Лечение потемневшего зуба в Санкт-Петербурге
Наши зубы от природы имеют красивый молочный цвет, у кого-то он более светлый, у кого-то более желтый или серый. Но иногда случается так, что зуб или несколько зубов изменяют свой цвет и становятся темными, иногда даже почти черными. Лечение потемневшего зуба — задача не из лёгких, но специалисты клиники Super Smile готовы к любым трудностям.
- В клинике Super Smile есть различные варианты лечения потемневших зубов.
- Восстановите эстетику вашей улыбки с рассрочкой 0%!
Вы получите детализированный расчёт стоимости без ненужных накруток со стороны стоматолога!
Узнайте, пора ли вам показаться стоматологу!
Ответьте на несколько вопросов, чтобы самостоятельно оценить своё здоровье и получите сертификат от нашей клиники (для новых пациентов)!

Причины и методы лечения чёрных зубов
Другой большой группой причин являются внутренние изменения в зубе, которые делают его темным:
- Кариес. Самая частая причина потемнения зуба. Иногда кариес на эмали совсем не виден, а развивается внутри зуба.
- Пульпит или периодонтит. Также зубы могут стать черными из-за поражения пульпы («нерва» зуба). Продукты распада сосудисто-нервного пучка внутри зуба могут распространиться по всему дентину и изменить его цвет на более темный.
- Изменения после пломбирования зубов. Чёрным зуб делают некоторые вещества, которые используют при пломбировании корневых каналов, например, содержащие серебро. Некачественное пломбирование корневых каналов и остатки инфекции не только могут спровоцировать новый приступ пульпита, но и изменить цвет зуба. Если же зуб запломбирован хорошо и очень давно, то это тоже может сказаться на цвете зуба и сделать его более серым из-за отсутствия «питания» зуба. И последнее в этом пункте- некачественная постановка пломбы или старая пломба. При нарушении краевого прилегания пломбы инфекция проникает под нее и вызывает вторичный кариес и, соответственно, потемнение зуба.
- Травма зуба. При сильном ударе разрываются микрососуды в пульпе, что приводит к образованию «синяка», поэтому зуб может стать чёрным или серым.
Если у вас черный зуб по этой причине, то лечение может быть различным. В первую очередь, убирается инфекция из зуба — проводится лечение кариеса или его осложнений. Если данные манипуляции не привели к изменению оттенка зуба, то проводится отбеливание или ортопедическое лечение.
Бывают ли чёрные зубы у детей и какие методы лечения потемневшего зуба применяются у них?
- Налёт Присли — это темный налет на молочных зубах, который не очищается обычной зубной щёткой. Этот налет свидетельствует об адаптации ребенка ко взрослой еде и большом количестве железобактерий в полости рта ребенка. Сам по себе налет не опасен, но под ним может развиваться кариес, поэтому проводить профессиональную гигиену у детей просто необходимо.
- Заболевания ЖКТ. Развитие гастрита, проблемы с функцией печени или поджелудочной железы сказываются на состоянии полости рта. Поэтому при потемнении зубов у ребенка обратитесь к стоматологу, а он направит к гастроэнтерологу, если будет необходимость.
- Дисбактериоз. Также можно выявить в полости рта, если образуется темный липкий зубной налет или происходит внутреннее потемнение зубов. Доктор в этом случае проводит профессиональную гигиену и назначает медикаментозное лечение.
- Дефицит кальция приводит к множественному кариесу, а, как следствие, к потемнению многих зубов. Молочные зубы лечить также необходимо, как и постоянные.
Причины потемнения зубов могут быть самыми разнообразными. Условно их можно разбить на две группы: внешние и внутренние. То есть зуб может стать темным из-за налета, например, налет курильщиков, или обильный налет из-за заболеваний желудочно-кишечного тракта. Еще темный налет появляется из-за приема железосодержащих препаратов или приема антибиотиков на основе тетрациклина, или же повышенного количества железобактерий в составе биопленки. Если у вас чёрный зуб, лечение в данном случае состоит из отбеливания зубов и проведения регулярной профессиональной гигиены.
