Установка сапфировой брекет системы в Санкт-Петербурге
Самым эстетичным видом брекетов является сапфировая брекет система. Такие брекеты отлично справляются со своими функциями коррекции прикуса и являются практически незаметными. Сапфировые брекеты подойдут людям, которые ведут активную социальную жизнь, кто заботится о своём внешнем виде, а также подросткам, которые очень волнуются как они выглядят.
- Сапфировые брекеты — это удобно и незаметно!
- Уникальные гарантии на ортодонтию в клинике Super Smile!
Вы получите детализированный расчёт стоимости
без ненужных накруток со стороны стоматолога!
Какие брекеты подойдут Вам? Пройдите тест и получите сертификат на 7 бонусов!
Ответьте на несколько вопросов, чтобы самостоятельно оценить своё здоровье и получите сертификат от нашей клиники (для новых пациентов)!

Что такое сапфировая брекет система?
Какие виды сапфировых брекетов бывают?
- сапфировые лигатурные брекеты — тогда практически прозрачный брекет связан с металлической ортодонтической дугой с помощью специальных резиночек-лигатур.
- сапфировые безлигатурные брекеты — в таком случае сапфировый брекет имеет в своём составе замочек, который удерживает дугу. Благодаря этим замкам вам нужно посещать стоматолога для коррекции в два раза реже.
Ещё один нюанс сапфировых брекетов в том, что они довольно хрупкие по сравнению с металлическими брекетами, поэтому стоматологи рекомендуют соблюдать небольшую диету и не употреблять жесткую пищу. И важно отметить, что сапфировые брекеты не ставят лингвально, так как их эстетические свойства и так одни из самых лучших.
Сарфировые брекеты — это система брекетов, которая изготовлена из мелкодисперсной керамики или монокристаллического диоксида алюминия. Такие брекеты будут максимально эстетичны, но менее прочны по сравнению, например, с металлическими брекетами.
В чем плюсы сапфировой брекет системы?
О стоматологической клинике Super Smile

Клиника Super Smile — это оазис среди стоматологий. Здесь вы почувствуете себя уникальным благодаря индивидуальному и комплексному подходу наших докторов, каждый из которых настоящий профессионал своего дела. Мы создаём для вас атмосферу комфорта и радости. Из нашей клиники выходят только со счастливыми улыбками! Ради этого наши доктора ежегодно проходят множество мастер-классов.
Мы гордимся тем, что клиника Super Smile входит в число 100 лучших стоматологических клиник России согласно рейтингам «Коммерсант-Здоровье» и «Start Smile», а в 2021 мы вошли в ТОП-10 клиник по версии порталов НаПоправку и ПроДокторов. Если вы хотите почувствовать себя не в стоматологии, а на курорте, то вам в клинику Super Smile! Мы поможем вам обрести ровную и красивую улыбку, о которой вы так долго мечтали!
Доктора клиники Super Smile имеют огромный опыт работы с сарфировой брекет-системой. Если вы мечтаете о сочетании комфорта и непревзойденном результате – скорее записывайтесь на первую бесплатную консультацию!
Цифровое 3D-сканирование зубов в Super Smile. Покажем вашу будущую ровную улыбку еще до начала лечения!
Хотели бы вы знать, как будет выглядеть ваша улыбка после ортодонтического лечения?
В нашей клинике вы можете увидеть результат лечения, еще даже не начав его. Для этого мы используем сканер Itero. Это уникальное оборудование позволяет доктору смоделировать будущий результат, а пациенту увидеть все со стороны.
После уже первого приёма у ортодонта, будете знать, стоит ли вам начинать ортодонтическое лечение и какого результата вам ждать!
- Увидите будущую ровную улыбку еще до начала лечения
- Сможете поучаствовать в создании вашей улыбки вместе с доктором
- Получите консультацию опытного ортодонта. Каждый врач установил более 2000 брекет-систем/элайнеров

