Установка брекетов на верхнюю челюсть в Санкт-Петербурге
Что сделать ради красивой и ровной улыбки? Поставить брекеты на верхнюю челюсть! Брекеты заметны и нужно часто ходить к стоматологу? Мы можем предложить вам максимально эстетичные керамические брекеты! Все для вашего комфорта и счастливой улыбки в клинике Super Smile!
- Уникальные гарантии на брекеты от клиники Super Smile!
- Брекеты — это ваш первый шаг к здоровой улыбке!
Вы получите детализированный расчёт стоимости
без ненужных накруток со стороны стоматолога!
Какие брекеты подойдут Вам? Пройдите тест и получите сертификат на 7 бонусов!
Ответьте на несколько вопросов, чтобы самостоятельно оценить своё здоровье и получите сертификат от нашей клиники (для новых пациентов)!

Какими могут быть брекеты на верхнюю челюсть?
Какие бывают брекеты на верхнюю челюсть?
Брекеты могут отличаться между собой по наличию специальных лигатур:
- лигатурные — в таком случае сам брекет и ортодонтическая дуга связаны специальными лигатурами. Они могут быть металлическими и резиновыми.
- безлигатурные или самолигирующиеся — такой вариант более удобный, так как брекет уже имеет в своём составе замочек, который удерживает дугу. Благодаря этим замкам, дуга создаёт уменьшенные силы трения и не требует частых посещений врача-стоматолога.
Также брекеты различаются по материалу, из которого они изготавливаются:
- металлические — минимальная эстетика, но повышенная прочность и бюджетная цена;
- керамические — можно подобрать под цвет ваших зубов, поэтому они малозаметны, и они достаточно износостойкие, но могут окрашиваться от кофе/вина/ других продуктов;
- сапфировые — практически прозрачные, а значит максимально эстетичные, надёжные и устойчивы к различным нагрузкам. Их единственный минус-цена.
Также поставить брекеты на верхнюю челюсть можно:
- вестибулярно, то есть на передней, видимой стороне зубного ряда. Это практикуется наиболее часто;
- лингвально — когда брекеты крепятся с внутренней, небной стороны. Они совершенно не видны окружающим.
Брекеты на верхнюю челюсть — это целый ряд систем, которые помогут исправить различные ортодонтические проблемы на верхней челюсти. В своём составе они всегда имеют само крепление — брекет и ортодонтическую дугу, которые связаны между собой лигатурами (резиночками или проволочками) или замочками.
В чем плюсы брекетов на верхней челюсти?
О стоматологической клинике Super Smile

Клиника Super Smile специализируется на различных направлениях в стоматологии. Но в каждой области наши доктора настоящие профессионалы своего дела и имеют большой опыт работы. Наши специалисты привыкли работать сообща, в команде, так как в нашей клинике вы найдёте лишь комплексный подход у проблемам пациента. Несмотря на свой многолетний опыт, доктора клиники Super Smile постоянно совершенствуют свои навыки и прошли уже более 200 различных курсов повышения квалификации.
Мы гордимся тем, что клиника Super Smile входит в число 100 лучших стоматологических клиник России согласно рейтингам «Коммерсант-Здоровье» и «Start Smile», а в 2021 мы вошли в ТОП-10 клиник по версии порталов НаПоправку и ПроДокторов. Поэтому если вы цените надёжность и качество, то вам в клинику Super Smile! Мы поможем вам обрести ровную и красивую улыбку, о которой вы так долго мечтали!
Доктора клиники Super Smile имеют огромный опыт работы с брекетами на верхней челюсти. Если вы мечтаете о сочетании комфорта и непревзойденном результате – скорее записывайтесь на первую бесплатную консультацию!
Цифровое 3D-сканирование зубов в Super Smile. Покажем вашу будущую ровную улыбку еще до начала лечения!
Хотели бы вы знать, как будет выглядеть ваша улыбка после ортодонтического лечения?
В нашей клинике вы можете увидеть результат лечения, еще даже не начав его. Для этого мы используем сканер Itero. Это уникальное оборудование позволяет доктору смоделировать будущий результат, а пациенту увидеть все со стороны.
После уже первого приёма у ортодонта, будете знать, стоит ли вам начинать ортодонтическое лечение и какого результата вам ждать!
- Увидите будущую ровную улыбку еще до начала лечения
- Сможете поучаствовать в создании вашей улыбки вместе с доктором
- Получите консультацию опытного ортодонта. Каждый врач установил более 2000 брекет-систем/элайнеров

