Восстановление режущего края зуба в Санкт-Петербурге
Скол режущего края — это очень неприятное событие, которое резко влияет на нашу улыбку и самоощущение. Поэтому мы стремимся как можно скорее заняться восстановлением режущего края зуба. В клинике Super Smile используются самые передовые технологии по восстановлению режущего края зуба.
- Эстетика вашей улыбки в надежных руках!
- Беспроцентная рассрочка на все виды услуг!
Вы получите детализированный расчёт стоимости без ненужных накруток со стороны стоматолога!
Узнайте, пора ли вам показаться стоматологу!
Ответьте на несколько вопросов, чтобы самостоятельно оценить своё здоровье и получите сертификат от нашей клиники (для новых пациентов)!

Особенности реставрации края зуба
К реставрации края зуба предъявляются повышенные эстетический требования. Такая реставрация должна быть максимально похожа на естественные ткани зуба и быть незаметной при улыбке. В то же время реставрация края зуба испытывает большие жевательные нагрузки, и этот фактор тоже должен отчитываться.
В чем плюсы реставрации края зуба?
- Эстетика. С помощью реставрации края зуба можно быстро восстановить эстетику улыбки.
- Функциональность. После реставрации края зуба вы можете продолжать принимать пищу с комфортом.
- Снижение чувствительности. Скол режущего края может приводить к повышенной чувствительности.
- Профилактика осложнений. Своевременная реставрация края зуба позволяет предотвратить развитие осложнений кариеса или пульпита.
А существует 2 наиболее распространенных варианта восстановления режущего края зуба.
Это композитные реставрации и виниры. Композитные реставрации представляют собой послойное нанесение пломбировочного материала и восстановление режущего края зуба. Виниры изготавливаются в зуботехнической лаборатории. Чаще всего для виниров используется прессованная керамика и диоксид циркония. Эти материалы наиболее эстетичны и обладают мощными прочностными характеристиками.
О стоматологической клинике Super Smile

Если вы хотите комфортного лечения в клинике премиум класса, то вам в стоматологическую клинику Super Smile. У нас вы найдете грамотных специалистов, современное оборудование и новейшие разработки в области эстетической стоматологии. Клиника Super Smile входит в число 100 лучших стоматологических клиник России согласно рейтингам «Коммерсант-Здоровье» и «Start Smile». Мы признаны лучшим центром имплантации Петербурга по результатам престижной «Европейской Премии в области красоты и здоровья «Аврора».
В 2021 и 2022 годах мы вошли в ТОП-10 клиник по версии порталов НаПоправку, ПроДокторов и 32top. В 2022 году мы также были удостоены нескольких виртуальных наград и медалей от портала ПроДокторов. Нас рекомендуют своим друзьям и близким, поэтому если вы еще не были у нас, приходите! От нас уходят лишь со счастливыми улыбками!
В клинике Super Smile наши опытные специалисты восстановят вашу улыбку, а вы получите удовольствие от высокого уровня сервиса и качества наших услуг! Ждем вас, скорее записывайтесь на первую бесплатную консультацию!
Преимущества клиники Super Smile
-
Опыт и практические наработки наших специалистов.
-
Лучшие современные пломбировочные материалы (Estelite Sigma — Япония; Harmonize — США).
-
Интраоральный 3D-сканер Medit i500.
-
Беспроцентная рассрочка для создания вашей красивой улыбки.
-
Собственный компьютерный томограф для вашего комфорта и точной диагностики.
Гарантия лучшего сочетания цена/качество
Оставьте Ваш телефон и в течение 5 минут мы перезвоним Вам, чтобы подобрать лучшее для Вас время посещения центра имплантации Super Smile.
Преимущества восстановления режущего края зуба
-
Вариативность. Вы можете поставить пломбу или использовать виниры.
-
Защита слизистой оболочки полости рта. При реставрации края зуба доктор стачивает острый край и и восстанавливает его.
-
Красота вашей улыбки. Реставрация края зуба возвращает вам эстетику улыбки.
-
Экономия времени. Вы можете восстановить край зуба всего за одно посещение.
-
Естественность. Современные материалы позволяют полностью повторить структуру и цвет вашего естественного зуба.
Этапы восстановления режущего края зуба
-
Первичный осмотр и консультация.
Прежде чем проводить манипуляции в полости рта, доктор проводит беседу с вами, собирает анамнез заболевания и жалобы, проводит осмотр полости рта, оценивает состояние зубов и десен. При необходимости направляет вас на дополнительную диагностику.
-
Дополнительная диагностика.
Перед началом лечения вам может понадобиться дополнительное рентгенологическое обследование или КТ-диагностика.
-
Проведение профессиональной гигиены полости рта.
Для максимально естественного подбора цвета и структуры ваших передних зубов, мы рекомендуем перед началом лечения провести 4х- этапную профессиональную гигиену полости рта.
-
Проведение анестезии по показаниям и изоляция рабочего поля.
По показаниям проводится анестезия, а зуб, который подлежит восстановлению, изолируется с помощью коффердама или раббердама.
-
Подготовка полости зуба.
Доктор препарирует кариозную полость или скол зуба. Если речь идет об изготовлении виниров, то доктор снимает тонкий слой со всей передней поверхности восстанавливаемого зуба.
-
Использование 3D-сканера.
С помощью сканера доктор снимает цифровые оттиски (слепки) и передает данные в зуботехническую лабораторию, где техник из прессованной керамики или диоксида циркония изготавливает тонкие накладки на передние зубы (виниры).
-
Восстановление режущего края зуба.
Если была выбрана композитный реставрация то, пломбировочный материал послойно вносится в подготовленную полость, а каждый слой отдельно «засвечивается» светодиодной лампой. Доктор воссоздает форму и рельеф зуба, а затем шлифует и полирует пломбу. Если реставрация края зуба проводится винирами, то они припасовываются (примеряются) в полости рта и затем фиксируется на жидкий светоотверждаемый композит.
Гарантия лучшего сочетания цена/качество
Оставьте Ваш телефон и в течение 5 минут мы перезвоним Вам, чтобы подобрать лучшее для Вас время посещения стоматологии Super Smile.
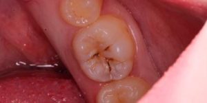
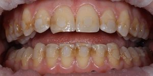
Работы наших специалистов по контактному восстановлению зуба
А теперь — самое главное:
Заботливый системный подход Super Smile

В Super Smile всё начинается с заботы.
Мы не просто лечим зубы — мы сохраняем ваше здоровье и уверенность на долгие годы. Перед лечением мы внимательно обследуем, объясняем каждый шаг и вместе составляем индивидуальный план лечения, где всё продумано — от диагностики до результата. Так вы точно знаете, что происходит, и чувствуете заботу на каждом этапе
Что включает комплексный план лечения?
- Осмотр и консультация специалиста
- Подробный фотопротокол
- Заполнение “зубной формулы” – вашей карты улыбки
- Медицинский план лечения
- Выгодный финансовый план лечения
Почему заботливый и системный подход работает лучше
В Super Smile мы верим, что стоматология должна быть не спешной, а осознанной и внимательной.
Такой подход сохраняет здоровье, экономит средства и помогает сохранить результат на годы вперёд.
| Обычное лечение | Заботливый системный подход Super Smile |
|---|---|
| Посадить пациента в кресло и сразу начать лечение | Сначала выслушать, обследовать, всё объяснить и только потом вместе выбрать лучший путь |
| Начать с самых дорогих процедур, не думая о логике | Продумать план шаг за шагом, чтобы не пришлось что-то переделывать через полгода |
| Предложить один «удобный» вариант и настаивать на нём | Разработать несколько вариантов лечения — по срокам, бюджету и комфорту |
| Передать пациента любому свободному врачу | Собрать команду специалистов, где каждый отвечает за свой этап, а результат — общий |
| Говорить, что бюджет невозможно рассчитать заранее | Составить прозрачный финансовый план и помочь спокойно спланировать расходы |
| Не давать гарантий на работу | Предоставить реальные гарантии на лечение — чтобы вы были уверены в результате и спокойны за свою улыбку |
С заботой — с первого шага
Стоимость индивидуального Плана лечения — всего 0 рублей.
В него входит полное обследование, консультация специалиста и составление медицинского и финансового планов. Отдельно оплачивается 3D снимок для точной диагностики.
Получите каталог услуг Super Smile: цены, этапы лечения и все преимущества в удобном формате




























