Исправление прикуса в Санкт-Петербурге
Исправление прикуса в Спб — это множество вариантов, клиник и докторов, но мы рекомендуем вам обратить внимание на опыт врачей-ортодонтов, их уже готовые клинические случаи, и варианты лечения, которые они могут вам предложить.
- Уникальные гарантии в клинике Super Smile!
- Мы подберем тот вариант исправления прикуса в спб, который подойдет именно вам!
Какие брекеты подойдут Вам? Пройдите тест и получите купон на 7 бонусов!
Ответьте на несколько вопросов, чтобы самостоятельно оценить своё здоровье и получите сертификат от нашей клиники (для новых пациентов)!

Как происходит исправление прикуса у взрослых?
Исправление прикуса у взрослых — это возможность использования различных видов лечения. Так, например, пациенты могут выбрать металлические, сапфировые или керамические брекеты, исходя из своих эстетических пожеланий и финансовых возможностей. Брекеты можно установить как с внешней, вестибулярной стороны, так и с внутренней, лингвальной стороны зубного ряда. Для тех, кому очень важна незаметность процесса лечения, есть вариант элайнеров. Они совершенно невидимы, так как изготавливаются из прозрачного материала.
В чем плюсы исправления прикуса челюсти?
- Здоровье полости рта. Возможно качественно и полноценно прочищать все участки зубного ряда.
- Комфорт. Удобно жевать, говорить и улыбаться.
- Эстетика. Ваша улыбка будет ровной и прекрасной.
- Забота о будущем. Чем раньше вы займетесь корректировкой прикуса, тем меньше это отразится на вашем здоровье в будущем.
Для выравнивания прикуса могут использоваться брекеты самолигирующие и с использованием лигатур. Лигатуры — это тонкие проволочки или резиночки, которые соединяют брекеты и ортодонтическую дугу. В самолигирующих брекетах лигатуры применяются для усиления эффекта, так как в составе таких брекетов есть замочек, который соединяет брекет и дугу.
3d сканирование и моделирование улыбки на консультации ортодонта. Сканирование зубов
О стоматологической клинике Super Smile

Клиника Super Smile — это семейная клиника, где вы найдете все виды стоматологических услуг. Мы работаем на самом топовом и современном оборудовании, поэтому многие услуги, в том числе и ортодонтическое лечение, вы можете получить с максимальным комфортом, и всего в нескольких клиниках Санкт-Петербурга. Наши специалисты считаются одними из лучших в городе, о чем говорят их многочисленные премии и награды.
Также мы входим в число 100 лучших стоматологических клиник России согласно рейтингам «Коммерсант-Здоровье» и «Start Smile». Последние два года мы регулярно входим в ТОП-10 клиник по версии порталов НаПоправку, ПроДокторов и 32top. Современное исправление прикуса — наша задача, а вы просто наслаждайтесь процессом!
Доктора клиники Super Smile имеют огромный опыт работы в выравнивании прикуса. Если вы мечтаете о роскошной и красивой улыбке – скорее записывайтесь на первую бесплатную консультацию!
Преимущества клиники Super Smile для выравнивания прикуса
Цифровое 3D-сканирование зубов.
Хотели бы вы знать, как будет выглядеть ваша улыбка после ортодонтического лечения?
В нашей клинике вы можете увидеть результат лечения, еще даже не начав его. Для этого мы используем сканер Itero. Это уникальное оборудование позволяет доктору смоделировать будущий результат, а пациенту увидеть все со стороны.
Зачем заниматься исправлением прикуса челюсти?

