Установка виниров в рассрочку в Санкт-Петербурге
Виниры — это идеальный способ создать ровную и красивую улыбку. Вы можете подобрать цвет, немного подкорректировать форму, но при этом ваши зубы практически не подвергаются обточке. О винирах мечтают многие. Клиника Super Smile поможет осуществить вашу мечту.
- Виниры в рассрочку для вашей идеальной улыбки!
- Зачем ждать чуда? Беспроцентная рассрочка — это первый шаг к своей мечте!
Подойдут ли вам виниры?
Ответьте на несколько вопросов и получите ответ, а также сертификат от нашей клиники.

Виниры в рассрочку - что, когда и зачем?
Главная цель постановки виниров — это создание идеальной улыбки, при максимальном сохранении собственных тканей зубов. Ведь при обточке под виниры с зубов снимается буквально несколько миллиметров тканей. Также виниры могут защитить ваши зубы от разрушения, если на резцах уже есть большие пломбы. Тогда виниры закроют некрасивые старые пломбы и будут своеобразной опорой, чтобы эти пломбы не выпали.
Какие плюсы есть при установке виниров в рассрочку?
- Эстетика вашей улыбки. Виниры в рассрочку делают вашу улыбку ровной и красивой.
- Естественность. Виниры в рассрочку повторяют форму ваших зубов, и выглядят максимально естественно.
- Долговечность. Виниры в рассрочку, сделанные из керамики прослужат вам более 20-30 лет при должном уходе.
- Сохранение собственных тканей зуба.При установке виниров снимается всего несколько мм тканей, в отличие, например, от коронок.
Виниры — это тонкие накладки на внешнюю поверхность фронтальных зубов. Они могут изготавливаться как в лаборатории (из керамики), так и сразу же в кресле врача-стоматолога (из фотополимеризуемого материала).
Наши видео про виниры
Виниры в СПб - как сделать улыбку идельной?
О стоматологической клинике Super Smile

Клиника Super Smile — это центр эстетической стоматологии. Наша цель — создание красивых улыбок, повышение вашей самооценки и улучшение вашего уровня жизни. Для этого мы используем в своей работе передовые технологии и лучшие материалы. Благодаря такому подходу клиника Super Smile вот уже несколько лет входит в число лучших стоматологических клиник России, а рейтинги 2022 года только подтверждают это.
Мы вошли в 10 лучших клиник Санкт-Петербурга согласно рейтингам «Коммерсант-Здоровье» и «Start Smile». Последние два года мы получили также награды, как топовые клиники Санкт-Петербурга по версии порталов НаПоправку, ПроДокторов и 32top. Поэтому если вы мечтаете о комфорте и индивидуальном подходе, то вам в клинику Super Smile!
Доктора клиники Super Smile на постоянной основе занимаются винирами в рассрочку. Если вы мечтаете о ровной и здоровой улыбке, не ждите – скорее записывайтесь на первую бесплатную консультацию!
Преимущества клиники Super Smile для постановки виниров в рассрочку.
-
Наши специалисты имеют большой опыт в работе с винирами в рассрочку.
-
Персональный куратор поможет оформить рассрочку на лечение.
-
Рассрочка от банка под 0%!
-
Интраоральный сканер Itero для высокого качества нашей работы.
-
Все виды диагностики у нас в клинике с собственным компьютерным томографом.
Пациенты о винирах и лечении в Super Smile
Давайте начнем с бесплатной консультации
Скрывать улыбку больше не придётся. Наши врачи обязательно вам помогут обрести красивую и здоровую улыбку. Оставьте ваш номер телефона и мы подберем удобное время для визита.
Почему вам стоит поставить виниры в рассрочку?
Этапы изготовления и установки виниров в рассрочку
-
Первичная консультация и осмотр.
На первой консультации наши специалисты проинформируют вас о будущей процедуре, проведут осмотр полости рта, оценят состояние зубов и дёсен. При наличии относительных противопоказаний вам назначат соответствующее лечение.
-
Диагностика.
Для проведения дифференциальной диагностики, выявления кариеса или других патологий, может быть назначено рентгенологическое обследование, ОПТГ или КТ.
-
Подбор цвета и изоляция рабочего поля.
С помощью специальной шкалы Vitae происходит подбор цвета будущей конструкции, а затем накладывается коффердам или раббердам.
-
Препарирование зубов
На данном этапе врач-стоматолог проводит обточку зубов под виниры. Специальным бором и по специальной методике снимается тонкий слой эмали.
-
Сканирование интраоральным сканером.
Этот этап в нашей клинике заменяет традиционное снятие слепков. Ведь снятие слепков довольно неприятная процедура для любого пациента, а в нашей клинике вы обходитесь без нее.
-
Лабораторный этап.
В зуботехнической лаборатории или непосредственно в кресле врача-стоматолога изготавливаются виниры путем фрезерования из стандартного керамического блока или же послойным наложением светового материала при композитных винирах.
-
Фиксация виниров.
Перед фиксацией поверхность обточенных зубов обрабатывается ортофосфорной кислотой, которая затем смывается. Далее поверхность покрывается специальным бондом. Далее виниры фиксируются на специальный стоматологический цемент. Даются рекомендации по уходу за готовой конструкцией.
Улыбка, в которую влюбляются с первого взгляда
Виниры — когда хочется красиво, естественно и навсегда. Оставьте ваш номер телефона — расскажем, как сделать мечту реальностью.
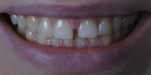
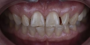
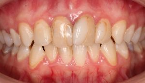
Работы наших специалистов по установке виниров
А теперь — самое главное:
Заботливый системный подход Super Smile

В Super Smile всё начинается с заботы.
Мы не просто лечим зубы — мы сохраняем ваше здоровье и уверенность на долгие годы. Перед лечением мы внимательно обследуем, объясняем каждый шаг и вместе составляем индивидуальный план лечения, где всё продумано — от диагностики до результата. Так вы точно знаете, что происходит, и чувствуете заботу на каждом этапе
Что включает комплексный план лечения?
- Осмотр и консультация специалиста
- Подробный фотопротокол
- Заполнение “зубной формулы” – вашей карты улыбки
- Медицинский план лечения
- Выгодный финансовый план лечения
Почему заботливый и системный подход работает лучше
В Super Smile мы верим, что стоматология должна быть не спешной, а осознанной и внимательной.
Такой подход сохраняет здоровье, экономит средства и помогает сохранить результат на годы вперёд.
| Обычное лечение | Заботливый системный подход Super Smile |
|---|---|
| Посадить пациента в кресло и сразу начать лечение | Сначала выслушать, обследовать, всё объяснить и только потом вместе выбрать лучший путь |
| Начать с самых дорогих процедур, не думая о логике | Продумать план шаг за шагом, чтобы не пришлось что-то переделывать через полгода |
| Предложить один «удобный» вариант и настаивать на нём | Разработать несколько вариантов лечения — по срокам, бюджету и комфорту |
| Передать пациента любому свободному врачу | Собрать команду специалистов, где каждый отвечает за свой этап, а результат — общий |
| Говорить, что бюджет невозможно рассчитать заранее | Составить прозрачный финансовый план и помочь спокойно спланировать расходы |
| Не давать гарантий на работу | Предоставить реальные гарантии на лечение — чтобы вы были уверены в результате и спокойны за свою улыбку |
С заботой — с первого шага
Стоимость индивидуального Плана лечения — всего 0 рублей.
В него входит полное обследование, консультация специалиста и составление медицинского и финансового планов. Отдельно оплачивается 3D снимок для точной диагностики.
Получите каталог услуг Super Smile: цены, этапы лечения и все преимущества в удобном формате

Наши врачи-ортопеды
Цены Super Smile
-
Ортопедия
- Восстановление зуба виниром, полукоронкой ,коронкой керамической E-max или диоксида циркония
- 41 600 ₽









































