Лечение каналов зуба в Санкт-Петербурге
Как сохранить зуб надолго без удаления? Что делать, если зуб болит? Сразу удалять? Нет, если зуб не разрушен полностью, то эффективное лечение каналов зуба сохранит его надолго. В клинике Super Smile есть все для успешного эндодонтического лечения.
- Получите качественное лечение каналов зуба в клинике Super Smile.
- Забудьте о боли и наслаждайтесь жизнью!
Вы получите детализированный расчёт стоимости без ненужных накруток со стороны стоматолога!
Узнайте, пора ли вам показаться стоматологу!
Ответьте на несколько вопросов, чтобы самостоятельно оценить своё здоровье и получите сертификат от нашей клиники (для новых пациентов)!

Когда необходимо лечение зуба и чистка каналов?
Чистка корневых каналов бывает антисептической, ультразвуковой и механической.
Антисептическая обработка корневого канала включает себя орошение антисептиком (гипохлорит натрия или хлоргексидин).
Далее идёт механическое лечение каналов зуба методом ручным или машинным. Для этого используют специальные инструменты: К-Файлы, Н-Файлы, эндодонтический наконечник с профайлами, протейперами или другими инструментами.
Для ультразвуковой обработки также существуют специальные эндодонтические насадки.
Обтурация корневых каналов также проходит по различным методикам, таким как: метод одного штифта, метод латеральной конденсации (уплотнения), метод вертикальной конденсации, метод термопластифицированной гуттаперчи.
Какие преимущества своевременного лечения каналов зуба?
- «Нет» осложнениям. Если вовремя пролечить глубокий кариес, то можно частично сохранить жизнеспособность пульпы. Если вовремя пролечить пульпит, то не нужно будет вводить лекарство для лечения каналов зуба. Периодонтит важно своевременно вылечить, чтобы избежать периостита и остеомиелита.
- Экономия времени. Лечение каналов зуба как долго проводится? Можно вылечить их в одно посещение, а если случай запущенный, то лечение может затянуться и на месяц и дольше.
- Экономия бюджета. Чем раньше вы обратитесь к врачу, тем меньше манипуляций и лекарств нужно будет применять, а значит лечение выйдет дешевле.
- Сохранение зуба. Чтобы зуб не был полностью разрушен, то нужно вовремя увидеть кариозную полость и провести должное лечение.
Лечение каналов зуба проводится в тех случаях, когда там идет инфекционный процесс. Когда это случается? При осложнениях кариеса или травме зуба. Такой инфекционный процесс, как пульпит, бывает острым и хроническим. Острый пульпит также подразделяется на очаговый и диффузный. Очаговый в чистом виде встречается довольно редко, только если при лечении глубокого кариеса вскрылся рог пульпы или произошла другая механическая травма. Чаще всего с острой болью обращаются по поводу острого диффузного пульпита. Если пульпит не лечить, то он переходит в хроническую форму или дает осложнения в виде периодонтита. Хронический пульпит бывает: фиброзный, гипертрофический и гангренозный. А далее наступает стадия периодонтита, который также проходит острую стадию, а затем может перейти в хроническую фиброзную, гранулематозную или гранулирующую (образование кисты). Эти заболевания купируются лечением зуба, чисткой каналов, введением лекарства для лечения каналов зуба, и последующим пломбированием (обтурацией) корневых каналов.
О стоматологической клинике Super Smile

В клинике Super Smile работают настоящие профессионалы с многолетним стажем. Многие наши доктора трудятся на благо вашего здоровья вот уже больше 20 лет. Несмотря на это, они постоянно повышают свою квалификацию и обучаются новейшим методикам лечения зубов, корневых каналов, протезированию и имплантации. Для поддержания высокого уровня наших услуг мы используем в работе только современные материалы и передовое стоматологическое оборудование.
Мы работаем ради вашего здоровья и постоянно растём профессионально и развиваемся, именно поэтому стоматологическая клиника Super Smile входит в число 100 лучших стоматологических клиник России согласно рейтингам «Коммерсант-Здоровье» и «Start Smile». В 2021 мы вошли в ТОП-10 клиник по версии порталов НаПоправку и ПроДокторов. Если вы до сих пор думаете, что стоматология — это про дискомфорт и страх, то просто приходите в клинику Super Smile, и вы перестанете нас бояться!
Доктора клиники Super Smile имеют огромный опыт работы с лечением каналов корней зубов такого состояния. Если вы мечтаете о здоровых зубах и блестящей улыбке – скорее записывайтесь на первую бесплатную консультацию!
Почему лечение каналов корней зубов лучше всего провести в клинике Super Smile?
-
Наши доктора используют в работе различные методики прохождения и лечения корневых каналов.
-
У нас только современные инструменты и материалы.
-
Многочисленные и эффективные методики трехмерной и качественной обтурации корневых каналов.
-
Дентальный микроскоп или использование специальной оптики для ещё лучшего качества лечения.
-
Собственный компьютерный томограф, чтобы вы прошли всю диагностику в одном месте.
Гарантия лучшего сочетания цена/качество
Оставьте Ваш телефон и в течение 5 минут мы перезвоним Вам, чтобы подобрать лучшее для Вас время посещения центра имплантации Super Smile.
Почему лечение каналов зуба важно проводить как можно скорее?
-
Возможность терапевтического лечения. Чем дольше вы не лечите зуб, тем больше вероятность хирургического лечения этого зуба или дальнейшего ортопедического восстановления коронки зуба, а не просто постановка пломбы.
-
Снятие болевого синдрома. При своевременном обращении к врачу вам не придётся испытывать самую острую боль, которая возможна в человеческом организме- зубную боль.
-
Профилактика осложнений. Из-за анатомических особенностей в области головы инфекция распространяется особенно быстро. Поэтому пульпит и периодонтит легко могут перейти в периостит с гноетечением, абсцесс и флегмону.
-
Избежать потери зуба. Инфекционный процесс постепенно разрушает не только коронковую часть зуба, но и корневую, поэтому есть риск удаления зуба, потому что его нельзя будет восстановить.
-
Общее здоровье организма. Любая инфекция снижает иммунитет организма, чтобы провести профилактику общих заболеваний, лучше скорее лечить любую инфекцию.
Этапы лечения каналов зуба
-
Первичная консультация и осмотр полости рта
На первичном приёме доктор собирает анамнез заболевания, проводит визуальный осмотр лица, осмотр полости рта с оценкой состояния всех зубов и десен.
-
Диагностика
Для постановки точного диагноза и дифференциальной диагностики, доктор направляет вас на рентгенологическое обследование, в некоторых случаях необходима КТ-диагностика. Затем оценивает результат и назначает дальнейшее лечение.
-
Проведение анестезии
Для безболезненного доступа к инфицированным корневым каналам проводят местную инфильтрационную или проводниковую анестезию современными препаратами.
-
Изоляция рабочего поля
Для комфортного вашего лечения и удобства доктора, проводится наложение специальной изоляции зуба: раббердама или коффердама.
-
Удаление инфицированных тканей
Проводят препарирование кариозной полости, вскрытие и раскрытие полости зуба твердосплавными борами, получают доступ к корневым каналам.
-
Лечение каналов зуба
Специальными инструментами проводят удаление некротизированных тканей пульпы, проходят и расширяют корневые каналы (лучше всего это делать с использованием дентального микроскопа), проводят ультразвуковую и медикаментозную обработку корневых каналов с использованием местных антисептиков (гипохлорит натрия, хлоргексидин). При наличии воспаления в тканях периодонта, вводят лекарства для лечения каналов зуба: различные лечебные вещества (пасты, содержащие антибиотики, или на основе метронидазола, либо на основе гидроксида кальция). Оставляют их под временной повязкой (пломбой). Такое лечение может проводиться до месяца. Если лечение каналов зуба проводилось по поводу пульпита, то сразу проводится обтурация корневых каналов.
-
Обтурация (пломбирование) корневых каналов
Корневые каналы тщательно высушивают специальными бумажными пинами (турундами) и обтурируют (пломбируют). Чаще всего для обтурации используют гуттаперчевые штифты и силер (специальная паста для пломбирования корневых каналов). Но также в нашей клинике вы найдете применение разогретой или термопластифицированной гуттаперчи. После пломбирования корневых каналов обязательна рентгенологическая диагностика качества обтурации корневых каналов.
-
Восстановление зуба
В зависимости от степени разрушения коронки зуба, накладывается постоянная пломба, или зуб восстанавливается коронкой или вкладкой.
Гарантия лучшего сочетания цена/качество
Оставьте Ваш телефон и в течение 5 минут мы перезвоним Вам, чтобы подобрать лучшее для Вас время посещения стоматологии Super Smile.
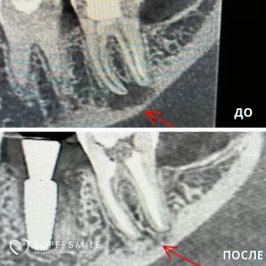
Работы наших специалистов по лечению каналов зуба
А теперь — самое главное:
Заботливый системный подход Super Smile

В Super Smile всё начинается с заботы.
Мы не просто лечим зубы — мы сохраняем ваше здоровье и уверенность на долгие годы. Перед лечением мы внимательно обследуем, объясняем каждый шаг и вместе составляем индивидуальный план лечения, где всё продумано — от диагностики до результата. Так вы точно знаете, что происходит, и чувствуете заботу на каждом этапе
Что включает комплексный план лечения?
- Осмотр и консультация специалиста
- Подробный фотопротокол
- Заполнение “зубной формулы” – вашей карты улыбки
- Медицинский план лечения
- Выгодный финансовый план лечения
Почему заботливый и системный подход работает лучше
В Super Smile мы верим, что стоматология должна быть не спешной, а осознанной и внимательной.
Такой подход сохраняет здоровье, экономит средства и помогает сохранить результат на годы вперёд.
| Обычное лечение | Заботливый системный подход Super Smile |
|---|---|
| Посадить пациента в кресло и сразу начать лечение | Сначала выслушать, обследовать, всё объяснить и только потом вместе выбрать лучший путь |
| Начать с самых дорогих процедур, не думая о логике | Продумать план шаг за шагом, чтобы не пришлось что-то переделывать через полгода |
| Предложить один «удобный» вариант и настаивать на нём | Разработать несколько вариантов лечения — по срокам, бюджету и комфорту |
| Передать пациента любому свободному врачу | Собрать команду специалистов, где каждый отвечает за свой этап, а результат — общий |
| Говорить, что бюджет невозможно рассчитать заранее | Составить прозрачный финансовый план и помочь спокойно спланировать расходы |
| Не давать гарантий на работу | Предоставить реальные гарантии на лечение — чтобы вы были уверены в результате и спокойны за свою улыбку |
С заботой — с первого шага
Стоимость индивидуального Плана лечения — всего 0 рублей.
В него входит полное обследование, консультация специалиста и составление медицинского и финансового планов. Отдельно оплачивается 3D снимок для точной диагностики.
Получите каталог услуг Super Smile: цены, этапы лечения и все преимущества в удобном формате

Наши врачи-терапевты
Цены Super Smile
-
Терапия
- Восстановление зуба пломбой, вторичный кариес.
- 11 500 ₽
- Восстановление зуба пломбой, глубокий кариес.
- 11 100 ₽
- Восстановление зуба пломбой, клиновидный дефект.
- 9 700 ₽
- Восстановление зуба пломбой, поверхностный кариес.
- 8 700 ₽
- Восстановление зуба пломбой, реставрация эстетикофункциональная жевательные зубы.
- 13 200 ₽
- Восстановление зуба пломбой, реставрация эстетическая передние зубы.
- 14 900 ₽
- Восстановление зуба пломбой, средний кариес.
- 9 600 ₽
- Лечение 1-канального зуба (резцы, клыки), включая коффердам
- 21 200 ₽
- Лечение 2-канального зуба (премоляры — 4,5) включая коффердам
- 28 700 ₽
- Лечение 3-канального зуба (моляры — 6,7,8) включая коффердам
- 34 900 ₽
- Лечение 4 и более-канального зуба (моляры 6,7,8), включая коффердам
- 41 900 ₽
- Повторное лечение 1-канального зуба (резцы, клыки), включая коффердам
- 25 100 ₽
- Повторное лечение 2-канального зуба (премоляры — 4,5), включая коффердам
- 35 400 ₽
- Повторное лечение 3-канального зуба (моляры — 6,7,8), включая коффердам
- 46 400 ₽
- Повторное лечение 4 и более-канального зуба (моляры — 6,7,8),включая коффердам
- 52 900 ₽





























