-
Быстрая адаптация. Современные брекеты не требуют длительного привыкания.
-
Множество вариантов и комбинаций. Вы можете выбрать оптимальный вариант лечения, а также комбинировать между собой металлические и керамические брекеты.
Этапы лечения брекетами при неправильном прикусе
-
Консультация, диагностика.
На первой встрече доктор визуально и с помощью интраорального сканера Itero оценивает состояние ваших зубов и десен. Далее вы направляетесь на диагностические снимки и ТРГ и КТ-диагностику, фотопротокол.
-
Составление плана лечения.
После анализа снимков КТ и ТРГ, фотопротокола, доктор составляет вам комплексный план лечения, а также создаёт 3D план вашего дальнейшего ортодонтического лечения, где вы видите поэтапные изменения вашей улыбки. Если вас все устраивает, вы согласовываете это лечение.
-
Санация полости рта.
Проводится при необходимости. До начала ортодонтического лечения вам необходимо пролечить кариес или его осложнения, а также другие очаги хронической инфекции, провести профессиональную гигиену полости рта.
-
Установка брекетов при неправильном прикусе.
Существуют два способа установки брекетов: прямой и непрямой. При прямом методе доктор сразу позиционирует брекеты в полости рта. Это занимает больше времени, но не требует предварительной подготовки. Для непрямого способа доктор снимает оттиски (слепки), изготавливает гипсовую модель ваших челюстей, на ней устанавливает брекеты и потом переносит их в вашу полость рта вместе с ортодонтической дугой.
-
Выравнивание зубов и исправление прикуса.
В основном, брекеты при неправильном прикусе устанавливают на полтора-два года, в зависимости от патологии. В первые несколько месяцев происходит выравнивание зубного ряда, после этого в течение последующих 5-10 месяцев — исправление прикуса. И самым последним этапом лечения будет детализация ортодонтического лечения, когда будут выравниваться межзубные промежутки.
-
Установка ретейнеров.
Для стабилизации результата, после снятия брекетов, вам устанавливают тонкую проволочку с внутренней поверхности зубного ряда. Это называется ретейнер, который не будет давать результату лечения «откатиться» назад в исходное состояние. Ретенционный период может длиться от нескольких месяцев до нескольких лет в зависимости от исходной патологии.
Гарантия лучшего сочетания цена/качество
Оставьте Ваш телефон и в течение 5 минут мы перезвоним Вам, чтобы подобрать лучшее для Вас время посещения стоматологии Super Smile.
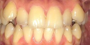
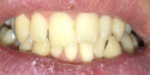
Работы наших специалистов по исправлению прикуса брекетами
А теперь — самое главное:
заботливый системный подход Super Smile

