Композитная реставрация зубов в Санкт-Петербурге
Композитная реставрация зубов — это способ восстановления эстетической, функциональной и структурной целостности поврежденного зуба с помощью фотополимеризуемого композита. В клинике Super Smile для этого используются самые современные стоматологические материалы.
- Композитная реставрация зубов — это внимание к деталям!
- Доверьте здоровье своих зубов экспертам!
Вы получите детализированный расчёт стоимости без ненужных накруток со стороны стоматолога!
Узнайте, пора ли вам показаться стоматологу!
Ответьте на несколько вопросов, чтобы самостоятельно оценить своё здоровье и получите сертификат от нашей клиники (для новых пациентов)!

Особенности композитной реставрации жевательных зубов
Выделяют непрямую и прямую композитную реставрацию зубов. Прямая композитная реставрация зубов выполняется непосредственно в полости рта пациента. Ее большим плюсом является то, что можно сразу подкорректировать реставрацию в соответствии со смыканием с антагонистом (зубом напротив). Непрямая композитная реставрация также выполняется из светоотверждаемого материала, но уже зуботехнической лаборатории. Такой подход позволяет компенсировать усадку и улучшить краевое прилегание реставрации.
В чем плюсы композиционной реставрации зубов?
- Восстановление зуба один визит, если вы выбираете прямую композитную реставрацию.
- Доступная стоимость. Реставрация жевательного зуба композитом обходится дешевле восстановления вкладкой или коронкой.
- Функциональность. Композитные реставрации отлично восстанавливают жевательную функцию зубов.
- Эстетичность. Современные композитные материалы способны сделать незаметной даже объемную реставрацию жевательного зуба.
Главной чертой композитной реставрации жевательных зубов является функциональность этой реставрации и способность выдерживать значительные жевательные нагрузки. Реставрация зубов светоотверждаемыми материалами отвечает всем необходимым требованиям.
О стоматологической клинике Super Smile

Клиника Super Smile — это центр эстетической стоматологии. Наша цель — создание красивых улыбок, повышение вашей самооценки и улучшение вашего уровня жизни. Для этого мы используем в своей работе передовые технологии и лучшие материалы, а также комплексно подходим к лечению вашей полости рта. Благодаря такому подходу клиника Super Smile вот уже несколько лет входит в число лучших стоматологических клиник России, а рейтинги 2022 года только подтверждают это.
Мы вошли в 10 лучших клиник Санкт-Петербурга согласно рейтингам «Коммерсант-Здоровье» и «Start Smile». Последние два года мы получили также награды, как топовые клиники Санкт-Петербурга по версии порталов НаПоправку, ПроДокторов и 32top. И наша оценка 5.0 на Яндекс.Картах, такой высокий рейтинг имеет не так много клиник города. Поэтому если вы мечтаете о комфорте и индивидуальном подходе, то вам в клинику Super Smile!
В клинике Super Smile наши опытные специалисты восстановят вашу улыбку, а вы получите удовольствие от высокого уровня сервиса и качества наших услуг! Ждем вас, скорее записывайтесь на первую бесплатную консультацию!
Преимущества нашей клиники для реставрации зубов композитным материалом
-
Опыт и профессионализм наших специалистов.
-
Использование методов минимального препарирования (сохранение максимума собственных тканей зуба).
-
Использование 3D-сканера для снятия слепков.
-
Беспроцентная рассрочка на все виды стоматологических услуг.
-
Собственный компьютерный томограф для вашего комфорта и точной диагностики.
Гарантия лучшего сочетания цена/качество
Оставьте Ваш телефон и в течение 5 минут мы перезвоним Вам, чтобы подобрать лучшее для Вас время посещения центра имплантации Super Smile.
Преимущества реставрации зубов композитным материалом
-
Минимальное препарирование зуба. Под прямую или непрямую композитную реставрацию необходимо убрать лишь инфицированные ткани зуба.
-
Возможность устранения небольших эстетических дефектов. На фронтальных зубах или зубах в зоне улыбки возможно провести лишь небольшую реставрацию.
-
Высокая прочность реставрации. Композит способен выдержать максимальные жевательные нагрузки.
-
Профилактика развития вторичного кариеса. Композитные реставрации жевательных зубов плотно прилегают к собственным тканям зуба.
-
Низкая цена. Если сравнивать с ортопедическими конструкциями, то композитные реставрации выходят дешевле.
Этапы проведения композитной реставрации зубов
-
Первичный осмотр и консультация.
Ваш визит к врачу-стоматологу начинается с доверительной беседы, сбора анамнеза и ваших жалоб. Далее доктор проводит осмотр полости рта, оценивает состояние зубов и десен, и при необходимости направляют вас на дополнительные диагностические мероприятия.
-
Дополнительная диагностика.
Перед началом лечения важно провести качественную рентгенологическую и КТ-диагностику.
-
Проведение профессиональной гигиены полости рта.
Мы рекомендуем начать лечение с проведения 4х-этапной профессиональной гигиены полости рта.
-
Проведение анестезии по показаниям и изоляция рабочего поля.
По показаниям проводится анестезия, а зуб, который подлежит восстановлению, изолируется с помощью коффердама или раббердама.
-
Проведение композитной реставрации жевательных зубов.
Кариозная полость препарируется, то есть снимаются все инфицированные ткани, при необходимости проводится эндодонтическое лечение или снятие старой пломбы. Далее полость обрабатывается протравочным гелем, который состоит из 37% ортофосфорной кислоты. Это убирает верхний «смазанный» слой с эмали и дентина, что способствует более плотному прилеганию пломбы в дальнейшем.
-
Обработка подготовленной полости адгезивом.
Этот этап также помогает лучшему сцеплению пломбировочного материала с тканями зуба. Адгезив распределяется по полости с помощью аппликатора и «засвечивается» лампой.
-
Проведение композитной реставрации жевательных зубов.
Если проводится прямая композитная реставрация, то пломбировочный материал послойно вносится в подготовленную полость, и каждый слой отдельно отверждается светодиодной лампой. Доктор воссоздает форму и рельеф зуба, а затем шлифует и полирует пломбу. При непрямой композитной реставрации снимаются цифровые оттиски, а в зуботехнической лаборатории реставрация изготавливается из композита. На второй визит доктор фиксирует готовую конструкцию на светоотверждаемый композит. Готовая конструкция полируется. Даются рекомендации.
Гарантия лучшего сочетания цена/качество
Оставьте Ваш телефон и в течение 5 минут мы перезвоним Вам, чтобы подобрать лучшее для Вас время посещения стоматологии Super Smile.
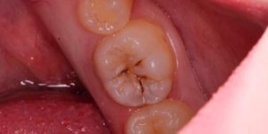
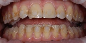
Работы наших специалистов по восстановлению зуба световым материалом
А теперь — самое главное:
заботливый системный подход Super Smile

В Super Smile всё начинается с заботы.
Мы не просто лечим зубы — мы сохраняем ваше здоровье и уверенность на долгие годы. Перед лечением мы внимательно обследуем, объясняем каждый шаг и вместе составляем индивидуальный план лечения, где всё продумано — от диагностики до результата. Так вы точно знаете, что происходит, и чувствуете заботу на каждом этапе
Что включает комплексный план лечения?
- Осмотр и консультация специалиста
- Подробный фотопротокол
- Заполнение “зубной формулы” – вашей карты улыбки
- Медицинский план лечения
- Выгодный финансовый план лечения
Почему заботливый и системный подход работает лучше
В Super Smile мы верим, что стоматология должна быть не спешной, а осознанной и внимательной.
Такой подход сохраняет здоровье, экономит средства и помогает сохранить результат на годы вперёд.
| Обычное лечение | Заботливый системный подход Super Smile |
|---|---|
| Посадить пациента в кресло и сразу начать лечение | Сначала выслушать, обследовать, всё объяснить и только потом вместе выбрать лучший путь |
| Начать с самых дорогих процедур, не думая о логике | Продумать план шаг за шагом, чтобы не пришлось что-то переделывать через полгода |
| Предложить один «удобный» вариант и настаивать на нём | Разработать несколько вариантов лечения — по срокам, бюджету и комфорту |
| Передать пациента любому свободному врачу | Собрать команду специалистов, где каждый отвечает за свой этап, а результат — общий |
| Говорить, что бюджет невозможно рассчитать заранее | Составить прозрачный финансовый план и помочь спокойно спланировать расходы |
| Не давать гарантий на работу | Предоставить реальные гарантии на лечение — чтобы вы были уверены в результате и спокойны за свою улыбку |
С заботой — с первого шага
Стоимость индивидуального Плана лечения — всего 0 рублей.
В него входит полное обследование, консультация специалиста и составление медицинского и финансового планов. Отдельно оплачивается 3D снимок для точной диагностики.
-
Сколько стоит композитная реставрация зубов?
Стоимость композитной реставрации зубов рассчитывается индивидуально и зависит от объема зуба, который нужно восстановить, материала, который будет использоваться и метода восстановления композитной реставрации ( прямой или непрямой). Приходите к нам на консультацию, и мы рассчитаем вам точную стоимость вашего лечения.
-
Сколько служит реставрация зубов композитом?
Средний срок службы реставрации зубов композитом составляет около 10 лет. Данный срок приблизительный и зависит от качества ежедневной гигиены полости рта, применения абразивных паст, а также от частоты посещения врача — стоматолога. Если вы регулярно посещаете стоматолога с целью профилактики и проведения профессиональной гигиены, то композитная реставрация зубов будет служить вам намного дольше.
-
Что такое непрямая реставрация зубов композитами?
Непрямая реставрация зубов композитами — это процедура восстановления зуба вне полости рта пациента. Непрямая реставрация зубов композитами изготавливается из того же композитного материала, что и обычная прямая реставрация, но в зуботехнической лаборатории. Плюсом непрямой композитной реставрации является то, что усадка полимерного материала происходит вне полости зуба, а, значит, прилегание такой реставрации будет более плотным и служить такая реставрация будет дольше.
Получите каталог услуг Super Smile: цены, этапы лечения и все преимущества в удобном формате

































