Восстановление зуба полукоронкой в Санкт-Петербурге
Восстановление зуба полукоронкой — это наиболее востребованный метод реставрации вашей улыбки с помощью керамических конструкций. В клинике Super Smile вы можете полноценно восстановить здоровье полости рта самыми передовыми методами в стоматологии.
- Множество методик по восстановлению зубов!
- Беспроцентная рассрочка для вашего комфорта!
Вы получите детализированный расчёт стоимости без ненужных накруток со стороны стоматолога!
Узнайте, пора ли вам показаться стоматологу!
Ответьте на несколько вопросов, чтобы самостоятельно оценить своё здоровье и получите сертификат от нашей клиники (для новых пациентов)!

Особенности восстановления зуба вкладками, винирами, полукоронкой
В чем главная особенность восстановления зуба вкладками, винирами, полукоронкой? Под все эти конструкции зуб не обтачивается полностью. Это позволяет сохранить максимум своих тканей зуба. Такие керамические реставрации заменяют обычную постановку пломбы и служат дольше обычного пломбировочного материала.
В чем отличие этих конструкций между собой?
Виниры — тонкие пластинки из керамики, которые закрывают переднюю поверхность фронтальной группы зубов.
Полукоронка — частичные искусственные коронки, которые закрывают около половины резцов и клыков.
В чем плюсы восстановления зуба вкладками, винирами, полукоронкой?
- Сохранение тканей зуба. Ведь под эти конструкции стачивается минимум твердых тканей зуба.
- Эстетика. Все эти реставрации восстанавливают естественную красоту ваших зубов.
- Герметичность. Материал не пропускает инфекцию внутрь себя и внутрь зуба, а также герметично прилегает к стенкам зуба.
- Надежность. Керамические реставрации зарекомендовали себя, как надежные конструкции.
Вкладка — это микропротез, который помогает восстановить целостность зуба. Вкладки могут перекрывать различные поверхности в зубе, и от этого бывают разных видов: onlay (затрагивает часть бугорков), inlay (внутри зуба и не затрагивает бугорки), overlay (перекрывает бугорки полностью).
О стоматологической клинике Super Smile

Клиника Super Smile — это центр эстетической стоматологии. Наша цель — создание красивых улыбок, повышение вашей самооценки и улучшение вашего уровня жизни. Для этого мы используем в своей работе передовые технологии и лучшие материалы. Благодаря такому подходу клиника Super Smile вот уже несколько лет входит в число лучших стоматологических клиник России, а рейтинги 2022 года только подтверждают это.
Мы вошли в 10 лучших клиник Санкт-Петербурга согласно рейтингам «Коммерсант-Здоровье» и «Start Smile». Последние два года мы получили также награды, как топовые клиники Санкт-Петербурга по версии порталов НаПоправку, ПроДокторов и 32top. Лишь у нас и еще двух сетевых клиник Санкт-Петербурга рейтинг на Яндекс.Картах 5.0. Поэтому если вы мечтаете о комфорте и индивидуальном подходе, то вам в клинику Super Smile!
В клинике Super Smile наши опытные специалисты восстановят вашу улыбку, а вы получите удовольствие от высокого уровня сервиса и качества наших услуг! Ждем вас, скорее записывайтесь на первую бесплатную консультацию!
Преимущества клиники Super Smile для восстановления зуба
-
Мы используем в работе различные техники по микропротезированию.
-
В работе у нас только лучшие и современные материалы.
-
Наши доктора имеют большой опыт работы с керамическими реставрациями.
-
Интраооальный 3D сканер.
-
Беспроцентная рассрочка на все виды стоматологических услуг.
Гарантия лучшего сочетания цена/качество
Оставьте Ваш телефон и в течение 5 минут мы перезвоним Вам, чтобы подобрать лучшее для Вас время посещения центра имплантации Super Smile.
Преимущества восстановления зуба вкладками, винирами, полукоронкой
-
Прочность. Керамические реставрации устойчивы к внешнему воздействию и к повышенному жевательному давлению.
-
Экономия времени. Благодаря высочайшей точности изготовления виниров и вкладок, отсутствует необходимость их дальнейшей корректировке.
-
Стойкость к красящим веществам, содержащимся в пище.
-
Максимальная эстетика, так как керамика по своим оптическим свойствам совпадает с естественными тканями зубов.
-
Минимальная обточка и максимум сохранения собственных тканей зуба.
Этапы восстановления зуба вкладками, винирами, полукоронкой
-
Первичный осмотр и консультация.
Прежде чем проводить манипуляции в полости рта, доктор проводит беседу с вами, собирает анамнез заболевания и жалобы, проводит осмотр полости рта, оценивает состояние зубов и десен.
-
Дополнительная диагностика.
Перед началом лечения вам может понадобиться дополнительное рентгенологическое обследование или КТ-диагностика.
-
Проведение профессиональной гигиены полости рта.
Мы рекомендуем перед началом лечения провести 4х- этапную профессиональную гигиену полости рта.
-
Проведение анестезии по показаниям и изоляция рабочего поля.
По показаниям проводится анестезия, а зуб, который подлежит восстановлению, изолируется с помощью коффердама или раббердама.
-
Подготовка полости зуба.
Доктор убирает все инфицированные ткани или старые пломбы, то есть препарирует кариозную полость или дефект зуба. Далее полость препарируется под ту конструкцию, которая будет изготовлена: вкладка, полукоронка или винир. Полученная полость обрабатывается антисептиком, подсушивается.
-
Снятие оттисков (слепков).
С помощью современных материалов либо с помощью 3D-сканера доктор снимает слепок зубного ряда и зуба, который подлежит восстановлению, и передает данные в зуботехническую лабораторию. На время изготовления вкладки/винира/полукоронки зуб закрывается временной пломбой.
-
Изготовление вкладки.
В зуботехнической лаборатории техник изготавливает вкладку/винир/полукоронку из прессованной керамики.
-
Примерка и фиксация.
Во время второго визита доктор проводит припасовку (примерку) вкладки / винира / полукоронки. Если вы чувствуете себя комфортно, то керамическая реставрация фиксируется на стоматологический цемент или жидкий светоотверждаемый композит. Проводится окончательная полировка, даются рекомендации.
Гарантия лучшего сочетания цена/качество
Оставьте Ваш телефон и в течение 5 минут мы перезвоним Вам, чтобы подобрать лучшее для Вас время посещения стоматологии Super Smile.
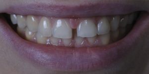
Работы наших специалистов по восстановлению зуба полукоронкой
А теперь — самое главное:
заботливый системный подход Super Smile