-
Возраст для восстановления прикуса:
рекомендовано с 6-7 лет.
-
Показания для выравнивания прикуса:
диастемы, тремы, дистопия (неправильное положение) зубов, поворот зубов вокруг своей оси, скученность зубов различной степени, глубокий прикус, мезиальная окклюзия, перекрестный прикус и любые другие аномалии прикуса.
-
Абсолютные противопоказания для коррекции прикуса
Обострения хронических заболеваний сердечно-сосудистой системы; бронхолегочные заболевания в обострении; системные заболевания крови или эндокринной системы в обострении; тяжелые дистрофические заболевания десен; злокачественные новообразования в полости рта; бруксизм; патологии височно-нижнечелюстного сустава.
-
Относительные противопоказания:
неудовлетворительная гигиена полости рта; беременность и период лактации; психологические заболевания в обострении.
Этапы восстановления прикуса
-
Консультация и диагностика.
На первичной бесплатной консультации в нашей клинике доктор собирает анамнез заболевания, проводит визуальный осмотр полости рта и сканирование интраоральным сканером Itero. Далее ортодонт направляет вас на диагностические снимки и КТ-диагностику.
-
Составление плана лечения.
После сканирования и анализа снимков КТ, доктор создаёт вам 3D план вашего дальнейшего лечения. То есть ещё до начала лечения вы увидите результат! Далее этот план вы согласовываете и вносите необходимые коррективы.
-
Санация полости рта.
Проводится при необходимости. Если у вас есть кариес или другие очаги инфекции, наши специалисты комплексно подойдут к санации полости рта, а также проведут профессиональную гигиену полости рта.
-
Установка брекетов или элайнеров для лечения прикуса.
Для любого из этих видов коррекции прикуса доктор снимает цифровые оттиски (слепки), изготавливает гипсовые модели ваших зубов, где размещает брекеты, а потом переносит их в полость рта. Элайнеры изготавливаются по специальной технологии.
-
Выравнивание зубов и исправление прикуса.
Это самый долгий этап лечения, который занимает различное время у каждого пациента. Именно на этом этапе вы будете видеть, как ваши зубы встают на своё место, и понемногу происходит исправление прикуса зубов. Вам нужно будет периодически посещать нашу клинику для корректировки прикуса.
-
Установка ретейнеров.
Для того, чтобы закрепить результат лечения прикуса у взрослых, с внутренней поверхности зубного ряда устанавливают ретейнер (специальную тонкую проволочку). Именно она не будет давать вашим зубам вернуться на старое «неправильное» положение. После этого брекеты или элайнеры окончательно снимают, и вы наслаждаетесь вашей ровной и красивой улыбкой!
Решите свою проблему
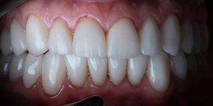
Работы наших специалистов по исправлению прикуса
5 шагов к красивой улыбке
-
Заполните форму ниже
-
Мы Вам перезвоним в течение 5 минут и подберём для Вас удобное время визита
-
После согласования способа оплаты приступим к лечению
-
Вы получаете красивые, здоровые зубы и обворожительную улыбку
-
Ваша улыбка обворожительна!
Запишитесь на бесплатную консультацию по исправлению прикуса
А теперь — самое главное:
заботливый системный подход Super Smile

