Восстановление зуба после эндодонтического лечения в Санкт-Петербурге
Восстановление зуба после эндодонтического лечения — это большой арсенал манипуляций, которые направлены на восстановление функции и эстетики зуба. Доктора клиники Super Smile применяют различные методики и материалы для постэндодонтического восстановления зубов.
- Грамотный подход в выборе лечения!
- Беспроцентная рассрочка для красоты вашей улыбки!
Вы получите детализированный расчёт стоимости
без ненужных накруток со стороны стоматолога!
Узнайте, пора ли вам показаться стоматологу!
Ответьте на несколько вопросов, чтобы самостоятельно оценить своё здоровье и получите сертификат от нашей клиники (для новых пациентов)!

Как происходит восстановление зуба после эндодонтического лечения?
Есть несколько методов постэндодонтического восстановления зуба. Их можно разделить на прямые и непрямые. К прямому методу реставрации зубов после эндодонтического лечения относится восстановление зуба композитным светоотверждаемым материалом. Но предпочтительнее использовать непрямой метод лечения. Коронка или вкладка лучше защитят зуб после лечения корневых каналов. Для изготовления коронки или вкладки используются такие материалы, как прессованная керамика, диоксид циркония или металлокерамика.
В чем плюсы реставрации зубов после эндодонтического лечения?
- Сохранение зуба. Вместо удаления разрушенного зуба, его можно восстановить.
- Экономия бюджета. Поставить пломбу или коронку дешевле постановки импланта или целого протеза.
- Восстановление эстетики. Ваш зуб будет выглядеть естественно и красиво.
- Профилактика осложнений. Эндодонтическое лечение подразумевает удаление инфекции из корневых каналов, а значит, профилактику дальнейших осложнений.
Особенностью эндодонтического лечения является то, что при этом уходит большой объем твердых тканей зуба. Те ткани, что остались, становятся хрупкими из-за недостатка питания зуба. Поэтому важно грамотно подобрать метод восстановления зуба после эндодонтического лечения.
О стоматологической клинике Super Smile

В клинике Super Smile вы можете найти комплексный подход в лечении стоматологических заболеваний. В нашей клинике работает целая команда специалистов, которая поэтапно восстановит ваш зуб. Super Smile — это клиника нового поколения! Ведь мы входим в 100 лучших стоматологических клиник России согласно рейтингам «Коммерсант-Здоровье» и «Start Smile». А благодаря высоким оценкам наших пациентов у нашей клиники рейтинг 5.0 на Яндекс.Картах.
Такой высокий рейтинг лишь у еще двух сетевых клиник Санкт-Петербурга. Последние два года мы регулярно входим в ТОП-10 клиник по версии порталов НаПоправку, ПроДокторов и 32top, поэтому вы смело можете доверить нам восстановление зубов после эндодонтического лечения.
В клинике Super Smile наши опытные специалисты восстановят вашу улыбку, а вы получите удовольствие от высокого уровня сервиса и качества наших услуг! Ждем вас, скорее записывайтесь на первую бесплатную консультацию!
Преимущества клиники Super Smile для восстановления зуба после эндодонтического лечения
-
Современный и комплексный подход.
-
Качественные материалы и передовые техники лечения.
-
Интраоральный 3D сканер и другая ТОПовая стоматологическая техника.
-
Беспроцентная рассрочка на все виды стоматологических услуг.
-
Собственный компьютерный томограф для вашего комфорта и точной диагностики.
Гарантия лучшего сочетания цена/качество
Оставьте Ваш телефон и в течение 5 минут мы перезвоним Вам, чтобы подобрать лучшее для Вас время посещения центра имплантации Super Smile.
Преимущества восстановления зуба после эндодонтического лечения
-
Сохранение тканей зуба. Реставрации максимально помогают сохранить коронковую часть зуба.
-
Эстетика улыбки. Все методы восстановления направлены на создание красоты вашей улыбки.
-
Распределение жевательного давления и защита соседних зубов от перегрузки.
-
Экономия. Восстановление зуба после эндодонтического лечения выходит бюджетнее имплантации.
-
Защита зуба от повторной инфекции и разрушения.

