Восстановление зуба пломбой в Санкт-Петербурге
Самым распространенным методом лечения зубов является восстановление зуба пломбой. Для этого используются различные техники и материалы. В клинике Super Smile используются самые передовые технологии по восстановлению зубы пломбой.
- Качество и надежность в клинике Super Smile.
- Современное оборудование на страже вашего здоровья!
Вы получите детализированный расчёт стоимости без ненужных накруток со стороны стоматолога!
Узнайте, пора ли вам показаться стоматологу!
Ответьте на несколько вопросов, чтобы самостоятельно оценить своё здоровье и получите сертификат от нашей клиники (для новых пациентов)!

Особенности восстановления зуба пломбой
Для восстановления зуба пломбой используются различные материалы. Наиболее часто современной стоматологии используют стеклоиономерные цементы и светополимерные композиты. Стеклоиономерные цементы изготавливаются на основе кремниевого кварца. Они достаточно прочные по своим характеристикам и часто применяются в детской стоматологии и для фиксации коронок у взрослых пациентов. Важным свойством цементов является выделение фторида, который способствует профилактике вторичного кариеса.
В чем плюсы восстановления зуба пломбой?
- Универсальность метода. Практически любое поражение твердых тканей можно восстановить пломбой.
- Быстрота. Иногда в одно посещение можно восстановить зуб пломбой.
- Эффективность. Пломбирование эффективно защищает зуб от проникновения инфекции.
- Наличие различных материалов. Можно подобрать как и бюджетный вариант, так и максимально эстетичный для восстановления передних зубов.
Современные виды пломбы из композитов — это смесь полимеров и текучего наполнителя. Такие материалы требуют отверждения с помощью света, химического реактива или их комплекса. Они высоко эстетичны, прочны по своим характеристикам, но при ненадлежащем уходе, под ними может образовываться кариес.
О стоматологической клинике Super Smile

Если вы хотите с пользой и комфортом провести время, то вам в клинику Super Smile. Мы собрали для вас все самое лучшее, что вы можете искать в стоматологии: грамотных опытных врачей, современную технику, новейшие разработки и методики лечения, вежливые администраторы и комплексный подход к решению ваших проблем. Именно поэтому стоматологическая клиника Super Smile входит в число 100 лучших стоматологических клиник России согласно рейтингам «Коммерсант-Здоровье» и «Start Smile».
В 2021 и 2022 годах мы вошли в ТОП-10 клиник по версии порталов НаПоправку, ПроДокторов и 32top. В 2022 году мы также были удостоены нескольких виртуальных наград и медалей от портала ПроДокторов. Нас рекомендуют своим друзьям и близким, поэтому если вы еще не были у нас, приходите! От нас уходят лишь со счастливыми улыбками!
В клинике Super Smile наши опытные специалисты восстановят вашу улыбку, а вы получите удовольствие от высокого уровня сервиса и качества наших услуг! Ждем вас, скорее записывайтесь на первую бесплатную консультацию!
Преимущества клиники Super Smile
-
Доктора с большим стажем работы и опытом.
-
Лучшие современные пломбировочные материалы светового отверждения (Estelite Sigma -Япония; Harmonize -США).
-
Дентальный микроскоп.
-
Беспроцентная рассрочка на все виды стоматологических услуг.
-
Собственный компьютерный томограф для вашего комфорта и точной диагностики.
Гарантия лучшего сочетания цена/качество
Оставьте Ваш телефон и в течение 5 минут мы перезвоним Вам, чтобы подобрать лучшее для Вас время посещения центра имплантации Super Smile.
Преимущества восстановления зуба пломбой
-
Профилактика осложнений. Чем раньше вы поставите пломбу, тем быстрее уберете всю инфекцию из зуба.
-
Плотное прилегание к тканям зуба. Это дает герметичность полученной реставрации.
-
Бюджетность. Поставить пломбу может позволить себе каждый.
-
Экономия времени. Пломбу можно поставить за одно посещение стоматолога.
-
Эстетика. Цвет пломбы можно подобрать по цвету ваших естественных зубов.
Этапы восстановления зуба пломбой
-
Первичный осмотр и консультация.
Прежде чем проводить манипуляции в полости рта, доктор проводит беседу с вами, собирает анамнез заболевания и жалобы, проводит осмотр полости рта, оценивает состояние зубов и десен.
-
Дополнительная диагностика.
Перед началом лечения вам может понадобиться дополнительное рентгенологическое обследование или КТ-диагностика.
-
Проведение профессиональной гигиены полости рта.
Мы рекомендуем перед началом лечения провести 4х- этапную профессиональную гигиену полости рта.
-
Проведение анестезии по показаниям и изоляция рабочего поля.
По показаниям проводится анестезия, а зуб, который подлежит восстановлению, изолируется с помощью коффердама или раббердама.
-
Подготовка полости зуба.
Доктор препарирует кариозную полость, то есть убирает все инфицированные ткани. Далее проводится антисептическая обработка раствором хлоргексидина или раствором другого антисептика. Следующим этапом подготовки полости являются обработка протравочным гелем, который состоит из 37% ортофосфорной кислоты. Это убирает верхний слой с эмали и дентина, что способствует более плотному прилеганию пломбы в дальнейшем.
-
Обработка подготовленной полости адгезивом.
Этот этап также помогает лучшему сцеплению пломбировочного материала с тканями зуба. Адгезив распределяется по полости с помощью аппликатора и «засвечивается» лампой.
-
Восстановление зуба пломбой.
Пломбировочный материал послойно вносится в подготовленную полость, и каждый слой отдельно засвечивается светодиодной лампой. Доктор воссоздает форму и рельеф зуба, а затем шлифует и полирует пломбу. Даются рекомендации.
Гарантия лучшего сочетания цена/качество
Оставьте Ваш телефон и в течение 5 минут мы перезвоним Вам, чтобы подобрать лучшее для Вас время посещения стоматологии Super Smile.
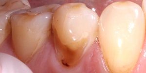
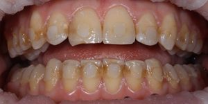
Работы наших специалистов по восстановлению зуба пломбой
А теперь — самое главное:
Заботливый системный подход Super Smile

