Функциональное восстановление зуба в Санкт-Петербурге
Функциональное восстановление зуба — это важный этап в проведении любых лечебных мероприятий в полости рта. Имплантация, протезирование или постановка пломбы должны, в первую очередь, восстанавливать функцию и эстетику зуба. В клинике Super Smile этому уделяется большое количество внимания.
- Восстановите эстетику и функцию ваших зубов в клинике Super Smile.
- Современный подход и высокое качество лечения!
Вы получите детализированный расчёт стоимости без ненужных накруток со стороны стоматолога!
Узнайте, пора ли вам показаться стоматологу!
Ответьте на несколько вопросов, чтобы самостоятельно оценить своё здоровье и получите сертификат от нашей клиники (для новых пациентов)!

Как происходит эстетико- функциональное восстановление зуба?
Прямой метод функционального восстановления зуба — это постановка пломбы. Но в данном случае мы говорим об эстетической реставрации с помощью композитного материала, ведь нам важно восстановить эстетику и структуру зуба. К непрямым методам относятся к микропротезирование (вкладки, полукоронки, виниры) и эстетико-функциональное восстановление зуба коронкой. Такое лечение более длительное, но дает высокие эстетические результаты.
В чем плюсы эстетико-функционального восстановления зуба?
- Высокая эстетика. Все методы направлены на создание естественной структуры зуба.
- Сохранение зуба. Вместо удаления разрушенного зуба, его можно восстановить.
- Устранение инфекции. Любой метод восстановления зуба включает в себя создание здоровой микрофлоры полости рта.
- Восстановление функции. Полноценное участие восстановленного зуба в акте жевания.
Эстетико-функциональное восстановление зуба — это комплекс мер, направленных на создание красивой улыбки и сохранение полноценной функции зубочелюстной системы. Методы функционального восстановления зуба делится на прямые и непрямые.
О стоматологической клинике Super Smile

Клиника Super Smile специализируется на эстетико-функциональном восстановлении зубов. Для этого у нас есть различные методики, большой опыт врачей и современное оборудование. Мы признаны лучшим центром имплантации Санкт-Петербурга по результатам престижной «Европейской Премии в области красоты и здоровья «Аврора». Наша клиника является лауреатом престижных конкурсов “Лучшие медицинские учреждения РФ” и “Лучшие стоматологии РФ”.
Качество лечения в нашей клинике подтверждено экспертами, и мы входим в 100 лучших стоматологических клиник России согласно рейтингам «Коммерсант-Здоровье» и «Start Smile». А благодаря высоким оценкам наших пациентов у нашей клиники рейтинг 5.0 на Яндекс.Картах. Такой высокий рейтинг лишь у еще двух сетевых клиник Санкт-Петербурга. Последние два года мы регулярно входим в ТОП-10 клиник по версии порталов НаПоправку, ПроДокторов и 32top.
В клинике Super Smile опытные специалисты восстановят эстетику и красоту вашей улыбки, а вы получите удовольствие от высокого уровня сервиса и качества наших услуг! Ждем вас, скорее записывайтесь на первую бесплатную консультацию!
Преимущества клиники Super Smile для эстетико-функционального восстановления зуба
-
Специализация на методах восстановления эстетики вашей улыбки.
-
Использование современных методов и комплексного подхода.
-
Интраоральный 3D сканер и дентальный микроскоп для высокого качества услуг.
-
Беспроцентная рассрочка на все виды функционального восстановления зубов.
-
Собственный компьютерный томограф для вашего комфорта и точной диагностики.
Гарантия лучшего сочетания цена/качество
Оставьте Ваш телефон и в течение 5 минут мы перезвоним Вам, чтобы подобрать лучшее для Вас время посещения центра имплантации Super Smile.
Преимущества эстетико-функционального восстановления зуба у специалистов Super Smile
-
Большой выбор методов. Вы можете подобрать для себя любой метод функционального восстановления зуба, исходя из своих пожеланий и бюджета.
-
Уникальные гарантии. На имплантацию и ортодонтическое лечение у нас есть гарантии, которых больше нигде нет.
-
Лучшие материалы. Мы сотрудничаем с передовыми мировыми фирмами производителей стоматологических материалов.
-
Большой багаж знаний и опыта. Наши доктора имеют многолетнюю практику для создания эстетики вашей улыбки.
-
Современный подход. В работе мы используем только передовые технологии.
Этапы эстетико-функционального восстановления зуба
-
Первичный осмотр и консультация.
Ваш визит к стоматологу начинается с беседы сбора анамнеза ваших жалоб и предпочтений в лечении. Для постановки диагноза доктор проводит тщательный осмотр полости рта и оценивает состояние зубов и десен. При необходимости доктор направляет вас на дополнительные диагностические мероприятия.
-
Дополнительная диагностика.
Перед началом лечения важно провести качественную рентгенологическую или КТ-диагностику.
-
Проведение профессиональной гигиены полости рта.
Для создания высокой эстетики будущей реставрации важно очистить зубы и подготовить полость рта. Для этого проводится 4х-этапная профессиональная гигиена полости рта.
-
Проведение анестезии по показаниям и изоляция рабочего поля.
По показаниям проводится анестезия, а зуб, который подлежит восстановлению, изолируется с помощью коффердама или раббердама.
-
Подготовка зуба.
Данный этап включает в себя удаление всех инфицированных тканей, препарирование зуба бором и подготовка зуба под будущую реставрацию. В зависимости от метода эстетико-функционального восстановления зуба происходит дальнейшее лечение. Для композитной реставрации доктор послойно вносит пломбировочный материал в подготовленную полость. При ортопедическом лечении добавляется еще несколько этапов.
-
Снятие оттисков (слепков).
С помощью современных материалов либо с помощью 3D-сканера доктор снимает слепок зубного ряда и передает данные в зуботехническую лабораторию. На время изготовления ортопедической конструкции зуб закрывается временной пломбой или коронкой.
-
Изготовление конструкции.
В зуботехнической лаборатории техник изготавливает конструкцию из прессованной керамики или диоксида циркония.
-
Примерка и фиксация.
Во время второго визита доктор проводит припасовку (примерку) конструкции. Если вы чувствуете себя комфортно, то реставрация фиксируется на жидкий светоотверждаемый композит или композит двойного отверждения. Проводится окончательная полировка, даются рекомендации.
Гарантия лучшего сочетания цена/качество
Оставьте Ваш телефон и в течение 5 минут мы перезвоним Вам, чтобы подобрать лучшее для Вас время посещения стоматологии Super Smile.
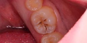
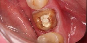
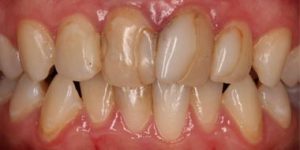
Работы наших специалистов по контактному восстановлению зуба
А теперь — самое главное:
Заботливый системный подход Super Smile

В Super Smile всё начинается с заботы.
Мы не просто лечим зубы — мы сохраняем ваше здоровье и уверенность на долгие годы. Перед лечением мы внимательно обследуем, объясняем каждый шаг и вместе составляем индивидуальный план лечения, где всё продумано — от диагностики до результата. Так вы точно знаете, что происходит, и чувствуете заботу на каждом этапе
Что включает комплексный план лечения?
- Осмотр и консультация специалиста
- Подробный фотопротокол
- Заполнение “зубной формулы” – вашей карты улыбки
- Медицинский план лечения
- Выгодный финансовый план лечения
Почему заботливый и системный подход работает лучше
В Super Smile мы верим, что стоматология должна быть не спешной, а осознанной и внимательной.
Такой подход сохраняет здоровье, экономит средства и помогает сохранить результат на годы вперёд.
| Обычное лечение | Заботливый системный подход Super Smile |
|---|---|
| Посадить пациента в кресло и сразу начать лечение | Сначала выслушать, обследовать, всё объяснить и только потом вместе выбрать лучший путь |
| Начать с самых дорогих процедур, не думая о логике | Продумать план шаг за шагом, чтобы не пришлось что-то переделывать через полгода |
| Предложить один «удобный» вариант и настаивать на нём | Разработать несколько вариантов лечения — по срокам, бюджету и комфорту |
| Передать пациента любому свободному врачу | Собрать команду специалистов, где каждый отвечает за свой этап, а результат — общий |
| Говорить, что бюджет невозможно рассчитать заранее | Составить прозрачный финансовый план и помочь спокойно спланировать расходы |
| Не давать гарантий на работу | Предоставить реальные гарантии на лечение — чтобы вы были уверены в результате и спокойны за свою улыбку |
С заботой — с первого шага
Стоимость индивидуального Плана лечения — всего 0 рублей.
В него входит полное обследование, консультация специалиста и составление медицинского и финансового планов. Отдельно оплачивается 3D снимок для точной диагностики.
Получите каталог услуг Super Smile: цены, этапы лечения и все преимущества в удобном формате

































