Протезирование зубов коронками из металлокерамики в Санкт-Петербурге и цена на них
Вам нужно восстановить зуб коронкой? Вы теряетесь и не знаете, что выбрать? Коронки из металлокерамики будут отличным выбором! У них приемлемая цена и прекрасное качество! В нашей клинике Super Smile стоимость коронки на зуб из металлокерамики рассчитывается индивидуально под каждый клинический случай! Мы поможем вам выйти на новый уровень комфорта в вашей жизни по приемлемой цене!
- Индивидуальный подход и превосходное качество!
- У нас есть поэтапная оплата!
В каких случаях требуется металлокерамика в качестве коронки в Санкт-Петербурге ?
Узнайте, пора ли вам показаться стоматологу!
Ответьте на несколько вопросов, чтобы самостоятельно оценить своё здоровье и получите сертификат от нашей клиники (для новых пациентов)!

Что такое коронка из металлокерамики под ключ, и какие цены в Санкт-Петербурге?
Коронка сама по себе — это несъёмный протез на зуб, который напоминает «колпачок». Она помогает удерживать разрушенные стенки зуба, тем самым восстанавливая жевательную функцию зуба. Коронки делают из различных материалов, от этого и зависит их стоимость.
Так коронки из металлокерамики в Санкт-Петербурге имеют самые приемлемые цены. Они сочетают в себе не только хорошие характеристики по восстановлению функции жевания, но и эстетически подбираются под цвет ваших зубов, но стоят не так дорого, как, например, коронки из диоксида циркония.
Какие плюсы у протезирования в Санкт-Петербурге металлокерамикой?
- Восстановление зуба. В Санкт-Петербурге можно восстановить зуб коронкой из металлокерамики, что сохранит зуб от дальнейшего разрешения;
- Восстановление функции жевания. Коронки из металлокерамики отлично восстанавливают жевательную функцию зуба.
- Цена. Цены на коронки из металлокерамики в Санкт-Петербурге самые доступные. Вы выбираете металл-основу, и это чаще всего повышает или понижает стоимость самой коронки.
- Срок службы. Чаще всего коронки из металлокерамики служат около 10-15 лет, в зависимости от уровня гигиены полости рта.
- Незаметность. Цвет коронок подбирается под цвет ваших зубов с помощью специальной шкалы Vita, поэтому у коронок из металлокерамики превосходные эстетические свойства.
Да, они будут в чем-то уступать этому металлу, но задачу свои выполнят! Зуб будет восстановлен!
Если мы говорим об протезировании металлокерамикой под ключ, это означает, что цена включает в себя и обследование перед процедурой, все виды диагностики, а это рассчитывается строго индивидуально!
О стоматологической клинике Super Smile

В клинике Super Smile работают настоящие профессионалы. Наши доктора имеют многолетний опыт работы. Но все равно они постоянно учатся и повышают свою квалификацию. В общей сложности, наши специалисты прошли более 200 курсов и мастер-классов. Несколько лет подряд клиника Super Smile входит в число 100 лучших стоматологических клиник России согласно рейтингам «Коммерсант-Здоровье» и «Start Smile», а в 2021 клиника вошла в ТОП-10 клиник по версии порталов НаПоправку и ПроДокторов.
Только у нас вы найдёте в одном месте качество, новейшие технологии, грамотных специалистов, удобство и приятные цены! Наши доктора сделают ваш визит к стоматологу настолько комфортным, что вы будете себя чувствовать, как на отдыхе!
Доктора клиники Super Smile имеют огромный опыт работы с коронками из металлокерамики в Санкт-Петербурге. Если вы мечтаете об идеальной улыбке – скорее записывайтесь на первую бесплатную консультацию!
Почему вам стоит провести протезирование металлокерамикой в Санкт-Петербурге именно в клинике Super Smile?
-
Наши врачи имеют огромный опыт работы с металлокерамикой под ключ
-
Мы используем только самые качественные материалы для изготовления коронок из металлокерамики
-
У нас вы можете оплатить лечение в несколько этапов
-
Понятное лечение с интраоральным 3D сканером Medit i500
-
У нас вы можете пройти все этапы обследования: от консультации до снимка с собственным компьютерным томографом
Гарантия лучшего сочетания цена/качество
Оставьте Ваш телефон и в течение 5 минут мы перезвоним Вам, чтобы подобрать лучшее для Вас время посещения центра имплантации Super Smile.
очему вам стоит поставить металлокерамику под ключ в Санкт-Петербурге?
-
Стоимость коронки на зуб из металлокерамики
Стоимость коронки на зуб из металлокерамики одна из самых лояльных в Санкт-Петербурге. За эту цену вы получаете хорошую эстетика и функциональность
-
Защита ваших зубов
Коронки из металлокерамики отлично защитят ваши зубы от разрушения, если на них объемные пломбы или уже есть небольшие сколы.
-
Лёгкость в уходе
Металлокерамика в виде коронок не требует особого ухода. Нужно только чистить зубы 2 раза в день и проходить профессиональную гигиену полости рта раз в 6 месяцев.
-
Эстетика
Металлокерамика в Санкт-Петербурге не заметна при разговоре и улыбке.
-
Здоровье пищеварительной системы
Любой разрушенный или кариозный зуб является инфекцией. Поставив коронку, вы пролечиваете зуб и избавляетесь от распространения инфекции.

- Возраст для установки коронок из металлокерамики: Коронки рекомендуется устанавливать не ранее 18 лет.
- Показания для протезирования металлокерамикой в Санкт-Петербурге: разрушение коронки зуба более 50% зуба; дисколорит; флюороз / гипоплазия; клиновидный дефект; патологическая стираемость; сколы или трещины.
- Абсолютные противопоказания. Коронки из металлокерамики противопоказаны при: системных заболеваниях сердечно-сосудистой системы или эндокринной системы в обострении; психических расстройствах в обострении; генерализованный заболеваниях дёсен в обострении; злокачественных новообразованиях в полости рта.
- Относительные противопоказания: неудовлетворительная гигиена полости рта; острый катаральный гингивит; пародонтит легкой степени тяжести; беременность и период лактации. При наличии одного или нескольких таких противопоказаний вопрос о протезировании коронками из металлокерамики решается индивидуально.
Этапы протезирования зубов коронками из металлокерамики
-
Первичная консультация
На первичном осмотре доктора выявляют анатомические особенности, состояние зубов и дёсен, височно-нижнечелюстного сустава.
-
План лечения и санация полости рта и профессиональная гигиена
при необходимости.
-
Обточка (препарирование твердых тканей зуба)
-
Сканирование интраоральным сканером Medit i500 или снятие оттисков (слепков)
Этот этап в нашей клинике часто заменяет традиционное снятие слепков, но иногда без них тоже не обойтись. Бывают случаи, когда наши доктора совмещают сканирование со снятием альгинатных слепков.
-
Лабораторный этап
В зуботехнической лаборатории изготавливается гипсовая модель челюстей пациента, на которых моделируется восковой каркас коронки. Далее воск замещается на сплав металла. Готовый металлический каркас послойно покрывается керамическим покрытием. И последнее, что делает техник, это художественная обработка коронки с учётом особенностей пациента.
-
Фиксация
Коронки устанавливают на временный стоматологический материал, чтобы прошёл период адаптации к коронке, а через несколько недель уже фиксируют на постоянный стоматологический цемент.
-
Рекомендации
После любого протезирования вас приглашают на финальную консультацию, чтобы убедиться в том, что вам комфортно и удобно. Также вам дают рекомендации по уходу за данным видом протеза. И помните, что наша клиника Super Smile ждёт вас на профилактический осмотр раз в 6 месяцев!
Гарантия лучшего сочетания цена/качество
Оставьте Ваш телефон и в течение 5 минут мы перезвоним Вам, чтобы подобрать лучшее для Вас время посещения стоматологии Super Smile.
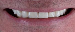
Работы наших специалистов по протезированию зубов коронками из металлокерамики
-
Заполните форму ниже
-
Звонок
Мы Вам перезвоним в течение 5 минут и подберём для Вас удобное время визита
-
Лечение
После согласования способа оплаты приступим к лечению
-
Результат
Вы получаете красивые, здоровые зубы
-
Готово!
Ваша улыбка обворожительна!
А теперь — самое главное:
Заботливый системный подход Super Smile

В Super Smile всё начинается с заботы.
Мы не просто лечим зубы — мы сохраняем ваше здоровье и уверенность на долгие годы. Перед лечением мы внимательно обследуем, объясняем каждый шаг и вместе составляем индивидуальный план лечения, где всё продумано — от диагностики до результата. Так вы точно знаете, что происходит, и чувствуете заботу на каждом этапе
Что включает комплексный план лечения?
- Осмотр и консультация специалиста
- Подробный фотопротокол
- Заполнение “зубной формулы” – вашей карты улыбки
- Медицинский план лечения
- Выгодный финансовый план лечения
Почему заботливый и системный подход работает лучше
В Super Smile мы верим, что стоматология должна быть не спешной, а осознанной и внимательной.
Такой подход сохраняет здоровье, экономит средства и помогает сохранить результат на годы вперёд.
| Обычное лечение | Заботливый системный подход Super Smile |
|---|---|
| Посадить пациента в кресло и сразу начать лечение | Сначала выслушать, обследовать, всё объяснить и только потом вместе выбрать лучший путь |
| Начать с самых дорогих процедур, не думая о логике | Продумать план шаг за шагом, чтобы не пришлось что-то переделывать через полгода |
| Предложить один «удобный» вариант и настаивать на нём | Разработать несколько вариантов лечения — по срокам, бюджету и комфорту |
| Передать пациента любому свободному врачу | Собрать команду специалистов, где каждый отвечает за свой этап, а результат — общий |
| Говорить, что бюджет невозможно рассчитать заранее | Составить прозрачный финансовый план и помочь спокойно спланировать расходы |
| Не давать гарантий на работу | Предоставить реальные гарантии на лечение — чтобы вы были уверены в результате и спокойны за свою улыбку |
С заботой — с первого шага
Стоимость индивидуального Плана лечения — всего 0 рублей.
В него входит полное обследование, консультация специалиста и составление медицинского и финансового планов. Отдельно оплачивается 3D снимок для точной диагностики.
Получите каталог услуг Super Smile: цены, этапы лечения и все преимущества в удобном формате

Наши врачи
Цены Super Smile
-
Ортопедия
- Протезирование зуба с использованием имплантата. Коронка из диоксида циркония коронка на имплант Neobiotech
- 59 300 ₽
- Протезирование зуба с использованием имплантата. Коронка из диоксида циркония коронка на имплант Nobel Replace Straumann
- 79 800 ₽
- Протезирование частичными съемными пластиночными протезами-бюгельный съёмный протез
- 92 200 ₽
- Восстановление зуба коронкой. Металлокерамическая коронка
- 31 000 ₽
- Протезирование частичными съемными пластиночными протезами, безакриловый протез
- 57 500 ₽
- Восстановление зуба вкладкой-накладкой
- 26 800 ₽




