В Super Smile всё начинается с заботы.
Мы не просто лечим зубы — мы сохраняем ваше здоровье и уверенность на долгие годы. Перед лечением мы внимательно обследуем, объясняем каждый шаг и вместе составляем индивидуальный план лечения, где всё продумано — от диагностики до результата. Так вы точно знаете, что происходит, и чувствуете заботу на каждом этапе
Что включает комплексный план лечения?
- Осмотр и консультация специалиста
- Подробный фотопротокол
- Заполнение “зубной формулы” – вашей карты улыбки
- Медицинский план лечения
- Выгодный финансовый план лечения
Почему заботливый и системный подход работает лучше
В Super Smile мы верим, что стоматология должна быть не спешной, а осознанной и внимательной.
Такой подход сохраняет здоровье, экономит средства и помогает сохранить результат на годы вперёд.
| Обычное лечение | Заботливый системный подход Super Smile |
|---|---|
| Посадить пациента в кресло и сразу начать лечение | Сначала выслушать, обследовать, всё объяснить и только потом вместе выбрать лучший путь |
| Начать с самых дорогих процедур, не думая о логике | Продумать план шаг за шагом, чтобы не пришлось что-то переделывать через полгода |
| Предложить один «удобный» вариант и настаивать на нём | Разработать несколько вариантов лечения — по срокам, бюджету и комфорту |
| Передать пациента любому свободному врачу | Собрать команду специалистов, где каждый отвечает за свой этап, а результат — общий |
| Говорить, что бюджет невозможно рассчитать заранее | Составить прозрачный финансовый план и помочь спокойно спланировать расходы |
| Не давать гарантий на работу | Предоставить реальные гарантии на лечение — чтобы вы были уверены в результате и спокойны за свою улыбку |
С заботой — с первого шага
Стоимость индивидуального Плана лечения — всего 0 рублей.
В него входит полное обследование, консультация специалиста и составление медицинского и финансового планов. Отдельно оплачивается 3D снимок для точной диагностики.
Получите каталог услуг Super Smile: цены, этапы лечения и все преимущества в удобном формате

































