Лечение пульпита зуба в Санкт-Петербурге
Что делать, если при любом приеме пищи зуб болит так, что искры из глаз? Надо ли сразу удалять такой зуб? Нет, не стоит, скорее всего вам просто нужно посетить стоматолога и провести лечение пульпита зуба спб. В клинике Super Smile есть все для успешного лечения таких случаев.
- В клинике Super Smile вас избавят от боли и вернут радость жизни!
- Рассрочка 0% на любые виды лечения!
Вы получите детализированный расчёт стоимости без ненужных накруток со стороны стоматолога!
Узнайте, пора ли вам показаться стоматологу!
Ответьте на несколько вопросов, чтобы самостоятельно оценить своё здоровье и получите сертификат от нашей клиники (для новых пациентов)!

Что вам нужно знать о пульпите зуба, лечении и цене?
Какие симптомы могут указать, что вам необходимо лечение зубов по поводу кариеса или пульпита? При кариесе, даже глубоком, боль или неприятные ощущения стихают, как только прекращается действие раздражителя. То есть вы пили кислый сок или холодную воду, проглотили напиток, и боль исчезла. При пульпите же боль так и будет вас беспокоить, или из острой перейдет в ноющую.
Также для пульпита характерны ночные боли, а также боли, которые распространяются по всему тройничному нерву: в глаз, висок, ухо. И для острого пульпита главным признаком является невозможность купировать боль. Иными словами, обезболивающие таблетки не будут иметь практически никакого эффекта.
Тогда какое же лечение проводится и почему так отличается цена? Лечение всех зубов проходит по одной схеме: убираются инфицированные ткани, создается доступ к корневым каналам, проводится антисептическая обработка корневых каналов (гипохлоритом натрия или хлоргексидином), механическая чистка корневых каналов и обтурация (пломбирование) корневых каналов. Цена же зависит от количества корневых каналов и способов их прохождения. Лечение пульпита трехканального зуба по цене будет дороже в три раза лечения одноканального зуба, потому что тратится в три раза больше времени и материалов. Три и более корневых каналов может встречаться в жевательных зубах (молярах), один корневой канал встречается в резцах и клыках (хотя и тут бывают исключения).
Также лечение пульпита зуба и стоимость лечения зависят от методов прохождения каналов: ручными или машинными инструментами, с использованием дентального микроскопа и ультразвука или без этого. Обтурация (пломбирование) тоже бывает разной: метод одного штифта, метод латеральной конденсации (уплотнения), метод вертикальной конденсации, метод термопластифицированной гуттаперчи.
Какие преимущества вы получаете при лечении пульпита зуба?
- Избавление от боли. Чем скорее вы обратитесь к стоматологу, тем быстрее избавите себя от неприятных ощущений.
- Возможность консервативного лечения и восстановления. Чем дольше вы откладываете лечение пульпита зуба спб, тем более вероятно, что его придется восстанавливать вкладкой и коронкой.
- Профилактика осложнений. Инфекция не стоит на месте, и после поражения пульпы со временем выходит дальше за пределы зуба, развивается периодонтит, а далее периостит и остеомиелит.
- Экономия денег. Пульпит зуба по стоимости лечения выходит дороже кариеса, но если и его запустить, то пролечить периодонтит и поставить коронку на зуб будет ещё дороже.
Пульпит зуба, лечение, цена зависят от многих факторов. Начнем с того, что же такое пульпит?
Пульпит — это воспаление сосудисто-нервного пучка, который проходит внутри зуба. Пульпит может быть, как острым, так и хроническим.
Острый пульпит также подразделяется на очаговый и диффузный. Очаговый в чистом виде встречается довольно редко, только если при лечении глубокого кариеса вскрылся рог пульпы или произошла другая механическая травма. Чаще всего с острой болью обращаются по поводу острого диффузного пульпита, когда инфекция затронула всю пульпу зуба.
Если пульпит не лечить, то он переходит в хроническую форму или дает осложнения в виде периодонтита. Хронический пульпит бывает: фиброзный, гипертрофический и гангренозный.
Диагностика пульпита
О стоматологической клинике Super Smile

Клиника Super Smile — это пример современной стоматологии, которая оборудована по последнему слову техники. В то же время, любая клиника начинается с врачей,и в Super Smile работают настоящие профессионалы с многолетним стажем. Мы придерживаемся индивидуального и комплексного подхода в лечении каждого пациента. Мы ценим ваши отзывы, и готовы всегда дать вам обратную связь.
Благодаря нашим принципам и высокому качеству обслуживания, стоматологическая клиника Super Smile вот уже несколько лет входит в число 100 лучших стоматологических клиник России согласно рейтингам «Коммерсант-Здоровье» и «Start Smile». В 2021 мы вошли в ТОП-10 клиник по версии порталов НаПоправку и ПроДокторов. Если вы хотите получить качественное и своевременное лечение, то просто приходите в клинику Super Smile.
Доктора клиники Super Smile ежедневно проводят лечение зубов по поводу кариеса, пульпита. Если вы хотите иметь здоровые зубы и блестящую улыбку – скорее записывайтесь на первую бесплатную консультацию!
Почему пульпит зуба по стоимости лечения лучше всего провести в клинике Super Smile?
-
Рассрочка 0% на любой вид лечения, поэтому даже лечение пульпита трехканального зуба по цене выйдет вполне посильно.
-
Современные методики лечения и пломбирования (обтурации) корневых каналов.
-
Опыт наших докторов и множество положительных отзывов.
-
Дентальный микроскоп или использование специальной оптики для ещё лучшего качества лечения.
-
Собственный компьютерный томограф, чтобы вы прошли всю диагностику в одном месте.
Гарантия лучшего сочетания цена/качество
Оставьте Ваш телефон и в течение 5 минут мы перезвоним Вам, чтобы подобрать лучшее для Вас время посещения центра имплантации Super Smile.
Почему пульпит зуба, лечение по цене лучше провести как можно скорее?
-
Остановить инфекционный процесс
При своевременном обращении к врачу вы не даете инфекции выйти за пределы зуба в периодонт и другие окружающие зуб ткани.
-
Снятие болевого синдрома
Никто не любит терпеть боль, особенно зубную, поэтому важно обратиться к врачу как можно быстрее.
-
Возможность вылечить зуб в одно посещение
Если инфекция не вышла за пределы зуба, и все ограничилось развитием пульпита, то корневые каналы можно пройти и прочистить в одно посещение.
-
Сохранение функции зуба
Неважно, какой зуб вы будете лечить, жевательный, который никто не видит, или центральный резец, при обращении к врачу вовремя, вам не нужно зуб удалять, вы можете его вылечить и полноценно восстановить его функцию консервативно.
-
Общее здоровье организма
Любая инфекция снижает иммунитет организма и приводит к появлению хронических заболеваний. Лечите зубы вовремя!
Этапы лечения пульпита зуба спб
-
Первичная консультация и осмотр полости рта
На первой встрече доктор собирает жалобы пациента и анамнез заболевания, проводит визуальный осмотр лица, осмотр полости рта с оценкой состояния всех зубов и десен.
-
Диагностика
Для постановки точного диагноза и дифференциальной диагностики, доктор направляет вас на рентгенологическое обследование, чаще всего это ОПТГ или прицельный снимок того зуба, который вам беспокоит. Доктор оценивает результат и составляет комплексный план лечения.
-
Проведение анестезии
Для безболезненного доступа к инфицированным корневым каналам проводят местную инфильтрационную или проводниковую анестезию современными препаратами.
-
Изоляция рабочего поля
Для комфортного вашего лечения и удобства доктора, проводится наложение специальной изоляции зуба: раббердама или коффердама.
-
Удаление инфицированных тканей
Проводят препарирование кариозной полости, вскрытие и раскрытие полости зуба твердосплавными борами, получают доступ к корневым каналам.
-
Инструментальная и ультразвуковая обработка корневых каналов
Специальными инструментами проводят удаление некротизированных тканей пульпы, проходят и расширяют корневые каналы (лучше всего это делать с использованием дентального микроскопа), проводят ультразвуковую и медикаментозную обработку корневых каналов с использованием местных антисептиков (гипохлорит натрия, хлоргексидин). Если нужно, то оставляют повязку с гидроокисью кальция под временную пломбу.
-
Обтурация (пломбирование) корневых каналов
Корневые каналы тщательно высушивают специальными бумажными пинами (турундами) и обтурируют (пломбируют). Чаще всего для обтурации используют гуттаперчевые штифты и силер (специальная паста для пломбирования корневых каналов). Но также в нашей клинике вы найдете применение разогретой или термопластифицированной гуттаперчи. После пломбирования корневых каналов обязательна рентгенологическая диагностика качества обтурации корневых каналов.