Почему вам стоит поставить брекеты на верхнюю челюсть в клинике Super Smile?
-
Наши ортодонты имеют огромный опыт работы с брекетами на верхней челюсти;
-
В нашей клинике есть уникальные гарантии на ортодонтическое лечение!
-
Вам доступна поэтапная оплата;
-
3D сканер Itero, с которым вы увидите будущий результат лечения брекетами;
-
Вы можете пройти все этапы диагностики в стенах нашей клиники, благодаря нашему компьютерному томографу!
Начните с бесплатной консультации
Запишитесь на бесплатную консультацию — врач внимательно выслушает, подберёт комфортный план лечения и ответит на все вопросы. С заботой и вниманием.
Почему вам нужно поставить брекеты на верхнюю челюсть?
-
Сроки
Брекеты на верхнюю челюсть достаточно быстро смещают зубы и восстанавливают ровный зубной ряд.
-
Адаптация
Буквально неделя или две после установки брекетов на верхнюю челюсть и вы не будете чувствовать их!
-
Красивая улыбка
Именно брекеты на верхней челюсти способны преобразить вашу улыбку без коронок и других вмешательств!
-
Здоровое будущее
Неправильный прикус со временем сказывается на вашем здоровье, появляются головные боли, боли в височно-нижнечелюстном суставе. Брекеты решают эти проблемы.
-
Верните себе молодость
Проблемы с прикусом ведут к преждевременному старению, морщины становятся более выраженными. Поставив брекеты на верхнюю челюсть вы восстановите не только правильный прикус, но и свою красоту!
Этапы установки брекетов на верхнюю челюсть
-
Консультация
Для любого вида брекетов сначала нужно пройти первичную консультацию и диагностику. Доктор проводит осмотр полости рта, оценивает состояние зубов и дёсен.
-
Сканирование интраоральным сканером Itero и диагностика
На первой же консультации вам абсолютно бесплатно проводят 3D сканирование полости рта. Эта процедура помогает врачу-стоматологу составить полноценную картину вашей ситуации в полости рта. Далее вы направляетесь на КТ-диагностику.
-
Составление плана лечения
После сканирования и анализа снимков КТ, доктор создаёт 3D план вашего дальнейшего лечения. Это значит, что ещё не начав лечение, вы увидите его результат! После согласования плана лечения вы приступаете к подготовке к установке брекетов.
-
Санация полости рта
Проводится профессиональная чистка полости рта, лечение кариеса или его осложнений, лечение заболеваний пародонта, если такие имеются.
-
Установка брекетов на верхнюю челюсть
Любые брекеты устанавливаются в полости рта прямым и непрямым способами. При прямом способе на каждый зуб брекеты наклеиваются сразу с помощью специальных клеящих составов, потом через них продевается дуга. Далее от вида брекета зависит, ставят ли лигатуры или нет. Непрямой способ подразумевает изготовление гипсовой модели челюстей пациента, на которой сначала доктор размещает брекеты, а только потом переносит готовую конструкцию вместе с дугой в полость рта пациента.
-
Адаптационный период
В течение первых нескольких недель доктор активно консультирует вас, помогает в подборе средств гигиены.
-
Коррекция
Раз в месяц или два вам назначают профилактические визиты, во время которых доктор корректирует или активирует дальше вашу брекет-систему.
Улыбайтесь, наслаждайтесь каждым моментом!
Оставьте Ваш телефон и в течение 5 минут мы перезвоним Вам, чтобы подобрать лучшее для Вас время посещения стоматологии Super Smile.
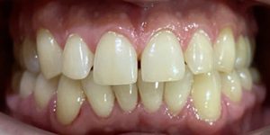
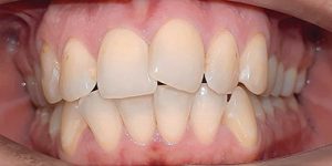
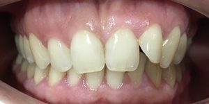
Работы наших специалистов
У вас сложный случай?
Запишитесь к эксперту с опытом работы более 20 лет. Доктор входит в ТОП-10 ортодонтов Санкт-Петербурга.
А теперь — самое главное:
Заботливый системный подход Super Smile

