Обточка зубов под виниры в Санкт-Петербурге
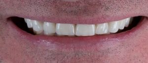
Обточка зубов — обязательная процедура перед установкой виниров. Современный уровень развития стоматологии позволяет проводить эту процедуру быстро и безболезненно
Подойдут ли вам виниры?
Ответьте на несколько вопросов и получите ответ, а также сертификат от нашей клиники.

Что такое обточка зубов перед установкой виниров?
Обточка зубов – это метод подготовки зубов к установке виниров. Врач-стоматолог удаляет верхний слой эмали, для того чтобы установить поверх зуба керамическую накладку, т.е. винир. Обточка позволяет сделать сцепление винира с зубом максимальным и обеспечить надежное соединение.
Зачем нужно проводить обточку зубов под виниры:
- Обточка позволяет хорошо зафиксировать виниры.
- Обточка позволяет закрепить виниры незаметно для окружающих.
- Обточка позволяет продлить срок службы виниров.
- Обточка помогает снизить риск повреждения винира.
- Обточка позволяет устранить ощущение инородного тела во рту после установки виниров.
В стоматологической практике встречаются ситуации, когда производится минимальная обточка зубов, или когда она не требуется вовсе. Важно понимать, что каждый случай индивидуален, и только ваш лечащий врач сможет определить необходимую степень обточки зубов.
Пациенты о винирах и лечении в Super Smile
Виниры в СПб - как сделать улыбку идеальной?
О стоматологической клинике Super Smile

Стоматологическая клиника Super Smile прославилась благодаря блестящему качеству своей работы и высокому уровню сервиса. Нам доверяют как жители Санкт-Петербурга, так и пациенты со всей страны. Мы не только помогаем пациентам обрести здоровую и красивую улыбку, но и обучаем стоматологов в других клиниках России новым методикам и технологиям.
В нашей клинике вы можете пройти первую консультацию абсолютно бесплатно и узнать все интересующие вас детали о процедуре. Более того, в Super Smile вы можете оплатить свое лечение через рассрочку под 0%.
Обточка зубов под виниры – это ответственная процедура, от которой зависит успех установки виниров. Именно поэтому доверить ее стоит профессионалам своего дела – докторам стоматологической клиники Super Smile.
Преимущества обточки зубов перед установкой виниров
-
Процедура обточки зубов проходит безболезненно и в комфортной дружелюбной обстановке.
-
Процедура обточки зубов позволяет надежно зафиксировать виниры.
-
Процедура обточки зубов позволяет создать виниры, которые будут выглядеть естественно и натурально.
-
Процедура обточки зубов перед установкой виниров позволяет максимально продлить срок их эксплуатации.
Наши видео про виниры
Идеальная улыбка — как на картинке, только ваша
Запишитесь на бесплатную консультацию — врач внимательно выслушает, подберёт комфортный план лечения и ответит на все вопросы. С заботой и вниманием
Почему стоит выбрать обточку зубов перед винирами в клинике Super Smile?
-
Гарантируем качественный результат
-
Подходим к лечению комплексно
-
Делаем процедуру безболезненной и комфортной
-
Относимся к пациентам с заботой и вниманием
-
Достигаем намеченных результатов лечения
Как проводится процедура обточки зубов перед установкой виниров?
-
Подготовительный этап
На первом этапе доктор намечает необходимую глубину зубной эмали, которую необходимо спилить.
-
Этап шлифовки
На этапе шлифовки врач спиливает необходимый объем зубной эмали и делает поверхность зуба идеально ровной.
-
Финальная обработка
Доктор проведет финальную обработку поверхностей зубов: отполирует зубы, устранит все острые углы и края.
-
Санитарная обработка
После окончания процедуры обточки зубов перед установкой виниров лечащий врач обработает ваши зубы водой, специальными антисептиками и обеззараживающими веществами.
Давайте начнем с бесплатной консультации
Скрывать улыбку больше не придётся. Наши врачи обязательно вам помогут обрести красивую и здоровую улыбку. Оставьте ваш номер телефона и мы подберем удобное время для визита
Работы наших специалистов по установке виниров
А теперь — самое главное:
Заботливый системный подход Super Smile

В Super Smile всё начинается с заботы.
Мы не просто лечим зубы — мы сохраняем ваше здоровье и уверенность на долгие годы. Перед лечением мы внимательно обследуем, объясняем каждый шаг и вместе составляем индивидуальный план лечения, где всё продумано — от диагностики до результата. Так вы точно знаете, что происходит, и чувствуете заботу на каждом этапе
Что включает комплексный план лечения?
- Осмотр и консультация специалиста
- Подробный фотопротокол
- Заполнение “зубной формулы” – вашей карты улыбки
- Медицинский план лечения
- Выгодный финансовый план лечения
Почему заботливый и системный подход работает лучше
В Super Smile мы верим, что стоматология должна быть не спешной, а осознанной и внимательной.
Такой подход сохраняет здоровье, экономит средства и помогает сохранить результат на годы вперёд.
| Обычное лечение | Заботливый системный подход Super Smile |
|---|---|
| Посадить пациента в кресло и сразу начать лечение | Сначала выслушать, обследовать, всё объяснить и только потом вместе выбрать лучший путь |
| Начать с самых дорогих процедур, не думая о логике | Продумать план шаг за шагом, чтобы не пришлось что-то переделывать через полгода |
| Предложить один «удобный» вариант и настаивать на нём | Разработать несколько вариантов лечения — по срокам, бюджету и комфорту |
| Передать пациента любому свободному врачу | Собрать команду специалистов, где каждый отвечает за свой этап, а результат — общий |
| Говорить, что бюджет невозможно рассчитать заранее | Составить прозрачный финансовый план и помочь спокойно спланировать расходы |
| Не давать гарантий на работу | Предоставить реальные гарантии на лечение — чтобы вы были уверены в результате и спокойны за свою улыбку |
С заботой — с первого шага
Стоимость индивидуального Плана лечения — всего 0 рублей.
В него входит полное обследование, консультация специалиста и составление медицинского и финансового планов. Отдельно оплачивается 3D снимок для точной диагностики.
Получите каталог услуг Super Smile: цены, этапы лечения и все преимущества в удобном формате

Наши врачи-ортопеды
Цены Super Smile
-
Ортопедия
- Восстановление зуба виниром, полукоронкой ,коронкой керамической E-max или диоксида циркония
- 41 600 ₽









