-
Восстановление зуба
В зависимости от степени разрушения коронки зуба, накладывается постоянная пломба, или зуб восстанавливается коронкой или вкладкой.
Гарантия лучшего сочетания цена/качество
Оставьте Ваш телефон и в течение 5 минут мы перезвоним Вам, чтобы подобрать лучшее для Вас время посещения стоматологии Super Smile.
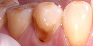
Работы наших специалистов по лечению пульпита зуба
А теперь — самое главное:
Заботливый системный подход Super Smile

В Super Smile всё начинается с заботы.
Мы не просто лечим зубы — мы сохраняем ваше здоровье и уверенность на долгие годы. Перед лечением мы внимательно обследуем, объясняем каждый шаг и вместе составляем индивидуальный план лечения, где всё продумано — от диагностики до результата. Так вы точно знаете, что происходит, и чувствуете заботу на каждом этапе
Что включает комплексный план лечения?
- Осмотр и консультация специалиста
- Подробный фотопротокол
- Заполнение “зубной формулы” – вашей карты улыбки
- Медицинский план лечения
- Выгодный финансовый план лечения
Почему заботливый и системный подход работает лучше
В Super Smile мы верим, что стоматология должна быть не спешной, а осознанной и внимательной.
Такой подход сохраняет здоровье, экономит средства и помогает сохранить результат на годы вперёд.
| Обычное лечение | Заботливый системный подход Super Smile |
|---|---|
| Посадить пациента в кресло и сразу начать лечение | Сначала выслушать, обследовать, всё объяснить и только потом вместе выбрать лучший путь |
| Начать с самых дорогих процедур, не думая о логике | Продумать план шаг за шагом, чтобы не пришлось что-то переделывать через полгода |
| Предложить один «удобный» вариант и настаивать на нём | Разработать несколько вариантов лечения — по срокам, бюджету и комфорту |
| Передать пациента любому свободному врачу | Собрать команду специалистов, где каждый отвечает за свой этап, а результат — общий |
| Говорить, что бюджет невозможно рассчитать заранее | Составить прозрачный финансовый план и помочь спокойно спланировать расходы |
| Не давать гарантий на работу | Предоставить реальные гарантии на лечение — чтобы вы были уверены в результате и спокойны за свою улыбку |
С заботой — с первого шага
Стоимость индивидуального Плана лечения — всего 0 рублей.
В него входит полное обследование, консультация специалиста и составление медицинского и финансового планов. Отдельно оплачивается 3D снимок для точной диагностики.
Получите каталог услуг Super Smile: цены, этапы лечения и все преимущества в удобном формате

Наши врачи-терапвты
Цены Super Smile
-
Терапия
- Восстановление зуба пломбой, вторичный кариес.
- 11 500 ₽
- Восстановление зуба пломбой, глубокий кариес.
- 11 100 ₽
- Восстановление зуба пломбой, клиновидный дефект.
- 9 700 ₽
- Восстановление зуба пломбой, поверхностный кариес.
- 8 700 ₽
- Восстановление зуба пломбой, реставрация эстетикофункциональная жевательные зубы.
- 13 200 ₽
- Восстановление зуба пломбой, реставрация эстетическая передние зубы.
- 14 900 ₽
- Восстановление зуба пломбой, средний кариес.
- 9 600 ₽
- Лечение 1-канального зуба (резцы, клыки), включая коффердам
- 21 200 ₽
- Лечение 2-канального зуба (премоляры — 4,5) включая коффердам
- 28 700 ₽
- Лечение 3-канального зуба (моляры — 6,7,8) включая коффердам
- 34 900 ₽
- Лечение 4 и более-канального зуба (моляры 6,7,8), включая коффердам
- 41 900 ₽
- Повторное лечение 1-канального зуба (резцы, клыки), включая коффердам
- 25 100 ₽
- Повторное лечение 2-канального зуба (премоляры — 4,5), включая коффердам
- 35 400 ₽
- Повторное лечение 3-канального зуба (моляры — 6,7,8), включая коффердам
- 46 400 ₽
- Повторное лечение 4 и более-канального зуба (моляры — 6,7,8),включая коффердам
- 52 900 ₽























