Лечение зубов Icon в Санкт-Петербурге
Как сохранить целостность зуба при выявлении начального кариеса? Уникальная методика малоинвазивного лечения позволяет проводить лечение зубов без сверления(препарирования). В клинике Super Smile вы можете воспользоваться такой услугой!
- Лечение зубов без бормашины в клинике Super Smile.
- Максимальное сохранение тканей зуба с новейшей методикой icon.
Вы получите детализированный расчёт стоимости без ненужных накруток со стороны стоматолога!
Узнайте, пора ли вам показаться стоматологу!
Ответьте на несколько вопросов, чтобы самостоятельно оценить своё здоровье и получите сертификат от нашей клиники (для новых пациентов)!

Когда можно провести лечение зубов системой icon?
Система icon состоит из трёх компонентов:
- Icon-Etch, в ее составе соляная кислота, пирогенная кремниевая кислота, поверхностно-активные вещества. Они помогают очистить поверхность эмали и служат вместо препарирования тканей зуба.
- Icon-Dry из 99% этанола для высушивания поверхности эмали.
- Icon-Infiltrant из полимерной матрицы на основе метакрилата. Именно она запечатывает поверхность эмали и не дает распространяться инфекционному процессу.
Какие преимущества лечения кариеса без сверления зубов?
- Полностью сохраняет ткани зуба. В данном случае не используется бормашина, и целостность зуба сохраняется на все 100%.
- Не используется анестезия. Поэтому этот метод показан для лечения беременных женщин, и тех, кто имеет поливалентную аллергию.
- Возможно применение в детском возрасте. Состав системы icon не токсичен, поэтому может использоваться у детей с 3х лет.
- Останавливает кариозный процесс. Инфильтрат система icon останавливает проникновение инфекции дальше в ткани зуба.
Лечение зубов системой icon — это микроинвазивный метод лечения кариеса, когда инфекционный процесс еще не создал кариозную полость на поверхности эмали, а лишь произошла частичная деминерализация эмалевых призм. Лечение зубов системой icon проводится без «сверления», что подходит для тех людей, кто боится звука бормашины. Лечение происходит при помощи полимерного инфильтрующего раствора и специальных инструментов. Система icon застывает на поверхности эмали при помощи ультрафиолета. Большим преимуществом этой системы является бактерицидное действие инфильтрационной смолы.
О стоматологической клинике Super Smile

В клинике Super Smile работают настоящие профессионалы с многолетним стажем. Многие наши доктора трудятся на благо вашего здоровья вот уже больше 20 лет. Несмотря на это, они постоянно повышают свою квалификацию и обучаются новейшим методикам лечения зубов, корневых каналов, протезированию и имплантации. Для поддержания высокого уровня наших услуг мы используем в работе только современные материалы и передовое стоматологическое оборудование.
Мы работаем ради вашего здоровья и постоянно растем профессионально и развиваемся, именно поэтому стоматологическая клиника Super Smile входит в число 100 лучших стоматологических клиник России согласно рейтингам «Коммерсант-Здоровье» и «Start Smile». В 2021 мы вошли в ТОП-10 клиник по версии порталов НаПоправку и ПроДокторов. Если вы до сих пор думаете, что стоматология — это про дискомфорт и страх, то просто приходите в клинику Super Smile, и вы перестанете нас бояться!
Доктора клиники Super Smile имеют огромный опыт работы с лечением зубов айкон. Если вы мечтаете о лечении без препарирования (сверления) – скорее записывайтесь на первую бесплатную консультацию!
Почему лечение зубов системой icon лучше всего провести в клинике Super Smile?
-
Большой опыт наших врачей в работе с лечением зубов без сверления.
-
Современные методы диагностики ранней стадии кариеса.
-
Многочисленные отдаленные результаты лечения зубов без бормашины.
-
Дентальный микроскоп или использование специальной оптики для ещё лучшего качества лечения.
-
Собственный компьютерный томограф, чтобы вы прошли всю диагностику в одном месте.
Наши видео о лечении зубов
Гарантия лучшего сочетания цена/качество
Оставьте Ваш телефон и в течение 5 минут мы перезвоним Вам, чтобы подобрать лучшее для Вас время посещения центра имплантации Super Smile.
Преимущества лечения зубов системой icon.
-
Неинвазивное сохранение здоровья зубов. Лечение кариеса без сверления зубов позволяет сохранить их здоровыми намного дольше, чем после постановки пломбы.
-
Использование у беременных и детей. Это один из немногих методов лечения, который не оказывает токсического действия на организм и не имеет общих противопоказаний.
-
Лечение в одно посещение. В отличие от лечения глубокого кариеса или его осложнений, лечение зубов icon можно провести быстро в одно посещение.
-
Безболезненность. Благодаря лечению зубов без бормашины, лечение совсем безболезненное.
-
Эффективность и эстетика. Достигается не только терапевтический, но и высокий эстетический результат.
Возраст для лечения зубов системой icon:

-
Возраст для лечения зубов системой icon:
Возможно использование с 3х лет.
-
Показания к лечению зубов айкон.
Флюороз легкой и средней степени, кариес в стадии меловидного пятна, кариес эмали, очаги деминерализации, начальный кариес фиссур.
-
Абсолютные противопоказания.
Глубокий или средний кариес; возраст до 3-х лет; при индивидуальной непереносимости препаратов.
-
Относительные противопоказания.
Неудовлетворительная гигиена полости рта; острый катаральный гингивит или стоматит. При наличии одного или нескольких таких противопоказаний вопрос о лечении зубов системой icon решается в индивидуальном порядке.
Этапы лечения зубов системой icon
-
Первичная консультация и осмотр полости рта.
На первичном приёме доктор собирает анамнез заболевания, проводит визуальный осмотр лица, осмотр полости рта с оценкой состояния всех зубов и десен.
-
Проведение необходимой диагностики.
Этот этап может включать рентгенологическую диагностику, использование 3D сканера, дентального микроскопа.
-
Наложение коффердама или раббердама
для изоляции поля для работы.
-
Протравливание поверхности зуба.
На зуб наносится гель Icon-Etch на основе соляной кислоты для удаления поверхностного слоя эмали с плохой проницаемостью. Время воздействия препарата не превышает двух минут.
-
Высушивание этанолом.
Нанесение компонента IconDry позволяет оценить качество удаления меловидных пятен. Если после высыхания поверхности белые очаги сохраняются, гель на основе соляной кислоты наносится повторно. Процедуру протравливания можно повторять до трех раз.
-
Аппликация Icon-Infiltrant.
Наносится в несколько слоев, просушивается лампой в течение трех минут. Для запечатывания пор осуществляется повторное нанесение состава и его выдерживание под лампой одну минуту.
-
Полировка.
Для создания гладкой поверхности, зуб полируется специальными щетками и пастами. Вся процедура занимает не более 30-40 минут.
Гарантия лучшего сочетания цена/качество
Оставьте Ваш телефон и в течение 5 минут мы перезвоним Вам, чтобы подобрать лучшее для Вас время посещения стоматологии Super Smile.
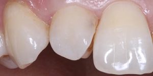
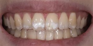
Работы наших специалистов по лечению зубов системой icon
А теперь — самое главное:
заботливый системный подход Super Smile

В Super Smile всё начинается с заботы.
Мы не просто лечим зубы — мы сохраняем ваше здоровье и уверенность на долгие годы. Перед лечением мы внимательно обследуем, объясняем каждый шаг и вместе составляем индивидуальный план лечения, где всё продумано — от диагностики до результата. Так вы точно знаете, что происходит, и чувствуете заботу на каждом этапе
Что включает комплексный план лечения?
- Осмотр и консультация специалиста
- Подробный фотопротокол
- Заполнение “зубной формулы” – вашей карты улыбки
- Медицинский план лечения
- Выгодный финансовый план лечения
Почему заботливый и системный подход работает лучше
В Super Smile мы верим, что стоматология должна быть не спешной, а осознанной и внимательной.
Такой подход сохраняет здоровье, экономит средства и помогает сохранить результат на годы вперёд.
| Обычное лечение | Заботливый системный подход Super Smile |
|---|---|
| Посадить пациента в кресло и сразу начать лечение | Сначала выслушать, обследовать, всё объяснить и только потом вместе выбрать лучший путь |
| Начать с самых дорогих процедур, не думая о логике | Продумать план шаг за шагом, чтобы не пришлось что-то переделывать через полгода |
| Предложить один «удобный» вариант и настаивать на нём | Разработать несколько вариантов лечения — по срокам, бюджету и комфорту |
| Передать пациента любому свободному врачу | Собрать команду специалистов, где каждый отвечает за свой этап, а результат — общий |
| Говорить, что бюджет невозможно рассчитать заранее | Составить прозрачный финансовый план и помочь спокойно спланировать расходы |
| Не давать гарантий на работу | Предоставить реальные гарантии на лечение — чтобы вы были уверены в результате и спокойны за свою улыбку |
С заботой — с первого шага
Стоимость индивидуального Плана лечения — всего 0 рублей.
В него входит полное обследование, консультация специалиста и составление медицинского и финансового планов. Отдельно оплачивается 3D снимок для точной диагностики.
Ответы на самые распространенные вопросы
-
В чем особенности адгезивного протезирования зубов?
Адгезивное протезирование зубов — это вид протезирования, который восстанавливает отсутствие одного или двух зубов. Его главным достоинством является то, что не нужно обтачивать соседние от дефекта зубы. Адгезивный протез крепится к соседним зубам с помощью балочной проволочной конструкции или стекловолокна. При этом проволока или стекловолокно крепится на искусственной коронке и соседних зубах при помощи специального материала. Такой протез является недостаточно прочным, поэтому применяется как временный протез перед имплантацией, либо лишь во фронтальном отделе челюсти.
-
Сколько стоит адгезивный зубной протез?
Адгезивный зубной протез изготавливается из различных материалов: пластмассы, прессованной керамики, диоксида циркония и металлокерамики. Поэтому цена на адгезивный зубной протез может сильно отличаться в зависимости от выбранного материала. Точную стоимость и вид крепления вы сможете определить с нашими докторами на индивидуальной консультации.
-
С помощью чего держится адгезивный зубной протез?
Адгезивный зубной протез крепится к соседним зубам с помощью балки (проволоки) или стекловолокна и специального адгезивного клея. Этот клей разбухает во влажной среде полости рта и надежно фиксирует протез даже при жевательной нагрузке.
Получите каталог услуг Super Smile: цены, этапы лечения и все преимущества в удобном формате

Наши врачи-терапевты
Цены Super Smile
-
Терапия
- Восстановление зуба пломбой, вторичный кариес.
- 10 400 ₽
- Восстановление зуба пломбой, глубокий кариес.
- 10 100 ₽
- Восстановление зуба пломбой, клиновидный дефект.
- 8 800 ₽
- Восстановление зуба пломбой, поверхностный кариес.
- 7 900 ₽
- Восстановление зуба пломбой, реставрация эстетикофункциональная жевательные зубы.
- 12 000 ₽
- Восстановление зуба пломбой, реставрация эстетическая передние зубы.
- 13 500 ₽
- Восстановление зуба пломбой, средний кариес.
- 8 700 ₽































