Исправление прикуса протезами в Санкт-Петербурге
Исправление прикуса протезами — это альтернатива лечению брекетами или другими конструкциями, когда вам важен лишь эстетический момент лечения. Ведь исправление прикуса протезами не меняет положение корней зубов.
- Новые возможности в лечении протезами в клинике Super Smile!
- Беспроцентная рассрочка на любые виды услуг!
Вы получите детализированный расчёт стоимости без ненужных накруток со стороны стоматолога!
Узнайте, пора ли вам показаться стоматологу!
Ответьте на несколько вопросов, чтобы самостоятельно оценить своё здоровье и получите сертификат от нашей клиники (для новых пациентов)!

Как происходит исправление прикуса протезированием?
На самом деле, полностью изменить и исправить прикус протезированием нельзя, так как протезы не меняют положение корней зубов, мышц и связочного аппарата. Сложные виды аномалий прикуса, такие как мезиальный или перекрестный прикус, тоже протезом не исправить. В каких же случаях протезы при неправильном прикусе помогут?
- для поднятия высоты прикуса, когда отсутствуют зубы в жевательном отделе, например, так называемые «ключи окклюзии» шестерки.
- при полной адентии, когда совсем нет зубов на одной из челюстей. Тогда съемные протезы или импланты помогут исправить ситуацию.
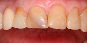
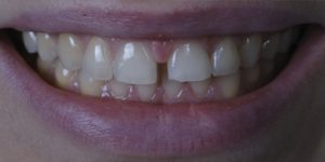
- эстетические дефекты при небольшой ротации зубов, диастемах или тремах. В этом случае нас выручают виниры или коронки.
В чем плюсы использования протезов при неправильном прикусе?
- Быстрота. Буквально 2-3 посещения врача-стоматолога, и ваша улыбка идеальна.
- Эстетика. Виниры или коронки делают вашу улыбку ровной и красивой.
- Комфорт. Удобно жевать, говорить и улыбаться.
- Сохранение зубов, если на них большие пломбы или они разрушены более 50%, то коронки не позволят зубам разрушаться дальше.
Какие материалы подойдут для исправления прикуса протезированием?
Самыми эстетичными материалами являются:
- диоксид циркония, этот же материал еще и самый прочный, поэтому отлично подойдет для поднятия прикуса и увеличения нижнего отдела лица.
- прессованная керамика. Именно из нее изготавливают чаще всего виниры на центральные зубы.
- металлокерамика тоже неплохой вариант, но все же подойдет больше для жевательного отдела зубного ряда.
О стоматологической клинике Super Smile

Клиника Super Smile — это комплексный подход в лечении любых стоматологических заболеваний. Мы всегда идем вам на встречу, всегда ищем альтернативы и наилучшие варианты решения ваших проблем. Мы работаем на самом топовом и современном оборудовании, поэтому многие услуги, в том числе и ортодонтическое лечение, вы можете получить с максимальным комфортом, и всего в нескольких клиниках Санкт-Петербурга.
Наши специалисты считаются одними из лучших в городе, о чем говорят их многочисленные премии и награды. Также мы входим в число 100 лучших стоматологических клиник России согласно рейтингам «Коммерсант-Здоровье» и «Start Smile». Последние два года мы регулярно входим в ТОП-10 клиник по версии порталов НаПоправку, ПроДокторов и 32top. Помочь вам обрести улыбку мечты — наша основная задача!
Доктора клиники Super Smile имеют огромный опыт работы в исправлении прикуса протезированием. Если вы мечтаете о роскошной и красивой улыбке – скорее записывайтесь на первую бесплатную консультацию!
Преимущества клиники Super Smile для исправления прикуса протезированием.
-
Наши доктора комплексно решают проблемы с прикусом.
-
Мы используем в работе новейшие техники и методики лечения.
-
Беспроцентная рассрочка на любые виды лечения.
-
3D-сканер для трехмерного подхода в лечении прикуса протезированием.
-
Вы можете пройти все этапы обследования в нашей клинике, так как у нас есть собственный компьютерный томограф!
Зачем исправлять прикус протезированием?
-
Профилактика осложнений. Неправильный прикус и отсутствие зубов ведут к усугублению проблем с прикусом, а протезирование поможет остановить патологический процесс.
-
Никакого стеснения! Протезы при неправильном прикусе помогут вам обрести улыбку, которую не нужно будет прятать и стесняться!
-
Красота спасет мир! А точнее ваш образ! Ведь ровная улыбка — это шаг к своей внутренней свободе и красоте!
-
Экономия. Если поставить брекеты или элайнеры для вас проблема, то исправить прикус протезированием — это бюджетный вариант.
-
Молодость. Восстановление высоты нижнего отдела лица и исправление прикуса позволит вам разгладить морщинки, выглядеть здоровее и моложе.
Возраст для лечения прикуса протезированием:
Этапы изготовления протезов при неправильном прикусе
-
Консультация и диагностика.
На первичной бесплатной консультации в нашей клинике доктор собирает анамнез заболевания, проводит визуальный осмотр полости рта и сканирование интраоральным сканером. Далее ортодонт направляет вас на диагностические снимки и КТ-диагностику.
-
Составление плана лечения.
После сканирования и анализа снимков КТ, доктор создаёт вам 3D план вашего дальнейшего лечения совместно со стоматологом-ортопедом.
-
Санация полости рта.
Проводится при необходимости. Если у вас есть кариес или другие очаги хронической инфекции, наши специалисты проведут вам комплексное лечение.
-
Подготовка зубов к протезированию.
Если вы решили восстанавливать прикус протезированием, то необходимо обточить зубы под выбранную конструкцию. Эти манипуляции проводит врач-стоматолог-ортопед. Затем он снимает цифровые оттиски (слепки) на 3D-сканере, отправляет их в зуботехническую лабораторию.
-
Изготовление протеза в лаборатории.
Техник моделирует выбранную конструкцию, будь то коронка, мостовидный протез или съемный протез или виниры.
-
Установка протеза в полости рта.
Доктор устанавливает готовую конструкцию в вашей полости рта. Коронки чаще всего устанавливают сначала на временный материал, а если вас ничего не беспокоит, то через 1-2 месяца заменяют этот материал на постоянный. Дают вам рекомендации.
Гарантия лучшего сочетания цена/качество
Оставьте Ваш телефон и в течение 5 минут мы перезвоним Вам, чтобы подобрать лучшее для Вас время посещения стоматологии Super Smile.
А теперь — самое главное:
Заботливый системный подход Super Smile

В Super Smile всё начинается с заботы.
Мы не просто лечим зубы — мы сохраняем ваше здоровье и уверенность на долгие годы. Перед лечением мы внимательно обследуем, объясняем каждый шаг и вместе составляем индивидуальный план лечения, где всё продумано — от диагностики до результата. Так вы точно знаете, что происходит, и чувствуете заботу на каждом этапе
Что включает комплексный план лечения?
- Осмотр и консультация специалиста
- Подробный фотопротокол
- Заполнение “зубной формулы” – вашей карты улыбки
- Медицинский план лечения
- Выгодный финансовый план лечения
Почему заботливый и системный подход работает лучше
В Super Smile мы верим, что стоматология должна быть не спешной, а осознанной и внимательной.
Такой подход сохраняет здоровье, экономит средства и помогает сохранить результат на годы вперёд.
| Обычное лечение | Заботливый системный подход Super Smile |
|---|---|
| Посадить пациента в кресло и сразу начать лечение | Сначала выслушать, обследовать, всё объяснить и только потом вместе выбрать лучший путь |
| Начать с самых дорогих процедур, не думая о логике | Продумать план шаг за шагом, чтобы не пришлось что-то переделывать через полгода |
| Предложить один «удобный» вариант и настаивать на нём | Разработать несколько вариантов лечения — по срокам, бюджету и комфорту |
| Передать пациента любому свободному врачу | Собрать команду специалистов, где каждый отвечает за свой этап, а результат — общий |
| Говорить, что бюджет невозможно рассчитать заранее | Составить прозрачный финансовый план и помочь спокойно спланировать расходы |
| Не давать гарантий на работу | Предоставить реальные гарантии на лечение — чтобы вы были уверены в результате и спокойны за свою улыбку |
С заботой — с первого шага
Стоимость индивидуального Плана лечения — всего 0 рублей.
В него входит полное обследование, консультация специалиста и составление медицинского и финансового планов. Отдельно оплачивается 3D снимок для точной диагностики.
-
Как исправить прикус без установки брекетов?
Есть вариант лечения с помощью съемных прозрачных кап. Они почти незаметны и постепенно исправляют положение зубов так же, как и брекеты. Но в сложных случаях нарушения прикуса капы не всегда могут помочь. -
Какие еще есть варианты оплаты?
Установите наше приложение. Сразу же вы получите приветственные бонусы, которыми можно оплатить лечение. Пригласите друга – и мы подарим вам 5000 бонусов, а ваш друг получит скидку на лечение. Также вы будете первыми получать выгодные предложения, получите возможность следить за акциями и скидками. -
С чего начать протезирование зубов?
С консультации у врача: после предварительного обследования врач предложит оптимальный для вас вариант протезирования. -
Что такое стоматология в рассрочку?
Лечение в рассрочку - отличный способ быстро решить любые стоматологические проблемы, благодаря тому, что лечение не откладывается и не прогрессирует. Вам не нужно сразу платить большую сумму – удара по бюджету не будет. Вы можете воспользоваться рассрочкой 0% на любые услуги клиники. Рассрочка оформляется в клинике, как правило, в день подачи заявки. Для предоставления рассрочки достаточно паспорта. -
Какой опыт/стаж работы у специалистов? Какой вуз они закончили?
Все врачи клиники имеют Высшее медицинское образование и прошли более 220 курсов повышения квалификации. У всех врачей опыт работы более 5 лет, а у многих от 10 и более лет.
Получите каталог услуг Super Smile: цены, этапы лечения и все преимущества в удобном формате

Наши стоматологи-ортодонты
Цены на исправление прикуса
-
Поможем вернуть 13% НДФЛ
-
Уникальные гарантии на исправление прикуса
-
Лучшая цена среди клиник с рейтингом 5*
Предложение не является публичной офертой.
*Цены уточняйте по телефону +7 (812) 575-56-01


















