Лечение шейки зуба в Санкт-Петербурге
Проблема, которую вы можете заметить сами, без посещения врача — это оголение шейки зуба. В этом месте появляется чувствительность, может появиться пришеечный кариес. Итог: зуб доставляет дискомфорт. Лечение шейки зуба может быть консервативным, если вовремя обратится к врачу.
- Оголился зуб? Лечение можно провести незаметно и качественно в клинике Super Smile!
- Максимальная эстетика вашей улыбки с рассрочкой 0%!
Вы получите детализированный расчёт стоимости без ненужных накруток со стороны стоматолога!
Узнайте, пора ли вам показаться стоматологу!
Ответьте на несколько вопросов, чтобы самостоятельно оценить своё здоровье и получите сертификат от нашей клиники (для новых пациентов)!

Оголение зуба. Лечение.
Признаки того, что оголяются шейки зубов и необходимо лечение:
- повышенная чувствительность зубов (гиперестезия), когда зубы начинают реагировать на химические, механические и температурные раздражители.
- Покраснение и небольшой отек в области оголения зуба.
- Неприятный запах изо рта, если рецессия связана с нарушением гигиены полости рта.
- Боль при надкусывании твердой пищи.
- Кровоточивость десен.
- Появление пришеечного кариеса зуба, лечение которого лучше начать как можно скорее.
- Подвижность зубов.
Стадии развития рецессии:
- легкая: край десны отодвигается не более, чем на 3 мм.
- средняя: край десны смещается на 3-5 мм.
- тяжелая: десна отступает более, чем на 6 мм.
Профилактика при данном заболевании играет ключевую роль и включает в себя:
- регулярные профилактические осмотры и проведение профессиональной гигиены полости рта каждые полгода. Такой подход защитит ваши зубы от образования зубного камня и поможет распознать болезнь на начальной стадии.
- своевременное обращение к специалистам, если вас что-то беспокоит и восстановление отсутствующих зубов.
- правильный подбор средств для домашней гигиены.
- использование зубной нити и межзубных ёршиков для улучшения качества домашней гигиены.
- бережная чистка.
- отказ от курения, так как оно ухудшает кровоснабжение, и зубной налет образуется быстрее.
Какое лечение шейки зуба возможно?
- Терапевтическое лечение зуба около десны необходимо в том случае, если появился пришеечный кариес, или рецессия связана с плохой гигиеной и пародонтитом.
- Ортодонтическое лечение шейки зуба показано при патологическом прикусе.
- Ортопедическое лечение рецессии десны лучше всего проводить на начальных стадиях. Показанием является отсутствие хотя бы одного зуба.
- Хирургический метод лечения оголенного зуба является самым эффективным. Речь идет о пластике десны. Эта микрохирургическая операция проводится путем пересадки собственных тканей пациента с нёба. А при толстом биотипе десны пациента пересадка тканей может и не понадобиться.
Оголение зуба по-другому называется рецессией десны. При этом патологическом состоянии происходит убыль мягких тканей десны, и, соответственно, убыль костной ткани (атрофия). Зуб условно можно разделить на три составляющих: корень, шейка и коронка. Десна также имеет особое строение и состоит из: краевой десны и прикрепленной. Так вот при наличии рецессии зуба, краевая десна «уходит» и происходит оголение шейки зуба. Лечение может быть различным: терапевтическим и хирургическим.
Причины могут быть не только те, что мы описали выше, но и могут быть связаны с бруксизмом (скрип зубами, чаще всего ночью), гормональными нарушениями (беременность, климакс, эндокринные патологии, гормональные бури у подростков), пародонтит или запущенные стадии гингивита.
О стоматологической клинике Super Smile

Клиника Super Smile работает вот уже более 30 лет, а многие наши сотрудники работают вместе более 20 лет, что делает прием у нас комплексным и универсальным. Слаженная командная работа дает отличные результаты, и поэтому многие пациенты возвращаются к нам снова и снова. В своей работе мы используем только новейшие методики лечения зубов, корневых каналов, протезирования и имплантации. Для того, чтобы применять полученные знания на практике, у нас есть современное оборудование.
Мы работаем ради вашего здоровья и высокого качества наших услуг, именно поэтому стоматологическая клиника Super Smile входит в число 100 лучших стоматологических клиник России согласно рейтингам «Коммерсант-Здоровье» и «Start Smile». В 2021 мы вошли в ТОП-10 клиник по версии порталов НаПоправку и ПроДокторов. В 2022 году мы также были удостоены нескольких виртуальных наград и медалей от портала ПроДокторов. Нас рекомендуют своим друзьям и близким, поэтому если вы еще не были у нас, приходите! Мы всегда вам рады!
Доктора клиники Super Smile имеют огромный опыт работы с лечением пришеечного кариеса зуба. Если вы мечтаете о здоровой и красивой улыбке – скорее записывайтесь на первую бесплатную консультацию!
Почему лечение пришеечного кариеса зуба лучше всего провести в клинике Super Smile?
-
Наши доктора комплексно подходят к лечению пришеечного кариеса зуба.
-
В своей работе мы используем различные методики лечения шейки зуба и связанной с этим рецессии и гиперчувствительности.
-
Беспроцентная рассрочка на любые виды лечения!
-
Дентальный микроскоп для визуализации и лечения пришеечного кариеса зуба!
-
Собственный компьютерный томограф для вашего максимального комфорта.
Гарантия лучшего сочетания цена/качество
Оставьте Ваш телефон и в течение 5 минут мы перезвоним Вам, чтобы подобрать лучшее для Вас время посещения центра имплантации Super Smile.
Если оголился зуб, лечение нужно обязательно? И зачем необходимо лечение пришеечного кариеса зуба?
-
Снижение чувствительности зубов
Так как область шейки зуба не защищена эмалью, как дентин в коронковой части, то любые раздражители приносят большой дискомфорт и в итоге вам сложно принимать любую пищу.
-
Сохранение зуба
Если уже оголяются шейки зубов, лечение нужно начинать как можно скорее. В противном случае, вы рискуете остаться без зубов, на тяжелых стадиях они могут просто выпасть.
-
Сохранение социальной активности
Если рецессия вызвана пародонтологическими проблемами, то это сопровождается неприятным запахом изо рта, что мешает комфортному общению с другими людьми.
-
Экономия бюджета
Чем скорее вы начнете заниматься лечением рецессии или пришеечного кариеса, тем дешевле для вас будет лечение. Осложненные состояния лечить гораздо дороже.
-
Экономия времени
Тяжелые случаи рецессии или осложнения пришеечного кариеса в виде пульпита требуют гораздо больше времени на лечение. Экономьте свое время и лечите заболевания на ранних стадиях.
Оголение зуба. Лечение.
-
Первичный осмотр и консультация
При обращении в клинику с жалобами на оголение шейки зуба, лечение начинается только после сбора анамнеза и визуального осмотра полости рта, оценки состояния всех зубов и десен.
-
Диагностические мероприятия
Для более точной постановки диагноза, а также определения стадии заболевания проводят рентгенологическое обследование, осмотр с помощью 3D сканера или дентального микроскопа, оценивают результат и лишь потом назначают дальнейшее лечение.
-
Проведение профессиональной гигиены
Если рецессия десны вызвана нарушением правил гигиены полости рта, то на нашем новом аппарате EMS Profylaxis Master можно провести профессиональную гигиену полости рта, даже если оголение шейки зуба сопровождается повышенной чувствительностью зубов.
-
Лечебные мероприятия
Выбор тактики лечения зависит от причины, которая вызвала оголение зуба. Лечение доктора проводят комплексно, сочетая терапевтический подход с ортопедией, ортодонтией или хирургией. Терапевтическое лечение заключается в препарировании кариозной полости в области шейки зуба (удаление инфицированных тканей), постановке постоянной пломбы, шлифовке и полировке.
-
Ортодонтическое лечение
При рецессии десны, вызванной неправильным прикусом, назначают дополнительные диагностические мероприятия в виде КТ и ТРГ, проводят 3D сканирование полости рта и дальнейшую установку брекет-системы или элайнеров.
-
Ортопедическое лечение
Также сопровождается дополнительной диагностикой, после которой обтачивают опорные зубы, снимают цифровые оттиски (слепки) на 3D сканере и изготавливают коронки или виниры из тех материалов, которые вы с доктором определили.
-
Хирургическое лечение
Если у вас отсутствует зуб, а рецессия десны начинается у тех зубов, которые располагаются рядом с дефектом зубного ряда, то вместо постановки коронок вам также можно рекомендовать проведение операции имплантации. С беспроцентной рассрочкой эта процедура будет очень выгодна.
При значительной убыли десневой ткани проводится метод латерального лоскута. В этом случае часть ткани берется с близлежащего участка десны или неба пациента и пришивается к опущенной десне. Также инновационным является метод использования биологически активных элементов (белковый фермент или другие биоэлементы провоцируют быструю регенерацию и восстанавливают десну, укрепляя при этом корни зубов).
-
Домашнее лечение и соблюдение рекомендаций
В домашних условиях важно соблюдать все меры ежедневной гигиены, можно также дополнить лечение полосканием настоем зверобоя или дубовой коры, специальными ополаскивателями для полости рта. При пародонтите доктор может назначить специальные мази и аппликации. Но самым главным в лечении любого стоматологического заболевания является регулярный осмотр у стоматолога.
