Лечение дефекта зуба (клиновидного зуба) в Санкт-Петербурге
Появление клиновидного дефекта чаще всего пациенты замечают сами, так как это некариозное поражение сразу доставляет дискомфорт. Зуб начинает реагировать на холодное, горячее, иногда кислое и сладкое, а также на любые механические раздражители. В клинике Super Smile вы найдете различные варианты решения такого заболевания.
- Вам необходимо лечение дефекта зуба? Новейшие методики в клинике Super Smile помогут вам!
- Лечение клиновидных зубов теперь возможно с беспроцентной рассрочкой!
Вы получите детализированный расчёт стоимости без ненужных накруток со стороны стоматолога!
Узнайте, пора ли вам показаться стоматологу!
Ответьте на несколько вопросов, чтобы самостоятельно оценить своё здоровье и получите сертификат от нашей клиники (для новых пациентов)!

Клиновидный дефект эмали зубов. Лечение.
Какие ещё причины могут быть при развитии клиновидного дефекта?
- Отсутствие одного или нескольких зубов, тогда оставшиеся зубы берут, опять же, на себя чрезмерную нагрузку.
- Болезни центральной нервной системы, которые ведут к образованию бруксизма или перенапряжения жевательных мышц.
- Гормональные изменения, заболевания щитовидной железы. Главным фактором образования клиновидного дефекта тут будет изменение состава слюны и эмали. Эмаль становится пористая и истончается.
- Пародонтит и гингивит, в этом случае плохая гигиена и образование патологических десневых карманов приводят к появлению большого количества налёта на зубах, и кислоты, которые выделяют бактерии, разрушают эмаль.
Стадии образования клиновидного дефекта:
- Первая, начальная. Небольшой участок у основания зуба слегка утрачивает свой блеск. Выявить эту стадию довольно трудно.
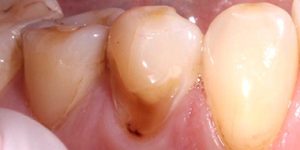
- Поверхностное поражение. У основания зуба заметна трещинка, в самой широкой своей части не превышающая 3,5 мм. Десна проседает, оголяется шейка зуба. Пациенту неприятна слишком горячая или холодная пища, но болезненность быстро проходит.
- Прогрессирующая стадия. Клиновидный дефект достигает 4 мм, становится желтовато-коричневым, матовым. Форма треугольника уже отчетливо просматривается. Зубы болезненно реагируют на температурные раздражители, кислую пищу, появляется болезненность при чистке зубов.
- Стадия глубокого поражения. Эмаль истончается, поражается дентин, в некоторых случаях появляется пульпит (процесс затрагивает «нерв» зуба). Дефект может быть более 4 мм, а в глубину до 0,5-0,7 мм, шейка зуба обнажена. При воздействии пищи или других раздражителей боль может быть приступообразный. Пациент испытывает дискомфорт при чистке зубов, жевании, и даже дыхании.
Какое лечение клиновидных зубов существует?
- Терапевтическое лечение дефекта зуба применяется чаще всего и заключается в пломбировании клиновидного дефекта. Минус такого подхода в том, что первопричину мы так и не убрали, и дефект со временем может появиться вновь.
- Ортодонтическое лечение клиновидных зубов является отличным решением, если у вас патологический прикус, и происходит перегрузка зубов из-за этого.
- Ортопедическое лечение клиновидного дефекта зубов также отлично устраняет саму причину перегрузки зубов.
- Медикаментозное лечение показано в тех случаях, когда причиной образования клиновидного дефекта являются системные заболевания эндокринной, пищеварительной или нервной систем.
Клиновидный дефект — это некариозное поражение твердых тканей зуба, которое имеет клиновидную форму, откуда и пошло название заболевания. Как вы поняли, при клиновидном дефекте изначально нет инфекционного поражения. То есть причиной появления такого дефекта является либо перенапряжение эмали зуба в том месте, где она наиболее уязвима — в области шейки зуба. Либо сильное механическое воздействие на зубы. Это происходит во время неправильной чистки зубов, при использовании абразивных средств гигиены, либо при повышенной кислотности в полости рта (у больных гастритом, при постоянной изжоге). Инфекция может присоединиться потом, если из-за болезненных ощущений начинает страдать ежедневная гигиена, в области клиновидного дефекта скапливается зубной налет и образуется кариес.
О стоматологической клинике Super Smile

Клиника Super Smile собрала для вас все самое лучшее, что вы можете искать в стоматологии: грамотные опытные врачи, современная техника, новейшие разработки и методики лечения, вежливые администраторы и комплексный подход к решению ваших проблем. Мы трудимся на благо вашего здоровья вот уже более 30 лет. За это время мы достигли различных высот, чему несказанно рады. Так, например, стоматологическая клиника Super Smile входит в число 100 лучших стоматологических клиник России согласно рейтингам «Коммерсант-Здоровье» и «Start Smile».
В 2021 мы вошли в ТОП-10 клиник по версии порталов НаПоправку и ПроДокторов. В 2022 году мы также были удостоены нескольких виртуальных наград и медалей от портала ПроДокторов. Нас рекомендуют своим друзьям и близким, поэтому если вы еще не были у нас, приходите! Мы подарим вам здоровье полости рта и счастливую улыбку!
Доктора клиники Super Smile имеют огромный опыт работы с лечением клиновидных зубов. Если вы мечтаете о здоровой и красивой улыбке – скорее записывайтесь на первую бесплатную консультацию!
Почему лечение клиновидных зубов лучше всего провести в клинике Super Smile?
-
Наши доктора комплексно подходят к лечению клиновидных зубов и выявляют первопричину заболевания.
-
В своей работе мы используем только лучшие материалы и новейшие методики для лечения клиновидного дефекта зубов.
-
Беспроцентная рассрочка, чтобы вы не просто запломбировали дефект, но и устранили его причину.
-
Дентальный микроскоп для выявления начальных стадий клиновидного дефекта.
-
Собственный компьютерный томограф для вашего максимального комфорта и всех видов диагностики.
Наши видео о лечении зубов
Гарантия лучшего сочетания цена/качество
Оставьте Ваш телефон и в течение 5 минут мы перезвоним Вам, чтобы подобрать лучшее для Вас время посещения центра имплантации Super Smile.

-
Возраст для лечения клиновидных зубов:
не имеет возрастных ограничений.
-
Показания для лечения дефекта зуба:
Некариозное поражение зуба в форме клина различной глубины, матовая белёсая эмаль в области шейки зуба, повышенная чувствительность зубов в придесневой области, рецессия десны (то есть убыль десны), неправильный прикус, отсутствие одного или нескольких зубов, пародонтит или гингивит.
-
Абсолютные противопоказания.
Обострение системных заболеваний, таких как: заболевания крови, сердечно-сосудистой системы, нервной и эндокринной систем; сахарный диабет в декомпенсированной форме; злокачественные новообразования в полости рта; ОРВИ; герпетическая инфекция в обострении, СПИД и другие иммунодефицитные состояния в декомпенсированной стадии.
-
Относительные противопоказания.
Беременность и период лактации. В таком случае вопрос о лечении решается в индивидуальном порядке.
Клиновидный дефект зубов. Лечение.
-
Первичный осмотр и консультация.
При обращении в клинику с жалобами на клиновидный дефект эмали зубов, лечение начинается только после сбора анамнеза и визуального осмотра полости рта, оценки состояния всех зубов и десен.
-
Диагностика.
Для более точной постановки диагноза, а также для выявления первопричины клиновидного дефекта, проводят рентгенологическое обследование в виде КТ и ОПТГ, в некоторых случаях используют осмотр с помощью 3D сканера или дентального микроскопа, оценивают результат и лишь потом назначают дальнейшее лечение.
-
Проведение профессиональной гигиены.
Если клиновидный дефект связан с нарушением правил гигиены полости рта, или заболеваниями десен, то на нашем новом аппарате EMS Prophylaxis Master можно провести профессиональную гигиену полости рта, даже если клиновидный дефект сопровождается повышенной чувствительностью зубов.
-
Лечебные мероприятия.
Выбор тактики лечения зависит от причины, которая вызвала появление клиновидного дефекта зубов. Лечение наши доктора проводят комплексно. Терапевтическое лечение клиновидных зубов заключается в препарировании клиновидного дефекта (снятие поверхностного слоя бором), антисептической обработке поверхности зуба хлоргексидином, постановке постоянной пломбы, шлифовке и полировке. Если клиновидный дефект выявлен на ранней стадии и пациента беспокоит лишь повышенная чувствительность зубов, то проводят реминерализующую терапию. Это могут быть препараты на основе оксалатов, фторидов или десенсетайзеры.
-
Ортодонтическое лечение.
Если клиновидный дефект вызван патологическим прикусом, то проводят установку брекет-системы или элайнеров.
-
Ортопедическое лечение.
При необходимости в ортопедическом лечении, обтачивают опорные зубы, снимают цифровые оттиски (слепки) на 3D сканере и изготавливают коронки или виниры из тех материалов, которые вы с доктором определили.
Гарантия лучшего сочетания цена/качество
Оставьте Ваш телефон и в течение 5 минут мы перезвоним Вам, чтобы подобрать лучшее для Вас время посещения стоматологии Super Smile.
Работы наших специалистов по лечению дефекта зуба
А теперь — самое главное:
заботливый системный подход Super Smile

В Super Smile всё начинается с заботы.
Мы не просто лечим зубы — мы сохраняем ваше здоровье и уверенность на долгие годы. Перед лечением мы внимательно обследуем, объясняем каждый шаг и вместе составляем индивидуальный план лечения, где всё продумано — от диагностики до результата. Так вы точно знаете, что происходит, и чувствуете заботу на каждом этапе
Что включает комплексный план лечения?
- Осмотр и консультация специалиста
- Подробный фотопротокол
- Заполнение “зубной формулы” – вашей карты улыбки
- Медицинский план лечения
- Выгодный финансовый план лечения
Почему заботливый и системный подход работает лучше
В Super Smile мы верим, что стоматология должна быть не спешной, а осознанной и внимательной.
Такой подход сохраняет здоровье, экономит средства и помогает сохранить результат на годы вперёд.
| Обычное лечение | Заботливый системный подход Super Smile |
|---|---|
| Посадить пациента в кресло и сразу начать лечение | Сначала выслушать, обследовать, всё объяснить и только потом вместе выбрать лучший путь |
| Начать с самых дорогих процедур, не думая о логике | Продумать план шаг за шагом, чтобы не пришлось что-то переделывать через полгода |
| Предложить один «удобный» вариант и настаивать на нём | Разработать несколько вариантов лечения — по срокам, бюджету и комфорту |
| Передать пациента любому свободному врачу | Собрать команду специалистов, где каждый отвечает за свой этап, а результат — общий |
| Говорить, что бюджет невозможно рассчитать заранее | Составить прозрачный финансовый план и помочь спокойно спланировать расходы |
| Не давать гарантий на работу | Предоставить реальные гарантии на лечение — чтобы вы были уверены в результате и спокойны за свою улыбку |
С заботой — с первого шага
Стоимость индивидуального Плана лечения — всего 0 рублей.
В него входит полное обследование, консультация специалиста и составление медицинского и финансового планов. Отдельно оплачивается 3D снимок для точной диагностики.
-
В чем особенности адгезивного протезирования зубов?
Адгезивное протезирование зубов — это вид протезирования, который восстанавливает отсутствие одного или двух зубов. Его главным достоинством является то, что не нужно обтачивать соседние от дефекта зубы. Адгезивный протез крепится к соседним зубам с помощью балочной проволочной конструкции или стекловолокна. При этом проволока или стекловолокно крепится на искусственной коронке и соседних зубах при помощи специального материала. Такой протез является недостаточно прочным, поэтому применяется как временный протез перед имплантацией, либо лишь во фронтальном отделе челюсти.
-
Сколько стоит адгезивный зубной протез?
Адгезивный зубной протез изготавливается из различных материалов: пластмассы, прессованной керамики, диоксида циркония и металлокерамики. Поэтому цена на адгезивный зубной протез может сильно отличаться в зависимости от выбранного материала. Точную стоимость и вид крепления вы сможете определить с нашими докторами на индивидуальной консультации.
-
С помощью чего держится адгезивный зубной протез?
Адгезивный зубной протез крепится к соседним зубам с помощью балки (проволоки) или стекловолокна и специального адгезивного клея. Этот клей разбухает во влажной среде полости рта и надежно фиксирует протез даже при жевательной нагрузке.
Получите каталог услуг Super Smile: цены, этапы лечения и все преимущества в удобном формате

Наши врачи-терапевты
Цены Super Smile
-
Терапия
- Восстановление зуба пломбой, вторичный кариес.
- 10 400 ₽
- Восстановление зуба пломбой, глубокий кариес.
- 10 100 ₽
- Восстановление зуба пломбой, клиновидный дефект.
- 8 800 ₽
- Восстановление зуба пломбой, поверхностный кариес.
- 7 900 ₽
- Восстановление зуба пломбой, реставрация эстетикофункциональная жевательные зубы.
- 12 000 ₽
- Восстановление зуба пломбой, реставрация эстетическая передние зубы.
- 13 500 ₽
- Восстановление зуба пломбой, средний кариес.
- 8 700 ₽
































