Восстановление зуба пломбировочным материалом в Санкт-Петербурге
Самый распространенной процедурой в стоматологии является восстановление зуба пломбировочным материалом. В клинике Super Smile для этого используются передовые материалы и различные технологии по восстановлению твердых тканей зуба.
- Лучшие современные материалы для ваших зубов!
- Эстетика ваши улыбки в надежных руках!
Вы получите детализированный расчёт стоимости без ненужных накруток со стороны стоматолога!
Узнайте, пора ли вам показаться стоматологу!
Ответьте на несколько вопросов, чтобы самостоятельно оценить своё здоровье и получите сертификат от нашей клиники (для новых пациентов)!

Особенности пломбирования и реставрации зубов
Временные материалы используются для изоляции зуба при лечении глубокого кариеса, во время эндодонтического лечения и при протезировании. Постоянные пломбировочные материалы подразделяются на цементы и композиты. Цементы состоят из фосфатов, стеклоиономеров и других компонентов. Отличаются прочностью, чаще используются для жевательных зубов или молочного прикуса. Композиты являются наиболее современным материалом. Они затвердевают под воздействием ультрафиолетового излучения либо при смешивании основной пасты и катализатора.
В чем плюсы пломбирования и реставрации зубов?
- Защита от кариеса. Пломбирование зуба останавливает инфекционный процесс и не дает развиться осложнениям кариеса.
- Эстетика. Цвет материала подбирается под цвет ваших зубов, так что пломбу совсем не видно.
- Быстрота. Дефект твердых тканей закрывается в одно посещение.
- Широкий ценовой диапазон. Вы можете подобрать для себя наиболее доступный пломбировочный материал.
В стоматологии для восстановления дефекта твердых тканей зуба применяются различные материалы. Они обладают разными физическими и оптическими свойствами.
Пломбировочные материалы подразделяют цена временные и постоянные.
О стоматологической клинике Super Smile

Стоматологическая клиника Super Smile специализируется на восстановлении вашей улыбки. Мы лауреаты конкурсов «Лучшие стоматологии РФ», лучшие медицинские учреждения РФ, а также получили «Европейскую премию в области красоты и здоровья». В своей работе мы опираемся на опыт наших профессиональных докторов, а также используем самые современные технологии и оборудование.
С 2016 года мы признаны одной из 100 лучших стоматологических клиник России согласно рейтингам «Коммерсант-Здоровье» и «Start Smile». У клиники рейтинг 5.0 на Яндекс.Картах. Такой высокий рейтинг лишь у еще двух сетевых клиник Санкт-Петербурга. В 2021 и 2022 годах мы вошли в ТОП-10 клиник по версии порталов НаПоправку и ПроДокторов и 32top. Нам чрезвычайно важно обеспечить вас комфортом и сохранить здоровье вашей полости рта.
В клинике Super Smile наши опытные специалисты восстановят вашу улыбку, а вы получите удовольствие от высокого уровня сервиса и качества наших услуг! Ждем вас, скорее записывайтесь на первую бесплатную консультацию!
Преимущества клиники Super Smile для пломбирования и реставрации зубов
-
Мы используем в работе лучшие современные пломбировочные материалы (Estelite Sigma — Япония; Harmonize — США).
-
Новейшие методы в реставрации всех групп зубов.
-
Применение техники минимальной инвазии для сохранения максимального объема ваших зубов.
-
Беспроцентная рассрочка на все виды стоматологических услуг.
-
Собственный компьютерный томограф для вашего комфорта и точной диагностики.
Гарантия лучшего сочетания цена/качество
Оставьте Ваш телефон и в течение 5 минут мы перезвоним Вам, чтобы подобрать лучшее для Вас время посещения центра имплантации Super Smile.
Преимущества восстановления зуба пломбировочным материалом
-
Качество. В нашей клинике высококачественные пломбировочные материалы, которые качественно восстанавливают ваши зубы.
-
Универсальность. Современные пломбировочные материалы можно использовать для восстановления как передних, так и жевательных зубов.
-
Эстетика. Цвет пломбировочного материала подбирается под цвет ваших зубов, поэтому пломба незаметна.
-
Сохранение зуба. Своевременное пломбирование и реставрация зуба остановит кариес, и зуб будет служить вам долгие годы.
-
Надежность. Пломбировочный материал герметично закрывает дефект твердых тканей, а также равномерно распределяют жевательную нагрузку.
Этапы восстановления зуба пломбировочным материалом
-
Первичный осмотр и консультация.
Для того, чтобы провести манипуляции в полости рта, доктор проводит беседу с вами, собирает анамнез заболевания и жалобы, проводит осмотр полости рта, оценивает состояние зубов и десен.
-
Дополнительная диагностика.
Перед началом лечения вам может понадобиться дополнительное рентгенологическое обследование или КТ-диагностика.
-
Проведение профессиональной гигиены полости рта.
Желательно перед началом лечения провести 4х-этапную профессиональную гигиену полости рта.
-
Проведение анестезии по показаниям и изоляция рабочего поля.
По показаниям проводится анестезия, а зуб, который подлежит восстановлению, изолируется с помощью коффердама или раббердама.
-
Подготовка полости зуба.
Доктор убирает все инфицированные ткани, то есть препарирует кариозную полость или дефект зуба. Далее проводится антисептическая обработка раствором хлоргексидина или раствором другого антисептика. Рассмотрим восстановление зуба композитным светоотверждаемым материалом. В таком случае, далее полость обрабатывается протравочным гелем, который состоит из 37% ортофосфорной кислоты. Это убирает верхний слой с эмали и дентина, что способствует более плотному прилеганию пломбы в дальнейшем.
-
Обработка подготовленной полости адгезивом.
Этот этап также помогает лучшему сцеплению пломбировочного материала с тканями зуба. Адгезив распределяется по полости с помощью аппликатора и «засвечивается» лампой.
-
Восстановление зуба композитным пломбировочным материалом.
Пломбировочный материал послойно вносится в подготовленную полость, и каждый слой отдельно засвечивается светодиодной лампой. Доктор воссоздает форму и рельеф зуба, а затем шлифует и полирует пломбу. Даются рекомендации.
Гарантия лучшего сочетания цена/качество
Оставьте Ваш телефон и в течение 5 минут мы перезвоним Вам, чтобы подобрать лучшее для Вас время посещения стоматологии Super Smile.
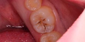
Работы наших специалистов по восстановлению зуба световым материалом
А теперь — самое главное:
заботливый системный подход Super Smile

