Мостовидное протезирование зубов в Санкт-Петербурге
Отсутствие одного или нескольких зубов теперь не проблема! В нашей клинике Super Smile мы сможем восстановить вашу улыбку, изготовив мостовидный зубной протез из металлокерамики, диоксида циркония или прессованной керамики, а вы выбираете тот материал, который подойдет именно вам! После визита к нам ваша улыбка станет красивой и яркой, вы сможете комфортно жевать и разговаривать! Мостовидные протезы восстанавливают ваш зубной ряд, и их не нужно снимать!
- Ваша улыбка — это мостик к счастливому будущему!
- Качественно, быстро и доступно!
Вы получите детализированный расчёт стоимости
без ненужных накруток со стороны стоматолога!
Не пора ли вам показаться стоматологу?
Ответьте на несколько вопросов, чтобы самостоятельно оценить своё здоровье и получите сертификат от нашей клиники (для новых пациентов)!

Какие же виды протезирования зубов мостовидными протезами существуют?
Мостовидный протез получил своё название из-за принципа фиксации. При установке он обязательно опирается на два зуба, как настоящий мост, который имеет под собой две опоры. Такая ортопедическая конструкция замещает небольшое количество отсутствующих зубов, не более 3.
Какие достоинства есть у мостовидного протезирования?
- Прочность. Благодаря грамотному распределению жевательной нагрузки такие «мосты» могут выдержать большие жевательное нагрузки;
- Срок службы. Мостовидные зубные протезы будут служить вам долгие годы;
- Простота в уходе. После установки таких протезов вам не нужно ухаживать за ними особенным образом, достаточно обычной чистки зубов 2 раза в день;
- Быстрая адаптация. Буквально через несколько дней вы уже не будете чувствовать, где кончается мостовидный протез и начинаются ваши зубы;
- Универсальность. Мостовидные протезы можно установить в любом отделе зубного ряда.
- Основное различие между мостовидными протезами — это материалы, из которых они изготавливаются.
- Зубной протез из металлокерамики имеет неплохие эстетические свойства, но все же больше подходит для установки в жевательном отделе зубного ряда из-за недостаточной прозрачности;
- Мостовидный протез из диоксида циркония — универсальный вариант для протезирования как фронтальной, так и жевательной группы зубов;
- Металлические мостовидные протезы подходят исключительно для восстановления жевательных зубов;
- Зубные мостовидные протезы из пластмассы тоже лучше устанавливать в жевательном отделе.
Несколько слов о стоматологической клинике Super Smile

В нашей клинике работают настоящие профессионалы своего дела с огромным опытом работы. Наши доктора ежегодно повышают свою квалификацию в рамках общероссийской программы переподготовки врачей, а также участвуя в международных симпозиумах и семинарах.
Клиника Super Smile является одной из передовых клиник Санкт-Петербурга, а также входит в сто самых лучших клиник России. Наш высокий уровень сервиса, новейшее оборудование, многолетний опыт работы делают ваш визит к нам комфортным и эффективным. Наши доктора встретят вас с улыбкой, окутают атмосферой уюта и добра, и вы будете возвращаться к нам снова и снова. Наша клиника больше чем просто стоматология, здесь вы можете получить поддержку, ощутить спокойствие и умиротворение. Мы работаем для вас и ради вас. Доктора клиники Super Smile помогут вам широко улыбаться и радоваться каждому дню!
Специалисты клиники Super Smile имеют огромный опыт работы с мостовидными зубными протезами. Если вы мечтаете об идеальной и ровной улыбке – скорее записывайтесь на первую бесплатную консультацию!
Почему вам стоит выбрать клинику Super Smile, чтобы установить мостовидные зубные протезы в Санкт-Петербурге?
-
Наши специалисты имеют огромный опыт работы с мостовидными зубными протезами;
-
Мы установили более 10 тысяч мостовидных протезов;
-
Мы используем в работе лучшие материалы для изготовления мостовидной металлокерамики;
-
В клинике Super Smile вы сможете выбрать доступный для вас вариант мостовидного протезирования;
-
Комфорт и наивысшее качество с 3D сканером Medit i500;
Гарантия лучшего сочетания цена / качество
Почему стоит выбрать «мост» из металлокерамики для восстановления зубов?
-
Эстетика
Доктора подбирают вместе с вами цвет вашей будущей конструкции с мостовидными зубными протезами, и металлокерамика позволяет сделать вашу улыбку естественной;
-
Цена мостовидных протезов из металлокерамики
более чем доступна;
-
Равномерное распределение жевательной нагрузки;
-
Надежная фиксация
на стоматологический цемент;
-
Профилактика атрофии костной ткани;

- Возраст для установки мостовидных протезов: Рекомендовано не ранее 18-20 лет.
- Показания для установки мостовидных зубных протезов: Дефект зубного ряда. Отсутствие 1-3 зубов возможно восстановить с помощью мостовидного протезирования; Протезирование на имплантах; Отсутствие хотя бы 1 жевательного зуба, так как сразу происходит перегрузка всего зубного ряда; Нарушение эстетики улыбки.
- Абсолютные противопоказания: Мостовидное протезирование противопоказано в следующих случаях: Патологический прикус; системные заболевания крови и нервной системы; эндокринные заболевания; тяжёлая степень заболеваний дёсен; аутоиммунные системные заболевания; злокачественные новообразования.
- Относительные противопоказания к установке мостовидных протезов: Плохая гигиена полости рта; острая стадия гингивита или пародонтита; острая стадия заболеваний височно-нижнечелюстного сустава; беременность или период грудного вскармливания. При наличии одного или нескольких таких противопоказаний постановка мостовидного протеза решается индивидуально.
Какие этапы протезирования зубов мостовидными протезами?
-
Первичный осмотр
На нашей первой встрече мы расскажем вам о будущей процедуре, проведём осмотр полости рта. Вы пройдёте всю необходимую диагностику, и если нужно, проведёте санацию полости рта. При наличии относительных противопоказаний назначим соответствующее лечение.
-
Препарирование (обточка) зубов
На данном этапе врач-стоматолог проводит обточку опорных зубов и изготавливает временные коронки на отпрепарированные зубы.
-
Сканирование интраоральным сканером Medit i500
Этот этап в нашей клинике заменяет традиционное снятие оттисков. Ведь снятие слепков довольно неприятная процедура для любого пациента, а в нашей клинике вы обходитесь без неё.
-
Лабораторный этап
В зуботехнической лаборатории по специальной технологии изготавливают ваш мостовидный протез.
-
Фиксация мостовидного протеза
Доктор снимает временные коронки, подсушивает и обрабатывает опорные зубы, наносит специальный стоматологический цемент и фиксирует мостовидный протез из выбранного вами материала, например, металлокерамики. Иногда сначала протез устанавливают на временный материал, а через какое-то время на постоянный.
-
Рекомендации
После завершения лечения специалисты нашей клиники консультируют вас по уходу за мостовидными протезами и ждут вас на профилактический осмотр раз в 6 месяцев.
-
Рекомендации
После любого протезирования вас приглашают на финальную консультацию, чтобы убедиться в том, что вам комфортно и удобно. Также вам дают рекомендации по уходу за данным видом протеза. И помните, что наша клиника Super Smile ждёт вас на профилактический осмотр раз в 6 месяцев!
Гарантия лучшего сочетания цена/качество
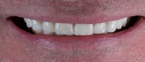
Работы наших специалистов по протезированию частичной потери зубов
А теперь — самое главное:
Заботливый системный подход Super Smile

В Super Smile всё начинается с заботы.
Мы не просто лечим зубы — мы сохраняем ваше здоровье и уверенность на долгие годы. Перед лечением мы внимательно обследуем, объясняем каждый шаг и вместе составляем индивидуальный план лечения, где всё продумано — от диагностики до результата. Так вы точно знаете, что происходит, и чувствуете заботу на каждом этапе
Что включает комплексный план лечения?
- Осмотр и консультация специалиста
- Подробный фотопротокол
- Заполнение “зубной формулы” – вашей карты улыбки
- Медицинский план лечения
- Выгодный финансовый план лечения
Почему заботливый и системный подход работает лучше
В Super Smile мы верим, что стоматология должна быть не спешной, а осознанной и внимательной.
Такой подход сохраняет здоровье, экономит средства и помогает сохранить результат на годы вперёд.
| Обычное лечение | Заботливый системный подход Super Smile |
|---|---|
| Посадить пациента в кресло и сразу начать лечение | Сначала выслушать, обследовать, всё объяснить и только потом вместе выбрать лучший путь |
| Начать с самых дорогих процедур, не думая о логике | Продумать план шаг за шагом, чтобы не пришлось что-то переделывать через полгода |
| Предложить один «удобный» вариант и настаивать на нём | Разработать несколько вариантов лечения — по срокам, бюджету и комфорту |
| Передать пациента любому свободному врачу | Собрать команду специалистов, где каждый отвечает за свой этап, а результат — общий |
| Говорить, что бюджет невозможно рассчитать заранее | Составить прозрачный финансовый план и помочь спокойно спланировать расходы |
| Не давать гарантий на работу | Предоставить реальные гарантии на лечение — чтобы вы были уверены в результате и спокойны за свою улыбку |
С заботой — с первого шага
Стоимость индивидуального Плана лечения — всего 0 рублей.
В него входит полное обследование, консультация специалиста и составление медицинского и финансового планов. Отдельно оплачивается 3D снимок для точной диагностики.
-
Возможно ли изготовить временный съемный протез для 2 зубов, если есть не удаленные корни и удалять их нежелательно, так как в прошлом удаление заканчивалось осложнениями?
Да, мы изготавливаем временные съемные протезы при отсутствии части зубов. Чтобы подобрать их, запишитесь на прием к врачу-стоматологу. -
Подлежит ли реставрации мостовидный протез?
Если мостовидный зубной протез выпал, то, скорее всего, поврежден не столько сам протез, сколько те зубы, на которых он был закреплен. В любом случае ситуация требует консультации врача. -
Почему после протезирования оголяются корни зубов?
Это может быть обусловлено общим состоянием десен, но обычно не связано с протезированием. Протезирование (установку импланта) проводят, когда заболевания десен находятся в стадии ремиссии. Если после протезирования вас беспокоит состояние десен, кровоточивость, болевые ощущения, проконсультируйтесь с врачом. -
Ставят ли на нижнюю челюсть мостовидный протез?
Да. -
Как проводят срочное протезирование зубов?
Срочное протезирование возможно благодаря установке временного несъемного протеза. Выглядит он полностью натурально и эстетично. Такой протез можно установить в день установки имплантов. Срок его службы – до момента полного заживления и установки постоянного протеза.
Получите каталог услуг Super Smile: цены, этапы лечения и все преимущества в удобном формате

Наши врачи
Цены Super Smile
-
Ортопедия
- Восстановление зуба коронкой. Металлокерамическая коронка
- 31 000 ₽
- Протезирование частичными съемными пластиночными протезами, безакриловый протез
- 57 500 ₽






















