Консультация детского ортодонта в Санкт-Петербурге в клинике Super Smile
Если при прорезывании постоянных зубов или уже после завершения формирования постоянного прикуса, вы заметили, что у вашего ребенка неправильно смыкаются зубы, или зубы расположены не так, то просто приходите на консультацию детского ортодонта. Только специалист подберет вашему ребенку необходимый вид лечения, а также назначит правильную диагностику.
- В клинике Super Smile доктора найдут подход к вашему ребенку!
- Клиника Super Smile — это семейная клиника, и мы рады нашим маленьким пациентам!
Вы получите детализированный расчёт стоимости без ненужных накруток со стороны стоматолога!
Какие брекеты подойдут Вам? Пройдите тест и получите купон на 7 бонусов!
Ответьте на несколько вопросов, чтобы самостоятельно оценить своё здоровье и получите сертификат от нашей клиники (для новых пациентов)!

Исправление прикуса с заботой о каждом шаге
Ровные зубы с гарантией результата! Запишитесь к врачу, входящему в ТОП-10 лучших ортодонтов СПб. Оставьте ваш номер телефона и мы свяжемся с вами в течении 5 минут, чтобы подобрать удобное для вас время для визита
Что входит в консультацию ортодонта для детей?
На консультации детский ортодонт собирает анамнез заболевания, проводит опрос вас и вашего ребенка. Именно на этом этапе важно создать доверительные отношения с ребенком. Далее доктор осмотрит полость рта и назначает дополнительные методы диагностики. Чаще всего, это КТ- диагностика, с помощью которой доктор может оценить состояние зубов, костной ткани и расположение корней зубов, а также телерентгенограмма в прямой и боковых проекциях. Это помогает подобрать необходимое лечение, а также предугадать результат лечения.
Консультация детского ортодонта необходима при наличии любых ортодонтических проблем у вашего ребенка. Если уже на стадии смены прикуса вы заметили, что какие-то зубы растут неправильно, то не нервничайте, а просто приходите на консультацию детского ортодонта, он проведет осмотр и выявит целесообразность ортодонтического лечения.
В чем плюсы консультации детского ортодонта?
Как долго нужно носить брекеты? Сколько длится ортодонтическое лечение?
Всего 1 визит в клинику
Приблизит вас к вашей идеальной улыбке. Сделайте первый шаг — на бесплатной консультации врач внимательно изучит ситуацию, предложит удобные варианты и поддержит на всём пути.
О стоматологической клинике Super Smile

В клинике Super Smile вы найдете специалистов для лечения своих проблем в полости рта, но и детских врачей. Super Smile — это семейная клиника, которая предоставляет услуги всей вашей семье. Для вас и вашего ребенка мы составим полноценный и комплексный план лечения, найдем подход к вам и вашему ребенку.
Вы по достоинству сможете оценить качество услуг и сервис, ведь у клиники Super Smile рейтинг 5,0 на Яндекс.Картах, а также мы входим в число 100 лучших стоматологических клиник России согласно рейтингам «Коммерсант-Здоровье» и «Start Smile». Последние два года мы регулярно входим в ТОП-10 клиник по версии порталов НаПоправку, ПроДокторов и 32top. Мы всегда рады помочь вам сохранить ваше здоровье и здоровье ваших детей!
В клинике Super Smile вы и ваш ребенок пройдете полноценную консультацию детского ортодонта и найдете ответы на все вопросы. Поэтому ждем вас, скорее записывайтесь на первую бесплатную консультацию!
Преимущества клиники Super Smile для проведения консультации ортодонта для детей
-
Наши доктора имеют большой опыт работы с детьми.
-
Индивидуальный и комплексный подход, создание доверительных отношений с ребенком.
-
Уникальные гарантии на ортодонтическое лечение.
-
Беспроцентная рассрочка, брекеты по цене чашки кофе!
-
Собственный компьютерный томограф и 3D-сканер для качественной диагностики ортодонтических проблем!
Цифровое 3D-сканирование зубов в Super Smile. Покажем вашу будущую ровную улыбку еще до начала лечения!
Хотели бы вы знать, как будет выглядеть ваша улыбка после ортодонтического лечения?
В нашей клинике вы можете увидеть результат лечения, еще даже не начав его. Для этого мы используем сканер Itero. Это уникальное оборудование позволяет доктору смоделировать будущий результат, а пациенту увидеть все со стороны.
После уже первого приёма у ортодонта, будете знать, стоит ли вам начинать ортодонтическое лечение и какого результата вам ждать!
- Увидите будущую ровную улыбку еще до начала лечения
- Сможете поучаствовать в создании вашей улыбки вместе с доктором
- Получите консультацию опытного ортодонта. Каждый врач установил более 2000 брекет-систем/элайнеров

Гарантия лучшего сочетания цена/качество
Преимущества консультации ортодонта для детей
Этапы консультации детского ортодонта
-
Беседа и сбор анамнеза
Сначала важно создать теплую атмосферу и заинтересовать ребенка, поэтому доктор может просто поговорить с вашим ребенком, задавать вопросы о его жалобах, какие-то вопросы задавать вам. Так, постепенно, врач-ортодонт соберет анамнез заболевания, составит общую клиническую картину.
-
Осмотр
Далее доктор с помощью зонда и зеркала проводит визуальный осмотр полости рта, оценивает состояние зубов, языка, десен и мягких тканей лица, положение челюсти и височно-нижнечелюстного сустава. Возможно применение 3D сканера на этом этапе осмотра.
-
Дополнительная диагностика
Для того, чтобы полноценно оценить состояние зубочелюстной системы вашего ребенка, доктор назначает КТ-диагностика, телерентгенограмма головы в прямой и боковых проекциях.
-
Оценка полученных данных
После проведения всех видов диагностики, доктор оценивает состояние зубов вашего ребенка на компьютере, смотрит структуру костной ткани, расположение корней зубов и зачатков постоянных зубов. На основании этих данных, врач-ортодонт составляет комплексный план лечения. Какое лечение подойдет лучше? Какой будет результат?
-
Составление плана лечения
Главной целью этого этапа на консультации детского ортодонта является определение целесообразности и срочности ортодонтического вмешательства. Доктор назначает предварительную санацию полости рта, расписывает этапы ортодонтического лечения.
-
Фотопротокол
До начала лечения важно зафиксировать на фото исходные данные. Поэтому доктор проводит фотопротокол лица вашего ребенка и полости рта в различных проекциях.
-
Лечение
Со второго визита уже начинается сам процесс лечения, который вы одобрили и обсудили на первичной консультации.
Гарантия лучшего сочетания цена/качество
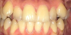
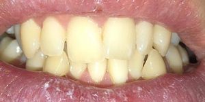
Работы наших специалистов
Консультация ортодонта для детей бесплатна!
Запишитесь на бесплатную консультацию детского ортодонта
А теперь — самое главное:
Заботливый системный подход Super Smile

В Super Smile всё начинается с заботы.
Мы не просто лечим зубы — мы сохраняем ваше здоровье и уверенность на долгие годы. Перед лечением мы внимательно обследуем, объясняем каждый шаг и вместе составляем индивидуальный план лечения, где всё продумано — от диагностики до результата. Так вы точно знаете, что происходит, и чувствуете заботу на каждом этапе
Что включает комплексный план лечения?
- Осмотр и консультация специалиста
- Подробный фотопротокол
- Заполнение “зубной формулы” – вашей карты улыбки
- Медицинский план лечения
- Выгодный финансовый план лечения
Почему заботливый и системный подход работает лучше
В Super Smile мы верим, что стоматология должна быть не спешной, а осознанной и внимательной.
Такой подход сохраняет здоровье, экономит средства и помогает сохранить результат на годы вперёд.
| Обычное лечение | Заботливый системный подход Super Smile |
|---|---|
| Посадить пациента в кресло и сразу начать лечение | Сначала выслушать, обследовать, всё объяснить и только потом вместе выбрать лучший путь |
| Начать с самых дорогих процедур, не думая о логике | Продумать план шаг за шагом, чтобы не пришлось что-то переделывать через полгода |
| Предложить один «удобный» вариант и настаивать на нём | Разработать несколько вариантов лечения — по срокам, бюджету и комфорту |
| Передать пациента любому свободному врачу | Собрать команду специалистов, где каждый отвечает за свой этап, а результат — общий |
| Говорить, что бюджет невозможно рассчитать заранее | Составить прозрачный финансовый план и помочь спокойно спланировать расходы |
| Не давать гарантий на работу | Предоставить реальные гарантии на лечение — чтобы вы были уверены в результате и спокойны за свою улыбку |
С заботой — с первого шага
Стоимость индивидуального Плана лечения — всего 0 рублей.
В него входит полное обследование, консультация специалиста и составление медицинского и финансового планов. Отдельно оплачивается 3D снимок для точной диагностики.
-
Какой опыт/стаж работы у специалистов? Какой вуз они закончили?
Все врачи клиники имеют Высшее медицинское образование и прошли более 220 курсов повышения квалификации. У всех врачей опыт работы более 5 лет, а у многих от 10 и более лет. -
Как проходит лечение брекетами?
Перед началом лечения нужно вылечить кариес (если он есть), также рекомендуется провести профессиональную гигиену зубов. Врач-ортодонт на основе снимка и данных осмотра составляет подробный план лечения. После установки брекет-системы нужно посещать врача примерно раз в 4–6 недель для осмотра, замены дуги и при необходимости установке дополнительных приспособлений (тяг, пружинок). Лечение занимает от 12 месяцев. После его завершения брекеты снимают, изготавливают капы для закрепления результата, устанавливают несъемные ретейнеры, врач дает рекомендации по дальнейшему уходу за зубами. -
Можно выровнять два зуба без брекетов?
Да, можно использовать прозрачные капы. Они изготавливаются индивидуально каждые 2 недели и постепенно меняют положение зубов. -
Проводят ли в клинике «Super Smile» снятие брекетов?
Снятие брекетов – завершающий и очень важный этап лечения. Если вы проходите лечение в нашей клинике, то снятие брекетов также проводит ваш врач-ортодонт. -
Сколько времени нужно носить брекеты?
В большинстве случаев от 12 до 24 месяцев. В сложных случаях, при сопутствующем хирургическом вмешательстве срок лечения может быть больше. Обычно ожидаемый срок лечения врач называет уже на предварительном приеме.
Получите каталог услуг Super Smile: цены, этапы лечения и все преимущества в удобном формате

Наши врачи-ортодонты
Цены на исправление прикуса
-
Поможем вернуть 13% НДФЛ
-
Уникальные гарантии на исправление прикуса
-
Лучшая цена среди клиник с рейтингом 5*
Предложение не является публичной офертой.
*Цены уточняйте по телефону +7 (812) 575-56-01
