Гарантия лучшего сочетания цена/качество
Оставьте Ваш телефон и в течение 5 минут мы перезвоним Вам, чтобы подобрать лучшее для Вас время посещения стоматологии Super Smile.
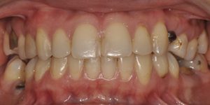
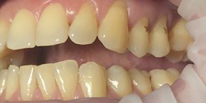
Работы наших специалистов по лечению оголения зуба
А теперь — самое главное:
заботливый системный подход Super Smile

В Super Smile всё начинается с заботы.
Мы не просто лечим зубы — мы сохраняем ваше здоровье и уверенность на долгие годы. Перед лечением мы внимательно обследуем, объясняем каждый шаг и вместе составляем индивидуальный план лечения, где всё продумано — от диагностики до результата. Так вы точно знаете, что происходит, и чувствуете заботу на каждом этапе
Что включает комплексный план лечения?
- Осмотр и консультация специалиста
- Подробный фотопротокол
- Заполнение “зубной формулы” – вашей карты улыбки
- Медицинский план лечения
- Выгодный финансовый план лечения
Почему заботливый и системный подход работает лучше
В Super Smile мы верим, что стоматология должна быть не спешной, а осознанной и внимательной.
Такой подход сохраняет здоровье, экономит средства и помогает сохранить результат на годы вперёд.
| Обычное лечение | Заботливый системный подход Super Smile |
|---|---|
| Посадить пациента в кресло и сразу начать лечение | Сначала выслушать, обследовать, всё объяснить и только потом вместе выбрать лучший путь |
| Начать с самых дорогих процедур, не думая о логике | Продумать план шаг за шагом, чтобы не пришлось что-то переделывать через полгода |
| Предложить один «удобный» вариант и настаивать на нём | Разработать несколько вариантов лечения — по срокам, бюджету и комфорту |
| Передать пациента любому свободному врачу | Собрать команду специалистов, где каждый отвечает за свой этап, а результат — общий |
| Говорить, что бюджет невозможно рассчитать заранее | Составить прозрачный финансовый план и помочь спокойно спланировать расходы |
| Не давать гарантий на работу | Предоставить реальные гарантии на лечение — чтобы вы были уверены в результате и спокойны за свою улыбку |
С заботой — с первого шага
Стоимость индивидуального Плана лечения — всего 0 рублей.
В него входит полное обследование, консультация специалиста и составление медицинского и финансового планов. Отдельно оплачивается 3D снимок для точной диагностики.
Ответы на самые распространенные вопросы
-
В чем особенности адгезивного протезирования зубов?
Адгезивное протезирование зубов — это вид протезирования, который восстанавливает отсутствие одного или двух зубов. Его главным достоинством является то, что не нужно обтачивать соседние от дефекта зубы. Адгезивный протез крепится к соседним зубам с помощью балочной проволочной конструкции или стекловолокна. При этом проволока или стекловолокно крепится на искусственной коронке и соседних зубах при помощи специального материала. Такой протез является недостаточно прочным, поэтому применяется как временный протез перед имплантацией, либо лишь во фронтальном отделе челюсти.
-
Сколько стоит адгезивный зубной протез?
Адгезивный зубной протез изготавливается из различных материалов: пластмассы, прессованной керамики, диоксида циркония и металлокерамики. Поэтому цена на адгезивный зубной протез может сильно отличаться в зависимости от выбранного материала. Точную стоимость и вид крепления вы сможете определить с нашими докторами на индивидуальной консультации.
-
С помощью чего держится адгезивный зубной протез?
Адгезивный зубной протез крепится к соседним зубам с помощью балки (проволоки) или стекловолокна и специального адгезивного клея. Этот клей разбухает во влажной среде полости рта и надежно фиксирует протез даже при жевательной нагрузке.
Получите каталог услуг Super Smile: цены, этапы лечения и все преимущества в удобном формате

Наши врачи-терапевты
Цены Super Smile
-
Терапия
- Восстановление зуба пломбой, вторичный кариес.
- 10 400 ₽
- Восстановление зуба пломбой, глубокий кариес.
- 10 100 ₽
- Восстановление зуба пломбой, клиновидный дефект.
- 8 800 ₽
- Восстановление зуба пломбой, поверхностный кариес.
- 7 900 ₽
- Восстановление зуба пломбой, реставрация эстетикофункциональная жевательные зубы.
- 12 000 ₽
- Восстановление зуба пломбой, реставрация эстетическая передние зубы.
- 13 500 ₽
- Восстановление зуба пломбой, средний кариес.
- 8 700 ₽
























