Пародонтологическая чистка зубов в Санкт-Петербурге
В тех случаях, когда у вас появились патологические изменения в десне: опущение десны (рецессия), образование зубодесневых карманов, постоянная кровоточивость и болезненность десен, показана пародонтологическая чистка зубов. В клинике Super Smile вам ее проведет врач-пародонтолог с большим стажем работы на современном оборудовании.
- 4х — этапная чистка зубов для здоровья ваших десен!
- Профессиональная чистка зубов может быть безболезненной!
Вы получите детализированный расчёт стоимости без ненужных накруток со стороны стоматолога!
Узнайте, пора ли вам показаться стоматологу!
Ответьте на несколько вопросов, чтобы самостоятельно оценить своё здоровье и получите сертификат от нашей клиники (для новых пациентов)!

Почему так важно проводить пародонтологическую чистку зубов?
Пародонтологическая чистка зубов включает в себя ультразвуковую чистку от минерализованных зубных отложений (зубного камня), которые находятся под десной и у границы десна-зуб, в некоторых случаях механическую чистку кюретами, которые «соскабливают» камень с поверхности корня зуба. Затем вся поверхность зуба полируется специальным порошком под давлением на аппарате Air Flow, и обязательно проводятся аппликации лекарственных веществ.
Какие есть плюсы в пародонтологической чистке зубов?
- Улучшение эстетики улыбки. Благодаря удалению пигментированного камня, эмаль приобретает естественный цвет, а десна нормализует свою структуру.
- Профилактика потери зубов. Лечение заболеваний пародонта путем чистки и аппликаций восстанавливают прикрепление десны к зубу.
- Ремиссия заболеваний. Пародонтологическая чистка зубов останавливает процесс развития заболеваний десны.
- Качественное очищение зубов, благодаря применению различных техник и современного оборудования.
Пародонтологическая чистка зубов — это целый комплекс мероприятий, которые направлены на лечение заболеваний десен и предотвращение потери зубов. Тяжелые формы пародонтита и пародонтоза действительно могут привести к потере здоровых зубов и развитию тяжелых осложнений.
Когда и зачем делать чистку зубов?
О стоматологической клинике Super Smile

Когда у вас есть проблемы с деснами, важно найти профессионала в области пародонтологии, который владеет современными методами лечения. Таких специалистов вы можете найти в клинике Super Smile. Мы используем в работе передовые методики, а наши доктора постоянно совершенствуют свои навыки. Вы можете нам доверять, так как наша клиника входит в число 100 лучших стоматологических клиник России согласно рейтингам «Коммерсант-Здоровье» и «Start Smile».
Мы признаны лучшим центром имплантации Санкт — Петербурга по результатам престижной «Европейской Премии в области красоты и здоровья «Аврора». В 2021 и 2022 годах мы вошли в ТОП-10 клиник по версии порталов НаПоправку, ПроДокторов и 32top. В 2022 году наши доктора были удостоены нескольких виртуальных наград и медалей от портала ПроДокторов. Нам доверяют известные блогеры и артисты театра и кино. Будем рады видеть и вас!
В клинике Super Smile наши опытные специалисты проведут вам высокоэффективную пародонтологическую чистку зубов. Ждем вас на прием, скорее записывайтесь на первую бесплатную консультацию!
Преимущества клиники Super Smile для проведения пародонтологической чистки зубов
-
Современные методики пародонтологической чистки зубов.
-
Уникальные гарантии на профессиональную гигиену.
-
Передовые технологии, собранные в аппарате EMS Prophylaxis master.
-
Программа лояльности UDS.
-
Собственный компьютерный томограф для вашего комфорта и точной диагностики.
Гарантия лучшего сочетания цена/качество
Оставьте Ваш телефон и в течение 5 минут мы перезвоним Вам, чтобы подобрать лучшее для Вас время посещения центра имплантации Super Smile.
Преимущества пародонтологической чистки зубов
-
Бережное лечение заболеваний десен
Благодаря удалению зубного камня из-под десны и полировке всей поверхности зубов, наступает облегчение уже сразу после процедуры.
-
Избавление от неприятного запаха
Очищение зубов от налета и камня способствует устранению причины неприятного запаха.
-
Эффект отбеливания
После удаления пигментированного камня и налета, эмаль становится визуально светлее.
-
Альтернатива хирургическому лечению
При средней и тяжелой форме пародонтита чистка помогает остановить прогрессирование болезни.
-
Остановка кровоточивости десен
Так как удаляется главный раздражающий фактор — зубной камень.
Этапы пародонтологической чистки зубов
-
Первичный осмотр и консультация.
Любое лечение начинается со сбора жалоб и анамнеза заболевания, которые доктор собирает во время доверительной беседы с вами. Далее доктор проводит осмотр полости рта, оценивает состояние зубов и десен, выявляет показания и противопоказания к пародонтологической чистке зубов. При необходимости направляет вас на дополнительную диагностику.
-
Дополнительная диагностика.
Перед началом пародонтологического лечения вам может понадобиться дополнительное рентгенологическое обследование или КТ-диагностика, чтобы выявить уровень убыли костной ткани.
-
Проведение анестезии по показаниям.
Если у вас чувствительные зубы или тяжелая форма заболевания, то доктор может провести вам аппликационную анестезию гелем или инфильтрационную анестезию местно в области некоторых зубов.
-
Чистка ультразвуком.
Доктор поэтапно с помощью ультразвукового пародонтологического скайлера очищает поверхность зубов: над десной, под десной и в промежутке между зубами. Если необходимо, то проводится очищение корня зуба специальными кюретами, которые механически удаляют зубной камень.
-
Очищение с помощью Air Flow.
С помощью стандартного аппарата Air Flow или ультрасовременного AirFlow Prophylaxis Master доктор убирает остатки зубных отложений и полностью удаляет биопленку с поверхности эмали и придесневой области.
-
Шлифовка и полировка.
С помощью специальных полировочных резиночек и щеточек, полировочных абразивных полосок доктор завершает профессиональную гигиену и полирует поверхность зубов со всех сторон.
-
Пародонтологическое лечение.
Доктор проводит орошение (ирригацию) зубодесневых карманов раствором антисептика, а также аппликации лекарственных веществ в виде повязок.
-
Фторирование.
Проводится на заключительном приеме у пародонтолога, если обнаружены очаги деминерализации эмали. Эта процедура позволяет укрепить ослабленную эмаль, которая была под зубным камнем и предотвратить развитие кариеса.
-
Обучение гигиене полости рта и назначение домашнего лечения.
При заболеваниях пародонта важно научить правильному домашнему уходу, а также назначить дополнительное домашнее лечение, которое поддержит полученный результат.
Гарантия лучшего сочетания цена/качество
Оставьте Ваш телефон и в течение 5 минут мы перезвоним Вам, чтобы подобрать лучшее для Вас время посещения стоматологии Super Smile.
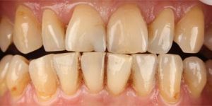
Работы наших специалистов по пародонтической чистке зубов
А теперь — самое главное:
Заботливый системный подход Super Smile

