Лечение ткани зуба в Санкт-Петербурге
Если вас что-то беспокоит в полости рта, зубы реагируют на холодное или горячее, появился неприятный запах, то вам нужно провести лечение ткани зубов. Заболевания твёрдых тканей зубов могут самыми разнообразными, специалист поможет вам с выбором лечения.
- Лечение ткани зубов любой сложности и локализации!
- Беспроцентная рассрочка на любые виды лечения ткани зубов!
Вы получите детализированный расчёт стоимости без ненужных накруток со стороны стоматолога!
Узнайте, пора ли вам показаться стоматологу!
Ответьте на несколько вопросов, чтобы самостоятельно оценить своё здоровье и получите сертификат от нашей клиники (для новых пациентов)!

Лечение ткани зубов, особенности, виды
Поражение твердых тканей зубов может быть самым разнообразным, но в основном, это поражение инфекционное и неинфекционное. К инфекционному процессу можно отнести кариес и его осложнения (пульпит — воспаление «нерва» зуба, периодонтит — воспаление за пределами зуба). К некариозному поражению твердых тканей можно отнести целый ряд заболеваний: клиновидный дефект, патологическая стираемость, гипоплазия и флюороз. Тема лечения ткани зубов, на самом деле очень обширная, поэтому расскажем о каждом заболевании вкратце (подробное описание вы можете найти в других материалах от нашей клиники).
Некариозные поражения твердых тканей зубов:
- Гипоплазия эмали обусловлена нарушением нормального развития зачатков зуба еще до рождения ребенка, происходит нарушение структуры эмали. Выделяют несколько форм: пятнистая, эрозивная, бороздчатая, чашеобразная и полная аплазия эмали (отсутствие эмали).
- Флюороз — это заболевание зубов, которое вызвано переизбытком фтора в организме. По форме может быть: штриховая форма, пятнистая, меловидно-крапчатая, эрозивная и деструктивная.
- Клиновидный дефект образуется в пришеечной области вестибулярной поверхности резцов, клыков, премоляров, реже других зубов. Связан с эндокринными заболеваниями, перегрузкой зубов из-за неправильного прикуса или отсутствия зубов, а также заболеваниями нервной системы. Различается по размерам и глубине поражения зуба.
- Патологическая стираемость характеризуется убылью твердых тканей зубов. Чаще всего связана с заболеваниями нервной системы или с перегрузкой зубов. При этом зубы стираются в сравнительно короткий срок (в отличие от физиологической стираемости, которая длится в течение всей жизни человека).
Какие симптомы говорят нам о том, что пора задуматься о лечении ткани зубов?
- Боль. Если мы говорим о кариесе или его осложнениях, или о лечении сложных зубов с тяжелой формой некариозного поражения, то все они сопровождаются болью на химические или механические раздражители, и отличаются лишь интенсивностью болевых ощущений.
- Повышенная чувствительность зубов. Даже если мы просто вдыхаем холодный воздух, то нас уже могут начать беспокоить зубы, возникает чувство, будто зубы «сводит».
- Нарушение эстетики улыбки. Только начальные формы всех заболеваний твердых тканей зубов можно не заметить, в дальнейшем заболевание прогрессирует и часто становится заметным при разговоре и улыбке.
- Застревание пищи. Если кариозный или любой другой процесс затрагивает контактную поверхность зубов, то там начинает застревать пища, что приносит нам большой дискомфорт.
Кариес — это самый распространенный инфекционный процесс в полости рта, проявляется он под воздействием бактерий и продуктов их жизнедеятельности, которые ослабляют эмаль и постепенно проникают вглубь зуба. Кариес бывает: начальный, средний и глубокий. Как обнаружить у себя кариес? Опираясь на свои жалобы: может появиться боль от кислого/сладкого, холодного/горячего, вы можете заметить темное пятно на зубе, застревание пищи между зубами. Для выявления стоматологических заболеваний обращайтесь к специалистам, не стремитесь самостоятельно найти решение. «Лечение зубов, скачать» в данном случае не получится. Стоматолог выявит заболевание и в качестве лечения запломбирует кариозную полость. Но не всегда мы следуем рекомендациям, и тогда появляются осложнения кариеса: пульпит и периодонтит. В этом случае вас беспокоит сильная, пульсирующая боль, которая не дает спать, есть и вообще вести обычный образ жизни. Лечение сложных зубов: прохождение и пломбирование корневых каналов, постановка постоянной пломбы или ортопедическое лечение при сильном разрушении зуба.
О стоматологической клинике Super Smile

Если вы хотите с пользой и комфортом провести время, то вам в клинику Super Smile. Мы собрали для вас все самое лучшее, что вы можете искать в стоматологии: грамотных опытных врачей, современную технику, новейшие разработки и методики лечения, вежливые администраторы и комплексный подход к решению ваших проблем. Лечение ткани зубов в нашей клинике проводится в сотрудничестве наших докторов, чтобы не просто поставить пломбу, а выявить и убрать первопричину заболевания. Именно поэтому стоматологическая клиника Super Smile входит в число 100 лучших стоматологических клиник России согласно рейтингам «Коммерсант-Здоровье» и «Start Smile».
В 2021 мы вошли в ТОП-10 клиник по версии порталов НаПоправку и ПроДокторов. В 2022 году мы также были удостоены нескольких виртуальных наград и медалей от портала ПроДокторов. Нас рекомендуют своим друзьям и близким, поэтому если вы еще не были у нас, приходите! От нас уходят лишь со счастливыми улыбками!
Доктора клиники Super Smile ежедневно решают задачи по лечению ткани зубов. Если вы мечтаете о здоровой и красивой улыбке – скорее записывайтесь на первую бесплатную консультацию!
Почему лечение ткани зубов лучше всего провести в клинике Super Smile?
-
Наши доктора комплексно подходят к лечению ткани зубов.
-
В своей работе мы используем только лучшие материалы и новейшие методики для лечения сложных зубов.
-
Беспроцентная рассрочка, чтобы вы не просто запломбировали дефект, но и устранили его причину.
-
Дентальный микроскоп для качественного лечения и 100% удаления инфекции.
-
Собственный компьютерный томограф для проведения дифференциальной диагностики и проверки качества лечения.
Гарантия лучшего сочетания цена/качество
Оставьте Ваш телефон и в течение 5 минут мы перезвоним Вам, чтобы подобрать лучшее для Вас время посещения центра имплантации Super Smile.
В чем плюсы лечения ткани зубов?
-
Комфорт
Любые болезненные ощущения в полости рта сказываются на нашем уровне жизни. Поэтому устранение заболеваний в полости рта необходимо проводить как можно скорее. Не дайте вашим зубам испортить вам настроение!
-
Профилактика осложнений
Кариес, некариозные поражения зубов со временем приводят к более серьезным поражениям зубов, так как любые процессы в полости рта не стоят на месте. Не рискуйте, занимайтесь профилактикой!
-
Эстетика улыбки
Клиновидный дефект, патологическая стираемость, кариес, гипоплазия и флюороз заметны при разговоре и улыбке. Пломбирование или ортопедическое лечение зубов избавят вас от стеснения и подарят радость и счастливую улыбку.
-
Сохранение зуба
Многие из заболеваний твердых тканей зубов могут привести к потере зубов, если вовремя не выявить причину и не пройти лечение.
-
Экономия времени и бюджета
При своевременном обращении к врачу и выявлении болезней зубов, вообще лечение выходит дешевле, и времени вы потратите гораздо меньше, чем на лечение сложных зубов.
Как проводится лечение ткани зубов?
-
Первичный осмотр и консультация
Вообще путешествие в мир комфортной стоматологии начинается с первичного посещения врача-стоматолога, который проводит сбор анамнеза заболевания и визуальный осмотр полости рта, оценивает состояние всех зубов и десен.
-
Диагностика
Для более точной постановки диагноза проводят рентгенологическое обследование в виде КТ и ОПТГ, в некоторых случаях используют осмотр с помощью 3D сканера или дентального микроскопа, оценивают результат и лишь потом назначают дальнейшее лечение.
-
Проведение профессиональной гигиены
Любое лечение ткани зубов начинается с проведения профессиональной гигиены. Если вас беспокоит повышенная чувствительность, то в нашей клинике гигиену можно провести на нашем новом аппарате EMS Prophylaxis Master.
-
Терапевтическое лечение
Выбор тактики лечения зависит от причины, которая вызвала появление дефекта твердых тканей зуба. Лечение кариеса или некариозных поражений начинается с проведения анестезии при необходимости и изоляции рабочего поля коффердамом или раббердамом. Далее проводится препарирование кариозной полости или некариозного поражения, то если сошлифлвываются бором все измененные ткани. Затем доктор проводит антисептическую обработку и протравливание дентина и эмали ортофосфорной кислотой. Перед постановкой постоянной пломбы наносится специальный бонд, а затем в полость вносится пломбировочный материал. Некариозные поражения зубов также могут лечиться реминерализующей терапией или медикаментозными препаратами.
-
Ортодонтическое лечение
Если заболевания твердых тканей зубов вызваны патологическим прикусом, то проводят установку брекет-системы или элайнеров.