О стоматологической клинике Super Smile

Клиника Super Smile — это комплексный и индивидуальный подход в лечении каждого пациента. Для качественного оказания стоматологических услуг у нас есть слаженная команда опытных врачей, новейшее оборудование и современные методики лечения. У нас вы не найдете лечение старыми советскими методами и материалами, поэтому после лечения в нашей клинике вам вряд ли придется искать, где пройти лечение потемневшего зуба.
Мы работаем ради вашего здоровья и высокого качества наших услуг, именно поэтому стоматологическая клиника Super Smile входит в число 100 лучших стоматологических клиник России согласно рейтингам «Коммерсант-Здоровье» и «Start Smile». В 2021 мы вошли в ТОП-10 клиник по версии порталов НаПоправку и ПроДокторов. В 2022 году мы также были удостоены нескольких виртуальных наград и медалей от портала ПроДокторов. Нас рекомендуют своим друзьям и близким, поэтому если вы еще не были у нас, приходите! Мы сделаем вашу улыбку счастливой!
Доктора клиники Super Smile имеют огромный опыт работы с лечением потемневших зубов. Если вы мечтаете о здоровой и красивой улыбке – скорее записывайтесь на первую бесплатную консультацию!
Почему лечение чёрных зубов лучше проводить в клинике Super Smile?
-
Наши доктора комплексно подходят к лечению потемневшего зуба.
-
У нас есть несколько современных методик отбеливания и ультрасовременный аппарат для профессиональной гигиены.
-
Беспроцентная рассрочка на любые виды лечения!
-
Дентальный микроскоп для визуализации и лечения потемневшего зуба!
-
Собственный компьютерный томограф для проведения всего комплекса диагностики в одном месте.
Гарантия лучшего сочетания цена/качество
Оставьте Ваш телефон и в течение 5 минут мы перезвоним Вам, чтобы подобрать лучшее для Вас время посещения центра имплантации Super Smile.
В чем плюсы лечения чёрных зубов?
Лечение потемневшего зуба
-
Первичный осмотр и консультация
При обращении в клинику с жалобами на чёрный зуб, лечение начинается только после сбора анамнеза и визуального осмотра полости рта, оценки состояния всех зубов и десен.
-
Диагностические мероприятия
Для более точной постановки диагноза, проведения дифференциальной диагностики назначается рентгенологическое обследование, ОПТГ или КТ. В некоторых случаях проводят осмотр с помощью 3D сканера или дентального микроскопа, оценивают результат и составляют план лечения.
-
Проведение профессиональной гигиены
Если потемнение зубов связано с нарушением правил гигиены полости рта, образованием налета курильщика, то в нашей клинике можно провести профессиональную гигиену на современном аппарате EMS Profylaxis Master или аппарате Air Flow.
-
Терапевтическое лечение
Если потемнение зубов вызвано инфекцией или травмой зуба, при которой нужно эндодонтическое лечение, то проводят местную анестезию, изолируют рабочее поле коффердамом. Доктор препарирует кариозную полость (то есть удаляет бором все инфицированные ткани). В случае кариеса ставит постоянную пломбу. При поражении пульпы (нерва) зуба под увеличением проводят механическую и антисептическую обработку корневых каналов, пломбирование корневых каналов гуттаперчевыми штифтами или разогретой гуттаперчей. Восстановление зуба проводится пломбировочным материалом или ортопедической конструкцией.
-
Отбеливание
После лечения корневых каналов, если коронка зуба так и остается темной или серой, можно провести внутриканальное отбеливание. В нашей клинике представлены системы отбеливания Zoom, Opalescence и Amazing White. Для проведения процедуры корневой канал (или каналы) распломбировывается на ⅓, герметично закрывается жидким пломбировочным материалом, зуб тщательно изолируется жидким коффердамом, поэтапно отбеливающее вещество вносится в подготовленную треть корневого канала и на коронку зуба. После проведения процедуры, зуб закрывается временным пломбировочным материалом, и через 7-10 дней ставится постоянная пломба, или зуб готовится к ортопедическому лечению. При желании пациента и достижении положительного результата, процедуру отбеливания можно провести на всю зону улыбки.