- Возраст для восстановления зуба после эндодонтического лечения: не имеет возрастных ограничений.
- Показания для постэндодонтического восстановления зубов: состояние зуба после лечения корневых каналов; восстановление зуба после снятия коронки; разрушение зуба более 50%.
- Абсолютные противопоказания: Любые обострения хронических системных заболеваний; СПИД, ВИЧ; сахарный диабет; гемофилия и другие системные заболевания, влияющие на свертываемость крови; злокачественные новообразования в полости рта; дистрофические изменения в тканях пародонта, воспалительные явления и кистозные образования на корне зуба, подлежащего лечению.
- Относительные противопоказания: неудовлетворительная гигиена полости рта, беременность и период лактации, другие гормональные нарушения, которые требуют консультации специалиста.
Этапы восстановления зуба после эндодонтического лечения
-
Первичный осмотр и консультация.
При обращении в клинику доктор, в первую очередь, проводит с вами беседу, собирает анамнез заболевания и ваши жалобы, а затем проводит осмотр полости рта, оценивает состояние зубов и десен. Если необходимо, то направляет вас на дополнительную диагностику.
-
Дополнительная диагностика.
Перед началом лечения важно провести качественную рентгенологическую или КТ-диагностику.
-
Проведение профессиональной гигиены полости рта.
Желательно перед началом лечения провести 4х-этапную профессиональную гигиену полости рта.
-
Проведение анестезии по показаниям и изоляция рабочего поля.
По показаниям проводится анестезия, а зуб, который подлежит восстановлению, изолируется с помощью коффердама или раббердама.
-
Проведение эндодонтического лечения.
Доктор препарирует кариозную полость или скол зуба. Если речь идет об изготовлении виниров, то доктор снимает тонкий слой со всей передней поверхности восстанавливаемого зуба.
-
Проведение постэндодонтического восстановление зубов.
Используя одну из методик восстановления, доктор проводит сканирование зубного ряда, при необходимости снимает цифровые оттиски (слепки) и пересылает их в зуботехническую лабораторию. Если был выбран вариант прямой реставрации, то доктор послойно вносит пломбировочный материал в полость зуба. Каждый слой он «засвечивает» светодиодной лампой.
-
Лабораторный этап.
В зуботехнической лаборатории техник изготавливают коронку или вкладку с использованием современных материалов (керамики или диоксида циркония).
-
Фиксация конструкции.
В ваш следующий визит проводится припасовка (примерка) готовый конструкции. Доктор фиксирует реставрацию на светоотверждаемый материал или композит двойного отверждения, даются рекомендации по уходу за изготовленной конструкцией.
Гарантия лучшего сочетания цена/качество
Оставьте Ваш телефон и в течение 5 минут мы перезвоним Вам, чтобы подобрать лучшее для Вас время посещения стоматологии Super Smile.
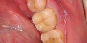
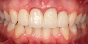
Работы наших специалистов по контактному восстановлению зуба
А теперь — самое главное:
Заботливый системный подход Super Smile

В Super Smile всё начинается с заботы.
Мы не просто лечим зубы — мы сохраняем ваше здоровье и уверенность на долгие годы. Перед лечением мы внимательно обследуем, объясняем каждый шаг и вместе составляем индивидуальный план лечения, где всё продумано — от диагностики до результата. Так вы точно знаете, что происходит, и чувствуете заботу на каждом этапе
Что включает комплексный план лечения?
- Осмотр и консультация специалиста
- Подробный фотопротокол
- Заполнение “зубной формулы” – вашей карты улыбки
- Медицинский план лечения
- Выгодный финансовый план лечения
Почему заботливый и системный подход работает лучше
В Super Smile мы верим, что стоматология должна быть не спешной, а осознанной и внимательной.
Такой подход сохраняет здоровье, экономит средства и помогает сохранить результат на годы вперёд.
| Обычное лечение | Заботливый системный подход Super Smile |
|---|---|
| Посадить пациента в кресло и сразу начать лечение | Сначала выслушать, обследовать, всё объяснить и только потом вместе выбрать лучший путь |
| Начать с самых дорогих процедур, не думая о логике | Продумать план шаг за шагом, чтобы не пришлось что-то переделывать через полгода |
| Предложить один «удобный» вариант и настаивать на нём | Разработать несколько вариантов лечения — по срокам, бюджету и комфорту |
| Передать пациента любому свободному врачу | Собрать команду специалистов, где каждый отвечает за свой этап, а результат — общий |
| Говорить, что бюджет невозможно рассчитать заранее | Составить прозрачный финансовый план и помочь спокойно спланировать расходы |
| Не давать гарантий на работу | Предоставить реальные гарантии на лечение — чтобы вы были уверены в результате и спокойны за свою улыбку |
С заботой — с первого шага
Стоимость индивидуального Плана лечения — всего 0 рублей.
В него входит полное обследование, консультация специалиста и составление медицинского и финансового планов. Отдельно оплачивается 3D снимок для точной диагностики.
Получите каталог услуг Super Smile: цены, этапы лечения и все преимущества в удобном формате





























