Лечение поверхностного кариеса в Санкт-Петербурге
Ошибочно считать, что небольшие пятнышки на зубе лечить не надо и достаточно попить кальций, чтобы это прошло. Увы, друзья, это скорее поверхностный кариес. При поверхностном кариесе лечение не всегда состоит в постановке пломбы. В клинике Super Smile представлены различные варианты лечения.
- Поверхностный кариес лечим без труда!
- Малоинвазивные техники в удалении поверхностного кариеса.
Вы получите детализированный расчёт стоимости без ненужных накруток со стороны стоматолога!
Узнайте, пора ли вам показаться стоматологу!
Ответьте на несколько вопросов, чтобы самостоятельно оценить своё здоровье и получите сертификат от нашей клиники (для новых пациентов)!

Как лечат поверхностный кариес?
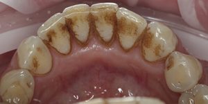
Нужно ли лечить поверхностный кариес? Да, безусловно, нужно, потому что кариес — это инфекция, от которой нужно избавиться, иначе поверхностный кариес превратится в средний или глубокий и будет доставлять массу неприятных ощущений. Стадия поверхностного кариеса проходит чаще всего бессимптомно, разве что может появиться повышенная чувствительность на кислое и сладкое, и вы можете заметить пятнышко на поверхности зуба. Поверхностный кариес по симптомам может давать о себе знать также болезненностью при чистке зубов.
Поверхностную стадию кариеса можно избежать, если заниматься профилактикой, а именно:
- регулярное посещение стоматолога раз в 4-6 месяцев;
- использование дополнительных средств гигиены в виде ирригатора, ершиков и нитей;
- сбалансированное питание.
Как лечат поверхностный кариес?
- Пломбирование. Когда на эмали уже видимый дефект и зондирование поверхностного кариеса болезненное, то ставят постоянную пломбу.
- Система Icon. Это специальная методика малоинвазивного вмешательства, когда пораженный участок эмали «запечатывается» специальным составом, и кариес останавливает свое развитие.
- Реминерализующая терапия. Покрытие поверхностного кариеса реминерализующим гелем или жидкостью.
- Специальные пасты и гели для домашнего использования. Также доктор может назначить вам домой специальные пасты для укрепления эмали в домашних условиях.
Наша полость рта густо населена многочисленными бактериями, поэтому инфекционное поражение зуба может быть как над поверхностью десны, так и под ней, на корне зуба. Такой кариес трудно заметить без помощи врача-стоматолога, поэтому часто пациенты обращаются уже с глубоким кариесом корня зуба. Такой кариес чреват быстрым проникновением в каналы зуба и поражением пульпы («нерва» зуба). Часто такой кариес корня возникает под коронкой, потому что если между коронкой и зубом плохое прилегание, то туда попадает пища, микроорганизмы, и возникает кариес.
О стоматологической клинике Super Smile

Клиника Super Smile специализируется на современных методах лечения и максимальном сохранении тканей ваших зубов, поэтому мы стараемся использовать в работе передовые технологии и комплексно подходить к лечению заболеваний полости рта. Нашу заботу и кропотливый труд отмечаете вы, оставляя отзывы, а также различные ресурсы.
Так, с 2016 года стоматологическая клиника Super Smile входит в число 100 лучших стоматологических клиник России согласно рейтингам «Коммерсант-Здоровье» и «Start Smile». В 2021 мы вошли в ТОП-10 клиник по версии порталов НаПоправку и ПроДокторов. А в ноябре 2022 года мы также были удостоены нескольких виртуальных наград и медалей от портала ПроДокторов и вошли в ТОП-20 клиник Санкт-Петербурга. Если вы выбираете клинику, то выбирайте лучших!
Доктора клиники Super Smile настоящие профессионалы в выявлении и профилактике поверхностного кариеса зубов. За здоровой и красивой улыбкой записывайтесь на первую бесплатную консультацию!
Почему все этапы лечения поверхностного кариеса лучше всего провести в клинике Super Smile?
-
Комплексный решение проблем в полости рта.
-
Малоинвазивные методики в лечении поверхностного кариеса зуба.
-
Беспроцентная рассрочка на все виды стоматологических услуг.
-
Аппарат EMS Prophylaxis Master для бережного воздействия на ваши зубы.
-
Собственный компьютерный томограф для проведения качественной диагностики.
Гарантия лучшего сочетания цена/качество
Оставьте Ваш телефон и в течение 5 минут мы перезвоним Вам, чтобы подобрать лучшее для Вас время посещения центра имплантации Super Smile.
В чем плюсы лечения поверхностного кариеса зубов?
-
Вы сохраняете зуб целым
Поверхностный кариес можно вылечить без препарирования (сверления) полости, если вовремя заметить этот инфекционный процесс.
-
Экономия бюджета
Пройти курс реминерализующей терапии гораздо дешевле лечения глубокого кариеса и его осложнений.
-
Остановка инфекционного процесса
Или скажите «нет» осложнениям. Ведь любая инфекция постепенно проникает внутрь зуба и рано или поздно придется лечить уже не кариес, а пульпит или периодонтит.
-
Ваше время
Время бесценно, и лечение поверхностного кариеса занимает гораздо меньше времени нежели лечение корневых каналов, например.
-
Сохранение здоровья всей полости рта
Если вы пролечите хронический поверхностный кариес, то улучшите здоровье не только полости рта, но и всего тела.
Этапы лечения поверхностного кариеса
-
Первичный осмотр и консультация
Лечение начинается с простого сбора ваших жалоб, анамнеза заболевания, осмотра полости рта с помощью зеркала и зонда, оценки зубов и десен.
-
Диагностика
Для уточнения глубины поражения, для проведения дифференциальной диагностики вам может быть назначено дополнительное рентгенологическое обследование, осмотр полости рта с помощью 3D сканера.
-
Составление плана лечения
Так как в нашей клинике приветствуется комплексный подход в лечении полости рта, мы составляем для вас полноценный план лечения с выявлением всех существующих проблем.
-
Проведение профессиональной гигиены
Лечение поверхностного кариеса зуба начинается в первую очередь с профессиональной гигиены на новейшем оборудовании AirFlow Prophylaxis Master. Это делается для того, чтобы убрать с поверхности зуба все болезнетворные бактерии, которые ведут к образованию кариеса.
-
Изоляция рабочего поля
Наложение коффердама или раббердама, чтобы и вам и доктору было комфортно.
-
Как лечат поверхностный кариес?
Если уже есть видимый дефект эмали с появлением кариозной полости, то эту полость препарируют (сверлят), проводят медикаментозную обработку и ставят постоянную пломбу. Если же дефект лишь в стадии пятна, то поверхность высушивают и покрывают специальными реминерализующими препаратами на основе фтора, кальция и нано-гидроксиапатита. Возможна обработка поверхностного кариеса системой Icon. В ее состав входит специальный гель, который дезинфицирует эмаль и стабилизирует инфекционный процесс.
Гарантия лучшего сочетания цена/качество
Оставьте Ваш телефон и в течение 5 минут мы перезвоним Вам, чтобы подобрать лучшее для Вас время посещения стоматологии Super Smile.
А теперь — самое главное:
заботливый системный подход Super Smile

В Super Smile всё начинается с заботы.
Мы не просто лечим зубы — мы сохраняем ваше здоровье и уверенность на долгие годы. Перед лечением мы внимательно обследуем, объясняем каждый шаг и вместе составляем индивидуальный план лечения, где всё продумано — от диагностики до результата. Так вы точно знаете, что происходит, и чувствуете заботу на каждом этапе
Что включает комплексный план лечения?
- Осмотр и консультация специалиста
- Подробный фотопротокол
- Заполнение “зубной формулы” – вашей карты улыбки
- Медицинский план лечения
- Выгодный финансовый план лечения
Почему заботливый и системный подход работает лучше
В Super Smile мы верим, что стоматология должна быть не спешной, а осознанной и внимательной.
Такой подход сохраняет здоровье, экономит средства и помогает сохранить результат на годы вперёд.
| Обычное лечение | Заботливый системный подход Super Smile |
|---|---|
| Посадить пациента в кресло и сразу начать лечение | Сначала выслушать, обследовать, всё объяснить и только потом вместе выбрать лучший путь |
| Начать с самых дорогих процедур, не думая о логике | Продумать план шаг за шагом, чтобы не пришлось что-то переделывать через полгода |
| Предложить один «удобный» вариант и настаивать на нём | Разработать несколько вариантов лечения — по срокам, бюджету и комфорту |
| Передать пациента любому свободному врачу | Собрать команду специалистов, где каждый отвечает за свой этап, а результат — общий |
| Говорить, что бюджет невозможно рассчитать заранее | Составить прозрачный финансовый план и помочь спокойно спланировать расходы |
| Не давать гарантий на работу | Предоставить реальные гарантии на лечение — чтобы вы были уверены в результате и спокойны за свою улыбку |
С заботой — с первого шага
Стоимость индивидуального Плана лечения — всего 0 рублей.
В него входит полное обследование, консультация специалиста и составление медицинского и финансового планов. Отдельно оплачивается 3D снимок для точной диагностики.
Ответы на самые распространенные вопросы
-
В чем особенности адгезивного протезирования зубов?
Адгезивное протезирование зубов — это вид протезирования, который восстанавливает отсутствие одного или двух зубов. Его главным достоинством является то, что не нужно обтачивать соседние от дефекта зубы. Адгезивный протез крепится к соседним зубам с помощью балочной проволочной конструкции или стекловолокна. При этом проволока или стекловолокно крепится на искусственной коронке и соседних зубах при помощи специального материала. Такой протез является недостаточно прочным, поэтому применяется как временный протез перед имплантацией, либо лишь во фронтальном отделе челюсти.
-
Сколько стоит адгезивный зубной протез?
Адгезивный зубной протез изготавливается из различных материалов: пластмассы, прессованной керамики, диоксида циркония и металлокерамики. Поэтому цена на адгезивный зубной протез может сильно отличаться в зависимости от выбранного материала. Точную стоимость и вид крепления вы сможете определить с нашими докторами на индивидуальной консультации.
-
С помощью чего держится адгезивный зубной протез?
Адгезивный зубной протез крепится к соседним зубам с помощью балки (проволоки) или стекловолокна и специального адгезивного клея. Этот клей разбухает во влажной среде полости рта и надежно фиксирует протез даже при жевательной нагрузке.
Получите каталог услуг Super Smile: цены, этапы лечения и все преимущества в удобном формате

Наши врачи-терапевты
Цены Super Smile
-
Терапия
- Восстановление зуба пломбой, вторичный кариес.
- 10 400 ₽
- Восстановление зуба пломбой, глубокий кариес.
- 10 100 ₽
- Восстановление зуба пломбой, клиновидный дефект.
- 8 800 ₽
- Восстановление зуба пломбой, поверхностный кариес.
- 7 900 ₽
- Восстановление зуба пломбой, реставрация эстетикофункциональная жевательные зубы.
- 12 000 ₽
- Восстановление зуба пломбой, реставрация эстетическая передние зубы.
- 13 500 ₽
- Восстановление зуба пломбой, средний кариес.
- 8 700 ₽




