-
Ортопедическое лечение
При неэффективных консервативных мероприятиях, или при определенных показаниях, в качестве лечения черных зубов применяются коронки и виниры. В этом случае, доктор снимает цифровые оттиски (слепки) с обточенных под выбранную конструкцию зубов, устанавливает временный протез, который затем заменяется на постоянный. Материал, цвет и нюансы расмрочки (при желании) вы обговариваете с доктором.
Гарантия лучшего сочетания цена/качество
Оставьте Ваш телефон и в течение 5 минут мы перезвоним Вам, чтобы подобрать лучшее для Вас время посещения стоматологии Super Smile.
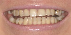
Работы наших специалистов по лечению потемневшего зуба
А теперь — самое главное:
Заботливый системный подход Super Smile

В Super Smile всё начинается с заботы.
Мы не просто лечим зубы — мы сохраняем ваше здоровье и уверенность на долгие годы. Перед лечением мы внимательно обследуем, объясняем каждый шаг и вместе составляем индивидуальный план лечения, где всё продумано — от диагностики до результата. Так вы точно знаете, что происходит, и чувствуете заботу на каждом этапе
Что включает комплексный план лечения?
- Осмотр и консультация специалиста
- Подробный фотопротокол
- Заполнение “зубной формулы” – вашей карты улыбки
- Медицинский план лечения
- Выгодный финансовый план лечения
Почему заботливый и системный подход работает лучше
В Super Smile мы верим, что стоматология должна быть не спешной, а осознанной и внимательной.
Такой подход сохраняет здоровье, экономит средства и помогает сохранить результат на годы вперёд.
| Обычное лечение | Заботливый системный подход Super Smile |
|---|---|
| Посадить пациента в кресло и сразу начать лечение | Сначала выслушать, обследовать, всё объяснить и только потом вместе выбрать лучший путь |
| Начать с самых дорогих процедур, не думая о логике | Продумать план шаг за шагом, чтобы не пришлось что-то переделывать через полгода |
| Предложить один «удобный» вариант и настаивать на нём | Разработать несколько вариантов лечения — по срокам, бюджету и комфорту |
| Передать пациента любому свободному врачу | Собрать команду специалистов, где каждый отвечает за свой этап, а результат — общий |
| Говорить, что бюджет невозможно рассчитать заранее | Составить прозрачный финансовый план и помочь спокойно спланировать расходы |
| Не давать гарантий на работу | Предоставить реальные гарантии на лечение — чтобы вы были уверены в результате и спокойны за свою улыбку |
С заботой — с первого шага
Стоимость индивидуального Плана лечения — всего 0 рублей.
В него входит полное обследование, консультация специалиста и составление медицинского и финансового планов. Отдельно оплачивается 3D снимок для точной диагностики.
Получите каталог услуг Super Smile: цены, этапы лечения и все преимущества в удобном формате

Наши врачи-терапевты
Цены Super Smile
-
Терапия
- Восстановление зуба пломбой, вторичный кариес.
- 10 400 ₽
- Восстановление зуба пломбой, глубокий кариес.
- 10 100 ₽
- Восстановление зуба пломбой, клиновидный дефект.
- 8 800 ₽
- Восстановление зуба пломбой, поверхностный кариес.
- 7 900 ₽
- Восстановление зуба пломбой, реставрация эстетикофункциональная жевательные зубы.
- 12 000 ₽
- Восстановление зуба пломбой, реставрация эстетическая передние зубы.
- 13 500 ₽
- Восстановление зуба пломбой, средний кариес.
- 8 700 ₽

