В Super Smile всё начинается с заботы.
Мы не просто лечим зубы — мы сохраняем ваше здоровье и уверенность на долгие годы. Перед лечением мы внимательно обследуем, объясняем каждый шаг и вместе составляем индивидуальный план лечения, где всё продумано — от диагностики до результата. Так вы точно знаете, что происходит, и чувствуете заботу на каждом этапе
Что включает комплексный план лечения?
- Осмотр и консультация специалиста
- Подробный фотопротокол
- Заполнение “зубной формулы” – вашей карты улыбки
- Медицинский план лечения
- Выгодный финансовый план лечения
Почему заботливый и системный подход работает лучше
В Super Smile мы верим, что стоматология должна быть не спешной, а осознанной и внимательной.
Такой подход сохраняет здоровье, экономит средства и помогает сохранить результат на годы вперёд.
| Обычное лечение | Заботливый системный подход Super Smile |
|---|---|
| Посадить пациента в кресло и сразу начать лечение | Сначала выслушать, обследовать, всё объяснить и только потом вместе выбрать лучший путь |
| Начать с самых дорогих процедур, не думая о логике | Продумать план шаг за шагом, чтобы не пришлось что-то переделывать через полгода |
| Предложить один «удобный» вариант и настаивать на нём | Разработать несколько вариантов лечения — по срокам, бюджету и комфорту |
| Передать пациента любому свободному врачу | Собрать команду специалистов, где каждый отвечает за свой этап, а результат — общий |
| Говорить, что бюджет невозможно рассчитать заранее | Составить прозрачный финансовый план и помочь спокойно спланировать расходы |
| Не давать гарантий на работу | Предоставить реальные гарантии на лечение — чтобы вы были уверены в результате и спокойны за свою улыбку |
С заботой — с первого шага
Стоимость индивидуального Плана лечения — всего 0 рублей.
В него входит полное обследование, консультация специалиста и составление медицинского и финансового планов. Отдельно оплачивается 3D снимок для точной диагностики.
-
В каких случаях вы применяете восстановление зуба цементом?
Восстановление зуба цементом имеет определенные показания. Стеклоиономерные цементы выручает докторов при лечении пациентов с плохой гигиеной полости рта, так как цементы более устойчивы к возникновению биопленки на своей поверхности. Также цементы часто используются для реставрации некариозных поражений твердых тканей зуба или при восстановлении пришеечной поверхности зуба. В детской стоматологии используются только стеклоиономерные цементы, так как композитные материалы являются для детей токсичными.
-
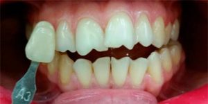
Какие материалы применяются для восстановления переднего зуба пломбой?
Для того, чтобы восстановить передний зуб пломбой, материал должен отвечать высоким эстетическим требованиям. Фотополимеризуемые композиты наиболее часто используются в эстетической стоматологии. Они обладают схожими оптическими свойствами собственными тканями зуба, а также хорошо выдерживают жевательную нагрузку. В нашей клинике используются современные материалы «Estelite Sigma» -Япония и «Harmonize» -США.
-
Что такое пломбирование зубов эмалью?
А в некоторых случаях при возникновении очага деминерализации, то есть начального кариеса, не всегда требуется препарирование твердых тканей зуба (удаление тканей бором). Доктора часто используют в своей практике реминерализующую терапию. Так вот, пломбирование зубов эмалью — это один из методов защиты зубов и восстановления эмали. В процессе выполнения процедуры стоматологи используют 10% раствор глюконата кальция, а при дефиците фтора обрабатывают зубные пластины раствором фторида натрия.
Получите каталог услуг Super Smile: цены, этапы лечения и все преимущества в удобном формате






































