Восстановление зуба матрицей в Санкт-Петербурге
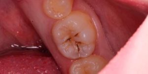
Контактная поверхность зубов наиболее часто поражается кариесом, потому что именно там происходит скопление налета. При лечении кариеса с такой локализации врачи применяют восстановление зуба матрицей. В клинике Super Smile используются самые современные методы лечения.
- Качество, которое подтверждено экспертами!
- Рассрочка под 0% для вашей счастливой улыбки!
Вы получите детализированный расчёт стоимости без ненужных накруток со стороны стоматолога!
Узнайте, пора ли вам показаться стоматологу!
Ответьте на несколько вопросов, чтобы самостоятельно оценить своё здоровье и получите сертификат от нашей клиники (для новых пациентов)!

Что такое матрица для пломбы зуба?
Матрица для пломбы зуба — это пластинки или кольца из различных материалов, которые применяются для реставрации контактной поверхности зубов. Матрицы различаются по виду материала, из которого они изготовлены:
металлические (титан, нержавеющая сталь), полимерные (лавсан, полиэстер) и комбинированные.
В чем плюсы использования матрицы для пломба зуба?
- Правильное распределение жевательного давления. Так зуб не подвергается чрезмерной нагрузке.
- Сохранение здоровья пародонта. Именно контактный пункт способствуют сохранению здоровья тканей, окружающих зуб.
- Создание правильного контакта между зубами, тогда не будет забиваться пища при жевании.
- Ровная поверхность на контактной поверхности между зубами.
Также матрицы могут быть разные по форме: плоские, рельефные и контурные (с выпуклостью для формирования контактного пункта), и, конечно, они разные по размеру в зависимости от группы зубов, для которой они используются. Для удерживания матриц в межзубных промежутках используются матрицедержатели ( специальная конструкция из металла с винтом для удержания матрицы), кольца и встроенные фиксаторы, а также специальные клинышки из дерева или пластмассы, которые формируют небольшой треугольник у десны между зубами.
О стоматологической клинике Super Smile

В клинике Super Smile вы можете найти грамотных специалистов, чей уровень профессионализма и экспертности подтвержден многочисленными положительными отзывами и различными наградами. Super Smile — это клиника нового поколения, который оснащена самым современным оборудованием. Мы входим в 100 лучших стоматологических клиник России согласно рейтингам «Коммерсант-Здоровье» и «Start Smile».
А благодаря высоким оценкам наших пациентов у нашей клиники рейтинг 5.0 на Яндекс.Картах. Такой высокий рейтинг лишь у еще двух сетевых клиник Санкт-Петербурга. Последние два года мы регулярно входим в ТОП-10 клиник по версии порталов НаПоправку, ПроДокторов и 32top, поэтому вы можете доверить нам здоровье и создание красоты вашей улыбки.
В клинике Super Smile наши опытные специалисты восстановят вашу улыбку, а вы получите удовольствие от высокого уровня сервиса и качества наших услуг! Ждем вас, скорее записывайтесь на первую бесплатную консультацию!
Преимущества клиники Super Smile для восстановления зуба матрицей
-
Современные методики применения матрицы для пломбы зуба.
-
Качественные материалы, которые являются лучшими на рынке стоматологии.
-
Интраоральный 3D сканер и другая современная стоматологическая техника.
-
Беспроцентная рассрочка на все виды стоматологических услуг.
-
Собственный компьютерный томограф для вашего комфорта и точной диагностики.
Гарантия лучшего сочетания цена/качество
Оставьте Ваш телефон и в течение 5 минут мы перезвоним Вам, чтобы подобрать лучшее для Вас время посещения центра имплантации Super Smile.
Преимущества использования матрицы для пломбы зуба
-
Сохранение функции зуба. Контактный пункт способствует правильной жевательной функции зуба.
-
Профилактика травмы слизистой оболочки. С помощью матрицы создается правильный контактный пункт, которая защищает слизистую от травмирования во время жевания.
-
Профилактика осложнений. При использовании матрицы удаляются все инфицированные ткани зуба.
-
Эстетика. Матрицы позволяют сделать красивую контактную поверхность между зубами.
-
Универсальность. Матрицы помогают восстановить контакты для любой группы зубов.
Этапы восстановления зуба матрицей
-
Первичный осмотр и консультация.
Для того, чтобы провести манипуляции в полости рта, доктор проводит беседу с вами, выявляет анамнез заболевания и жалобы, проводит осмотр полости рта, оценивает состояние зубов и десен.
-
Дополнительная диагностика.
Перед началом лечения обязательно важно провести качественную рентгенологическую или КТ-диагностику.
-
Проведение профессиональной гигиены полости рта.
Желательно перед началом лечения провести 4х-этапную профессиональную гигиену полости рта.
-
Проведение анестезии по показаниям и изоляция рабочего поля.
По показаниям проводится анестезия, а зуб, который подлежит восстановлению, изолируется с помощью коффердама или раббердама.
-
Препарирование кариозной полости.
Если дефект был вызван образованием кариеса или его осложнениями, то доктор убирает все инфицированные ткани бором, или снимает старую пломбу и обрабатывает полученную поверхность. Проводится антисептическое обработка полости.
-
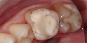
Восстановление зуба матрицей.
Установка матриц, специальных колец и клиньев для плотного прилегания конструкции, послойное внесение пломбировочного материала в подготовленную полость. Каждый слой полимеризуется отдельно. После восстановления контактного пункта матрицы снимаются.
-
Шлифовка и полировка реставрации.
Специальными полировочными головками, резиночками и щеточками с использованием пасты поверхность реставрации шлифуется и полируется. Для полировки контактного пункта используются специальные полировочные штрипсы.
Гарантия лучшего сочетания цена/качество
Оставьте Ваш телефон и в течение 5 минут мы перезвоним Вам, чтобы подобрать лучшее для Вас время посещения стоматологии Super Smile.
А теперь — самое главное:
Заботливый системный подход Super Smile

В Super Smile всё начинается с заботы.
Мы не просто лечим зубы — мы сохраняем ваше здоровье и уверенность на долгие годы. Перед лечением мы внимательно обследуем, объясняем каждый шаг и вместе составляем индивидуальный план лечения, где всё продумано — от диагностики до результата. Так вы точно знаете, что происходит, и чувствуете заботу на каждом этапе
Что включает комплексный план лечения?
- Осмотр и консультация специалиста
- Подробный фотопротокол
- Заполнение “зубной формулы” – вашей карты улыбки
- Медицинский план лечения
- Выгодный финансовый план лечения
Почему заботливый и системный подход работает лучше
В Super Smile мы верим, что стоматология должна быть не спешной, а осознанной и внимательной.
Такой подход сохраняет здоровье, экономит средства и помогает сохранить результат на годы вперёд.
| Обычное лечение | Заботливый системный подход Super Smile |
|---|---|
| Посадить пациента в кресло и сразу начать лечение | Сначала выслушать, обследовать, всё объяснить и только потом вместе выбрать лучший путь |
| Начать с самых дорогих процедур, не думая о логике | Продумать план шаг за шагом, чтобы не пришлось что-то переделывать через полгода |
| Предложить один «удобный» вариант и настаивать на нём | Разработать несколько вариантов лечения — по срокам, бюджету и комфорту |
| Передать пациента любому свободному врачу | Собрать команду специалистов, где каждый отвечает за свой этап, а результат — общий |
| Говорить, что бюджет невозможно рассчитать заранее | Составить прозрачный финансовый план и помочь спокойно спланировать расходы |
| Не давать гарантий на работу | Предоставить реальные гарантии на лечение — чтобы вы были уверены в результате и спокойны за свою улыбку |
С заботой — с первого шага
Стоимость индивидуального Плана лечения — всего 0 рублей.
В него входит полное обследование, консультация специалиста и составление медицинского и финансового планов. Отдельно оплачивается 3D снимок для точной диагностики.
-
Зачем используется матрица для зубов для пломбирования?
Матрица для зубов для пломбирования используется для создания правильного контактного пункта между зубами. Контактный пункт служит для правильного распределения жевательного давления и для защиты тканей десны. Если не создать правильную контактную поверхность между зубами, то туда будет забиваться пищи во время жевания, это будет способствовать постоянной травме тканей пародонта и развитию заболеваний десен и зубов.
-
Какие бывают матрицы для зубов для пломбирования?
В основном, матрицы для зубов для пломбирования различаются по материалу. Они бывают металлические и полимерные. Также матрицы различаются по размеру. Небольшие матрицы используются для восстановления контактного пункта на фронтальной группе зубов, а более широкие объемные матрицы способствуют созданию правильной контактной поверхности на жевательных зубах.
Получите каталог услуг Super Smile: цены, этапы лечения и все преимущества в удобном формате




