В Super Smile всё начинается с заботы.
Мы не просто лечим зубы — мы сохраняем ваше здоровье и уверенность на долгие годы. Перед лечением мы внимательно обследуем, объясняем каждый шаг и вместе составляем индивидуальный план лечения, где всё продумано — от диагностики до результата. Так вы точно знаете, что происходит, и чувствуете заботу на каждом этапе
Что включает комплексный план лечения?
- Осмотр и консультация специалиста
- Подробный фотопротокол
- Заполнение “зубной формулы” – вашей карты улыбки
- Медицинский план лечения
- Выгодный финансовый план лечения
Почему заботливый и системный подход работает лучше
В Super Smile мы верим, что стоматология должна быть не спешной, а осознанной и внимательной.
Такой подход сохраняет здоровье, экономит средства и помогает сохранить результат на годы вперёд.
| Обычное лечение | Заботливый системный подход Super Smile |
|---|---|
| Посадить пациента в кресло и сразу начать лечение | Сначала выслушать, обследовать, всё объяснить и только потом вместе выбрать лучший путь |
| Начать с самых дорогих процедур, не думая о логике | Продумать план шаг за шагом, чтобы не пришлось что-то переделывать через полгода |
| Предложить один «удобный» вариант и настаивать на нём | Разработать несколько вариантов лечения — по срокам, бюджету и комфорту |
| Передать пациента любому свободному врачу | Собрать команду специалистов, где каждый отвечает за свой этап, а результат — общий |
| Говорить, что бюджет невозможно рассчитать заранее | Составить прозрачный финансовый план и помочь спокойно спланировать расходы |
| Не давать гарантий на работу | Предоставить реальные гарантии на лечение — чтобы вы были уверены в результате и спокойны за свою улыбку |
С заботой — с первого шага
Стоимость индивидуального Плана лечения — всего 0 рублей.
В него входит полное обследование, консультация специалиста и составление медицинского и финансового планов. Отдельно оплачивается 3D снимок для точной диагностики.
-
Исправляют ли брекеты неправильный прикус?
Конечно, да. Брекеты созданы для того, чтобы бороться с патологией прикуса. Брекет-системы эффективно исправляют такие виды патологического прикуса, как открытый, мезиальный, глубокий, прямой, дистальный и перекрестный.
-
Исправляют ли брекеты прикус взрослому?
Да, брекеты можно устанавливать в любом возрасте. В зависимости от состояния костной ткани, связочного аппарата доктор подбирает брекет-систему индивидуально под вас. Современные брекет-системы отвечают всем эстетическим запросам, которые необходимы взрослому человеку. Так, вы можете подобрать для себя керамические незаметные брекеты, или скомбинировать их с металлическими.
-
Сколько по времени брекеты для исправления прикуса можно использовать?
Сроки лечения брекетами при неправильном прикусе строго индивидуальны, так как зависят от исходной патологии, а также от вида брекетов, которые вы выбрали, от состояния костной ткани, наличия хронических очагов инфекции и сопутствующих заболеваний.
-
Можно ли исправить перекрестный прикус брекетами?
Современные несъемные брекет-системы исправляют любые нарушения прикуса. -
Сколько стоит удаление с зубов клея после брекет-системы?
Если после снятия брекет-системы на зубах остаются частички клея, врач снимет их и отполирует место крепления до гладкости. Эта процедура проводится вместе со снятием, отдельно оплачивать ее не нужно. -
Какие есть методы исправления прикуса при отсутствии зубов?
Прикус – это способ смыкания зубных рядов. Соответственно, если зубы отсутствуют, нет и проблемы неправильного прикуса. Можно восстановить все зубы по методу All-on-4. Если отсутствует большая часть зубов, исправить прикус также нельзя, в этом случае нужно обратиться на консультацию к врачу-имплантологу. Если отсутствует несколько зубов, а оставшиеся в хорошем состоянии, можно устанавливать брекеты и проводить лечение, как обычно, а затем подобрать способ протезирования. -
Что такое самолигирующиеся брекеты?
Это система, в которой не используются лигатуры (резинки для закрепления дуги на брекетах). Дуга крепится в замочках на самих брекетах. Такие системы выглядят эстетично, так как металлические замочки менее заметны, чем резиновые лигатуры. А благодаря меньшему коэффициенту трения дуги результат вы получаете быстрее – срок лечения, по сравнению с лигатурной системой, сокращается в среднем на 6 месяцев. Это такие брекет-системы, где дуга крепится в небольших замочках на брекетах, а не с помощью лигатур. Лигатуры - это специальные резинки для закрепления дуги на брекетах. В отличие от них, замки достаточно миниатюрны. Это делает самолигирующиеся системы более эстетичными и менее заметными на зубах. Коэффициент трения между замками и дугой ниже, чем при использовании лигатур. Следовательно, оказывается меньшее давление на зубы, более естественное и физиологичное. Поэтому такие системы работают быстрее, сокращая срок лечения в среднем на 6 месяцев. А сам процесс становится менее болезненным и более комфортным. Самолигирующиеся брекеты могут быть:- Металлические
- Керамические
- Сапфировые
-
Цены на брекет-системы указаны на одну челюсть? Они не включают ежемесячные посещения врача?
Стоимость лечения складывается из стоимости брекет-систем, а также работы врача по установке и ежемесячной активации системы. Всю стоимость сразу вносить не нужно. Сначала вы оплачиваете брекет-систему и установку, а затем ежемесячно вносите плату за приемы. Полную стоимость и график оплат вы можете узнать, обратившись в клинику.
Получите каталог услуг Super Smile: цены, этапы лечения и все преимущества в удобном формате

Наши стоматологи-ортодонты
Цены на исправление прикуса
-
Поможем вернуть 13% НДФЛ
-
Уникальные гарантии на исправление прикуса
-
Лучшая цена среди клиник с рейтингом 5*
Предложение не является публичной офертой.
*Цены уточняйте по телефону +7 (812) 575-56-01

































Исправление прикуса — это не только про эстетику, но и про здоровье
В процессе лечения:

После ортодонтического лечения:




