Чистка зубов от зубного камня в Санкт-Петербурге
Ваши зубы стали шероховатые и поменяли свой оттенок на более желтый? Возможно, причина в обильном отложении минерализованных зубных отложений. Чистка зубов от зубного камня помогает вернуть гладкость и естественный цвет ваших зубов. В клинике Super Smile для этого используются самые передовые методики на современных аппаратах.
- Современные методы борьбы с неприятным запахом изо рта!
- Удаление камней с зубов без боли!
Вы получите детализированный расчёт стоимости без ненужных накруток со стороны стоматолога!
Узнайте, пора ли вам показаться стоматологу!
Ответьте на несколько вопросов, чтобы самостоятельно оценить своё здоровье и получите сертификат от нашей клиники (для новых пациентов)!

Почему так важно проводить чистку камней между зубов?
В полости рта насчитывается более 200 млрд бактерий и микроорганизмов, которые питаются остатками пищи на наших зубах. Если не чистить зубы тщательно, то микроорганизмы образуют мягкий зубной налет. Это смесь бактерий и продуктов их жизнедеятельности: различных кислот и остатков пищи. В тех местах, где вы систематически этот налет не вычищаете, он минерализуется, и образуется зубной камень. Камень может быть над десной и под ней, вдоль корня зуба.
Какие есть плюсы в чистке камней между зубами?
- Профилактика. Это помогает выявить кариес на ранних этапах, а также предотвратить развитие заболеваний десен.
- Эффективность. Чистка камней между зубами эффективно борется с неприятным запахом изо рта.
- Улучшение эстетики улыбки. Благодаря удалению пигментированного налета и камня, эмаль приобретает свой естественный оттенок и гладкость.
- Комфорт при чистке и жевании. Ведь наличие камня между зубами снижает уровень комфорта при жевании и ежедневной гигиене.
Чаще всего, зубной камень образуется в промежутках между зубами, и под десной. Накапливаясь, зубной камень начинается раздражать слизистую оболочку десны, вызывая кровоточивость и воспаление. Так развиваются заболевания десны: гингивит и пародонтит. Именно поэтому лечение этих заболеваний начинается с чистки камней между зубов и у десны. Такую чистку можно проводить с помощью специальных кюрет — механическим способом, с помощью ультразвука или аппарата Air Flow.
Когда и зачем делать чистку зубов?
О стоматологической клинике Super Smile

Если вы ищите современные методы борьбы с зубным камнем, то вы можете найти их у нас, в клинике Super Smile. Для этого мы используем передовые техники, а также ультрасовременное оборудование. Благодаря инновационным подходам в лечении, наша клиника входит в число 100 лучших стоматологических клиник России согласно рейтингам «Коммерсант-Здоровье» и «Start Smile». Мы признаны лучшим центром имплантации Петербурга по результатам престижной «Европейской Премии в области красоты и здоровья «Аврора».
В 2021 и 2022 годах мы вошли в ТОП-10 клиник по версии порталов НаПоправку, ПроДокторов и 32top. В 2022 году мы также были удостоены нескольких виртуальных наград и медалей от портала ПроДокторов. Нам доверяют известные блогеры и артисты театра и кино. Приходите к нам и вы!
В клинике Super Smile наши опытные специалисты проведут вам высокоэффективную чистку зубов от зубного камня. Ждем вас на прием, скорее записывайтесь на первую бесплатную консультацию!
Преимущества клиники Super Smile для проведения чистки камней между зубов
-
Бережная и безболезненная чистка зубов от зубного камня.
-
Уникальные гарантии на профессиональную гигиену.
-
Новейший аппарат EMS Prophylaxis master для качественного удаления камней с зубов.
-
Программа лояльности UDS.
-
Собственный компьютерный томограф для вашего комфорта и точной диагностики.
Гарантия лучшего сочетания цена/качество
Оставьте Ваш телефон и в течение 5 минут мы перезвоним Вам, чтобы подобрать лучшее для Вас время посещения центра имплантации Super Smile.
Преимущества удаления камней с зубов
-
Избавление от неприятного запаха
Удаление камней с зубов способствует очищению поверхности зубов и устранению причины неприятного запаха.
-
Эффект отбеливания
Благодаря удалению камней с зубов, эмаль становится визуально светлее.
-
Профилактика кариеса
Чистка камней между зубов помогает выявить кариес на начальных стадиях.
-
Профилактика пародонтита
Удаление камней с зубов предотвращает появление пародонтальных карманов и воспаления в деснах.
-
Возвращение гладкости и блеска эмали
Благодаря шлифовке и полировке после удаления камней с зубов эмаль приобретает естественный блеск.
Этапы удаления камней с зубов
-
Первичный осмотр и консультация
Важным этапом в лечении является первичная беседа, сбор жалоб и анамнеза заболевания. Затем доктор проводит осмотр полости рта, оценивает состояние зубов и десен, выявляет показания и противопоказания к удалению камней с зубов. При необходимости направляет вас на дополнительную диагностику.
-
Дополнительная диагностика
Перед началом лечения вам может понадобиться дополнительное рентгенологическое обследование или КТ-диагностика, чтобы выявить особенности течения заболевания.
-
Проведение анестезии по показаниям
Если у вас чувствительные зубы, то доктор может провести вам аппликационную анестезию гелем или инфильтрационную анестезию местно в области некоторых зубов.
-
Удаление камней с зубов ультразвуком
Доктор поэтапно с помощью ультразвукового скайлера очищает поверхность зубов: над десной, под десной и в промежутке между зубами.
-
Очищение с помощью Air Flow
С помощью стандартного аппарата Air Flow или ультрасовременного AirFlow Prophylaxis Master доктор убирает остатки зубных отложений и полностью удаляет биопленку с поверхности эмали.
-
Шлифовка и полировка
С помощью специальных полировочных резиночек и щеточек, полировочных абразивных полосок доктор завершает профессиональную гигиену и полирует поверхность зубов со всех сторон.
-
Фторирование
Важный и завершающий этап комплексной профилактики заболеваний полости рта является покрытие зубов фторирующим гелем. Эта процедура позволяет укрепить ослабленную эмаль, которая была под зубным камнем и предотвратить развитие кариеса.
-
Обучение гигиене полости рта
Если у вас есть недостатки в ежедневной гигиене полости рта, то доктор обучит вас и порекомендует средства для профилактики заболеваний полости рта.
Гарантия лучшего сочетания цена/качество
Оставьте Ваш телефон и в течение 5 минут мы перезвоним Вам, чтобы подобрать лучшее для Вас время посещения стоматологии Super Smile.
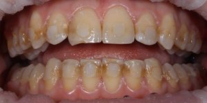
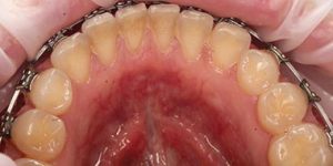
Посмотрите, как проходит процедура у нас
Работы наших специалистов по механической чистке зубов от камня
А теперь — самое главное:
заботливый системный подход Super Smile

В Super Smile всё начинается с заботы.
Мы не просто лечим зубы — мы сохраняем ваше здоровье и уверенность на долгие годы. Перед лечением мы внимательно обследуем, объясняем каждый шаг и вместе составляем индивидуальный план лечения, где всё продумано — от диагностики до результата. Так вы точно знаете, что происходит, и чувствуете заботу на каждом этапе
Что включает комплексный план лечения?
- Осмотр и консультация специалиста
- Подробный фотопротокол
- Заполнение “зубной формулы” – вашей карты улыбки
- Медицинский план лечения
- Выгодный финансовый план лечения
Почему заботливый и системный подход работает лучше
В Super Smile мы верим, что стоматология должна быть не спешной, а осознанной и внимательной.
Такой подход сохраняет здоровье, экономит средства и помогает сохранить результат на годы вперёд.
| Обычное лечение | Заботливый системный подход Super Smile |
|---|---|
| Посадить пациента в кресло и сразу начать лечение | Сначала выслушать, обследовать, всё объяснить и только потом вместе выбрать лучший путь |
| Начать с самых дорогих процедур, не думая о логике | Продумать план шаг за шагом, чтобы не пришлось что-то переделывать через полгода |
| Предложить один «удобный» вариант и настаивать на нём | Разработать несколько вариантов лечения — по срокам, бюджету и комфорту |
| Передать пациента любому свободному врачу | Собрать команду специалистов, где каждый отвечает за свой этап, а результат — общий |
| Говорить, что бюджет невозможно рассчитать заранее | Составить прозрачный финансовый план и помочь спокойно спланировать расходы |
| Не давать гарантий на работу | Предоставить реальные гарантии на лечение — чтобы вы были уверены в результате и спокойны за свою улыбку |
С заботой — с первого шага
Стоимость индивидуального Плана лечения — всего 0 рублей.
В него входит полное обследование, консультация специалиста и составление медицинского и финансового планов. Отдельно оплачивается 3D снимок для точной диагностики.
-
Вредна ли механическая чистка зубов от камня?
Механическая чистка зубов от камня проводится врачом-пародонтологом специальными кюретами, которые «соскабливают» камень с поверхности зуба. Такой метод сейчас используется все реже, так как оставляет микроцарапины на поверхности эмали и цементе корня зуба. Сам по себе метод не несет как такого вредного воздействия, так как эмаль потом можно качественно заполировать. Но механическая чистка зубов от камня — это длительный и трудоемкий процесс, а в нашей клинике есть более современная и профессиональная альтернатива: ультразвук, Air Flow и AirFlow Prophylaxis Master.
-
Правда ли происходит отбеливание зубов во время удаления камня?
Во время удаления камня не используются специальные вещества или методики по отбеливанию зубов. Но после удаления камня есть эффект отбеливания зубов, так как зубы становятся светлее, благодаря удалению с их поверхности пигментированного зубного налета и камня, а также остатков биопленки, которая может придавать желтоватый цвет зубам.
-
Зачем проводить чистку камней между зубов?
Чистку камней между зубов важно проводить для профилактики развития кариеса и заболеваний десен. Так как именно между зубами мы недостаточно тщательно чистим поверхность зубов. Постепенно там образуется скопление мягкого зубного налета, который под действием слюны и междесневой жидкости минерализуется. Минерализованный зубной налет (зубной камень) мешает проходить питательным веществам к эмали, а также раздражает поверхность десны, и там образуется воспаление. Для предотвращения развития гингивита и пародонтита мы рекомендуем проводить чистку камней между зубов раз в 6 месяцев.
Получите каталог услуг Super Smile: цены, этапы лечения и все преимущества в удобном формате

Наши врачи-терапевты
Цены Super Smile
-
Профессиональная гигиена и отбеливание
- Интеллектуальная комфортная гигиена по Швейцарскому протоколу GBT(AIRFLOW,PERIOFLOW иили PIEZON)
- 7 900 ₽
- Местное применение реминерализующих препаратов в области всех зубов (укрепление эмали, защита от кариеса)
- 1 500 ₽
- Профессиональная гигиена полости рта и зубов. (air flow и паста, 2 челюсти)
- 5 500 ₽
- Профессиональная гигиена полости рта и зубов. (SPA для зубов, 4 этапа, включая реминерализацию или зубную щетку в подарок)
- 6 500 ₽
- Профессиональная гигиена полости рта и зубов. (ультразвук и паста, 2 челюсти)
- 5 500 ₽
- Профессиональная гигиена полости рта и зубов. (чистка импланта, ортопедической конструкции за 1 зуб)
- 800 ₽