-
Ортопедическое лечение
При необходимости в ортопедическом лечении, обтачивают опорные зубы, снимают цифровые оттиски (слепки) на 3D сканере и изготавливают коронки или виниры из тех материалов, которые вы с доктором определили.
Гарантия лучшего сочетания цена/качество
Оставьте Ваш телефон и в течение 5 минут мы перезвоним Вам, чтобы подобрать лучшее для Вас время посещения стоматологии Super Smile.
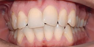
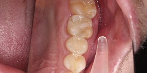
Работы наших специалистов по лечению ткани зуба
А теперь — самое главное:
Заботливый системный подход Super Smile

В Super Smile всё начинается с заботы.
Мы не просто лечим зубы — мы сохраняем ваше здоровье и уверенность на долгие годы. Перед лечением мы внимательно обследуем, объясняем каждый шаг и вместе составляем индивидуальный план лечения, где всё продумано — от диагностики до результата. Так вы точно знаете, что происходит, и чувствуете заботу на каждом этапе
Что включает комплексный план лечения?
- Осмотр и консультация специалиста
- Подробный фотопротокол
- Заполнение “зубной формулы” – вашей карты улыбки
- Медицинский план лечения
- Выгодный финансовый план лечения
Почему заботливый и системный подход работает лучше
В Super Smile мы верим, что стоматология должна быть не спешной, а осознанной и внимательной.
Такой подход сохраняет здоровье, экономит средства и помогает сохранить результат на годы вперёд.
| Обычное лечение | Заботливый системный подход Super Smile |
|---|---|
| Посадить пациента в кресло и сразу начать лечение | Сначала выслушать, обследовать, всё объяснить и только потом вместе выбрать лучший путь |
| Начать с самых дорогих процедур, не думая о логике | Продумать план шаг за шагом, чтобы не пришлось что-то переделывать через полгода |
| Предложить один «удобный» вариант и настаивать на нём | Разработать несколько вариантов лечения — по срокам, бюджету и комфорту |
| Передать пациента любому свободному врачу | Собрать команду специалистов, где каждый отвечает за свой этап, а результат — общий |
| Говорить, что бюджет невозможно рассчитать заранее | Составить прозрачный финансовый план и помочь спокойно спланировать расходы |
| Не давать гарантий на работу | Предоставить реальные гарантии на лечение — чтобы вы были уверены в результате и спокойны за свою улыбку |
С заботой — с первого шага
Стоимость индивидуального Плана лечения — всего 0 рублей.
В него входит полное обследование, консультация специалиста и составление медицинского и финансового планов. Отдельно оплачивается 3D снимок для точной диагностики.
Ответы на самые распространенные вопросы
-
В чем особенности адгезивного протезирования зубов?
Адгезивное протезирование зубов — это вид протезирования, который восстанавливает отсутствие одного или двух зубов. Его главным достоинством является то, что не нужно обтачивать соседние от дефекта зубы. Адгезивный протез крепится к соседним зубам с помощью балочной проволочной конструкции или стекловолокна. При этом проволока или стекловолокно крепится на искусственной коронке и соседних зубах при помощи специального материала. Такой протез является недостаточно прочным, поэтому применяется как временный протез перед имплантацией, либо лишь во фронтальном отделе челюсти.
-
Сколько стоит адгезивный зубной протез?
Адгезивный зубной протез изготавливается из различных материалов: пластмассы, прессованной керамики, диоксида циркония и металлокерамики. Поэтому цена на адгезивный зубной протез может сильно отличаться в зависимости от выбранного материала. Точную стоимость и вид крепления вы сможете определить с нашими докторами на индивидуальной консультации.
-
С помощью чего держится адгезивный зубной протез?
Адгезивный зубной протез крепится к соседним зубам с помощью балки (проволоки) или стекловолокна и специального адгезивного клея. Этот клей разбухает во влажной среде полости рта и надежно фиксирует протез даже при жевательной нагрузке.
Получите каталог услуг Super Smile: цены, этапы лечения и все преимущества в удобном формате

Наши врачи-терапевты
Цены Super Smile
-
Терапия
- Восстановление зуба пломбой, вторичный кариес.
- 10 400 ₽
- Восстановление зуба пломбой, глубокий кариес.
- 10 100 ₽
- Восстановление зуба пломбой, клиновидный дефект.
- 8 800 ₽
- Восстановление зуба пломбой, поверхностный кариес.
- 7 900 ₽
- Восстановление зуба пломбой, реставрация эстетикофункциональная жевательные зубы.
- 12 000 ₽
- Восстановление зуба пломбой, реставрация эстетическая передние зубы.
- 13 500 ₽
- Восстановление зуба пломбой, средний кариес.
- 8 700 ₽






















