Установка саморегулирующейся брекет-системы в Санкт-Петербурге
Важным прорывом в ортодонтии стало изобретение безлигатурных или саморегулирующихся брекет-систем. Такие системы удобны в использовании и доставляют меньше дискомфорта пациентам. Поэтому если хотите исправить прикус или неправильное положение зубов, воспользуйтесь именно такой системой брекетов.
- Результат на 6 месяцев быстрее!
- Самые передовые брекет-системы в клинике Super Smile!
Вы получите детализированный расчёт стоимости без ненужных накруток со стороны стоматолога!
Какие брекеты подойдут Вам? Пройдите тест и получите сертификат на 7 бонусов!
Ответьте на несколько вопросов, чтобы самостоятельно оценить своё здоровье и получите сертификат от нашей клиники (для новых пациентов)!

Что такое саморегулируемые брекеты?
Из чего состоит саморегулирующаяся брекет система?
- Сами брекеты, то есть небольшие пластины, которые устанавливаются на зубы;
- Замки, которые находятся на брекетах и держат дугу;
- Ортодонтическая дуга.
Благодаря замкам, дуга самостоятельно передвигается в пазах в зависимости от степени смещения зубов. При этом лечение остаётся таким же эффективным, как с лигатурами, но усилие, которое создаётся дугой, слабее, что приносит меньше дискомфорта пациентам.
Какие бывают саморегулируемые брекеты?
- Damon Q — самый востребованный вид саморегулируемых брекетов. Это металлические вестибулярные брекеты, по размеру они совсем небольшие. Они идут без лигатур, поэтому довольно комфортны в использовании.
- Damon Clear — самый востребованный вид саморегулируемых брекетов. Это металлические вестибулярные брекеты, по размеру они совсем небольшие. Они идут без лигатур, поэтому довольно комфортны в использовании.
- Incognito — система брекетов, которая крепится со стороны языка, поэтому совсем не заметна окружающим. Ее используют не во всех случаях, и для этого нужна специальная сертификация.
Саморегулируемые брекеты — это система брекетов, в которой ортодонтическая дуга крепится с помощью специальных замков. Это отличает саморегулируемые брекеты от лигатурных, где дуга фиксируется с помощью специальных проволочек или резиночек.
В чем плюсы саморегулируемых брекет систем?
О стоматологической клинике Super Smile

Клиника Super Smile специализируется на различных видах стоматологических услуг, и включает в себя целую команду специалистов, каждый из которых настоящий профессионал в своей области. Мы ценим комплексный подход в решении проблем со здоровьем, поэтому для каждого пациента составляем индивидуальный план лечения.
Мы работаем ради вашего комфорта, поэтому регулярно наши доктора совершенствуют свои знания для применения в работе новейших разработок и методик. Несколько лет подряд клиника Super Smile входит в число 100 лучших стоматологических клиник России согласно рейтингам «Коммерсант-Здоровье» и «Start Smile», а в 2021 мы вошли в ТОП-10 клиник по версии порталов НаПоправку и ПроДокторов. Поэтому если вы цените надёжность и индивидуальный подход, то вам в клинику Super Smile! Мы поможем вам обрести ровную и красивую улыбку, о которой вы мечтали всю жизнь!
Доктора клиники Super Smile имеют огромный опыт работы с саморегулируемыми брекет-системами. Поэтому если вы мечтаете о комфорте и красивой улыбке – скорее записывайтесь на первую бесплатную консультацию!
Цифровое 3D-сканирование зубов в Super Smile. Покажем вашу будущую ровную улыбку еще до начала лечения!
Хотели бы вы знать, как будет выглядеть ваша улыбка после ортодонтического лечения?
В нашей клинике вы можете увидеть результат лечения, еще даже не начав его. Для этого мы используем сканер Itero. Это уникальное оборудование позволяет доктору смоделировать будущий результат, а пациенту увидеть все со стороны.
После уже первого приёма у ортодонта, будете знать, стоит ли вам начинать ортодонтическое лечение и какого результата вам ждать!
- Увидите будущую ровную улыбку еще до начала лечения
- Сможете поучаствовать в создании вашей улыбки вместе с доктором
- Получите консультацию опытного ортодонта. Каждый врач установил более 2000 брекет-систем/элайнеров

Почему вам стоит поставить саморегулируемые брекеты в клинике Super Smile?
-
Наши ортодонты имеют огромный опыт работы с саморегулируемыми брекетами
-
Вы получаете уникальные гарантии на лечение! Мы гарантируем вам желаемый результат, который согласован с вашим доктором!
-
Вы можете выбрать различные системы саморегулирующихся брекетов
-
С нашим интраоральным сканером Itero вы сможете увидеть результат ещё до начала лечения
-
Вы пройдёте все этапы обследования в одном месте, благодаря нашему компьютерному томографу!
Начните с бесплатной консультации
Ровные зубы – это просто и комфортно! В Super Smile мы заботимся о вашей улыбке и подбираем оптимальное решение для выравнивания зубов.
Почему стоит выбрать саморегулируемую брекет-систему?
-
Комфорт.
Благодаря специальным замочкам и минимальной силе трения, такие брекеты носить удобно и не больно.
-
Быстрая адаптация.
Саморегулируемые брекеты не объемные, поэтому пациенты быстро привыкают к ним и не замечают.
-
Срок лечения.
Время лечения саморегулирующимися брекетами сокращается на пол года.
-
Не нужно удалять зубы.
Огромным плюсом саморегулируемых брекет систем является то, что часто они исправляют ортодонтические проблемы без необходимости удалять зубы.
-
Удобство.
Благодаря уникальной системе замков ухаживать за такими брекетами гораздо удобнее.
Этапы установки саморегулируемых брекетов
-
Консультация
На первичной бесплатной консультации в нашей клинике доктор проводит осмотр полости рта, оценивает состояние зубов и дёсен.
-
Сканирование интраоральным сканером Itero
Проводится бесплатно! Помогает доктору выявить все анатомические особенности, которые не видны при обычном осмотре, а также составить план лечения. Также доктор направляет вас на диагностические снимки и КТ-диагностику.
-
Составление плана лечения
После сканирования и анализа снимков КТ, доктор создаёт вам 3D план вашего дальнейшего лечения. То есть ещё до начала лечения вы увидите результат! Далее этот план вы согласовываете и вносите необходимые коррективы.
-
Санация полости рта
Проводится лечение кариеса, дёсен и других заболеваний полости рта.
-
Установка саморегулируемой брекет системы
Саморегулируемую брекет систему можно установить двумя способами: прямым и непрямым. При прямом способе на каждый зуб брекеты с замочками наклеиваются сразу с помощью специальных клеящих составов, потом через них продевается дуга. Непрямой способ подразумевает изготовление гипсовой модели челюстей пациента, на которой сначала доктор размещает брекеты, а только потом переносит готовую конструкцию вместе с дугой в полость рта пациента.
-
Адаптационный период
В течение первых нескольких недель доктор активно консультирует вас, помогает в подборе средств гигиены.
-
Коррекция саморегулируемой брекет-системы
Приблизительно раз в полтора- два месяца вам важно посещать врача-стоматолога для коррекции (активации) брекет-системы. Во время недолгих визитов доктор «подтягивает» дугу, чтобы продолжался процесс коррекции вашей зубочелюстной системы.
Гарантии на установку брекетов
Всего 1 визит в клинику
Приблизит вас к вашей идеальной улыбке. Сделайте первый шаг — на бесплатной консультации врач внимательно изучит ситуацию, предложит удобные варианты и поддержит на всём пути.
Работы наших специалистов
А теперь — самое главное:
заботливый системный подход Super Smile