В Super Smile всё начинается с заботы.
Мы не просто лечим зубы — мы сохраняем ваше здоровье и уверенность на долгие годы. Перед лечением мы внимательно обследуем, объясняем каждый шаг и вместе составляем индивидуальный план лечения, где всё продумано — от диагностики до результата. Так вы точно знаете, что происходит, и чувствуете заботу на каждом этапе
Что включает комплексный план лечения?
- Осмотр и консультация специалиста
- Подробный фотопротокол
- Заполнение “зубной формулы” – вашей карты улыбки
- Медицинский план лечения
- Выгодный финансовый план лечения
Почему заботливый и системный подход работает лучше
В Super Smile мы верим, что стоматология должна быть не спешной, а осознанной и внимательной.
Такой подход сохраняет здоровье, экономит средства и помогает сохранить результат на годы вперёд.
| Обычное лечение | Заботливый системный подход Super Smile |
|---|---|
| Посадить пациента в кресло и сразу начать лечение | Сначала выслушать, обследовать, всё объяснить и только потом вместе выбрать лучший путь |
| Начать с самых дорогих процедур, не думая о логике | Продумать план шаг за шагом, чтобы не пришлось что-то переделывать через полгода |
| Предложить один «удобный» вариант и настаивать на нём | Разработать несколько вариантов лечения — по срокам, бюджету и комфорту |
| Передать пациента любому свободному врачу | Собрать команду специалистов, где каждый отвечает за свой этап, а результат — общий |
| Говорить, что бюджет невозможно рассчитать заранее | Составить прозрачный финансовый план и помочь спокойно спланировать расходы |
| Не давать гарантий на работу | Предоставить реальные гарантии на лечение — чтобы вы были уверены в результате и спокойны за свою улыбку |
С заботой — с первого шага
Стоимость индивидуального Плана лечения — всего 0 рублей.
В него входит полное обследование, консультация специалиста и составление медицинского и финансового планов. Отдельно оплачивается 3D снимок для точной диагностики.
-
Существует ли пародонтическая чистка зубов и в чем ее особенности?
Существует специальная гигиена при заболеваниях пародонта, которая называется не «пародонтическая» чистка зубов, а пародонтологическая. Она заключается в чистке зубов не только над десной и около нее, но и под десной, вдоль корня зуба.
-
Чем отличается пародонтальная чистка зубов от обычной чистки?
Отличительной чертой пародонтальной чистки зубов является то, что ее проводит врач-пародонтолог. Пародонтальная чистка зубов может занимать более 1 визита и проводиться в несколько этапов. После каждой процедуры доктор проводит орошение пародонтальных карманов растворами антисептика и накладывает десневые повязки с противовоспалительными препаратами.
-
Только ли пародонтолог делает чистку зубов?
Обычную гигиеническую чистку может провести врач-стоматолог-терапевт. Если дело касается более тяжелых заболеваний десен, таких как пародонтит и пародонтоз, то лучше обратиться к доктору, который специализируется на лечении таких случаев. То есть наиболее эффективным вариантом будет проведение профессиональной гигиены у врача-стоматолога-пародонтолога.
Получите каталог услуг Super Smile: цены, этапы лечения и все преимущества в удобном формате

Наши врачи-терапевты
Цены Super Smile
-
Профессиональная гигиена и отбеливание
- Интеллектуальная комфортная гигиена по Швейцарскому протоколу GBT(AIRFLOW,PERIOFLOW иили PIEZON)
- 7 900 ₽
- Профессиональная гигиена полости рта и зубов. (SPA для зубов, 4 этапа, включая реминерализацию или зубную щетку в подарок)
- 6 500 ₽




