Почему вам стоит установить сапфировые брекеты в клинике Super Smile?
-
Наши ортодонты имеют огромный опыт работы с сапфировыми брекетами;
-
У вас будут письменные гарантии на результат лечения!
-
В нашей клинике есть вариант поэтапной оплаты;
-
С нашим интраоральным сканером Itero вы увидите результат лечения ещё до его начала;
-
Вы можете пройти все этапы диагностики в стенах нашей клиники, благодаря нашему компьютерному томографу!
Начните с бесплатной консультации
Ровные зубы – это просто и комфортно! В Super Smile мы заботимся о вашей улыбке и подбираем оптимальное решение для выравнивания зубов.
Почему вам нужна установка сапфировых брекетов?
-
Комфорт премиального уровня.
Сапфировые брекеты максимально комфортны в ношении, не умеют острых углов и не причиняют неудобств при использовании.
-
Адаптация.
После установки сапфировых брекетов вы буквально в течение недели ещё привыкаете к ним, а потом попросту не замечаете.
-
Незаметность.
Неоспоримым достоинством сапфировой брекет системы является то, что эти брекеты не видны на зубах, а скорее придают улыбке красивый блеск.
-
Нет налёта!
Максимально удобно использовать сапфировые брекеты, потому что они требуют минимального ухода за собой, потому что на их поверхности не образуется зубной налёт.
-
Надежно крепятся в полости рта.
Немаловажным фактором является то, что такие брекеты крепко сцепляются с поверхностью эмали, и точно не отклеятся во время приёма пищи.
Этапы установки сапфировых брекетов
-
Консультация
На первичной консультации в нашей клинике доктор проводит осмотр полости рта, оценивает состояние зубов и дёсен.
-
Сканирование интраоральным сканером Itero и диагностика
3D сканирование полости рта в клинике Super Smile проводится бесплатно! Сканирование помогает доктору точнее составить картину в полости рта и выявить те особенности зубочелюстной системы, которые не видны при обычном осмотре, а также составить план лечения. Далее вы направляетесь на КТ-диагностику.
-
Составление плана лечения
После сканирования и анализа снимков КТ, доктор создаёт 3D план вашего дальнейшего лечения, и вы его согласовываете.
-
Санация полости рта
Проводится профессиональная чистка полости рта, лечение кариеса или его осложнений, лечение заболеваний пародонта, если такие имеются.Сапфировые брекеты устанавливаются чаще всего прямым путём. Поверхность зуба обрабатывается раствором ортофосфорной кислоты. Этот раствор смывается, поверхность зубов высушивается и на каждый зуб наклеиваются брекеты с замочками с помощью специальных клеящих составов. Через замочки продевается дуга. Или же дуга крепится к брекетам с помощью лигатур.
-
Установка сапфировых брекетов
Сапфировые брекеты устанавливаются чаще всего прямым путём. Поверхность зуба обрабатывается раствором ортофосфорной кислоты. Этот раствор смывается, поверхность зубов высушивается и на каждый зуб наклеиваются брекеты с замочками с помощью специальных клеящих составов. Через замочки продевается дуга. Или же дуга крепится к брекетам с помощью лигатур.
-
Адаптационный период
В течение первых нескольких недель доктор активно консультирует вас, помогает в подборе средств гигиены.
-
Коррекция сапфировых брекетов
Раз в месяц или два вам назначают профилактические визиты, во время которых доктор корректирует или активирует дальше вашу брекет-систему. Эти визиты длятся в течение всего времени лечения до достижения положительного результата.
Всего 1 визит в клинику
Приблизит вас к вашей идеальной улыбке. Сделайте первый шаг — на бесплатной консультации врач внимательно изучит ситуацию, предложит удобные варианты и поддержит на всём пути.
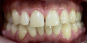
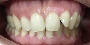
Работы наших специалистов
А теперь — самое главное:
Заботливый системный подход Super Smile

В Super Smile всё начинается с заботы.
Мы не просто лечим зубы — мы сохраняем ваше здоровье и уверенность на долгие годы. Перед лечением мы внимательно обследуем, объясняем каждый шаг и вместе составляем индивидуальный план лечения, где всё продумано — от диагностики до результата. Так вы точно знаете, что происходит, и чувствуете заботу на каждом этапе
Что включает комплексный план лечения?
- Осмотр и консультация специалиста
- Подробный фотопротокол
- Заполнение “зубной формулы” – вашей карты улыбки
- Медицинский план лечения
- Выгодный финансовый план лечения
Почему заботливый и системный подход работает лучше
В Super Smile мы верим, что стоматология должна быть не спешной, а осознанной и внимательной.
Такой подход сохраняет здоровье, экономит средства и помогает сохранить результат на годы вперёд.
| Обычное лечение | Заботливый системный подход Super Smile |
|---|---|
| Посадить пациента в кресло и сразу начать лечение | Сначала выслушать, обследовать, всё объяснить и только потом вместе выбрать лучший путь |
| Начать с самых дорогих процедур, не думая о логике | Продумать план шаг за шагом, чтобы не пришлось что-то переделывать через полгода |
| Предложить один «удобный» вариант и настаивать на нём | Разработать несколько вариантов лечения — по срокам, бюджету и комфорту |
| Передать пациента любому свободному врачу | Собрать команду специалистов, где каждый отвечает за свой этап, а результат — общий |
| Говорить, что бюджет невозможно рассчитать заранее | Составить прозрачный финансовый план и помочь спокойно спланировать расходы |
| Не давать гарантий на работу | Предоставить реальные гарантии на лечение — чтобы вы были уверены в результате и спокойны за свою улыбку |
С заботой — с первого шага
Стоимость индивидуального Плана лечения — всего 0 рублей.
В него входит полное обследование, консультация специалиста и составление медицинского и финансового планов. Отдельно оплачивается 3D снимок для точной диагностики.
Ответы на самые распространенные вопросы
-
В чем особенности адгезивного протезирования зубов?
Адгезивное протезирование зубов — это вид протезирования, который восстанавливает отсутствие одного или двух зубов. Его главным достоинством является то, что не нужно обтачивать соседние от дефекта зубы. Адгезивный протез крепится к соседним зубам с помощью балочной проволочной конструкции или стекловолокна. При этом проволока или стекловолокно крепится на искусственной коронке и соседних зубах при помощи специального материала. Такой протез является недостаточно прочным, поэтому применяется как временный протез перед имплантацией, либо лишь во фронтальном отделе челюсти.
-
Сколько стоит адгезивный зубной протез?
Адгезивный зубной протез изготавливается из различных материалов: пластмассы, прессованной керамики, диоксида циркония и металлокерамики. Поэтому цена на адгезивный зубной протез может сильно отличаться в зависимости от выбранного материала. Точную стоимость и вид крепления вы сможете определить с нашими докторами на индивидуальной консультации.
-
С помощью чего держится адгезивный зубной протез?
Адгезивный зубной протез крепится к соседним зубам с помощью балки (проволоки) или стекловолокна и специального адгезивного клея. Этот клей разбухает во влажной среде полости рта и надежно фиксирует протез даже при жевательной нагрузке.
Получите каталог услуг Super Smile: цены, этапы лечения и все преимущества в удобном формате

Наши врачи-ортодонты
Цены на исправление прикуса
-
Поможем вернуть 13% НДФЛ
-
Уникальные гарантии на исправление прикуса
-
Лучшая цена среди клиник с рейтингом 5*
Предложение не является публичной офертой.
*Цены уточняйте по телефону +7 (812) 575-56-01



































