Восстановление зуба на штифте в Санкт-Петербурге
Восстановление зуба на штифте — выбор пациентов, которым срочно нужно восстановить форму зуба, и нет возможности ждать изготовления вкладки или коронки. Такую услугу вы можете получить в клинике Super Smile.
- Восстановление зуба на штифте быстро в одно посещение!
- Не спешите удалять зуб! Приходите на консультацию!
Вы получите детализированный расчёт стоимости без ненужных накруток со стороны стоматолога!
Узнайте, пора ли вам показаться стоматологу!
Ответьте на несколько вопросов, чтобы самостоятельно оценить своё здоровье и получите сертификат от нашей клиники (для новых пациентов)!

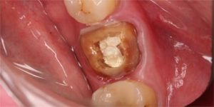
Как происходит восстановление коронки зуба штифтом?
В тех случаях, когда зуб разрушен более 50%, просто пломбу поставить нельзя. И тогда доктор «наращивает» зуб, используя различные штифты. Такие штифты крепятся в корневом канале, а сверху ставится пломба. Штифты могут быть пассивные и активные. Активные имеют на своей поверхности резьбу, благодаря которой они ввинчиваются в дентин корня зуба. Пассивные держатся в корне зуба просто с помощью цемента.
В чем плюсы реставрации зуба штифтом?
- Быстрое восстановление эстетики. Если у вас нет времени на изготовление коронки, то реставрация зуба со штифтом поможет решить проблему.
- Гипоаллергенность. Штифты изготавливаются из материалов, которые не вызывают аллергии.
- Профилактика скола стенки зуба. Пломба зуба со штифтом служит отличной опорой для тонких стенок.
- Сохранение зуба. Установка штифта позволяет продлить жизнь вашему собственному зубу.
Также штифты различаются по материалам, из которых изготавливаются. Это могут быть анкерные штифты из титана или золота и платины, углеродоволокнистые и стекловолоконные штифты. Последние обеспечивают оптимальное распределение жевательного давления по всей поверхности корня зуба, и чаще всего используются в современной стоматологии.
О стоматологической клинике Super Smile

Клиника Super Smile — это целая команда специалистов! В нашей клинике есть персональные кураторы, опытные доктора, современная техника, уникальные гарантии на лечение — все для вашего комфорта и сохранения здоровья! Именно поэтому клиника Super Smile входит в 100 лучших стоматологических клиник России согласно рейтингам «Коммерсант-Здоровье» и «Start Smile».
А благодаря высоким оценкам наших пациентов у нашей клиники рейтинг 5.0 на Яндекс.Картах. Последние два года мы регулярно входим в ТОП-10 клиник по версии порталов НаПоправку, ПроДокторов и 32top, поэтому вы смело можете доверить нам восстановление своей улыбки и сохранение здоровья всей полости рта!
В клинике Super Smile вас ждет высокий уровень сервиса, а также вы можете выбрать любой метод реставрации зуба штифтом. Ждем вас, скорее записывайтесь на первую бесплатную консультацию!
Преимущества клиники Super Smile для восстановления коронки зуба штифтом
-
Большой опыт наших докторов.
-
Индивидуальный подход и качественные материалы.
-
Дентальный микроскоп и использование специальной оптики для наилучшего качества лечения.
-
Беспроцентная рассрочка на все виды стоматологических услуг.
-
Собственный компьютерный томограф и другое современное оборудование для сверхточной диагностики!
Гарантия лучшего сочетания цена/качество
Оставьте Ваш телефон и в течение 5 минут мы перезвоним Вам, чтобы подобрать лучшее для Вас время посещения центра имплантации Super Smile.
Преимущества реставрации зуба штифтом у наших специалистов
-
Эффективность лечения. Наши доктора сохранят ваш зуб с помощью восстановления зуба на штифте.
-
Универсальность метода. Реставрацию зуба со штифтом можно провести и на передних, и на жевательных зубах.
-
Долговечность. Стекловолоконные штифты служат очень долго, а анкерные штифты не поддаются коррозии.
-
Равномерное распределение жевательного давления, поэтому зуб сохранит все свои функции.
-
Быстрота данного лечения. В отличие от ортопедического восстановления зуба, реставрация зуба штифтом проводится в одно посещение.
Этапы восстановления коронки зуба штифтом
-
Первичный осмотр и консультация.
Для того, чтобы провести манипуляции в полости рта, доктор проводит беседу с вами, выявляет анамнез заболевания и жалобы, проводит осмотр полости рта, оценивает состояние зубов и десен.
-
Дополнительная диагностика.
Рентгенологическое исследование, КТ-диагностика проводится по показаниям.
-
Проведение профессиональной гигиены полости рта.
Прежде чем восстанавливать зуб на штифте, важно провести тщательную чистку полости рта. Для этого мы используем 4-х этапную профессиональную гигиену.
-
Проведение анестезии при необходимости.
Если зуб «не живой», и корневые каналы были ранее пролечены, то для проведения анестезии показаний нет.
-
Проведение эндодонтического лечения.
Если корневые каналы ранее не лечились, то доктор проводит механическую обработку корневых каналов (желательно с использованием дентального микроскопа), антисептическую обработку, обтурацию (пломбирование) корневых каналов.
-
Распломбировка корневого канала.
На определенную длину подготовленный корневой канал распломбировывается для установки штифта.
-
Установка штифта в корневой канал.
Активный штифт ввинчивается в ткани корневого канала, а стекловолоконный пассивный штифт устанавливается с помощью стоматологического цемента.
-
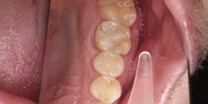
Проведение реставрации зуба со штифтом.
Последним этапом в лечении является восстановление пломбировочным материалом самого зуба. После восстановления формы зуба проводится шлифовка и полировка пломбы.
Гарантия лучшего сочетания цена/качество
Оставьте Ваш телефон и в течение 5 минут мы перезвоним Вам, чтобы подобрать лучшее для Вас время посещения стоматологии Super Smile.
А теперь — самое главное:
Заботливый системный подход Super Smile

В Super Smile всё начинается с заботы.
Мы не просто лечим зубы — мы сохраняем ваше здоровье и уверенность на долгие годы. Перед лечением мы внимательно обследуем, объясняем каждый шаг и вместе составляем индивидуальный план лечения, где всё продумано — от диагностики до результата. Так вы точно знаете, что происходит, и чувствуете заботу на каждом этапе
Что включает комплексный план лечения?
- Осмотр и консультация специалиста
- Подробный фотопротокол
- Заполнение “зубной формулы” – вашей карты улыбки
- Медицинский план лечения
- Выгодный финансовый план лечения
Почему заботливый и системный подход работает лучше
В Super Smile мы верим, что стоматология должна быть не спешной, а осознанной и внимательной.
Такой подход сохраняет здоровье, экономит средства и помогает сохранить результат на годы вперёд.
| Обычное лечение | Заботливый системный подход Super Smile |
|---|---|
| Посадить пациента в кресло и сразу начать лечение | Сначала выслушать, обследовать, всё объяснить и только потом вместе выбрать лучший путь |
| Начать с самых дорогих процедур, не думая о логике | Продумать план шаг за шагом, чтобы не пришлось что-то переделывать через полгода |
| Предложить один «удобный» вариант и настаивать на нём | Разработать несколько вариантов лечения — по срокам, бюджету и комфорту |
| Передать пациента любому свободному врачу | Собрать команду специалистов, где каждый отвечает за свой этап, а результат — общий |
| Говорить, что бюджет невозможно рассчитать заранее | Составить прозрачный финансовый план и помочь спокойно спланировать расходы |
| Не давать гарантий на работу | Предоставить реальные гарантии на лечение — чтобы вы были уверены в результате и спокойны за свою улыбку |
С заботой — с первого шага
Стоимость индивидуального Плана лечения — всего 0 рублей.
В него входит полное обследование, консультация специалиста и составление медицинского и финансового планов. Отдельно оплачивается 3D снимок для точной диагностики.
-
Зачем использовать штифт при пломбировании зуба?
Штифт при пломбировании зуба используется для укрепления пломбы. Штифт удерживает пломбировочный материал в полости зуба, а также способствует равномерному распределению жевательного давления на стенки и корень зуба. С помощью штифта доктор может быстро восстановить эстетику улыбки, если произошел перелом коронки зуба или выпала пломба.
-
В чем особенности реставрации зуба со стекловолоконным штифтом?
Главной отличительной чертой стекловолоконных штифтов является то, что они очень крепкие и схожи по своим свойствам с собственным дентином корня зуба. Поэтому реставрации зуба со стекловолоконным штифтом держатся долго. Плюс работы с таким штифтом — он легко устанавливаются и достается при необходимости. Благодаря тому, что стекловолоконный штифт белого цвета, то его можно использовать при реставрации передних зубов штифтом.
-
Как проходит восстановление переднего зуба штифтом?
Если зуб не был ранее депульпирован (то есть не проводилось лечение корневых каналов), то сначала доктор проводит эндодонтическое лечение. То есть доктор проводит анестезию, создает доступ к корневому каналу, очищает корневые каналы с помощью специальных инструментов и проводит антисептическую обработку и пломбирование корневого канала. В следующее посещение доктор распломбировывает корневой канал на ⅓ или ⅔ и устанавливает стекловолоконный штифт с помощью специального стоматологического цемента. Если зуб ранее был пролечен, то доктор сразу распломбировывает корневой канал и ставит штифт. Далее проводится реставрация зуба со штифтом, подбирается цвет пломбировочного материала под цвет ваших зубов, восстанавливается форма зуба, шлифовка и полировка.
Получите каталог услуг Super Smile: цены, этапы лечения и все преимущества в удобном формате





