В Super Smile всё начинается с заботы.
Мы не просто лечим зубы — мы сохраняем ваше здоровье и уверенность на долгие годы. Перед лечением мы внимательно обследуем, объясняем каждый шаг и вместе составляем индивидуальный план лечения, где всё продумано — от диагностики до результата. Так вы точно знаете, что происходит, и чувствуете заботу на каждом этапе
Что включает комплексный план лечения?
- Осмотр и консультация специалиста
- Подробный фотопротокол
- Заполнение “зубной формулы” – вашей карты улыбки
- Медицинский план лечения
- Выгодный финансовый план лечения
Почему заботливый и системный подход работает лучше
В Super Smile мы верим, что стоматология должна быть не спешной, а осознанной и внимательной.
Такой подход сохраняет здоровье, экономит средства и помогает сохранить результат на годы вперёд.
| Обычное лечение | Заботливый системный подход Super Smile |
|---|---|
| Посадить пациента в кресло и сразу начать лечение | Сначала выслушать, обследовать, всё объяснить и только потом вместе выбрать лучший путь |
| Начать с самых дорогих процедур, не думая о логике | Продумать план шаг за шагом, чтобы не пришлось что-то переделывать через полгода |
| Предложить один «удобный» вариант и настаивать на нём | Разработать несколько вариантов лечения — по срокам, бюджету и комфорту |
| Передать пациента любому свободному врачу | Собрать команду специалистов, где каждый отвечает за свой этап, а результат — общий |
| Говорить, что бюджет невозможно рассчитать заранее | Составить прозрачный финансовый план и помочь спокойно спланировать расходы |
| Не давать гарантий на работу | Предоставить реальные гарантии на лечение — чтобы вы были уверены в результате и спокойны за свою улыбку |
С заботой — с первого шага
Стоимость индивидуального Плана лечения — всего 0 рублей.
В него входит полное обследование, консультация специалиста и составление медицинского и финансового планов. Отдельно оплачивается 3D снимок для точной диагностики.
-
В чем особенности адгезивного протезирования зубов?
Адгезивное протезирование зубов — это вид протезирования, который восстанавливает отсутствие одного или двух зубов. Его главным достоинством является то, что не нужно обтачивать соседние от дефекта зубы. Адгезивный протез крепится к соседним зубам с помощью балочной проволочной конструкции или стекловолокна. При этом проволока или стекловолокно крепится на искусственной коронке и соседних зубах при помощи специального материала. Такой протез является недостаточно прочным, поэтому применяется как временный протез перед имплантацией, либо лишь во фронтальном отделе челюсти.
-
Сколько стоит адгезивный зубной протез?
Адгезивный зубной протез изготавливается из различных материалов: пластмассы, прессованной керамики, диоксида циркония и металлокерамики. Поэтому цена на адгезивный зубной протез может сильно отличаться в зависимости от выбранного материала. Точную стоимость и вид крепления вы сможете определить с нашими докторами на индивидуальной консультации.
-
С помощью чего держится адгезивный зубной протез?
Адгезивный зубной протез крепится к соседним зубам с помощью балки (проволоки) или стекловолокна и специального адгезивного клея. Этот клей разбухает во влажной среде полости рта и надежно фиксирует протез даже при жевательной нагрузке.
-
Как убрать щели между зубами?
С помощью брекетов: чтобы стянуть щели между зубами, на брекеты надевают эластичные цепочки. Единичные небольшие щели (например, диастему) можно скрыть, установив виниры. -
Нужно ли отменить запланированную установку брекетов в случае болезни?
Установка длится от 1 часа. Если вам трудно будет выдержать это время, то нужно перенести прием. -
Сколько стоит снять брекеты на верхней челюсти?
Брекеты снимают одновременно с обеих челюстей после окончания лечения. Точную стоимость лечения, включая снятие, вы можете узнать после консультации у врача-ортодонта. -
Как снять брекеты при сильной атрофии костной ткани?
В этом случае вам нужна консультация врача-пародонтолога, возможно, потребуется сделать КТ-снимок. -
За какое время можно привыкнуть к ретейнеру?
Ретейнер закрепляется с обратной стороны зубов и никак не ощущается, не мешает приему пищи, не нарушает дикцию, привыкать к нему не нужно. -
При брекетах можно лечить кариес зубов?
Перед установкой брекетов требуется вылечить все очаги кариеса. При достаточной гигиене во время ношения брекетов кариес, как правило, не образуется. Но если так случилось, вылечить его можно, сняв на время только дугу – придется в один день посетить и врача – стоматолога-терапевта, и ортодонта. Оставлять кариес без лечения на долгий срок не рекомендуется.
Получите каталог услуг Super Smile: цены, этапы лечения и все преимущества в удобном формате

Наши врачи-ортодонты
Цены на исправление прикуса
-
Поможем вернуть 13% НДФЛ
-
Уникальные гарантии на исправление прикуса
-
Лучшая цена среди клиник с рейтингом 5*
Предложение не является публичной офертой.
*Цены уточняйте по телефону +7 (812) 575-56-01





