В Super Smile всё начинается с заботы.
Мы не просто лечим зубы — мы сохраняем ваше здоровье и уверенность на долгие годы. Перед лечением мы внимательно обследуем, объясняем каждый шаг и вместе составляем индивидуальный план лечения, где всё продумано — от диагностики до результата. Так вы точно знаете, что происходит, и чувствуете заботу на каждом этапе
Что включает комплексный план лечения?
- Осмотр и консультация специалиста
- Подробный фотопротокол
- Заполнение “зубной формулы” – вашей карты улыбки
- Медицинский план лечения
- Выгодный финансовый план лечения
Почему заботливый и системный подход работает лучше
В Super Smile мы верим, что стоматология должна быть не спешной, а осознанной и внимательной.
Такой подход сохраняет здоровье, экономит средства и помогает сохранить результат на годы вперёд.
| Обычное лечение | Заботливый системный подход Super Smile |
|---|---|
| Посадить пациента в кресло и сразу начать лечение | Сначала выслушать, обследовать, всё объяснить и только потом вместе выбрать лучший путь |
| Начать с самых дорогих процедур, не думая о логике | Продумать план шаг за шагом, чтобы не пришлось что-то переделывать через полгода |
| Предложить один «удобный» вариант и настаивать на нём | Разработать несколько вариантов лечения — по срокам, бюджету и комфорту |
| Передать пациента любому свободному врачу | Собрать команду специалистов, где каждый отвечает за свой этап, а результат — общий |
| Говорить, что бюджет невозможно рассчитать заранее | Составить прозрачный финансовый план и помочь спокойно спланировать расходы |
| Не давать гарантий на работу | Предоставить реальные гарантии на лечение — чтобы вы были уверены в результате и спокойны за свою улыбку |
С заботой — с первого шага
Стоимость индивидуального Плана лечения — всего 0 рублей.
В него входит полное обследование, консультация специалиста и составление медицинского и финансового планов. Отдельно оплачивается 3D снимок для точной диагностики.
-
Какие материалы используются для восстановления зуба полукоронкой?
В основном в стоматологии для восстановления зуба полукоронкой используется прессованная керамика или металл. Металл для реставрации используется нечасто, но это могут быть сплавы серебра и палладия, золота и платины. Наиболее эстетичным вариантом все же является керамика.
-
В каких случаях применяют восстановление зуба полукоронкой?
Восстановление зуба полукоронкой чаще всего применяют для восстановления зуба после кариеса или его осложнений. Особенно актуально использование полукоронки при обширном поражении зуба, когда утерян объем зуба более 40-50%. Полукоронка также может помочь восстановить зуб, если на нем уже есть большая пломба, которую нужно менять. Также хорошее терапевтическое воздействие полукоронки оказывают при заболеваниях пародонта. В этом случае полукоронки спаиваются между собой и образуют своеобразную шину, которая удерживает зубы и способствует уменьшению их подвижности.
Получите каталог услуг Super Smile: цены, этапы лечения и все преимущества в удобном формате

Наши врачи-ортопеды
Цены Super Smile
-
Ортопедия
- Восстановление зуба коронкой. Металлокерамическая коронка
- 31 000 ₽
- Восстановление зуба вкладкой-накладкой
- 25 000 ₽







