В Super Smile всё начинается с заботы.
Мы не просто лечим зубы — мы сохраняем ваше здоровье и уверенность на долгие годы. Перед лечением мы внимательно обследуем, объясняем каждый шаг и вместе составляем индивидуальный план лечения, где всё продумано — от диагностики до результата. Так вы точно знаете, что происходит, и чувствуете заботу на каждом этапе
Что включает комплексный план лечения?
- Осмотр и консультация специалиста
- Подробный фотопротокол
- Заполнение “зубной формулы” – вашей карты улыбки
- Медицинский план лечения
- Выгодный финансовый план лечения
Почему заботливый и системный подход работает лучше
В Super Smile мы верим, что стоматология должна быть не спешной, а осознанной и внимательной.
Такой подход сохраняет здоровье, экономит средства и помогает сохранить результат на годы вперёд.
| Обычное лечение | Заботливый системный подход Super Smile |
|---|---|
| Посадить пациента в кресло и сразу начать лечение | Сначала выслушать, обследовать, всё объяснить и только потом вместе выбрать лучший путь |
| Начать с самых дорогих процедур, не думая о логике | Продумать план шаг за шагом, чтобы не пришлось что-то переделывать через полгода |
| Предложить один «удобный» вариант и настаивать на нём | Разработать несколько вариантов лечения — по срокам, бюджету и комфорту |
| Передать пациента любому свободному врачу | Собрать команду специалистов, где каждый отвечает за свой этап, а результат — общий |
| Говорить, что бюджет невозможно рассчитать заранее | Составить прозрачный финансовый план и помочь спокойно спланировать расходы |
| Не давать гарантий на работу | Предоставить реальные гарантии на лечение — чтобы вы были уверены в результате и спокойны за свою улыбку |
С заботой — с первого шага
Стоимость индивидуального Плана лечения — всего 0 рублей.
В него входит полное обследование, консультация специалиста и составление медицинского и финансового планов. Отдельно оплачивается 3D снимок для точной диагностики.
Ответы на самые распространенные вопросы
-
В чем особенности адгезивного протезирования зубов?
Адгезивное протезирование зубов — это вид протезирования, который восстанавливает отсутствие одного или двух зубов. Его главным достоинством является то, что не нужно обтачивать соседние от дефекта зубы. Адгезивный протез крепится к соседним зубам с помощью балочной проволочной конструкции или стекловолокна. При этом проволока или стекловолокно крепится на искусственной коронке и соседних зубах при помощи специального материала. Такой протез является недостаточно прочным, поэтому применяется как временный протез перед имплантацией, либо лишь во фронтальном отделе челюсти.
-
Сколько стоит адгезивный зубной протез?
Адгезивный зубной протез изготавливается из различных материалов: пластмассы, прессованной керамики, диоксида циркония и металлокерамики. Поэтому цена на адгезивный зубной протез может сильно отличаться в зависимости от выбранного материала. Точную стоимость и вид крепления вы сможете определить с нашими докторами на индивидуальной консультации.
-
С помощью чего держится адгезивный зубной протез?
Адгезивный зубной протез крепится к соседним зубам с помощью балки (проволоки) или стекловолокна и специального адгезивного клея. Этот клей разбухает во влажной среде полости рта и надежно фиксирует протез даже при жевательной нагрузке.
Получите каталог услуг Super Smile: цены, этапы лечения и все преимущества в удобном формате

Наши врачи-ортодонты
Цены на исправление прикуса
-
Поможем вернуть 13% НДФЛ
-
Уникальные гарантии на исправление прикуса
-
Лучшая цена среди клиник с рейтингом 5*
Предложение не является публичной офертой.
*Цены уточняйте по телефону +7 (812) 575-56-01
























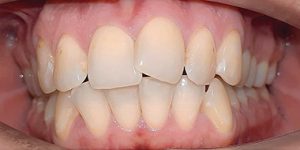
После ортодонтического лечения:









