Реставрация скола зуба в Санкт-Петербурге
Если у вас откололся зуб, это очень неприятное событие, и поэтому важно как можно скорее провести реставрацию скола зуба. В клинике Super Smile есть различные современные методики по устранению и реставрации скола зуба.
- Новейшие методики в реставрации скола зуба!
- Эстетика вашей улыбки в надежных руках!
Вы получите детализированный расчёт стоимости без ненужных накруток со стороны стоматолога!
Узнайте, пора ли вам показаться стоматологу!
Ответьте на несколько вопросов, чтобы самостоятельно оценить своё здоровье и получите сертификат от нашей клиники (для новых пациентов)!

Особенности восстановления отколовшегося зуба
Скол зуба может быть различным по глубине. Это может быть небольшой скол в пределах эмали, в пределах дентина либо скол зуба, который уходит под десну. Скол зуба может привести к перелому корня тогда зуб нужно удалять. В остальных случаях зуб можно восстановить. Для восстановления применяют терапевтические и ортопедические методы лечения.
В чем плюсы восстановления отколовшегося зуба?
- Профилактика травмы слизистой оболочки полости рта. Острый край отколовшегося зуба может серьезно травмировать слизистую полости рта.
- Сохранение жевательной функции. При наличии сколотого зуба жевать бывает довольно затруднительно.
- Сохранение эстетики. Скол переднего зуба приводит к нарушению эстетической функции вашей улыбки.
- Профилактика осложнений. Скол зуба может привести к появлению травматического пульпита или появлению трещины и перелома зуба.
Терапевтический метод подразумевает постановку пломбы либо художественную реставрацию скола зуба. Под ортопедическим методом подразумевается восстановление отколовшегося зуба вкладкой, виниром или коронкой. Для реставрации скола зуба применяется световой композит, прессованная керамика, диоксид циркония или металлокерамика. Для реставрации скола переднего зуба чаще всего используется прессованная керамика или диоксид циркония.
О стоматологической клинике Super Smile

Клиника Super Smile — это центр эстетической стоматологии. Наша цель — создание красивых улыбок, повышение вашей самооценки и улучшение вашего уровня жизни. Для этого мы используем в своей работе передовые технологии и лучшие материалы, а также комплексно подходим к лечению вашей полости рта. Благодаря такому подходу клиника Super Smile вот уже несколько лет входит в число лучших стоматологических клиник России, а рейтинги 2022 года только подтверждают это.
Мы вошли в 10 лучших клиник Санкт-Петербурга согласно рейтингам «Коммерсант-Здоровье» и «Start Smile». Последние два года мы получили также награды, как топовые клиники Санкт-Петербурга по версии порталов НаПоправку, ПроДокторов и 32top. И наша оценка 5.0 на Яндекс.Картах, такой высокий рейтинг имеет не так много клиник города. Поэтому если вы мечтаете о комфорте и индивидуальном подходе, то вам в клинику Super Smile!
В клинике Super Smile наши опытные специалисты восстановят вашу улыбку, а вы получите удовольствие от высокого уровня сервиса и качества наших услуг! Ждем вас, скорее записывайтесь на первую бесплатную консультацию!
Преимущества клиники Super Smile для восстановления отколовшегося зуба
-
Комплексный подход в лечении заболеваний полости рта.
-
Опыт и профессионализм наших специалистов.
-
Интраоральный 3D-сканер.
-
Беспроцентная рассрочка на все виды стоматологических услуг.
-
Собственный компьютерный томограф для вашего комфорта и точной диагностики.
Гарантия лучшего сочетания цена/качество
Оставьте Ваш телефон и в течение 5 минут мы перезвоним Вам, чтобы подобрать лучшее для Вас время посещения центра имплантации Super Smile.
Преимущества восстановления отколовшегося зуба
-
Профилактика появления инфекции. В некоторых случаях скол может привести к поражению пульпы («нерва») зуба, и чтобы не присоединилась инфекция, важно как можно быстрее восстановить зуб.
-
Восстановление эстетики. Скол переднего зуба приводит к нарушению эстетической функции зубов.
-
Профилактика травм. Скол зуба может травмировать слизистую оболочку и язык.
-
Предотвращение болевых ощущений. Скол зуба может привести к появлению сильной зубной боли.
-
Сохранения вашей уверенности в себе. Ведь так важно не стесняться улыбаться и чувствовать себя комфортно.
Этапы восстановления отколовшегося зуба
-
Первичный осмотр и консультация.
Для того, чтобы провести манипуляции в полости рта, доктор проводит беседу с вами, выявляет анамнез заболевания и жалобы, проводит осмотр полости рта, оценивает состояние зубов и десен.
-
Дополнительная диагностика.
Перед началом лечения важно провести качественную рентгенологическую и КТ-диагностику.
-
Проведение профессиональной гигиены полости рта.
Мы рекомендуем начать лечение с проведения 4х- этапной профессиональной гигиены полости рта.
-
Проведение анестезии по показаниям и изоляция рабочего поля.
По показаниям проводится анестезия, а зуб, который подлежит восстановлению, изолируется с помощью коффердама или раббердама.
-
Проведение реставрации скола зуба.
В зависимости от вида реставрации проводится либо терапевтическое лечение, либо ортопедическое. При терапевтическом лечении проводится удаление инфицированных тканей или подготовка скола к постановке пломбы. Далее доктор послойно наносит пломбировочный материал и «засвечивает» каждый слой. При ортопедическом лечении доктор снимает оттиск (слепок) либо цифровой оттиск (слепок) с поверхности зубного ряда и передает оттиск в зуботехническую лабораторию.
-
Изготовление реставрации в лаборатории.
Техник отливает реставрацию из керамики, диоксида циркония или металла.
-
Припасовка (примерка) готовой конструкции.
Доктор устанавливает готовую конструкцию на поверхность сколотого зуба и проверяет качество смыкания зубов (окклюзии). Если все хорошо, то доктор устанавливает конструкцию на стоматологический цемент или композит.
-
Шлифовка и полировка.
С помощью специальных резиночек и щеточек полученная реставрация шлифуется и полируется. Доктор дает рекомендации.
Гарантия лучшего сочетания цена/качество
Оставьте Ваш телефон и в течение 5 минут мы перезвоним Вам, чтобы подобрать лучшее для Вас время посещения стоматологии Super Smile.
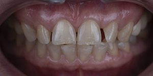
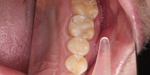
Работы наших специалистов по реставрации скола зуба
А теперь — самое главное:
Заботливый системный подход Super Smile

В Super Smile всё начинается с заботы.
Мы не просто лечим зубы — мы сохраняем ваше здоровье и уверенность на долгие годы. Перед лечением мы внимательно обследуем, объясняем каждый шаг и вместе составляем индивидуальный план лечения, где всё продумано — от диагностики до результата. Так вы точно знаете, что происходит, и чувствуете заботу на каждом этапе
Что включает комплексный план лечения?
- Осмотр и консультация специалиста
- Подробный фотопротокол
- Заполнение “зубной формулы” – вашей карты улыбки
- Медицинский план лечения
- Выгодный финансовый план лечения
Почему заботливый и системный подход работает лучше
В Super Smile мы верим, что стоматология должна быть не спешной, а осознанной и внимательной.
Такой подход сохраняет здоровье, экономит средства и помогает сохранить результат на годы вперёд.
| Обычное лечение | Заботливый системный подход Super Smile |
|---|---|
| Посадить пациента в кресло и сразу начать лечение | Сначала выслушать, обследовать, всё объяснить и только потом вместе выбрать лучший путь |
| Начать с самых дорогих процедур, не думая о логике | Продумать план шаг за шагом, чтобы не пришлось что-то переделывать через полгода |
| Предложить один «удобный» вариант и настаивать на нём | Разработать несколько вариантов лечения — по срокам, бюджету и комфорту |
| Передать пациента любому свободному врачу | Собрать команду специалистов, где каждый отвечает за свой этап, а результат — общий |
| Говорить, что бюджет невозможно рассчитать заранее | Составить прозрачный финансовый план и помочь спокойно спланировать расходы |
| Не давать гарантий на работу | Предоставить реальные гарантии на лечение — чтобы вы были уверены в результате и спокойны за свою улыбку |
С заботой — с первого шага
Стоимость индивидуального Плана лечения — всего 0 рублей.
В него входит полное обследование, консультация специалиста и составление медицинского и финансового планов. Отдельно оплачивается 3D снимок для точной диагностики.
Получите каталог услуг Super Smile: цены, этапы лечения и все преимущества в удобном формате




































