Протезирование зубов в рассрочку в Санкт Петербурге
Как позволить себе протезирование? Ведь часто мы находим деньги и время на все, а на зубы все откладываем и откладываем, боясь, что лечение выйдет слишком дорогим, и мы не сможем его себе позволить. Мы позаботились о вас, поэтому в клинике Super Smile вы можете пройти протезирование зубов в рассрочку в спб.
- Не хватает денег на лечение? Оформите рассрочку без процентов в Super Smile!
- Берегите свой семейный бюджет с рассрочкой от Super Smile!
Узнайте, пора ли вам показаться стоматологу!
Ответьте на несколько вопросов, чтобы самостоятельно оценить своё здоровье и получите сертификат от нашей клиники (для новых пациентов)!

В чем заключается протезирование зубов в кредит в спб?
Какие виды протезирования вы можете получить в рассрочку?
- Единичные коронки из металлокерамики, диоксида циркония или прессованной керамики e-max.
- Мостовидные протезы. В тех случаях, когда отсутствует несколько зубов подряд или есть множественное отсутствие зубов, восстановить зубной ряд можно протезом, в котором соединены несколько коронок.
- Коронки на имплантах. В нашей клинике есть рассрочка не только для протезирования, но и для имплантации. Поэтому вы можете не ждать момента, пока накопите на импланты и коронки, а оформить как протезирование зубов в спб в рассрочку, так и саму операцию имплантации.
- Съемные зубные протезы. Видов у таких протезов много, это могут быть как пластинчатые протезы acry-free, так и бюгельные протезы или протезы на телескопических коронках.
Если вам необходимо дорогостоящее протезирование, то в клинике Super Smile вы можете воспользоваться быстрым оформлением рассрочки. Восстановление улыбки винирами или самыми эстетичными коронками из прессованной керамики e-max теперь доступны каждому нашему пациенту. В зависимости от вашей ситуации, прямо у нас в клинике вы можете оформить протезирование зубов в кредит в спб под 0%. То есть мы просто разбиваем всю сумму лечения на несколько месяцев или полгода, и вы ее выплачиваете постепенно.
О стоматологической клинике Super Smile

Клиника Super Smile — это команда настоящих профессионалов, людей, которые влюблены в свою профессию. В нашей клинике главный принцип — это сохранение и улучшение состояния вашего здоровья, поэтому мы решаем проблемы в полости рта комплексно. Когда вы попадаете к нам на прием, мы озвучиваем вам все проблемы в полости рта, чтобы вы могли постепенно их решать.
Мы хотим, чтобы каждый наш пациент мог получить улыбку мечты, поэтому у нас можно оформить беспроцентную рассрочку на ряд услуг. Обращаясь к нам в клинику, вы можете быть уверены, что попали к лучшим из лучших. Ведь вот уже несколько лет подряд клиника Super Smile входит в число 100 лучших стоматологических клиник России согласно рейтингам «Коммерсант-Здоровье» и «Start Smile». В 2021 мы вошли в ТОП-10 клиник по версии порталов НаПоправку и ПроДокторов. Поэтому если вы мечтаете о максимальной эффективности любого вида лечения, то вам в клинику Super Smile!
Доктора клиники Super Smile на постоянной основе занимаются протезированием зубов в рассрочку. Если вы мечтаете об ослепительной улыбке, не ждите – скорее записывайтесь на первую бесплатную консультацию!
Преимущества клиники Super Smile для протезирования зубов в спб в рассрочку
Оставьте Ваш телефон и в течение 5 минут мы перезвоним Вам, чтобы подобрать лучшее для Вас время посещения центра имплантации Super Smile.
Почему стоит выбрать протезирование зубов в кредит в спб?

-
Возраст для протезирования зубов в рассрочку
Рассрочка рекомендована для лиц, старше 18 лет.
-
Показания для протезирования зубов в кредит в спб
коронки на импланты; отсутствие одного или нескольких зубов; полное отсутствие зубов на одной или обеих челюстях; объемные пломбы на фронтальной группе зубов и неудовлетворительная эстетика улыбки; патологическая стираемость I и II степени.
-
Абсолютные противопоказания
Возраст до 18 лет; обострения хронических системных заболеваний, в том числе эндокринных заболеваний, таких как сахарный диабет; обострения психических заболеваний; обострения хронических заболеваний нервной системы; тяжёлые дистрофические или язвенно- некротические заболевания дёсен; злокачественные новообразования в полости рта; патологии височно-нижнечелюстного сустава.
-
Относительные противопоказания
Неудовлетворительная гигиена полости рта; беременность и период лактации; обострение гингивита или стоматита; наличие герпетической инфекции в обострении. При наличии одного или нескольких таких противопоказаний вопрос о протезировании зубов в рассрочку решается в индивидуальном порядке.
Этапы протезирования зубов в рассрочку в Санкт-Петербурге
-
Консультация и диагностика
Самым первым шагом на пути к улыбке вашей мечты будет простая консультация. Доктор проводит визуальный осмотр полости рта, оценивает состояние ваших зубов и десен.
-
Диагностика и сканирование
При необходимости и для составления комплексного плана лечения, доктор направляет вас на диагностические снимки и иногда КТ-диагностику, которые вы можете сделать у нас в клинике В некоторых случаях, в зависимости от ситуации в полости рта, уже на первой консультации проводится интраоральное сканирование ваших зубов.
-
Составление плана лечения и оформление рассрочки
После проведения всех диагностических мероприятий и их оценки, доктор составляет план лечения, а также назначает куратора, который будет помогать вам в прохождении всех процедур перед и во время протезирования, а также поможет с оформлением беспроцентной рассрочки в нашей клинике.
-
Санация полости рта
Проводится при необходимости после оформления всех бумаг и согласования с вами плана лечения. Наши специалисты занимаются лечением кариеса или его осложнений, заболеваний десен, и обязательно проводят профессиональную гигиену полости рта.
-
Протезирование зубов
Данный этап зависит от той конструкции, которую вы с доктором выберите. Если это коронки или виниры, то проводится обточка твердых тканей зубов и дальнейшее снятие силиконовых / альгинатных / чаще цифровых оттисков (слепков). Если это протезирование на имплантах, то оттиски снимаются без предварительной обточки. При съемном протезировании есть свои характерные особенности.
-
Изготовление протезов в зуботехнической лаборатории
Любый вид протезирования изготавливается в специальной лаборатории техниками. В зависимости от конструкции в изготовлении будут свои этапы.
-
Установка протезов в полости рта
Доктор устанавливает полученный протез в вашей полости рта на специальный стоматологический цемент. Первую неделю вы можете ощущать протез в полости рта, это нормально для периода адаптации. При этом вы наслаждаетесь готовой улыбкой! То есть вы сначала получаете готовую работу, а лишь потом платите за неё. С момента сдачи работы начинают действовать все гарантии на наши услуги. Не забывайте о том, что стоматолога нужно посещать раз в 6 месяцев для профилактического осмотра полости рта.
Гарантия лучшего сочетания цена/качество
Оставьте Ваш телефон и в течение 5 минут мы перезвоним Вам, чтобы подобрать лучшее для Вас время посещения стоматологии Super Smile.
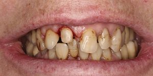
Работы наших специалистов по протезированию зубов в спб в рассрочку
-
Заполните форму ниже
-
Звонок
Мы Вам перезвоним в течение 5 минут и подберём для Вас удобное время визита
-
Лечение
После согласования способа оплаты приступим к лечению
-
Результат
Вы получаете красивые, здоровые зубы
-
Готово!
Ваша улыбка обворожительна!
А теперь — самое главное:
Заботливый системный подход Super Smile

В Super Smile всё начинается с заботы.
Мы не просто лечим зубы — мы сохраняем ваше здоровье и уверенность на долгие годы. Перед лечением мы внимательно обследуем, объясняем каждый шаг и вместе составляем индивидуальный план лечения, где всё продумано — от диагностики до результата. Так вы точно знаете, что происходит, и чувствуете заботу на каждом этапе
Что включает комплексный план лечения?
- Осмотр и консультация специалиста
- Подробный фотопротокол
- Заполнение “зубной формулы” – вашей карты улыбки
- Медицинский план лечения
- Выгодный финансовый план лечения
Почему заботливый и системный подход работает лучше
В Super Smile мы верим, что стоматология должна быть не спешной, а осознанной и внимательной.
Такой подход сохраняет здоровье, экономит средства и помогает сохранить результат на годы вперёд.
| Обычное лечение | Заботливый системный подход Super Smile |
|---|---|
| Посадить пациента в кресло и сразу начать лечение | Сначала выслушать, обследовать, всё объяснить и только потом вместе выбрать лучший путь |
| Начать с самых дорогих процедур, не думая о логике | Продумать план шаг за шагом, чтобы не пришлось что-то переделывать через полгода |
| Предложить один «удобный» вариант и настаивать на нём | Разработать несколько вариантов лечения — по срокам, бюджету и комфорту |
| Передать пациента любому свободному врачу | Собрать команду специалистов, где каждый отвечает за свой этап, а результат — общий |
| Говорить, что бюджет невозможно рассчитать заранее | Составить прозрачный финансовый план и помочь спокойно спланировать расходы |
| Не давать гарантий на работу | Предоставить реальные гарантии на лечение — чтобы вы были уверены в результате и спокойны за свою улыбку |
С заботой — с первого шага
Стоимость индивидуального Плана лечения — всего 0 рублей.
В него входит полное обследование, консультация специалиста и составление медицинского и финансового планов. Отдельно оплачивается 3D снимок для точной диагностики.
Получите каталог услуг Super Smile: цены, этапы лечения и все преимущества в удобном формате

Наши врачи-ортодонты
Цены Super Smile
-
Ортопедия
- Протезирование зуба с использованием имплантата. Коронка из диоксида циркония коронка на имплант Neobiotech
- 59 300 ₽
- Протезирование зуба с использованием имплантата. Коронка из диоксида циркония коронка на имплант Nobel Replace Straumann
- 79 800 ₽
- Протезирование частичными съемными пластиночными протезами
- 48 400 ₽
- Протезирование частичными съемными пластиночными протезами-бюгельный съёмный протез
- 92 200 ₽
- Восстановление зуба коронкой. Металлокерамическая коронка
- 31 000 ₽
- Протезирование частичными съемными пластиночными протезами, безакриловый протез
- 57 500 ₽

























Лечение провела врач-ортопед Шибаева Дарья Андреевна — внимательно, аккуратно и с заботой о результате, который будет радовать пациентку долгие годы.








