Лечение зубов фтором в Санкт-Петербурге
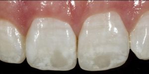
Если своевременно выявить очаги деминерализации или места повышенной чувствительности, то лечение зубов фтором может очень помочь обойтись без сверления зубов. В клинике Super Smile лечение зубов фтором используется в различных клинических ситуациях.
- Лечение зубов фтором без сверления!
- Глубокое фторирование сохранит ваши зубы здоровыми!
Вы получите детализированный расчёт стоимости без ненужных накруток со стороны стоматолога!
Узнайте, пора ли вам показаться стоматологу!
Ответьте на несколько вопросов, чтобы самостоятельно оценить своё здоровье и получите сертификат от нашей клиники (для новых пациентов)!

Как проводят лечение зубов глубоким фторированием?
Метод глубокого фторирования является не только лечебным, но и профилактическим. Фтор глубоко проникает в эмаль зуба, связывается там с ионами кальция и запечатывает пустоты в виде фторида кальция.
Лечение зубов фтором может проводиться несколькими способами:
- употребление воды с повышенным содержанием фтора;
- использование реминерализующих паст со фтором;
- простое фторирование гелями и лаками;
- глубокое фторирование.
В чем плюсы лечения зубов фтором?
- Не нужно сверлить зубы. Начальные стадии кариеса можно вылечить с использованием фтора.
- Снижение чувствительности. Фтор купирует болевой синдром при гиперестезии.
- Профилактика кариеса. Фтор укрепляет эмаль, и не дает бактериям проникнуть вглубь зуба.
- Экономия. Легче предотвратить заболевание, чем лечить его.
Дефекты в наших зубах инфекционной и неинфекционной природы появляются из-за ослабления защитной функции эмали, вымывания с ее поверхности кальция, фосфора и фтора. Процедура глубокого фторирования способна закрыть поры в эмали и предотвратить дальнейшие признаки деминерализации.
О стоматологической клинике Super Smile

Клиника Super Smile специализируется на современных методах лечения и максимальном сохранении тканей ваших зубов, поэтому мы стараемся использовать в работе передовые технологии и комплексно подходить к лечению заболеваний полости рта. Нашу заботу и кропотливый труд отмечаете вы, оставляя отзывы, а также различные ресурсы. Так, с 2016 года стоматологическая клиника Super Smile входит в число 100 лучших стоматологических клиник России согласно рейтингам «Коммерсант-Здоровье» и «Start Smile».
В 2021 мы вошли в ТОП-10 клиник по версии порталов НаПоправку и ПроДокторов. А в ноябре 2022 года мы также были удостоены нескольких виртуальных наград и медалей от портала ПроДокторов и 32top и вошли в ТОП-20 клиник Санкт-Петербурга. Если вы выбираете клинику, то выбирайте лучших!
Доктора клиники Super Smile имеют большой опыт в лечении зубов фтором. За здоровой и красивой улыбкой записывайтесь на первую бесплатную консультацию!
Почему лечение зубов фтором лучше всего провести в клинике Super Smile?
-
Наши доктора уже много лет занимаются профилактикой и лечением зубов фтором.
-
Мы заботимся о состоянии ваших зубов с помощью неинвазивных методик в лечении кариеса.
-
Беспроцентная рассрочка на все виды стоматологических услуг.
-
Аппарат EMS Prophylaxis Master для бережного воздействия на ваши зубы.
-
Собственный компьютерный томограф для проведения качественной диагностики.
Наши видео о лечении зубов
Гарантия лучшего сочетания цена/качество
Оставьте Ваш телефон и в течение 5 минут мы перезвоним Вам, чтобы подобрать лучшее для Вас время посещения центра имплантации Super Smile.
В чем плюсы лечения зубов глубоким фторированием?
-
Сохранение целостности зуба. При использовании глубокого фторирования, не нужно сверлить зубы.
-
Защита зубов. от кариеса и некариозных поражений эмали в виде клиновидного дефекта и эрозии эмали.
-
Увеличивается срок службы ваших пломб. Так как фтор укрепляет не только эмаль, но и пломбировочный материал.
-
Больше свободного времени. Вам не нужно тратить свое время на долгое лечение, просто занимайтесь профилактикой.
-
Устранение гиперестезии. Глубокое фторирование помогает снизить чувствительность зубов.
Этапы лечения зубов глубоким фторированием
-
Первичный осмотр и консультация
Лечение начинается с простого сбора ваших жалоб, анамнеза заболевания, осмотра полости рта с помощью зеркала и зонда, оценки зубов и десен.
-
Диагностика
Для для проведения дифференциальной диагностики вам может быть назначено дополнительное рентгенологическое обследование в виде ОПТГ или КТ.
-
Составление плана лечения
Так как в нашей клинике приветствуется комплексный подход в лечении полости рта, мы составляем для вас полноценный план лечения с выявлением всех существующих проблем.
-
Проведение профессиональной гигиены
Лечение зубов глубоким фторированием начинается в первую очередь с профессиональной гигиены на новейшем оборудовании AirFlow Prophylaxis Master. Это делается для того, чтобы убрать с поверхности зуба все болезнетворные бактерии, которые ведут к образованию кариеса.
-
Высушивание
поверхности зубов
-
Нанесения лечебных составов
Сначала на поверхность зуба наносится гель или жидкость со фторидом кальция и магния. Через 1-2 минуты наносится гидроксид кальция в виде жидкости или геля.
-
Удаление остатков лекарства и рекомендации
Каждому пациенту мы даем персональные рекомендации по подбору средств индивидуальной гигиены полости рта.
Гарантия лучшего сочетания цена/качество
Оставьте Ваш телефон и в течение 5 минут мы перезвоним Вам, чтобы подобрать лучшее для Вас время посещения стоматологии Super Smile.
А теперь — самое главное:
заботливый системный подход Super Smile

В Super Smile всё начинается с заботы.
Мы не просто лечим зубы — мы сохраняем ваше здоровье и уверенность на долгие годы. Перед лечением мы внимательно обследуем, объясняем каждый шаг и вместе составляем индивидуальный план лечения, где всё продумано — от диагностики до результата. Так вы точно знаете, что происходит, и чувствуете заботу на каждом этапе
Что включает комплексный план лечения?
- Осмотр и консультация специалиста
- Подробный фотопротокол
- Заполнение “зубной формулы” – вашей карты улыбки
- Медицинский план лечения
- Выгодный финансовый план лечения
Почему заботливый и системный подход работает лучше
В Super Smile мы верим, что стоматология должна быть не спешной, а осознанной и внимательной.
Такой подход сохраняет здоровье, экономит средства и помогает сохранить результат на годы вперёд.
| Обычное лечение | Заботливый системный подход Super Smile |
|---|---|
| Посадить пациента в кресло и сразу начать лечение | Сначала выслушать, обследовать, всё объяснить и только потом вместе выбрать лучший путь |
| Начать с самых дорогих процедур, не думая о логике | Продумать план шаг за шагом, чтобы не пришлось что-то переделывать через полгода |
| Предложить один «удобный» вариант и настаивать на нём | Разработать несколько вариантов лечения — по срокам, бюджету и комфорту |
| Передать пациента любому свободному врачу | Собрать команду специалистов, где каждый отвечает за свой этап, а результат — общий |
| Говорить, что бюджет невозможно рассчитать заранее | Составить прозрачный финансовый план и помочь спокойно спланировать расходы |
| Не давать гарантий на работу | Предоставить реальные гарантии на лечение — чтобы вы были уверены в результате и спокойны за свою улыбку |
С заботой — с первого шага
Стоимость индивидуального Плана лечения — всего 0 рублей.
В него входит полное обследование, консультация специалиста и составление медицинского и финансового планов. Отдельно оплачивается 3D снимок для точной диагностики.
-
Если у меня повышенная чувствительность зубов, лечение зубов фтором мне поможет?
Да, одним из вариантов лечения повышенной чувствительности зубов являются аппликации фторсодержащих препаратов. Но все же нужно обратить внимание и на первопричину повышенной чувствительности. Может быть, это слишком агрессивная чистка зубов, или перегрузка. Возможно, дефицит микроэлементов и витаминов.
-
Лечение зубов фтором поможет не сверлить зуб, если у меня начальная стадия кариеса?
Да, кариес в стадии пятна, когда еще не образовалась кариозная полость, можно вылечить с помощью глубокого фторирования.
-
А детям можно проводить лечение зубов фтором?
Да, детям с 2х летнего возраста можно проводить аппликации фтора. Раньше в стоматологии активно использовали в этих целях фторлак, который защищал молочные зубы. Сейчас мы проводим фторирование гелями и делаем аппликации фторсодержащих средств.
-
Как часто можно использовать лечение зубов фтором?
Также часто, как вы проводите профессиональную гигиену полости рта. Раз в 6 месяцев будет вполне достаточно. Иногда лечение зубов фтором проводят курсами по несколько визитов. Но с учетом современных препаратов, чаще всего такого подхода не требуется.
Получите каталог услуг Super Smile: цены, этапы лечения и все преимущества в удобном формате

Наши врачи-терапевты
Цены Super Smile
-
Терапия
- Восстановление зуба пломбой, вторичный кариес.
- 10 400 ₽
- Восстановление зуба пломбой, глубокий кариес.
- 10 100 ₽
- Восстановление зуба пломбой, клиновидный дефект.
- 8 800 ₽
- Восстановление зуба пломбой, поверхностный кариес.
- 7 900 ₽
- Восстановление зуба пломбой, реставрация эстетикофункциональная жевательные зубы.
- 12 000 ₽
- Восстановление зуба пломбой, реставрация эстетическая передние зубы.
- 13 500 ₽
- Восстановление зуба пломбой, средний кариес.
- 8 700 ₽
























