Установка керамических брекетов в Санкт-Петербурге
Если вы хотите исправить прикус или другие проблемы зубочелюстной системы, но хотите сохранить максимальную эстетику своей улыбки, то рекомендуем выбрать керамические брекеты. Они подбираются под цвет ваших зубов, и малозаметны при разговоре в отличие от обычных металлических брекетов. Также такая система брекетов подойдёт подросткам, которые максимально переживают за свой внешний вид.
- Брекеты могут быть незаметными!
- Максимум удобства вместе с брекетами от Super Smile!
Вы получите детализированный расчёт стоимости без ненужных накруток со стороны стоматолога!
Какие брекеты подойдут Вам? Пройдите тест и получите сертификат на 7 бонусов!
Ответьте на несколько вопросов, чтобы самостоятельно оценить своё здоровье и получите сертификат от нашей клиники (для новых пациентов)!

Что такое керамические брекеты?
Какие бывают керамические брекеты?
- лигатурные — когда брекет и ортодонтическая дуга связаны специальными лигатурами. Они могут быть металлическими или резиновыми.
- безлигатурные или самолигирующиеся — когда брекет имеет в своём составе замочек, который удерживает дугу. Благодаря этим замкам, дуга создаёт меньшие силы трения и не требует частых посещений врача-стоматолога.
Наиболее часто используются такие керамические брекеты как Damon Clear. Это самолигирующая брекет-система фирмы Ormco.
Они довольно большие по размеру, но имеют обтекаемую форму, засчет чего не смотрятся громоздко.
Керамические брекеты — это система брекетов, которая изготовлена из диоксида алюминия. Этот материал прочен, так что не стоит бояться жевательных нагрузок. А главное, он эстетичен! Керамические брекеты имеют белый полупрозрачный цвет, благодаря которому не так «бросаются в глаза» при разговоре.
В чем плюсы керамических брекет систем?
О стоматологической клинике Super Smile

Клиника Super Smile собрала целую команду высококлассных специалистов, которые специализируются на различных видах стоматологических услуг. Мы решаем проблемы в полости рта комплексно, поэтому для каждого пациента у нас есть полноценный индивидуальный план лечения. Здесь вы сможете увидеть все проблемы в вашей полости рта и грамотно составить график лечения. Наши доктора постоянно совершенствуют свои навыки и прошли уже более 200 различных курсов повышения квалификации.
Мы гордимся тем, что клиника Super Smile входит в число 100 лучших стоматологических клиник России согласно рейтингам «Коммерсант-Здоровье» и «Start Smile», а в 2021 мы вошли в ТОП-10 клиник по версии порталов НаПоправку и ПроДокторов. Поэтому если вы цените надёжность и качество, то вам в клинику Super Smile! Мы поможем вам обрести ровную и красивую улыбку, о которой вы так долго мечтали!
Доктора клиники Super Smile имеют огромный опыт работы с керамической брекет-системой. Если вы мечтаете о сочетании комфорта и непревзойденном результате – скорее записывайтесь на первую бесплатную консультацию!
Цифровое 3D-сканирование зубов в Super Smile. Покажем вашу будущую ровную улыбку еще до начала лечения!
Хотели бы вы знать, как будет выглядеть ваша улыбка после ортодонтического лечения?
В нашей клинике вы можете увидеть результат лечения, еще даже не начав его. Для этого мы используем сканер Itero. Это уникальное оборудование позволяет доктору смоделировать будущий результат, а пациенту увидеть все со стороны.
После уже первого приёма у ортодонта, будете знать, стоит ли вам начинать ортодонтическое лечение и какого результата вам ждать!
- Увидите будущую ровную улыбку еще до начала лечения
- Сможете поучаствовать в создании вашей улыбки вместе с доктором
- Получите консультацию опытного ортодонта. Каждый врач установил более 2000 брекет-систем/элайнеров

