Установка брекетов на задние зубы в Санкт Петербурге
Брекеты на задние зубы или лингвальные брекеты, если говорить более корректно, используются для снижения психологического дискомфорта. Вы часто выступаете на публике? Вы известная личность? А может быть брекеты нужны вашему ребёнку-подростку? Воспользуйтесь задними брекетами!
- Исправляйте зубы незаметно для окружающих с брекетами на задние зубы!
- Гарантированный желаемый результат или мы будем лечить вас бесплатно!
Вы получите детализированный расчёт стоимости без ненужных накруток со стороны стоматолога!
Какие брекеты подойдут Вам? Пройдите тест и получите сертификат на 7 бонусов!
Ответьте на несколько вопросов, чтобы самостоятельно оценить своё здоровье и получите сертификат от нашей клиники (для новых пациентов)!

В чем особенности задних брекетов?
Задние брекеты могут быть любой фирмы и могут быть изготовлены из различных материалов: металла, керамики или сапфира. Но так как это брекеты на задние зубы, то наиболее целесообразно их изготавливать из металла или сплавов золота. Брекеты сзади могут быть как лигатурными, так и безлигатурными. В первом случае сами брекеты соединяются с ортодонтической дугой методом небольших резиночек и проволочек, которые нужно менять и подтягивать раз в месяц. В случае безлигатурных брекетов в их составе уже есть замочек, который держит дугу. Это экономит ваше время, и количество посещений врача-стоматолога сокращаемся вдвое.
В чем плюсы брекетов на задние зубы?
- Экономия вашего времени. Некоторые виды патологий быстрее всего исправить задними брекетами.
- Физиологичность. Брекеты сзади максимально мягко воздействуют на зубы, поэтому изменения происходят наиболее физиологично.
- Незаметность. Так как брекеты на задние зубы стоят на внутренней поверхности зубного ряда, то они совершенно не видны людям, с которыми вы общаетесь.
- Резистентность от кариеса. На внутренней поверхности зубного ряда практически не бывает кариеса, так как эта поверхность постоянно омывается слюной. А значит ношение брекетов никак не скажется на риске развития кариеса.
Задние брекеты устанавливаются лингвально, то есть с внутренней поверхности зубного ряда. Они также, как и вестибулярные, состоят из самого брекета и ортодонтической дуги, но различаются между собой по материалу, из которого изготавливаются, и методу фиксации дуги.
О стоматологической клинике Super Smile

Клиника Super Smile — это доступность и индивидуальный подход. Мы предлагаем вам любые направления в стоматологии, комфорт, высокое качество услуг и сервиса. У нас вы найдете уникальные методики, гарантии на лечение, а также оцените все преимущества комплексного подхода к лечению проблем в полости рта. Каждый из наших специалистов настоящий профессионал в своей области, у многих из докторов стаж более 10-15 лет.
Мы гордо носим звание одной из лучших клиник города Санкт-Петербург, потому что входим в число 100 лучших стоматологических клиник России согласно рейтингам «Коммерсант-Здоровье» и «Start Smile», а в 2021 мы вошли в ТОП-10 клиник по версии порталов НаПоправку и ПроДокторов. Если вы цените комплексный и индивидуальный подход, то вам в клинику Super Smile!
Доктора клиники Super Smile настоящие профессионалы в установке лингвальных брекет систем на задние зубы. Если вы мечтаете о незаметности и эффективности на брекетах – скорее записывайтесь на первую бесплатную консультацию!
Цифровое 3D-сканирование зубов в Super Smile. Покажем вашу будущую ровную улыбку еще до начала лечения!
Хотели бы вы знать, как будет выглядеть ваша улыбка после ортодонтического лечения?
В нашей клинике вы можете увидеть результат лечения, еще даже не начав его. Для этого мы используем сканер Itero. Это уникальное оборудование позволяет доктору смоделировать будущий результат, а пациенту увидеть все со стороны.
После уже первого приёма у ортодонта, будете знать, стоит ли вам начинать ортодонтическое лечение и какого результата вам ждать!
- Увидите будущую ровную улыбку еще до начала лечения
- Сможете поучаствовать в создании вашей улыбки вместе с доктором
- Получите консультацию опытного ортодонта. Каждый врач установил более 2000 брекет-систем/элайнеров

Преимущества брекетов сзади в клинике Super Smile
-
Наши специалисты имеют многолетний опыт лечения на лингвальных брекетах сзади. Мы были одни из первых, кто начал использовать такие брекеты.
-
В нашей клинике вы можете подобрать тот тип брекетов, который подойдет именно вам!
-
Индивидуальный подход во всем, даже в специальных гарантиях на ортодонтическое лечение!
-
Комфортное снятие оттисков (слепков) с новейшим 3D сканером Itero!
-
Все методы диагностики для установки брекетов на задние зубы в одном месте с помощью нашего компьютерного томографа!
Ровные и красивые зубы с гарантией результата
Ровные зубы с гарантией результата! Запишитесь к врачу, входящему в ТОП-10 лучших ортодонтов СПб. Оставьте ваш номер телефона и мы свяжемся с вами в течении 5 минут, чтобы подобрать удобное для вас время для визита.
Почему стоит выбрать задние брекеты?
-
Быстрый эффект.
Уже через 2-3 месяца после установки брекетов сзади вы увидите положительный эффект от лечения.
-
Эстетика.
Сохраните свою улыбку, благодаря лингвальному расположению брекетов сзади.
-
Биосовместимость.
Брекеты на задние зубы изготавливаются из гипоаллергенных материалов, а значит не будут создавать гальванического эффекта и вызывать аллергию.
-
Снижение риска травматизации слизистой.
Зачастую, используя вестибулярные брекеты, пациенты жалуются на травму слизистой щек и губ во время жевания и разговора. С лингвальными задними брекетами риск сведен к минимуму.
-
Подберите свой вариант.
Существует много видов брекетов сзади, и вы можете выбрать вместе с врачом-ортодонтом тот вариант, который устроит вас на все 100%.
Этапы лечения задними брекетами
-
Консультация, диагностика
На первой встрече доктор визуально и с помощью интраорального сканера Itero оценивает состояние ваших зубов и десен. Далее вы направляетесь на диагностические снимки и ТРГ и КТ-диагностику, фотопротокол.
-
Составление плана лечения
После анализа снимков КТ и ТРГ, фотопротокола, доктор составляет вам комплексный план лечения, а также создаёт 3D план вашего дальнейшего ортодонтического лечения.
-
Санация полости рта
Проводится при необходимости. До начала ортодонтического лечения вам необходимо пролечить кариес или его осложнения, заболевания пародонта, а также провести профессиональную гигиену полости рта.
-
Установка брекетов сзади
В зависимости от фирмы и типа конструкции методы изготовления и установки могут отличаться. Например, для изготовления индивидуальной лингвальной брекет системы Incognito с помощью 3D сканера Itero снимаются цифровые оттиски (слепки) и отправляются в специальную зуботехническую лабораторию. Там они изготавливаются в течение 3-4 месяцев, а затем устанавливаются в полости рта. Для других видов брекетов существуют два способа установки: прямой и непрямой. При прямом методе доктор сразу позиционирует брекеты в полости рта. Это занимает больше времени, но не требует предварительной подготовки. Для непрямого способа доктор снимает оттиски (слепки), изготавливает гипсовую модель ваших челюстей, на ней устанавливает брекеты и потом переносит их в вашу полость рта вместе с ортодонтической дугой.
-
Выравнивание зубов и исправление прикуса
Лингвальные брекет-системы устанавливают в среднем на полтора-два года, в зависимости от патологии. В первые несколько месяцев происходит выравнивание зубного ряда, после этого в течение последующих 5-10 месяцев — исправление прикуса. И самым последним этапом лечения будет детализация ортодонтического лечения, когда будут выравниваться межзубные промежутки. Во время этого периода вам нужно будет посещать стоматолога примерно раз в 1-2 месяца. Частота визитов зависит от того, какую систему вы выбрали: лигатурную или безлигатурную.
-
Установка ретейнеров
Для стабилизации результата, после снятия брекетов, вам устанавливают тонкую проволочку с внутренней поверхности зубного ряда. Это и называется ретейнер. Другой вариант: изготовление и установка прозрачной капы. Ее вам нужно будет самостоятельно одевать и снимать в течение дня. Именно одно из этих приспособлений не будет давать результату лечения «откатиться» назад в исходное состояние. Иногда врачи сочетают съемный и несъемный ретейнер на разных челюстях. Ретенционный период может длиться до 7-8 лет в зависимости от исходной патологии.
Гарантии на установку брекетов
Вы заслуживаете улыбку, в которую влюбитесь сами
Мы искренне стремимся помочь вам и сделать это наилучшим образом. Давайте начнем с бесплатной консультации.
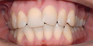
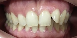
Работы наших специалистов
А теперь — самое главное:
Заботливый системный подход Super Smile

В Super Smile всё начинается с заботы.
Мы не просто лечим зубы — мы сохраняем ваше здоровье и уверенность на долгие годы. Перед лечением мы внимательно обследуем, объясняем каждый шаг и вместе составляем индивидуальный план лечения, где всё продумано — от диагностики до результата. Так вы точно знаете, что происходит, и чувствуете заботу на каждом этапе
Что включает комплексный план лечения?
- Осмотр и консультация специалиста
- Подробный фотопротокол
- Заполнение “зубной формулы” – вашей карты улыбки
- Медицинский план лечения
- Выгодный финансовый план лечения
Почему заботливый и системный подход работает лучше
В Super Smile мы верим, что стоматология должна быть не спешной, а осознанной и внимательной.
Такой подход сохраняет здоровье, экономит средства и помогает сохранить результат на годы вперёд.
| Обычное лечение | Заботливый системный подход Super Smile |
|---|---|
| Посадить пациента в кресло и сразу начать лечение | Сначала выслушать, обследовать, всё объяснить и только потом вместе выбрать лучший путь |
| Начать с самых дорогих процедур, не думая о логике | Продумать план шаг за шагом, чтобы не пришлось что-то переделывать через полгода |
| Предложить один «удобный» вариант и настаивать на нём | Разработать несколько вариантов лечения — по срокам, бюджету и комфорту |
| Передать пациента любому свободному врачу | Собрать команду специалистов, где каждый отвечает за свой этап, а результат — общий |
| Говорить, что бюджет невозможно рассчитать заранее | Составить прозрачный финансовый план и помочь спокойно спланировать расходы |
| Не давать гарантий на работу | Предоставить реальные гарантии на лечение — чтобы вы были уверены в результате и спокойны за свою улыбку |
С заботой — с первого шага
Стоимость индивидуального Плана лечения — всего 0 рублей.
В него входит полное обследование, консультация специалиста и составление медицинского и финансового планов. Отдельно оплачивается 3D снимок для точной диагностики.
Получите каталог услуг Super Smile: цены, этапы лечения и все преимущества в удобном формате

Наши врачи-ортодонты
Цены на исправление прикуса
-
Поможем вернуть 13% НДФЛ
-
Уникальные гарантии на исправление прикуса
-
Лучшая цена среди клиник с рейтингом 5*
Предложение не является публичной офертой.
*Цены уточняйте по телефону +7 (812) 575-56-01






























