Icon-лечение кариеса в Санкт-Петербурге
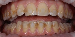
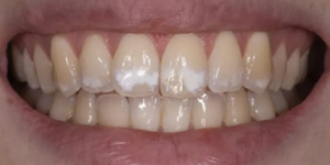
Если вы выявили кариес вовремя, то лечение можно провести без бормашины. Есть вариант микроинвазивного лечения кариеса методом Icon. В клинике Super Smile вы с лёгкостью можете получить эту услугу.
- Icon — лечение кариеса без препарирования.
- Сохраните ваши зубы целыми надолго с методом Icon.
Вы получите детализированный расчёт стоимости без ненужных накруток со стороны стоматолога!
Узнайте, пора ли вам показаться стоматологу!
Ответьте на несколько вопросов, чтобы самостоятельно оценить своё здоровье и получите сертификат от нашей клиники (для новых пациентов)!

Как проводится лечение кариеса методом icon?
Лечение кариеса происходит методом инфильтрации icon. Эта система «запечатывает» деминерализованную зону, останавливая кариозной процесс.
Система icon состоит из трёх компонентов:
- Icon-Etch, в ее составе соляная кислота, пирогенная кремниевая кислота, поверхностно-активные вещества. Они помогают очистить поверхность эмали и служат альтернативой препарированию (сверлению) тканей зуба.
- Icon-Dry состоит из 99% этанола для высушивания поверхности эмали.
- Icon-Infiltrant представляет собой полимерную матрицу на основе метакрилата. Именно она запечатывает поверхность эмали и не дает распространяться инфекционному процессу.
Какие преимущества есть у лечения кариеса без препарирования?
- Полное сохранение своих тканей зуба. При микроинвазивном лечении кариеса не используется бормашина, и целостность зуба сохраняется на все 100%.
- Бактерицидный эффект. Благодаря своим свойствам, система Icon останавливает кариозный процесс, нейтрализуя бактерии.
- Никакой анестезии. Так как процесс безболезненный, то анестезия вам не нужна, поэтому если вы боитесь уколов, этот метод идеален для вас.
- Можно применять в детском возрасте. Состав системы icon не токсичен, анестезия не требуется, поэтому удаление кариеса icon методом возможно у детей с 3х лет.
Лечение кариеса методом icon — это неинвазивное лечение кариеса. Мы его применяем в том случае, когда кариозная полость еще не вышла за пределы эмали, и не образовалась кариозная полость. Такой метод лечения идеален для тех, кто регулярно посещает стоматолога и выявляет кариес на самых ранних стадиях, а также для тех, кто боится звука бормашины. Ведь при удалении кариеса icon методом, бормашину мы не используем.
О стоматологической клинике Super Smile

Клиника Super Smile — это команда настоящих профессионалов, людей, которые влюблены в свою профессию. В нашей клинике главный принцип — это сохранение и улучшение состояния вашего здоровья, поэтому мы решаем проблемы в полости рта комплексно. Обращаясь к нам в клинику, вы можете быть уверены, что попали к лучшим из лучших. Ведь вот уже несколько лет подряд клиника Super Smile входит в число 100 лучших стоматологических клиник России согласно рейтингам «Коммерсант-Здоровье» и «Start Smile».
В 2021 и 2022 годах мы вошли в ТОП-10 клиник Санкт-Петербурга по версии порталов НаПоправку и ПроДокторов. А наши доктора также получают награды, как лучшие, среди более 1200 специалистов. Поэтому если вы мечтаете о максимальной эффективности любого вида лечения, то вам в клинику Super Smile!
Доктора клиники Super Smile имеют огромный опыт работы с лечением кариеса системой icon. Если вы мечтаете о лечении без бормашины – скорее записывайтесь на первую бесплатную консультацию!
Почему лечение кариеса методом icon лучше всего провести в клинике Super Smile?
-
Наши доктора много лет работают с микроинвазивным лечением кариеса.
-
Новейшие методы диагностики кариеса на ранних стадиях.
-
Беспроцентная рассрочка на любые виды лечения.
-
Аппарат EMS Prophylaxis Master для бережного очищения ваших зубов.
-
Собственный компьютерный томограф для всесторонней диагностики.
Наши видео о лечении зубов
Гарантия лучшего сочетания цена/качество
Оставьте Ваш телефон и в течение 5 минут мы перезвоним Вам, чтобы подобрать лучшее для Вас время посещения центра имплантации Super Smile.
Преимущества лечения кариеса методом icon
-
Безболезненность. Никакого применения бормашины, а значит, процедура не требует анестезии.
-
Сохранение здоровья зубов. Лечение кариеса методом инфильтрации icon останавливает кариозный процесс.
-
Можно использовать у беременных и детей. Этот метод практически не имеет противопоказаний, так как не оказывает токсического влияния на организм.
-
Никаких пломб. Лечение кариеса методом icon не предполагает постановку пломб, а лишь обработку кариозного пятна специальным составом.
-
Лечение в одно посещение. Лечение кариеса без препарирования проводится в течение одного визита в отличие от лечения глубокого кариеса или его осложнений.
Этапы лечения кариеса методом icon
-
Первичная консультация и осмотр полости рта.
При первичном обращении в нашу клинику, доктор собирает анамнез заболевания, проводит визуальный осмотр лица, осмотр полости рта с оценкой состояния всех зубов и десен.
-
Проведение необходимой диагностики и профессиональной гигиены.
Этот этап может включать рентгенологическую диагностику, использование 3D сканера, дентального микроскопа при необходимости. Также перед лечением проводится профессиональная гигиена полости рта аппаратом AirFlow Prophylaxis Master.
-
Наложение коффердама или раббердама
для изоляции рабочего поля.
-
Протравливание кариозного пятна.
Для этого на деминерализованный участок наносится гель Icon-Etch на основе соляной кислоты, который удаляет поверхностный слой эмали с плохой проницаемостью. Время воздействия препарата не превышает двух минут.
-
Высушивание.
Компонент IconDry состоит из этанола, который позволяет оценить качество удаления меловидных пятен и подсушивает поверхность. Если после высыхания поверхности меловидное пятно сохраняется, то гель на основе соляной кислоты наносится повторно. Процедуру протравливания можно повторять до трех раз.
-
Инфильтрация.
Финишный компонент Icon-Infiltrant наносится поэтапно в несколько слоев и просушивается лампой. Для запечатывания деминерализованных пор осуществляется повторное нанесение состава и его выдерживание под лампой одну минуту.
-
Полировка.
Если поверхность зуба неровная, то зуб полируется специальными щетками и пастами.
Гарантия лучшего сочетания цена/качество
Оставьте Ваш телефон и в течение 5 минут мы перезвоним Вам, чтобы подобрать лучшее для Вас время посещения стоматологии Super Smile.
А теперь — самое главное:
Заботливый системный подход Super Smile

В Super Smile всё начинается с заботы.
Мы не просто лечим зубы — мы сохраняем ваше здоровье и уверенность на долгие годы. Перед лечением мы внимательно обследуем, объясняем каждый шаг и вместе составляем индивидуальный план лечения, где всё продумано — от диагностики до результата. Так вы точно знаете, что происходит, и чувствуете заботу на каждом этапе
Что включает комплексный план лечения?
- Осмотр и консультация специалиста
- Подробный фотопротокол
- Заполнение “зубной формулы” – вашей карты улыбки
- Медицинский план лечения
- Выгодный финансовый план лечения
Почему заботливый и системный подход работает лучше
В Super Smile мы верим, что стоматология должна быть не спешной, а осознанной и внимательной.
Такой подход сохраняет здоровье, экономит средства и помогает сохранить результат на годы вперёд.
| Обычное лечение | Заботливый системный подход Super Smile |
|---|---|
| Посадить пациента в кресло и сразу начать лечение | Сначала выслушать, обследовать, всё объяснить и только потом вместе выбрать лучший путь |
| Начать с самых дорогих процедур, не думая о логике | Продумать план шаг за шагом, чтобы не пришлось что-то переделывать через полгода |
| Предложить один «удобный» вариант и настаивать на нём | Разработать несколько вариантов лечения — по срокам, бюджету и комфорту |
| Передать пациента любому свободному врачу | Собрать команду специалистов, где каждый отвечает за свой этап, а результат — общий |
| Говорить, что бюджет невозможно рассчитать заранее | Составить прозрачный финансовый план и помочь спокойно спланировать расходы |
| Не давать гарантий на работу | Предоставить реальные гарантии на лечение — чтобы вы были уверены в результате и спокойны за свою улыбку |
С заботой — с первого шага
Стоимость индивидуального Плана лечения — всего 0 рублей.
В него входит полное обследование, консультация специалиста и составление медицинского и финансового планов. Отдельно оплачивается 3D снимок для точной диагностики.
Получите каталог услуг Super Smile: цены, этапы лечения и все преимущества в удобном формате

Наши врачи-терапевты
Цены Super Smile
-
Терапия
- Восстановление зуба пломбой, вторичный кариес.
- 11 500 ₽
- Восстановление зуба пломбой, глубокий кариес.
- 11 100 ₽
- Восстановление зуба пломбой, клиновидный дефект.
- 9 700 ₽
- Восстановление зуба пломбой, поверхностный кариес.
- 8 700 ₽
- Восстановление зуба пломбой, реставрация эстетикофункциональная жевательные зубы.
- 13 200 ₽
- Восстановление зуба пломбой, реставрация эстетическая передние зубы.
- 14 900 ₽
- Восстановление зуба пломбой, средний кариес.
- 9 600 ₽




