Почему вам стоит поставить керамические брекеты в клинике Super Smile?
-
Наши ортодонты имеют огромный опыт работы с керамическими брекетами;
-
Вы получаете 7 уникальных гарантий на результат лечения!
-
Вы можете выбрать поэтапную оплату;
-
С нашим интраоральным сканером Itero вы увидите результат лечения ещё до его начала;
-
Вы можете пройти все этапы диагностики в стенах нашей клиники, благодаря нашему компьютерному томографу!
Гарантия лучшего сочетания цена/качество
Оставьте Ваш телефон и в течение 5 минут мы перезвоним Вам, чтобы подобрать лучшее для Вас время посещения центра имплантации Super Smile.
Почему вам нужна установка керамических брекетов?
-
Незаметность.
Керамические брекеты подбираются под цвет ваших зубов, поэтому максимально эстетичны. Это может быть важно подросткам и людям, которые ведут активную социальную жизнь.
-
Быстрое привыкание.
После установки керамических брекетов вы буквально в течение недели ещё привыкаете к ним, а потом попросту не замечаете.
-
Удалять зубы? Не нужно!
Неоспоримым достоинством керамических брекет систем является то, что при их использовании не нужно удалять зубы.
-
Гигиена.
Максимально удобно использовать керамические брекеты, так как за ними легко ухаживать.
-
Меньше визитов к стоматологу.
При выборе керамических безлигатурных брекетов вы сокращаете количество визитов к ортодонту в 2 раза!
Этапы установки керамических брекетов
-
Консультация
На первичной консультации в нашей клинике доктор проводит осмотр полости рта, оценивает состояние зубов и дёсен.
-
Сканирование интраоральным сканером Itero и диагностика
3D сканирование полости рта в клинике Super Smile проводится бесплатно! Сканирование помогает доктору точнее составить картину в полости рта и выявить те особенности зубочелюстной системы, которые не видны при обычном осмотре, а также составить план лечения. Также после сканирования и осмотра вы проходите КТ-диагностику.
-
Составление плана лечения
После сканирования и анализа снимков КТ, доктор создаёт вам 3D план вашего дальнейшего лечения. То есть ещё до начала лечения вы уже ознакомлены с его результатом! Далее этот план вы согласовываете и вносите необходимые коррективы.
-
Санация полости рта
Проводится профессиональная чистка полости рта, лечение кариеса или его осложнений, лечение заболеваний пародонта, если такие имеются.
-
Установка керамических брекетов
Керамические брекеты устанавливаются в полости рта двумя способами: прямым и непрямым. При прямом способе на каждый зуб брекеты с замочками наклеиваются сразу с помощью специальных клеящих составов, потом через них продевается дуга. Непрямой способ подразумевает изготовление гипсовой модели челюстей пациента, на которой сначала доктор размещает брекеты, а только потом переносит готовую конструкцию вместе с дугой в полость рта пациента. Предварительно подбирается цвет брекетов, чтобы он был наиболее близок к вашему цвету зубов.
-
Адаптационный период
В течение первых нескольких недель доктор активно консультирует вас, помогает в подборе средств гигиены.
-
Коррекция керамических брекетов
Раз в месяц или два вам назначают профилактические визиты, во время которых доктор корректирует или активирует дальше вашу брекет-систему.
Гарантии на установку брекетов
Гарантия лучшего сочетания цена/качество
Оставьте Ваш телефон и в течение 5 минут мы перезвоним Вам, чтобы подобрать лучшее для Вас время посещения стоматологии Super Smile.
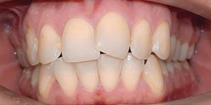
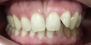
Работы наших специалистов
Решите свою проблему
А теперь — самое главное:
заботливый системный подход Super Smile

В Super Smile всё начинается с заботы.
Мы не просто лечим зубы — мы сохраняем ваше здоровье и уверенность на долгие годы. Перед лечением мы внимательно обследуем, объясняем каждый шаг и вместе составляем индивидуальный план лечения, где всё продумано — от диагностики до результата. Так вы точно знаете, что происходит, и чувствуете заботу на каждом этапе
Что включает комплексный план лечения?
- Осмотр и консультация специалиста
- Подробный фотопротокол
- Заполнение “зубной формулы” – вашей карты улыбки
- Медицинский план лечения
- Выгодный финансовый план лечения
Почему заботливый и системный подход работает лучше
В Super Smile мы верим, что стоматология должна быть не спешной, а осознанной и внимательной.
Такой подход сохраняет здоровье, экономит средства и помогает сохранить результат на годы вперёд.
| Обычное лечение | Заботливый системный подход Super Smile |
|---|---|
| Посадить пациента в кресло и сразу начать лечение | Сначала выслушать, обследовать, всё объяснить и только потом вместе выбрать лучший путь |
| Начать с самых дорогих процедур, не думая о логике | Продумать план шаг за шагом, чтобы не пришлось что-то переделывать через полгода |
| Предложить один «удобный» вариант и настаивать на нём | Разработать несколько вариантов лечения — по срокам, бюджету и комфорту |
| Передать пациента любому свободному врачу | Собрать команду специалистов, где каждый отвечает за свой этап, а результат — общий |
| Говорить, что бюджет невозможно рассчитать заранее | Составить прозрачный финансовый план и помочь спокойно спланировать расходы |
| Не давать гарантий на работу | Предоставить реальные гарантии на лечение — чтобы вы были уверены в результате и спокойны за свою улыбку |
С заботой — с первого шага
Стоимость индивидуального Плана лечения — всего 0 рублей.
В него входит полное обследование, консультация специалиста и составление медицинского и финансового планов. Отдельно оплачивается 3D снимок для точной диагностики.
Ответы на самые распространенные вопросы
-
В чем особенности адгезивного протезирования зубов?
Адгезивное протезирование зубов — это вид протезирования, который восстанавливает отсутствие одного или двух зубов. Его главным достоинством является то, что не нужно обтачивать соседние от дефекта зубы. Адгезивный протез крепится к соседним зубам с помощью балочной проволочной конструкции или стекловолокна. При этом проволока или стекловолокно крепится на искусственной коронке и соседних зубах при помощи специального материала. Такой протез является недостаточно прочным, поэтому применяется как временный протез перед имплантацией, либо лишь во фронтальном отделе челюсти.
-
Сколько стоит адгезивный зубной протез?
Адгезивный зубной протез изготавливается из различных материалов: пластмассы, прессованной керамики, диоксида циркония и металлокерамики. Поэтому цена на адгезивный зубной протез может сильно отличаться в зависимости от выбранного материала. Точную стоимость и вид крепления вы сможете определить с нашими докторами на индивидуальной консультации.
-
С помощью чего держится адгезивный зубной протез?
Адгезивный зубной протез крепится к соседним зубам с помощью балки (проволоки) или стекловолокна и специального адгезивного клея. Этот клей разбухает во влажной среде полости рта и надежно фиксирует протез даже при жевательной нагрузке.
Получите каталог услуг Super Smile: цены, этапы лечения и все преимущества в удобном формате

Наши врачи-ортодонты
Цены на исправление прикуса
-
Поможем вернуть 13% НДФЛ
-
Уникальные гарантии на исправление прикуса
-
Лучшая цена среди клиник с рейтингом 5*
Предложение не является публичной офертой.
*Цены уточняйте по телефону +7 (812) 575-56-01
















После ортодонтического лечения:






