Восстановление культи зуба штифтом в Санкт-Петербурге
Восстановление культи зуба штифтом — это техника восстановления зуба, который достаточно сильно разрушен. Такая манипуляция позволяет продлить функциональный срок службы вашего зуба, а также сохранить эстетику улыбки.
- Надежное лечение в клинике Super Smile!
- Восстановите зуб качественно и безболезненно!
Вы получите детализированный расчёт стоимости без ненужных накруток со стороны стоматолога!
Узнайте, пора ли вам показаться стоматологу!
Ответьте на несколько вопросов, чтобы самостоятельно оценить своё здоровье и получите сертификат от нашей клиники (для новых пациентов)!

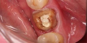
Как происходит восстановление культи зуба пломбировочным материалом?
Восстановить зуб можно либо с помощью ортопедической конструкции — культевой вкладки. Либо с помощью штифта и пломбировочного материала. Для изготовления вкладки врач-ортопед подготавливает полость зуб и снимает оттиск (слепок), техник изготавливает вкладку, а после ее установки снова снимается оттиск уже под коронку, которая будет установлена поверх вкладки.
Восстановление культи зуба штифтом проводится в одно-два посещения.
В чем плюсы восстановления культи зуба штифтом?
- Быстро. Уже в первое же посещение вы можете получить восстановленный зуб.
- Сохранение зуба. Вместо удаления разрушенного зуба, его можно восстановить.
- Экономия. Восстановление культи зуба штифтом бюджетнее ортопедического восстановления зуба.
- Возможность дальнейшего лечения. После восстановления культи зуба штифтом можно поставить коронку или мостовидный протез.
Что такое «культя зуба»? Многим это может быть непонятно, поэтому объясняем. Культя зуба- это та часть зуба, которая осталась от коронковой части зуба. Зуб при этом может быть разрушен из-за инфекции или механического воздействия, либо мог быть обточен под коронку. Мы же в статье сегодня говорим о том случае, когда зуб уже был разрушен, и как же нам его восстановить.
О стоматологической клинике Super Smile

Клиника Super Smile — это целая система, которая направлена на создание для вас уютной и комфортной атмосферы, а также на сохранение здоровья вашей полости рта. Мы работаем ради вашей красоты, ваших счастливых улыбок, и для этого используем лучшие и проверенные методики, топовые материалы и современный подход. Благодаря этому клиника входит в 100 лучших стоматологических клиник России согласно рейтингам «Коммерсант-Здоровье» и «Start Smile».
Наш рейтинг на Яндекс.Картах 5.0, а это значит, что все наши пациенты высоко ценят наш уровень сервиса и лечения. И последние два года мы регулярно входим в ТОП-10 клиник по версии порталов НаПоправку, ПроДокторов и 32top, поэтому вы смело можете доверять нам свое здоровье.
В клинике Super Smile вы бесплатно можете познакомиться с докторами на консультации, оценить наш высокий уровень сервиса и принять решение о дальнейшем лечении. Ждем вас и всегда вам рады.
Преимущества клиники Super Smile для восстановления культи зуба пломбировочным материалом
-
В работе мы используем только современные методики.
-
В нашей клинике качественные материалы для восстановления ваших зубов.
-
Дентальный микроскоп для подготовки ваших корневых каналов.
-
Беспроцентная рассрочка на все виды стоматологических услуг.
-
Собственный компьютерный томограф для вашего комфорта и точной диагностики.
Гарантия лучшего сочетания цена/качество
Оставьте Ваш телефон и в течение 5 минут мы перезвоним Вам, чтобы подобрать лучшее для Вас время посещения центра имплантации Super Smile.
Преимущества клиники Super Smile
-
Гарантии. Мы даем вам гарантии на любой вид стоматологического лечения. Многие гарантии прописаны в специальном гарантийном сертификате.
-
Комплексный подход в лечении. Наши доктора предложат вам различные методы восстановления.
-
Качество. Современные материалы, методики и опыт докторов — все это про высокий уровень качества в нашей клинике.
-
Гипоаллергенность материалов. Если у вас аллергия, мы подберем для вас наиболее биосовместимые материалы.
-
Выгодное лечение вместе с нашей беспроцентной рассрочкой, которую вы можете оформить на любой вид лечения.
Этапы восстановления культи зуба пломбировочным материалом
-
Первичный осмотр и консультация.
До проведения манипуляций в полости рта, доктор проводит с вами беседу, собирает анамнез заболевания и ваши жалобы, проводит осмотр полости рта, оценивает состояние зубов и десен.
-
Дополнительная диагностика.
Рентгенологическое исследование, КТ-диагностика обязательны перед проведением лечения зуба с использованием штифтовых конструкций.
-
Проведение профессиональной гигиены полости рта.
Прежде чем восстанавливать культю зуба штифтом, важно провести тщательную чистку полости рта, которая проходит в нашей клинике в 4 этапа.
-
Проведение анестезии по показаниям и изоляция рабочего поля.
Если это необходимо, доктор проводит анестезию, после чего накладывает коффердам или раббердам для изоляции того зуба, который будет проходить лечение.
-
Проведение эндодонтического лечения по показаниям.
В некоторых случаях, бывает так, что зуб уже подлежал эндодонтическому лечению, тогда доктор просто распломбировывает корневой канал под установку штифта. Если же зуб недостаточно качественно запломбирован или не подлежал лечению корневых каналов, тогда доктор проходит первичную или вторичную обработку корневых каналов.
-
Распломбировка корневого канала.
Подготовленный корневой канал распломбировывается на ⅓ или ⅔ для установки штифта.
-
Установка штифта в корневой канал.
В современной стоматологии чаще всего сейчас используется стекловолоконный штифт, который устанавливается в корневой канал и удерживается там с помощью стоматологического цемента.
-
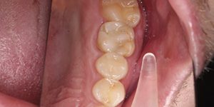
Реставрация зуба.
Последним этапом в лечении является восстановление культи зуба пломбировочным материалом. Доктор послойно накладывает материал на поверхность зуба и штифта, полимеризуя каждый слой световой лампой. После восстановления формы зуба проводится шлифовка и полировка пломбы.
Гарантия лучшего сочетания цена/качество
Оставьте Ваш телефон и в течение 5 минут мы перезвоним Вам, чтобы подобрать лучшее для Вас время посещения стоматологии Super Smile.
А теперь — самое главное:
Заботливый системный подход Super Smile

В Super Smile всё начинается с заботы.
Мы не просто лечим зубы — мы сохраняем ваше здоровье и уверенность на долгие годы. Перед лечением мы внимательно обследуем, объясняем каждый шаг и вместе составляем индивидуальный план лечения, где всё продумано — от диагностики до результата. Так вы точно знаете, что происходит, и чувствуете заботу на каждом этапе
Что включает комплексный план лечения?
- Осмотр и консультация специалиста
- Подробный фотопротокол
- Заполнение “зубной формулы” – вашей карты улыбки
- Медицинский план лечения
- Выгодный финансовый план лечения
Почему заботливый и системный подход работает лучше
В Super Smile мы верим, что стоматология должна быть не спешной, а осознанной и внимательной.
Такой подход сохраняет здоровье, экономит средства и помогает сохранить результат на годы вперёд.
| Обычное лечение | Заботливый системный подход Super Smile |
|---|---|
| Посадить пациента в кресло и сразу начать лечение | Сначала выслушать, обследовать, всё объяснить и только потом вместе выбрать лучший путь |
| Начать с самых дорогих процедур, не думая о логике | Продумать план шаг за шагом, чтобы не пришлось что-то переделывать через полгода |
| Предложить один «удобный» вариант и настаивать на нём | Разработать несколько вариантов лечения — по срокам, бюджету и комфорту |
| Передать пациента любому свободному врачу | Собрать команду специалистов, где каждый отвечает за свой этап, а результат — общий |
| Говорить, что бюджет невозможно рассчитать заранее | Составить прозрачный финансовый план и помочь спокойно спланировать расходы |
| Не давать гарантий на работу | Предоставить реальные гарантии на лечение — чтобы вы были уверены в результате и спокойны за свою улыбку |
С заботой — с первого шага
Стоимость индивидуального Плана лечения — всего 0 рублей.
В него входит полное обследование, консультация специалиста и составление медицинского и финансового планов. Отдельно оплачивается 3D снимок для точной диагностики.
-
Возможно ли восстановление культи зуба штифтом?
Если от вашего зуба остался лишь один корень и небольшая часть коронки зуба, то идеальным решением для восстановления такого зуба будет восстановление культи зуба штифтом. Так, доктор быстро и качественно поставит вам пломбу, зуб сможет выполнять свою функцию, а вы получите полноценный зуб в сжатые сроки.
-
Какую диагностику важно провести перед восстановлением культи зуба штифтом?
Для того, чтобы восстановить форму зуба с помощью штифта и пломбы, важно удостовериться, что корень не инфицирован, качественно запломбирован, или что необходимо эндодонтическое лечение. Поэтому наши доктора направят вас на рентгенологическое исследование или КТ-диагностику. Очень удобно то, что всю диагностику вы можете пройти у нас, не выходя из клиники, на нашем собственном компьютерном томографе.
-
Во всех ли случаях можно восстановить культю зуба штифтом?
Нет, для восстановления культи зуба штифтом важно состояние корня зуба, поэтому есть и противопоказания. Например, наличие кисты или гранулемы на корне зуба, перелом или трещина корня, истонченные стенки корневого канала. В этих случаях не вши доктора подберут для вас другие варианты лечения и восстановления зуба.
Получите каталог услуг Super Smile: цены, этапы лечения и все преимущества в удобном формате

















