Исправление прикуса имплантами в Санкт-Петербурге
При отсутствии одного или нескольких зубов страдает прикус, происходит снижение высоты нижнего отдела лица, зубы смещаются и принимают неправильное положение. Поэтому в некоторых случаях пациентам необходимо исправление прикуса имплантами.
- В клинике Super Smile вам помогут поставить импланты при неправильном прикусе!
- Уникальные гарантии на имплантацию и ортодонтическое лечение!
Вы получите детализированный расчёт стоимости без ненужных накруток со стороны стоматолога!
Узнайте, пора ли вам показаться стоматологу!
Ответьте на несколько вопросов, чтобы самостоятельно оценить своё здоровье и получите сертификат от нашей клиники (для новых пациентов)!

Как взаимосвязаны имплантация и прикус?
Вообще, имплантация и прикус — это две взаимосвязанные вещи, ведь при отсутствии зубов, прикус страдает в первую очередь. Происходит патологическое стирание зубов, прикус становится прямым или глубоким, и имплантация призвана помочь и исправить данную проблему. Также при отсутствии зубов импланты могут стать дополнительной опорой для постановки брекетов. Поэтому при множественной адентии (отсутствии зубов) сначала ставят импланты, а потом брекеты.
В чем плюсы исправления прикуса имплантами?
- Внешний вид. Исправляя прикус, вы разглаживаете морщины и выглядите моложе.
- Два в одном. Вы не только занимаетесь имплантацией, но и прикус восстанавливаете.
- Это навсегда. Вы ставите импланты раз и на всю жизнь, и прикус вы тоже исправляете надолго.
- Здоровье полости рта. Вы сохраняете свои зубы от перегрузки, клиновидных дефектов и прочих заболеваний.
Но если у вас изначально неправильный прикус, вы потеряли один или несколько зубов, то рекомендовано сначала заняться исправлением прикуса, а потом лишь ставить импланты. Ведь импланты не смогут двигаться во время исправления прикуса, они ставятся в кость и остаются неподвижными. Это может стать существенной проблемой при исправлении прикуса.
Что сначала: имплантация или брекеты?
О стоматологической клинике Super Smile

Клиника Super Smile — это комплексный подход в лечении любых стоматологических заболеваний. Мы работаем над здоровьем ваших зубов всей командой, поэтому готовы подобрать для вас различные методы лечения. Также именно у нас вы можете сочетать лечение сразу у нескольких специалистов, ведь мы практикуем комплексный подход. Наши доктора считаются одними из лучших в городе, о чем говорят их многочисленные премии и награды.
Также мы входим в число 100 лучших стоматологических клиник России согласно рейтингам «Коммерсант-Здоровье» и «Start Smile». Последние два года мы регулярно входим в ТОП-10 клиник по версии порталов НаПоправку, ПроДокторов и 32top. Помочь вам обрести улыбку мечты — наша основная задача!
Доктора клиники Super Smile имеют огромный опыт работы с имплантацией и прикусом. Если вы мечтаете о ровной и красивой улыбке – скорее записывайтесь на первую бесплатную консультацию!
Преимущества клиники Super Smile для имплантации и исправления прикуса.
-
Наши доктора комплексно подходят к решению ваших ортодонтических и ортопедических проблем.
-
Уникальные гарантии на имплантацию и исправление прикуса.
-
Беспроцентная рассрочка на любые виды лечения.
-
3D-сканер для комфортного снятия оттисков (слепков).
-
Вы можете пройти все этапы диагностики в нашей клинике, так как у нас есть собственный компьютерный томограф!
Цифровое 3D-сканирование зубов в Super Smile.
Хотели бы вы знать, как будет выглядеть ваша улыбка после ортодонтического лечения?
В нашей клинике вы можете увидеть результат лечения, еще даже не начав его. Для этого мы используем сканер Itero. Это уникальное оборудование позволяет доктору смоделировать будущий результат, а пациенту увидеть все со стороны.
После уже первого приёма у ортодонта, будете знать, стоит ли вам начинать ортодонтическое лечение и какого результата вам ждать!
- Увидите будущую ровную улыбку еще до начала лечения
- Сможете поучаствовать в создании вашей улыбки вместе с доктором
- Получите консультацию опытного ортодонта. Каждый врач установил более 2000 брекет-систем/элайнеров

Преимущества имплантов при неправильном прикусе
-
Восстановление зубного ряда. Это немаловажный фактор для вашей красивой и ровной улыбки.
-
Равномерное распределение давления. Восстанавливая зубной ряд имплантами, вы распределяете давление равномерно на все зубы.
-
Комплексное решение. Вы решаете сразу 2 проблемы: восстановление зубного ряда и исправление прикуса.
-
Уверенность в себе. Теперь вы не будете стесняться отсутствующих зубов или неровной улыбки.
-
Профилактика головных болей. Снижение прикуса ведет к изменениям в суставе и головным болям, а восстанавливая зубной ряд имплантами, вы сохраняете здоровье сустава.
Этапы имплантации и исправления прикуса
-
Консультация и диагностика.
На первичной бесплатной консультации в нашей клинике доктор собирает анамнез заболевания, проводит визуальный осмотр полости рта и сканирование интраоральным сканером. Далее врач-ортодонт направляет вас на диагностические снимки и КТ-диагностику, которые можно сделать у нас в клинике.
-
Составление плана лечения.
После сканирования и анализа снимков КТ, доктор создает план вашего дальнейшего лечения.
-
Санация полости рта.
Проводится при необходимости. Если у вас есть кариес или другие очаги хронической инфекции, наши специалисты проведут вам комплексное лечение и профессиональную гигиену полости рта.
-
Установка брекетов.
Рассмотрим вариант, когда сначала исправляют неправильный прикус, а потом ставят импланты. Доктор снимает цифровые оттиски (слепки), изготавливает гипсовые модели ваших зубов, где размещает брекеты, а потом переносит их в полость рта.
-
Выравнивание зубов и исправление прикуса.
Это самый долгий этап лечения, который занимает различное время у каждого пациента. Именно на этом этапе вы будете видеть, как ваши зубы встают на свое место. Вам нужно будет периодически посещать нашу клинику для коррекции брекет-системы.
-
Установка ретейнеров.
Для того, чтобы закрепить результат ортодонтического лечения, с внутренней поверхности зубного ряда устанавливают ретейнер (специальную тонкую проволочку). Именно она не будет давать вашим зубам вернуться на старое «неправильное» положение.
-
Операция имплантации.
В зависимости от методики, проводится операция имплантации. Либо одномоментная, с одновременным удалением зуба, либо классическая, когда имплант ставится на место отсутствующего зуба.
-
Установка абатмента.
Абатмент соединяет имплант и коронку, его устанавливают через некоторое время после операции, также в зависимости от вида операции. Его установка занимает буквально несколько минут.
-
Установка коронки.
После полного приживления импланта, снимают оттиски (слепки), изготавливают коронку на имплант и устанавливают ее. Дают рекомендации.
Гарантия лучшего сочетания цена/качество
Оставьте Ваш телефон и в течение 5 минут мы перезвоним Вам, чтобы подобрать лучшее для Вас время посещения стоматологии Super Smile.
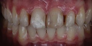
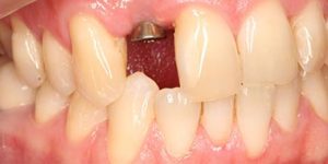
Работы наших специалистов по исправлению прикуса имплантами
А теперь — самое главное:
заботливый системный подход Super Smile

В Super Smile всё начинается с заботы.
Мы не просто лечим зубы — мы сохраняем ваше здоровье и уверенность на долгие годы. Перед лечением мы внимательно обследуем, объясняем каждый шаг и вместе составляем индивидуальный план лечения, где всё продумано — от диагностики до результата. Так вы точно знаете, что происходит, и чувствуете заботу на каждом этапе
Что включает комплексный план лечения?
- Осмотр и консультация специалиста
- Подробный фотопротокол
- Заполнение “зубной формулы” – вашей карты улыбки
- Медицинский план лечения
- Выгодный финансовый план лечения
Почему заботливый и системный подход работает лучше
В Super Smile мы верим, что стоматология должна быть не спешной, а осознанной и внимательной.
Такой подход сохраняет здоровье, экономит средства и помогает сохранить результат на годы вперёд.
| Обычное лечение | Заботливый системный подход Super Smile |
|---|---|
| Посадить пациента в кресло и сразу начать лечение | Сначала выслушать, обследовать, всё объяснить и только потом вместе выбрать лучший путь |
| Начать с самых дорогих процедур, не думая о логике | Продумать план шаг за шагом, чтобы не пришлось что-то переделывать через полгода |
| Предложить один «удобный» вариант и настаивать на нём | Разработать несколько вариантов лечения — по срокам, бюджету и комфорту |
| Передать пациента любому свободному врачу | Собрать команду специалистов, где каждый отвечает за свой этап, а результат — общий |
| Говорить, что бюджет невозможно рассчитать заранее | Составить прозрачный финансовый план и помочь спокойно спланировать расходы |
| Не давать гарантий на работу | Предоставить реальные гарантии на лечение — чтобы вы были уверены в результате и спокойны за свою улыбку |
С заботой — с первого шага
Стоимость индивидуального Плана лечения — всего 0 рублей.
В него входит полное обследование, консультация специалиста и составление медицинского и финансового планов. Отдельно оплачивается 3D снимок для точной диагностики.
-
Можно ли ставить импланты если неправильный прикус?
-
Можно ли исправить прикус если есть импланты?
Такое лечение будет довольно затруднительно, ведь импланты в костной ткани установлены неподвижно. А при исправлении прикуса происходит активное движение зубов и их корней, это может привести к потере импланта. Однозначно на этот вопрос ответить нельзя, все зависит от конкретного клинического случая. Вам необходимо сделать КТ-диагностику и обратиться к нашим специалистам за консультацией.
-
Как исправить прикус без установки брекетов?
Есть вариант лечения с помощью съемных прозрачных кап. Они почти незаметны и постепенно исправляют положение зубов так же, как и брекеты. Но в сложных случаях нарушения прикуса капы не всегда могут помочь. -
Ставят ли брекеты, если на зубах коронки?
Это зависит от состояния прикуса и положения зубов. Если основное воздействие дуги придется на здоровые (натуральные) зубы, то наличие коронок само по себе не помеха. Но точно ответить на этот вопрос можно только на приеме у врача-ортодонта. -
Что нужно сделать в первую очередь: имплантацию или исправление прикуса?
В первую очередь – исправление прикуса, так как с неправильным прикусом установить импланты чаще всего нельзя. -
Есть ли гарантия на имплантацию и исправление прикуса?
В нашей клинике вы получаете комплекс из 5 уникальных гарантий на имплантацию зубов, а также 7 гарантий на исправление прикуса. В Super Smile вы платите за результат, а не за услугу. Если нет результата – вернем деньги. -
Что такое стоматология в рассрочку?
Лечение в рассрочку - отличный способ быстро решить любые стоматологические проблемы, благодаря тому, что лечение не откладывается и не прогрессирует. Вам не нужно сразу платить большую сумму – удара по бюджету не будет. Вы можете воспользоваться рассрочкой 0% на любые услуги клиники. Рассрочка оформляется в клинике, как правило, в день подачи заявки. Для предоставления рассрочки достаточно паспорта.
Получите каталог услуг Super Smile: цены, этапы лечения и все преимущества в удобном формате

Наши врачи хирурги-имплантологи
Цены на исправление прикуса
-
Поможем вернуть 13% НДФЛ
-
Уникальные гарантии на исправление прикуса
-
Лучшая цена среди клиник с рейтингом 5*
Предложение не является публичной офертой.
*Цены уточняйте по телефону +7 (812) 575-56-01





















