Брекет-система Damon Ultima в Санкт Петербурге
Брекет-система Damon Ultima — это новейшая разработка американской ортодонтической компании Ormco, задающей мировые стандарты качества.
Хотите, чтобы лечение проходило быстрее, комфортнее и точнее, чем когда-либо? Тогда вам подойдёт именно брекет-система Damon Ultima.
В этой системе полностью переработана конструкция брекета и дуги — устранён микрозазор, обеспечивающий точный контроль каждого движения зуба.
Результат — красивая улыбка на 3–6 месяцев раньше, чем при использовании предыдущих поколений брекетов.
- Результат еще быстрее вместе с новой брекет системой Damon Ultima
- Современные технологии и комфорт — в клинике Super Smile!
Вы получите детализированный расчёт стоимости без ненужных накруток со стороны стоматолога!
Какие брекеты подойдут Вам? Пройдите тест и получите сертификат на 7 бонусов!
Ответьте на несколько вопросов, чтобы самостоятельно оценить своё здоровье и получите сертификат от нашей клиники (для новых пациентов)!
1. Смыкаются ли у вас зубы?
2. Выступают ли у вас клыки?
2. Выступают ли у вас клыки?
3. Наклонены ли внутрь зубы в зубном ряду?
3. Наклонены ли внутрь зубы в зубном ряду?
4. При смыкании край нижних зубов находится впереди верхних?
4. При смыкании край нижних зубов находится впереди верхних?
Ваш результат
Скорее всего у вас есть проблемы с прикусом.
Чтобы поставить диагноз и определить план лечения, запишитесь на бесплатную консультацию по телефону. Чтобы поставить диагноз и определить план лечения, запишитесь на бесплатную консультацию по телефону
Ваш результат
Скорее всего, у вас правильный прикус.
Чтобы убедиться в этом, запишись на бесплатный профилактический осмотр. Профилактика поможет вам не допустить проблем с зубами или обнаружить заболевание на самых ранних стадиях.

Что такое брекет-система Damon Ultima
Damon Ultima — это не просто обновление предыдущей версии Damon Q2, а полностью новая система, спроектированная с нуля. Ormco объединила десятилетия исследований и клинического опыта, чтобы создать первую ортодонтическую систему с полным контролем ротации, ангуляции и торка.
Если вы хотите купить и установить Damon Ultima с официальной гарантией, выбирайте клиники, сотрудничающие с Ormco. В Super Smile используется только оригинальная продукция и сертифицированные дуги Ultima.
Ключевые технологические особенности:
- Уникальная форма паза брекета — паз выполнен в виде параллелограмма, а не прямоугольника. Это позволяет дуге и брекету взаимодействовать по всем осям, устраняя люфт почти на 99%.
- Дуги Ultima — специальные дуги с прямоугольным сечением и закруглёнными краями, обеспечивающие мягкое и равномерное воздействие на зубы.
- Плавное, физиологичное движение — система сохраняет принципы пассивного самолигирования: низкое трение, щадящие силы и комфорт пациента.
- Интеграция компонентов — брекеты и дуги разработаны как единая система, что исключает необходимость ручных корректировок и повторных фиксаций.
Эти инженерные решения делают Damon Ultima одной из самых точных систем в ортодонтии.
О стоматологической клинике Super Smile

Клиника Super Smile — это современный центр стоматологии, где сочетаются опыт, технологии и забота о каждом пациенте. Мы комплексно подходим к лечению, ведь красивая улыбка невозможна без здоровья всей полости рта. На консультации врачи подробно анализируют состояние зубов, составляют индивидуальный план и помогают поэтапно решить все задачи — от профилактики до сложной ортодонтии.
Вы можете быть уверены: в Super Smile работают специалисты высокого уровня, которые регулярно проходят обучение у ведущих российских и зарубежных экспертов. Мы применяем новейшие методики и оригинальное оборудование Ormco, что позволяет нам предлагать самые современные решения в области ортодонтии.
Клиника Super Smile уже несколько лет входит в список 100 лучших стоматологических клиник России по версии «Коммерсант-Здоровье» и «Start Smile», а также отмечена рейтингами порталов НаПоправку и ПроДокторов.
Наши специалисты — одни из первых в стране, кто работает с новейшей брекет-системой Damon Ultima. Если вы хотите пройти лечение быстрее, комфортнее и с предсказуемым результатом, приглашаем вас на первую бесплатную консультацию в клинику Super Smile — начните путь к идеальной улыбке уже сегодня!
Цифровое 3D-сканирование зубов в Super Smile.
Хотели бы вы знать, как будет выглядеть ваша улыбка после ортодонтического лечения?
В нашей клинике вы можете увидеть результат лечения, еще даже не начав его. Для этого мы используем сканер Itero. Это уникальное оборудование позволяет доктору смоделировать будущий результат, а пациенту увидеть все со стороны.
После уже первого приёма у ортодонта, будете знать, стоит ли вам начинать ортодонтическое лечение и какого результата вам ждать!
- Увидите будущую ровную улыбку еще до начала лечения
- Сможете поучаствовать в создании вашей улыбки вместе с доктором
- Получите консультацию опытного ортодонта. Каждый врач установил более 2000 брекет-систем/элайнеров

Преимущества клиники Super Smile для установки брекет-системы Damon Ultima
-
Наши ортодонты — одни из первых в России, кто прошёл обучение работе с новейшей брекет-системой Damon Ultima. Мы уверенно применяем технологии будущего уже сегодня, чтобы вы могли получить максимально точный и предсказуемый результат лечения.
-
В клинике Super Smile вы получите не только ровную улыбку, но и официальные гарантии на результат. Мы предлагаем прозрачный расчёт стоимости без скрытых платежей и фиксируем сроки лечения документально.
-
Мы заботимся не только о результате, но и о вашем комфорте. На первой консультации вы сможете увидеть свою будущую улыбку на экране — благодаря интраоральному 3D-сканеру iTero, который создаёт цифровую модель зубов с точностью до долей миллиметра.
-
Все диагностические процедуры — КТ и ТРГ — можно пройти прямо в клинике, не тратя время на посещение других центров. Современный компьютерный томограф обеспечивает быстрое, безопасное и максимально информативное обследование.
-
Оригинальную систему Damon Ultima можно купить только у официальных партнёров компании Ormco — таких, как клиника Super Smile. Это гарантирует подлинность брекетов и точность результата лечения.
Начните с бесплатной консультации
Ровные зубы – это просто и комфортно! В Super Smile мы заботимся о вашей улыбке и подбираем оптимальное решение для выравнивания зубов.
Почему стоит выбрать брекет систему Damon Ultima
-
Новое поколение точности и контроля
Брекеты Damon Ultima — это первая система, в которой брекеты и дуги разработаны как единое целое. Уникальная форма паза и усовершенствованная дуга обеспечивают точный контроль каждого движения зуба.
-
Более короткие сроки лечения
Благодаря инновационной конструкции, Damon Ultima позволяет сократить лечение на 3–6 месяцев без потери качества результата.
-
Максимальный комфорт
Сохраняются все преимущества самолигирующих систем Damon — мягкие силы, низкое трение и бережное воздействие. Меньшее давление на зубы, отсутствие раздражения слизистой и лёгкость привыкания к системе.
-
Эстетика
Компактные брекеты Damon Ultima выглядят аккуратно и малозаметно, не мешают при разговоре и приёме пищи.
-
Прогнозируемый результат
Система Damon Ultima создана для стабильного и предсказуемого эффекта. Меньше ручных доработок, меньше визитов и идеальная точность финального положения зубов.
-
Современная технология от лидера мирового уровня
Damon Ultima — разработка компании Ormco, мирового лидера ортодонтии с более чем 60-летним опытом. Эта система уже используется в лучших клиниках Европы и США, а теперь доступна и пациентам Super Smile.
Этапы лечения брекет системой Damon Ultima
-
Первичная консультация
Врач проводит диагностику: визуальный осмотр, цифровое сканирование зубов, фото и рентген-исследование.
-
Составление индивидуального плана лечения
На основе анализа подбирается оптимальная схема перемещения зубов, прогнозируются сроки и результат.
-
Установка брекетов Damon Ultima
Брекеты фиксируются на зубах с высокой точностью. Система начинает работать сразу — зубы двигаются мягко и контролируемо.
-
Активная фаза
Регулярные визиты к ортодонту (примерно раз в 6–8 недель). Врач меняет дуги и отслеживает динамику.
-
Финиш и ретенция
После достижения результата брекеты снимаются, устанавливаются ретейнеры или каппы для сохранения эффекта.
Гарантии на установку брекетов
Улыбайтесь, наслаждайтесь каждым моментом!
Ровные зубы с гарантией результата! Запишитесь к врачу, входящему в ТОП-10 лучших ортодонтов СПб. Оставьте ваш номер телефона и мы свяжемся с вами в течении 5 минут, чтобы подобрать удобное для вас время для визита
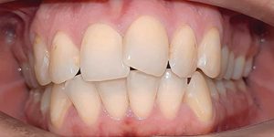
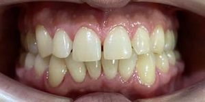
Работы наших специалистов
А теперь — самое главное:
Заботливый системный подход Super Smile

В Super Smile всё начинается с заботы.
Мы не просто лечим зубы — мы сохраняем ваше здоровье и уверенность на долгие годы. Перед лечением мы внимательно обследуем, объясняем каждый шаг и вместе составляем индивидуальный план лечения, где всё продумано — от диагностики до результата. Так вы точно знаете, что происходит, и чувствуете заботу на каждом этапе
Что включает комплексный план лечения?
- Осмотр и консультация специалиста
- Подробный фотопротокол
- Заполнение “зубной формулы” – вашей карты улыбки
- Медицинский план лечения
- Выгодный финансовый план лечения
Почему заботливый и системный подход работает лучше
В Super Smile мы верим, что стоматология должна быть не спешной, а осознанной и внимательной.
Такой подход сохраняет здоровье, экономит средства и помогает сохранить результат на годы вперёд.
| Обычное лечение | Заботливый системный подход Super Smile |
|---|---|
| Посадить пациента в кресло и сразу начать лечение | Сначала выслушать, обследовать, всё объяснить и только потом вместе выбрать лучший путь |
| Начать с самых дорогих процедур, не думая о логике | Продумать план шаг за шагом, чтобы не пришлось что-то переделывать через полгода |
| Предложить один «удобный» вариант и настаивать на нём | Разработать несколько вариантов лечения — по срокам, бюджету и комфорту |
| Передать пациента любому свободному врачу | Собрать команду специалистов, где каждый отвечает за свой этап, а результат — общий |
| Говорить, что бюджет невозможно рассчитать заранее | Составить прозрачный финансовый план и помочь спокойно спланировать расходы |
| Не давать гарантий на работу | Предоставить реальные гарантии на лечение — чтобы вы были уверены в результате и спокойны за свою улыбку |
С заботой — с первого шага
Стоимость индивидуального Плана лечения — всего 0 рублей.
В него входит полное обследование, консультация специалиста и составление медицинского и финансового планов. Отдельно оплачивается 3D снимок для точной диагностики.
Получите каталог услуг Super Smile: цены, этапы лечения и все преимущества в удобном формате

Наши врачи-ортодонты
Цены Super Smile
-
Ортодонтия
- Ортодонтическая коррекция с применением металлической самолигирующей брекет-системы Damon Ultima (стоимость системы на 1 челюсть)
- 77 300 ₽
- Активация, коррекция, наблюдение, Damon Q / Ultima/Genius Metal 2
- 5 700 ₽
