В Super Smile всё начинается с заботы.
Мы не просто лечим зубы — мы сохраняем ваше здоровье и уверенность на долгие годы. Перед лечением мы внимательно обследуем, объясняем каждый шаг и вместе составляем индивидуальный план лечения, где всё продумано — от диагностики до результата. Так вы точно знаете, что происходит, и чувствуете заботу на каждом этапе
Что включает комплексный план лечения?
- Осмотр и консультация специалиста
- Подробный фотопротокол
- Заполнение “зубной формулы” – вашей карты улыбки
- Медицинский план лечения
- Выгодный финансовый план лечения
Почему заботливый и системный подход работает лучше
В Super Smile мы верим, что стоматология должна быть не спешной, а осознанной и внимательной.
Такой подход сохраняет здоровье, экономит средства и помогает сохранить результат на годы вперёд.
| Обычное лечение | Заботливый системный подход Super Smile |
|---|---|
| Посадить пациента в кресло и сразу начать лечение | Сначала выслушать, обследовать, всё объяснить и только потом вместе выбрать лучший путь |
| Начать с самых дорогих процедур, не думая о логике | Продумать план шаг за шагом, чтобы не пришлось что-то переделывать через полгода |
| Предложить один «удобный» вариант и настаивать на нём | Разработать несколько вариантов лечения — по срокам, бюджету и комфорту |
| Передать пациента любому свободному врачу | Собрать команду специалистов, где каждый отвечает за свой этап, а результат — общий |
| Говорить, что бюджет невозможно рассчитать заранее | Составить прозрачный финансовый план и помочь спокойно спланировать расходы |
| Не давать гарантий на работу | Предоставить реальные гарантии на лечение — чтобы вы были уверены в результате и спокойны за свою улыбку |
С заботой — с первого шага
Стоимость индивидуального Плана лечения — всего 0 рублей.
В него входит полное обследование, консультация специалиста и составление медицинского и финансового планов. Отдельно оплачивается 3D снимок для точной диагностики.
-
Сколько стоит исправить прикус у взрослых? Цена?
Исправление прикуса по цене может стоить по-разному, так как цена складывается из сложности вашей патологии и выбора методов лечения. Так, например, элайнеры стоят дороже брекетов, но и брекеты между собой могут отличаться по цене. Ведь брекеты бывают просто металлические, а могут быть сапфировые или керамические, совершенно незаметные при разговоре и улыбке.
-
Сколько времени занимает исправление прикуса у взрослых?
Время, необходимое для исправления прикуса у взрослых, строго индивидуально. В среднем, это полтора-два года, но время для лечения зависит от тяжести вашего заболевания, метода лечения, структуры костной ткани, состояния жевательных мышц и других факторов. Все это рассчитывает доктор перед лечением, поэтому сами, без специалиста, вы не определите срок лечения.
-
Как происходит исправление прикуса челюсти?
В брекетах и элайнерах примерно одна и та же схема лечения. Под давлением на определенные точки на зубе или зубном ряду зуб начинает двигаться, и занимает то положение, которое изначально был должен. На каждой встрече для корректировки прикуса, доктор активирует новые точки с помощью новой каппы элайнеров или брекета и ортодонтической дуги.
-
Что нужно для поддержания эффекта восстановления прикуса?
Для того, чтобы сохранить эффект от полученного лечения, существует ретенционный период. Это время, когда пациент носит специальный ретейнер на внутренней поверхности зубного ряда. Это тонкая проволочка, которая удерживает зубной ряд в полученном положении. Время ретенционного периода индивидуально. Кому-то достаточно пары месяцев, а кто-то носит несколько лет, в зависимости от исходной патологии.
-
Выпрямлять зубы можно только в детстве?
Ошибочное мнение многих пациентов, что выпрямить зубы можно только в детстве. Это далеко не так. Современные технологии позволяют исправлять прикус в абсолютно любом возрасте. В детстве мы не понимаем, как важна ровная и красивая улыбка, родители надеются, что прикус волшебным образом скорректируется сам. Поэтому очень часто к мысли об исправлении прикуса мы приходим уже в осознанном возрасте. И тогда на помощь приходят различные методики:- Брекеты. Вариантов брекет-систем сейчас великое множество. Металлические, керамические, сапфировые, комбинированные. Например, если вы стесняетесь улыбки с брекетами, или часто выступаете на публике, то есть возможность скомбинировать прозрачные керамические брекеты на передних зубах и металлические на жевательных. Более того, под каждый клинический случай доктор подбирает лигатурные брекеты или самолигирующие. В первом варианте дуга крепится к брекету с помощью резиночки или проволочки (лигатуры). Во втором случае в составе брекета есть специальный замок, который удерживает дугу в пазу.
- Элайнеры. Это прозрачные съемные капы, которые нужно менять каждые две недели. Они оказывают мягкое давление на определенные зубы и область челюсти, благодаря чему прикус исправляется, а зубы встают на свои места.
- Ортодонтические пластины для исправления прикуса. Чаще всего это съемная конструкция, которую нужно носить более 20 часов в день. Она корректирует не только положение зубов, но и работу жевательных мышц.
-
Как проходит лечение брекетами?
Перед началом лечения нужно вылечить кариес (если он есть), также рекомендуется провести профессиональную гигиену зубов. Врач-ортодонт на основе снимка и данных осмотра составляет подробный план лечения. После установки брекет-системы нужно посещать врача примерно раз в 4–6 недель для осмотра, замены дуги и при необходимости установке дополнительных приспособлений (тяг, пружинок). Лечение занимает от 12 месяцев. После его завершения брекеты снимают, изготавливают капы для закрепления результата, устанавливают несъемные ретейнеры, врач дает рекомендации по дальнейшему уходу за зубами. -
Как часто нужно делать активацию брекет-системы?
Обычно замена дуги проводится раз в 4–6 недель, а других элементов – пружинок, кнопок, надкусочных пломб – в зависимости от ситуации. -
Как можно убрать щели между зубами?
Основной способ – это ношение брекетов или прозрачных съемных кап. Но если щелей немного, то можно также по желанию установить виниры, сделав их чуть шире, чем зубы, тогда они скроют щели. Виниры устанавливаются только при правильном прикусе. -
При брекетах можно лечить кариес зубов?
Перед установкой брекетов требуется вылечить все очаги кариеса. При достаточной гигиене во время ношения брекетов кариес, как правило, не образуется. Но если так случилось, вылечить его можно, сняв на время только дугу – придется в один день посетить и врача – стоматолога-терапевта, и ортодонта. Оставлять кариес без лечения на долгий срок не рекомендуется. -
Чем отличаются самолигирующиеся брекеты от лигатурных?
В лигатурных брекетах дуга крепится с помощью резиночек, а в самолигирующихся – в замках на самих брекетах. Самолигирующиеся системы работают быстрее, сокращая срок лечения, и выглядят менее заметными. -
Сколько стоит снять ретейнеры с зубов?
Ретейнеры устанавливают после окончания лечения у ортодонта для сохранения результата. Во многих случаях их вообще не нужно снимать. Уточните этот вопрос у врача на приеме. -
Можно ли заменить дуги на брекетах?
Дуги на брекетах врач заменяет в среднем 1 раз в 4–6 недель. Постепенно дуги становятся более жесткими, пока зубы не примут правильное положение. -
Ставят ли брекеты, если на зубах коронки?
Это зависит от состояния прикуса и положения зубов. Если основное воздействие дуги придется на здоровые (натуральные) зубы, то наличие коронок само по себе не помеха. Но точно ответить на этот вопрос можно только на приеме у врача-ортодонта. -
Какие брекеты лучше по качеству и сколько они примерно стоят?
Наиболее эффективны на сегодня самолигирующиеся брекеты. С точки зрения функциональности металлические, керамические и сапфировые примерно одинаковы. Стоимость брекет-системы, ее установки и лечения вы можете узнать, обратившись на прием к врачу-ортодонту.
Получите каталог услуг Super Smile: цены, этапы лечения и все преимущества в удобном формате

Наши врачи
Цены на исправление прикуса
-
Поможем вернуть 13% НДФЛ
-
Уникальные гарантии на исправление прикуса
-
Лучшая цена среди клиник с рейтингом 5*
Предложение не является публичной офертой.
*Цены уточняйте по телефону +7 (812) 575-56-01

































Исправление прикуса — это не только про эстетику, но и про здоровье
В процессе лечения:

После ортодонтического лечения:









