Восстановление зуба в Санкт-Петербурге
Восстановление зуба — это большой арсенал манипуляций, которые выполняет врач-стоматолог, если у вас разрушен зуб или появился небольшой кариес. Доктора клиники Super Smile применяют различные методики для восстановления зубов.
- Восстановление зуба — это наша забота о вашей улыбке!
- Множество методик по доступным ценам!
Узнайте, пора ли вам показаться стоматологу!
Ответьте на несколько вопросов, чтобы самостоятельно оценить своё здоровье и получите сертификат от нашей клиники (для новых пациентов)!

Как происходит восстановление разрушенного зуба?
Как видите, способов восстановления разрушенного зуба в стоматологии существует несколько. В каких случаях приходится зуб восстанавливать? Даже лечение среднего кариеса — это уже восстановление зуба, ведь часть твердых тканей доктор убрал. Лечение осложнений кариеса — пульпита или периодонтита может закончиться восстановлением коронкой или вкладкой, так как приходится убирать большой объем тканей.
В некоторых случаях может просто отколоться стенка зуба, и тогда доктор будет проводить восстановление стенки зуба. Такое лечение можно провести как пломбой, так и вкладкой. Вкладка может быть восстановительная, тогда она устанавливаются вместо пломбы, но лучше распределяет давление, более эстетична и герметична.
В чем плюсы восстановления разрушенного зуба?
- Сохранение зуба. Вместо удаления разрушенного зуба, его можно восстановить.
- Экономия бюджета. Поставить пломбу или коронку дешевле постановки импланта или целого протеза.
- Эстетика. Любой метод восстановления зуба направлен на сохранение эстетики вашей улыбки.
- Профилактика осложнений. Восстановление зуба подразумевает удаление инфицированных тканей, а значит, профилактику дальнейших осложнений.
Восстановление сильно разрушенных зубов проводится культевой вкладкой, которая воссоздает потерянный объем зуба, крепится в корневом канале, а сверху ставится коронка. Эстетику улыбки можно восстановить винирами — тонкими пластинками из керамики, которые усиливаются на передние зубы.
О стоматологической клинике Super Smile
В клинике Super Smile вы можете найти специалистов любого профиля в стоматологии: от имплантолога до терапевта-гигиениста. Восстановление зуба в нашей клинике проходит легко и с комфортом, благодаря опыту наших докторов и современной технике. Super Smile — это клиника нового поколения! Ведь мы входим в 100 лучших стоматологических клиник России согласно рейтингам «Коммерсант-Здоровье» и «Start Smile».
А благодаря высоким оценкам наших пациентов у нашей клиники рейтинг 5.0 на Яндекс.Картах. Такой высокий рейтинг лишь у еще двух сетевых клиник Санкт-Петербурга. Последние два года мы регулярно входим в ТОП-10 клиник по версии порталов НаПоправку, ПроДокторов и 32top, поэтому вы смело можете доверить нам восстановление даже сильно разрушенных зубов.
В клинике Super Smile наши опытные специалисты восстановят вашу улыбку, а вы получите удовольствие от высокого уровня сервиса и качества наших услуг! Ждем вас, скорее записывайтесь на первую бесплатную консультацию!
Преимущества клиники Super Smile
Преимущества восстановления разрушенного зуба

-
Возраст для восстановления зуба:
не имеет возрастных ограничений.
-
Показания для восстановления зуба:
кариес, который повлек за собой образование дефекта твердых тканей; осложнения кариеса в виде пульпита и периодонтита; восстановление зуба после снятия коронки; разрушение зуба более 50%; старые пломбы с дефектом краевого прилегания.
-
Абсолютные противопоказания:
Любые обострения хронических системных заболеваний; СПИД, ВИЧ; сахарный диабет; гемофилия и другие системные заболевания, влияющие на свертываемость крови; злокачественные новообразования в полости рта; дистрофические изменения в тканях пародонта, воспалительные явления и кистозные образования на корне зуба, подлежащего лечению.
-
Относительные противопоказания:
неудовлетворительная гигиена полости рта, беременность и период лактации, другие гормональные нарушения, которые требуют консультации специалиста.
Этапы восстановления разрушенного зуба
-
Первичный осмотр и консультация.
Для того, чтобы провести манипуляции в полости рта, доктор проводит беседу с вами, выявляет анамнез заболевания и жалобы, проводит осмотр полости рта, оценивает состояние зубов и десен.
-
Дополнительная диагностика.
Перед началом лечения обязательно важно провести качественную рентгенологическую или КТ-диагностику.
-
Проведение профессиональной гигиены полости рта.
Желательно перед началом лечения провести 4х-этапную профессиональную гигиену полости рта.
-
Проведение анестезии по показаниям и изоляция рабочего поля.
По показаниям проводится анестезия, а зуб, который подлежит восстановлению, изолируется с помощью коффердама или раббердама.
-
Подготовка полости под вкладку.
Данный этап включает в себя удаление всех инфицированных тканей или эндодонтическая подготовка корневых каналов (лечение и пломбирование корневых каналов).
-
Снятие оттисков (слепков).
С помощью современных материалов либо с помощью 3D-сканера доктор снимает слепок зубного ряда и передает данные в зуботехническую лабораторию. На время изготовления вкладки зуб закрывается временной пломбой.
-
Изготовление вкладки.
В зуботехнической лаборатории техник изготавливает вкладку из прессованной керамики.
-
Примерка и фиксация.
Во время второго визита доктор проводит припасовку (примерку) вкладки. Если вы чувствуете себя комфортно, то вкладка фиксируется на стоматологический цемент или жидкий светоотверждаемый композит. Проводится окончательная полировка, даются рекомендации.
Оставьте Ваш телефон и в течение 5 минут мы перезвоним Вам, чтобы подобрать лучшее для Вас время посещения стоматологии Super Smile.
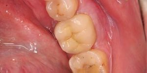
Работы наших специалистов по восстановлению зуба
Задать свой вопрос врачу
5 шагов к красивой улыбке
-
Заполните форму ниже
-
Мы Вам перезвоним в течение 5 минут и подберём для Вас удобное время визита
-
После согласования способа оплаты приступим к лечению
-
Вы получаете красивые, здоровые зубы и обворожительную улыбку
-
Ваша улыбка обворожительна!
А теперь — самое главное:
заботливый системный подход Super Smile

В Super Smile всё начинается с заботы.
Мы не просто лечим зубы — мы сохраняем ваше здоровье и уверенность на долгие годы. Перед лечением мы внимательно обследуем, объясняем каждый шаг и вместе составляем индивидуальный план лечения, где всё продумано — от диагностики до результата. Так вы точно знаете, что происходит, и чувствуете заботу на каждом этапе
Что включает комплексный план лечения?
- Осмотр и консультация специалиста
- Подробный фотопротокол
- Заполнение “зубной формулы” – вашей карты улыбки
- Медицинский план лечения
- Выгодный финансовый план лечения
Почему заботливый и системный подход работает лучше
В Super Smile мы верим, что стоматология должна быть не спешной, а осознанной и внимательной.
Такой подход сохраняет здоровье, экономит средства и помогает сохранить результат на годы вперёд.
| Обычное лечение | Заботливый системный подход Super Smile |
|---|---|
| Посадить пациента в кресло и сразу начать лечение | Сначала выслушать, обследовать, всё объяснить и только потом вместе выбрать лучший путь |
| Начать с самых дорогих процедур, не думая о логике | Продумать план шаг за шагом, чтобы не пришлось что-то переделывать через полгода |
| Предложить один «удобный» вариант и настаивать на нём | Разработать несколько вариантов лечения — по срокам, бюджету и комфорту |
| Передать пациента любому свободному врачу | Собрать команду специалистов, где каждый отвечает за свой этап, а результат — общий |
| Говорить, что бюджет невозможно рассчитать заранее | Составить прозрачный финансовый план и помочь спокойно спланировать расходы |
| Не давать гарантий на работу | Предоставить реальные гарантии на лечение — чтобы вы были уверены в результате и спокойны за свою улыбку |
С заботой — с первого шага
Стоимость индивидуального Плана лечения — всего 0 рублей.
В него входит полное обследование, консультация специалиста и составление медицинского и финансового планов. Отдельно оплачивается 3D снимок для точной диагностики.
-
Возможно ли восстановление зуба после коронки?
После того, как вы сняли коронку, восстановление разрушенного зуба можно провести после проведения всех необходимых видов диагностики. Важно определить, нет ли воспаления в периодонте(окружающих зуб тканях) и в корневых каналах. После этого есть несколько вариантов восстановления зуба: изготовление культевой вкладки, которая крепится в корневых каналах, и затем установка коронки на эту вкладку; либо просто замена одной коронки на другую. Какой вариант подойдет именно вам, решит доктор после консультации.
-
Проводите ли вы реставрацию разрушенных зубов?
При определенных показаниях наши доктора проводят реставрацию разрушенных зубов. Реставрация в таком случае представляет собой послойное нанесение пломбировочного материала и отверждение его световой лампой.
-
Как может проходить восстановление гнилых зубов?
«Гнилым» может считаться зуб, который сильно разрушен в коронковой части и имеет воспаление в корневых каналах и, возможно, в периодонте (тканях, окружающих зуб). Таким образом, сначала нужно вылечить воспаление, очистить и запломбировать корневые каналы. Затем на зуб либо устанавливается коронка, либо изготавливается культевая вкладка, а затем изготавливается коронка. Вкладка изготавливается следующим способом: корневой канал (или 2 корневых канала в многокорневом зубе) распломбировывается на ⅓ , снимаемся оттиск (слепок), техник в зуботехнической лаборатории отливает вкладку из металла или диоксида циркония. Вкладка на следующем приеме устанавливается, и затем снова снимается слепок и уже изготавливается коронка.
-
Возможно ли восстановление поломанного зуба?
Восстановление поломанного зуба возможно, но лишь после проведения тщательной диагностики, чтобы исключить трещину и перелом корня зуба. Если данную патологию исключили, то возможно восстановление поломанного зуба пломбой, вкладкой или коронкой, в зависимости от степени разрушения зуба.
-
Возможно ли отбелить депульпированный зуб?
Чаще всего депульпируют зубы от 5-го до 7-го (или 8-го), так как именно они обычно бывают поражены глубоким кариесом. Эти зубы почти не видно при улыбке, поэтому их не затрагивают во время отбеливания. Если же у вас депульпирован видимый зуб, при заметном изменении его цвета нужно провести обследование, чтобы понять: не пора ли заменить пломбу? Депульпированные зубы сохраняются достаточно долго, если запломбированы качественно. Если же с зубом (его корнем и коронковой частью) и пломбой все в порядке, то отбеливание проводить можно. -
Нормально ли, что после удаления нерва зуба ощущается боль?
Боль может ощущаться примерно неделю, пока не заживут окружающие травмированные ткани. Можно принимать любые обезболивающие или, в случае сильной боли, прийти на прием к врачу. -
Как восстановить зуб, если сломалась задняя стенка?
Нужно осмотреть зуб и определить, сохранен ли его корень. Если корень здоров и зуб не шатается, коронковую часть можно восстановить с помощью эстетической пломбы. -
Есть ли у вас рассрочка оплаты?
Да. Вы можете заключить договор и начать лечение, а оплачивать его в рассрочку. Мы не начисляем проценты: стоимость лечения будет просто разделена на несколько частей. Согласовать график вы сможете непосредственно в клинике после составления плана лечения. -
Какие еще есть варианты оплаты?
Установите наше приложение. Сразу же вы получите приветственные бонусы, которыми можно оплатить лечение. Пригласите друга – и мы подарим вам 5000 бонусов, а ваш друг получит скидку на лечение. Также вы будете первыми получать выгодные предложения, получите возможность следить за акциями и скидками. -
Восстанавливают ли сломанные зубы протезами?
Зависит от того, какая часть зуба сломана. Если повреждена небольшая часть, можно рассмотреть вариант с наращиванием зуба. Если не расшатан корень, но видимая часть заметно повреждена, можно установить коронку. -
Какой опыт/стаж работы у специалистов? Какой вуз они закончили?
Все врачи клиники имеют Высшее медицинское образование и прошли более 220 курсов повышения квалификации. У всех врачей опыт работы более 5 лет, а у многих от 10 и более лет. -
Что такое стоматология в рассрочку?
Лечение в рассрочку - отличный способ быстро решить любые стоматологические проблемы, благодаря тому, что лечение не откладывается и не прогрессирует. Вам не нужно сразу платить большую сумму – удара по бюджету не будет. Вы можете воспользоваться рассрочкой 0% на любые услуги клиники. Рассрочка оформляется в клинике, как правило, в день подачи заявки. Для предоставления рассрочки достаточно паспорта.
Получите каталог услуг Super Smile: цены, этапы лечения и все преимущества в удобном формате

Наши опытные врачи
Цены Super Smile
-
Терапия
- Восстановление зуба пломбой, реставрация эстетикофункциональная жевательные зубы.
- 12 000 ₽
- Восстановление зуба пломбой, реставрация эстетическая передние зубы.
- 13 500 ₽
-
Ортопедия
- Восстановление зуба виниром, полукоронкой,коронкой керамическим E-max или диоксид циркония с повышенными эстетическими качествами Премиум
- 62 400 ₽
-
Консультации и общие услуги
- Прием (осмотр, консультация) врача-стоматолога первичный
- 0 ₽
- Прием (осмотр, консультация) врача-стоматолога(терапевта, хирурга, ортопеда, ортодонта) повторный
- 0 ₽
- Прием (осмотр, консультация) ведущего врача-стоматолога(терапевта, хирурга, ортопеда, ортодонта) повторный
- 0 ₽








































